JavaScript is disabled in your browser. Please enable JavaScript to view this website.
AB322259

Anti-TOX antibody [EPR28108-10]

  • 20ul selling size
  • BOND RX™ Validated
  • RabMAb
  • Recombinant
  • What is this?

Be the first to review this product! Submit a review

|

(0 Publication)

Rabbit Recombinant Monoclonal TOX antibody. Suitable for Flow Cyt (Intra), ICC/IF, IHC-P, WB and reacts with Human, Mouse, Rat, Transfected cell line - Human samples.

View Alternative Names

KIAA0808, TOX, Thymocyte selection-associated high mobility group box protein TOX, Thymus high mobility group box protein TOX, Thymocyte selection-associated high mobility group box protein TOX, Thymus high mobility group box protein TOX

20 Images
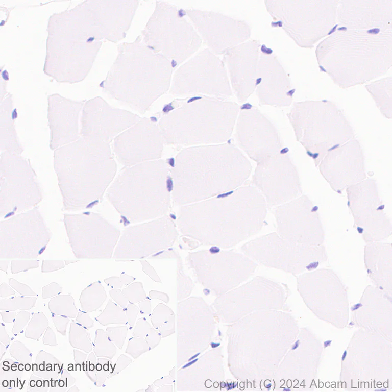
Immunohistochemistry (Formalin/PFA-fixed paraffin-embedded sections) - Anti-TOX antibody [EPR28108-10] (AB322259)
  • IHC-P

Supplier Data

Immunohistochemistry (Formalin/PFA-fixed paraffin-embedded sections) - Anti-TOX antibody [EPR28108-10] (AB322259)

Immunohistochemical analysis of paraffin-embedded Human skeletal muscle tissue labeling TOX with ab322259 at 1/500 (1.004 ug/ml) dilution, followed by a ready to use LeicaDS9800 (Bond™ Polymer Refine Detection).

Negative control : no staining on human skeletal muscle. The section was incubated with ab322259 for 30 mins at room temperature.
The immunostaining was performed on a Leica Biosystems BOND® RX instrument

Counterstained with Hematoxylin.

Secondary antibody only control : Secondary antibody is a ready to use LeicaDS9800 (Bond™ Polymer Refine Detection).

Heat mediated antigen retrieval was performed with Tris-EDTA buffer (pH 9.0, Epitope Retrieval Solution2) for 20 mins

Flow Cytometry (Intracellular) - Anti-TOX antibody [EPR28108-10] (AB322259)
  • Flow Cyt (Intra)

Lab

Flow Cytometry (Intracellular) - Anti-TOX antibody [EPR28108-10] (AB322259)

Flow cytometric analysis of 4% paraformaldehyde fixed 90% methanol permeabilized Daudi (human Burkitt's lymphoma lymphoblast, Left) / Raji (human Burkitt's lymphoma B lymphocyte, Right) cells labelling TOX with ab322259 at 1/500 compared with a Rabbit monoclonal IgG (ab172730) / Black isotype control and an unlabelled control (cells without incubation with primary antibody and secondary antibody) (Blue).

Goat anti-Rabbit IgG (Alexa Fluor® 647, ab150083) at 1/5000 was used as the secondary antibody.

Negative control : Daudi.

Flow Cytometry (Intracellular) - Anti-TOX antibody [EPR28108-10] (AB322259)
  • Flow Cyt (Intra)

Lab

Flow Cytometry (Intracellular) - Anti-TOX antibody [EPR28108-10] (AB322259)

Flow cytometric analysis of 2% paraformaldehyde fixed 0.1% Tween-20 permeabilized Human PBMC (human peripheral blood mononuclear cell) cells labelling TOX with ab322259 at 1/500 compared with a Rabbit monoclonal IgG (ab172730) / Left isotype control.

Goat anti-Rabbit IgG (Alexa Fluor® 647, ab150083) at 1/5000 was used as the secondary antibody.

Cells were stained with anti-CD8a conjugated to Pacific Blue. Then fixed with 2% PFA for 10 min followed by intracellularly staining with rabbit IgG or our antibody.

Flow Cytometry (Intracellular) - Anti-TOX antibody [EPR28108-10] (AB322259)
  • Flow Cyt (Intra)

Lab

Flow Cytometry (Intracellular) - Anti-TOX antibody [EPR28108-10] (AB322259)

Flow cytometric analysis of 2% paraformaldehyde fixed 0.1% Tween-20 permeabilized Human PBMC (human peripheral blood mononuclear cell) cells labelling TOX with ab322259 at 1/500 compared with a Rabbit monoclonal IgG (ab172730) / Left isotype control.

Goat anti-Rabbit IgG (Alexa Fluor® 647, ab150083) at 1/5000 was used as the secondary antibody.

Cells were stained with anti-CD19 conjugated to PE/Cy7. Then fixed with 2% PFA for 10 min followed by intracellularly staining with rabbit IgG or our antibody.

Immunocytochemistry/ Immunofluorescence - Anti-TOX antibody [EPR28108-10] (AB322259)
  • ICC/IF

Lab

Immunocytochemistry/ Immunofluorescence - Anti-TOX antibody [EPR28108-10] (AB322259)

Immunofluorescent analysis of 4% Paraformaldehyde-fixed, 0.1% TritonX-100 permeabilized Raji (human Burkitt's lymphoma B lymphocyte) cells labelling TOX with ab322259 at 1/50 dilution.

Confocal image showing cytoplasmic staining in Raji cell line (shown in green). The counterstain was observed in magenta. Nuclear DNA was labelled with DAPI (shown in blue).

Negative control : Daudi.

Image was taken with a confocal microscope (Leica-Microsystems, TCS SP8).

Anti-alpha Tubulin mouse monoclonal antibody (ab7291) was used to counterstain tubulin at 1/1000 dilution (Magenta).

Immunohistochemistry (Formalin/PFA-fixed paraffin-embedded sections) - Anti-TOX antibody [EPR28108-10] (AB322259)
  • IHC-P

Supplier Data

Immunohistochemistry (Formalin/PFA-fixed paraffin-embedded sections) - Anti-TOX antibody [EPR28108-10] (AB322259)

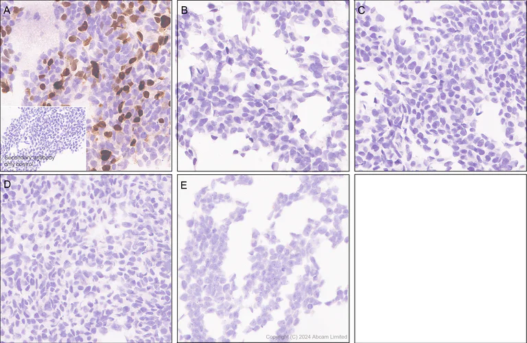
Immunohistochemical analysis of paraffin-embedded (A) HEK-293T (human epithelial cell line from embryonic kidney) transfected with a TOX expression vector containing a Myc-His tag, (B) HEK-293T transfected with a TOX2 expression vector containing a Myc-His tag, (C) HEK-293T transfected with a TOX3 expression vector containing a Myc-His tag, (D) HEK-293T transfected with a TOX4 expression vector containing a Myc-His tag and (E) HEK-293T transfected with empty vector containing a Myc-His tag labeling TOX with ab322259 at 1/2000 (0.251 ug/ml) dilution, followed by a ready to use LeicaDS9800 (Bond™ Polymer Refine Detection).

Positive staining on Positive staining on (A) HEK-293T (human epithelial cell line from embryonic kidney) transfected with a TOX expression vector containing a Myc-His tag, no staining on (B) HEK-293T transfected with a TOX2 expression vector containing a Myc-His tag, (C) HEK-293T transfected with a TOX3 expression vector containing a Myc-His tag, (D) HEK-293T transfected with a TOX4 expression vector containing a Myc-His tag and (E) HEK-293T transfected with empty vector containing a Myc-His tag.
The section was incubated with ab322259 for 30 mins at room temperature.
The immunostaining was performed on a Leica Biosystems BOND® RX instrument

Counterstained with Hematoxylin.

Secondary antibody only control : Secondary antibody is a ready to use LeicaDS9800 (Bond™ Polymer Refine Detection).

Heat mediated antigen retrieval was performed with Tris-EDTA buffer (pH 9.0, Epitope Retrieval Solution2) for 20 mins

Immunohistochemistry (Formalin/PFA-fixed paraffin-embedded sections) - Anti-TOX antibody [EPR28108-10] (AB322259)
  • IHC-P

Supplier Data

Immunohistochemistry (Formalin/PFA-fixed paraffin-embedded sections) - Anti-TOX antibody [EPR28108-10] (AB322259)

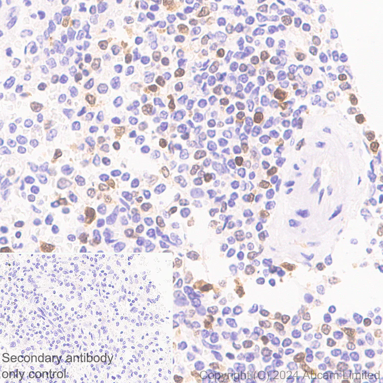
Immunohistochemical analysis of paraffin-embedded Human spleen tissue labeling TOX with ab322259 at 1/500 (1.004 ug/ml) dilution, followed by a ready to use LeicaDS9800 (Bond™ Polymer Refine Detection).

Nuclear staining on human spleen (PMID : 32106280). The section was incubated with ab322259 for 30 mins at room temperature.
The immunostaining was performed on a Leica Biosystems BOND® RX instrument

Counterstained with Hematoxylin.

Secondary antibody only control : Secondary antibody is a ready to use LeicaDS9800 (Bond™ Polymer Refine Detection).

Heat mediated antigen retrieval was performed with Tris-EDTA buffer (pH 9.0, Epitope Retrieval Solution2) for 20 mins

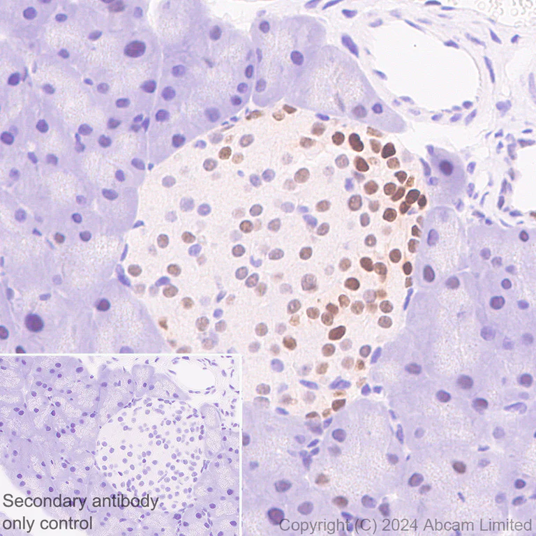
Immunohistochemistry (Formalin/PFA-fixed paraffin-embedded sections) - Anti-TOX antibody [EPR28108-10] (AB322259)
  • IHC-P

Supplier Data

Immunohistochemistry (Formalin/PFA-fixed paraffin-embedded sections) - Anti-TOX antibody [EPR28108-10] (AB322259)

Immunohistochemical analysis of paraffin-embedded Human thymus tissue labeling TOX with ab322259 at 1/500 (1.004 ug/ml) dilution, followed by a ready to use LeicaDS9800 (Bond™ Polymer Refine Detection).

Nuclear staining on human thymus (PMID : 32106280). The section was incubated with ab322259 for 30 mins at room temperature.
The immunostaining was performed on a Leica Biosystems BOND® RX instrument

Counterstained with Hematoxylin.

Secondary antibody only control : Secondary antibody is a ready to use LeicaDS9800 (Bond™ Polymer Refine Detection).

Heat mediated antigen retrieval was performed with Tris-EDTA buffer (pH 9.0, Epitope Retrieval Solution2) for 20 mins

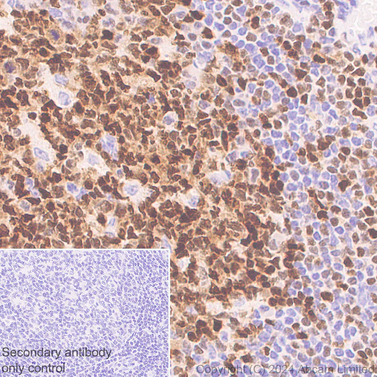
Immunohistochemistry (Formalin/PFA-fixed paraffin-embedded sections) - Anti-TOX antibody [EPR28108-10] (AB322259)
  • IHC-P

Supplier Data

Immunohistochemistry (Formalin/PFA-fixed paraffin-embedded sections) - Anti-TOX antibody [EPR28108-10] (AB322259)

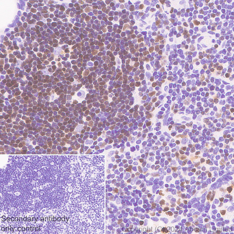
Immunohistochemical analysis of paraffin-embedded Human tonsil tissue labeling TOX with ab322259 at 1/500 (1.004 ug/ml) dilution, followed by a ready to use LeicaDS9800 (Bond™ Polymer Refine Detection).

Nuclear staining on human tonsil (PMID : 32106280). The section was incubated with ab322259 for 30 mins at room temperature.
The immunostaining was performed on a Leica Biosystems BOND® RX instrument

Counterstained with Hematoxylin.

Secondary antibody only control : Secondary antibody is a ready to use LeicaDS9800 (Bond™ Polymer Refine Detection).

Heat mediated antigen retrieval was performed with Tris-EDTA buffer (pH 9.0, Epitope Retrieval Solution2) for 20 mins

Flow Cytometry (Intracellular) - Anti-TOX antibody [EPR28108-10] (AB322259)
  • Flow Cyt (Intra)

Lab

Flow Cytometry (Intracellular) - Anti-TOX antibody [EPR28108-10] (AB322259)

Flow cytometric analysis of 4% paraformaldehyde fixed 90% methanol permeabilized B16-F10 (mouse skin melanoma cell, Left) / EL4 (mouse lymphoma T lymphocyte, Right) cells labelling TOX with ab322259 at 1/5000 compared with a Rabbit monoclonal IgG (ab172730) / Black isotype control and an unlabelled control (cells without incubation with primary antibody and secondary antibody) (Blue).

Goat Anti-Rabbit IgG (Alexa Fluor® 488, ab150081) at 1/5000 was used as the secondary antibody.

Low expression : B16-F10.

Flow Cytometry (Intracellular) - Anti-TOX antibody [EPR28108-10] (AB322259)
  • Flow Cyt (Intra)

Lab

Flow Cytometry (Intracellular) - Anti-TOX antibody [EPR28108-10] (AB322259)

Flow cytometric analysis of 2% paraformaldehyde fixed 0.1% Tween-20 permeabilized Mouse PBMCs (mouse primary peripheral blood mononuclear cells) cells labelling TOX with ab322259 at 1/500 compared with a Rabbit monoclonal IgG (ab172730) / Left isotype control.

Goat anti-Rabbit IgG (Alexa Fluor® 647, ab150083) at 1/5000 was used as the secondary antibody.

Cells were stained with anti-CD8 conjugated to Brilliant Violet 421. Then fixed with 2% PFA for 10 min followed by intracellularly staining with rabbit IgG or our antibody.

Immunohistochemistry (Formalin/PFA-fixed paraffin-embedded sections) - Anti-TOX antibody [EPR28108-10] (AB322259)
  • IHC-P

Supplier Data

Immunohistochemistry (Formalin/PFA-fixed paraffin-embedded sections) - Anti-TOX antibody [EPR28108-10] (AB322259)

Immunohistochemical analysis of paraffin-embedded Mouse pancreas tissue labeling TOX with ab322259 at 1/500 (1.004 ug/ml) dilution, followed by a ready to use LeicaDS9800 (Bond™ Polymer Refine Detection).

Positive staining on mouse pancreas (PMID : 32106280). The section was incubated with ab322259 for 30 mins at room temperature.
The immunostaining was performed on a Leica Biosystems BOND® RX instrument

Counterstained with Hematoxylin.

Secondary antibody only control : Secondary antibody is a ready to use LeicaDS9800 (Bond™ Polymer Refine Detection).

Heat mediated antigen retrieval was performed with Tris-EDTA buffer (pH 9.0, Epitope Retrieval Solution2) for 20 mins

Immunohistochemistry (Formalin/PFA-fixed paraffin-embedded sections) - Anti-TOX antibody [EPR28108-10] (AB322259)
  • IHC-P

Supplier Data

Immunohistochemistry (Formalin/PFA-fixed paraffin-embedded sections) - Anti-TOX antibody [EPR28108-10] (AB322259)

Immunohistochemical analysis of paraffin-embedded Mouse skeletal muscle tissue labeling TOX with ab322259 at 1/500 (1.004 ug/ml) dilution, followed by a ready to use LeicaDS9800 (Bond™ Polymer Refine Detection).

Negative control : no staining on mouse skeletal muscle. The section was incubated with ab322259 for 30 mins at room temperature.
The immunostaining was performed on a Leica Biosystems BOND® RX instrument

Counterstained with Hematoxylin.

Secondary antibody only control : Secondary antibody is a ready to use LeicaDS9800 (Bond™ Polymer Refine Detection).

Heat mediated antigen retrieval was performed with Tris-EDTA buffer (pH 9.0, Epitope Retrieval Solution2) for 20 mins

Flow Cytometry (Intracellular) - Anti-TOX antibody [EPR28108-10] (AB322259)
  • Flow Cyt (Intra)

Lab

Flow Cytometry (Intracellular) - Anti-TOX antibody [EPR28108-10] (AB322259)

Flow cytometric analysis of 2% paraformaldehyde fixed 0.1% Tween-20 permeabilized Rat PBMC (Rat peripheral blood mononuclear cell) cells labelling TOX with ab322259 at 1/50 compared with a Rabbit monoclonal IgG (ab172730) / Left isotype control.

Goat Anti-Rabbit IgG (Alexa Fluor® 488, ab150081) at 1/5000 was used as the secondary antibody.

Cells were stained with anti-CD8a conjugated to Alexa Fluor®647. Fixed with 2% PFA for 10 min followed by intracellularly staining with rabbit IgG or our antibody.

Flow Cytometry (Intracellular) - Anti-TOX antibody [EPR28108-10] (AB322259)
  • Flow Cyt (Intra)

Lab

Flow Cytometry (Intracellular) - Anti-TOX antibody [EPR28108-10] (AB322259)

Flow cytometric analysis of 2% paraformaldehyde fixed 0.1% Tween-20 permeabilized Mouse PBMCs (mouse primary peripheral blood mononuclear cells) cells labelling TOX with ab322259 at 1/500 compared with a Rabbit monoclonal IgG (ab172730) / Left isotype control and an unlabelled control.

Goat anti-Rabbit IgG (Alexa Fluor® 647, ab150083) at 1/5000 was used as the secondary antibody.

Cells were stained with anti-CD14 conjugated to Brilliant Violet 421. Then fixed with 2% PFA for 10 min followed by intracellularly staining with rabbit IgG or our antibody.

Immunohistochemistry (Formalin/PFA-fixed paraffin-embedded sections) - Anti-TOX antibody [EPR28108-10] (AB322259)
  • IHC-P

Supplier Data

Immunohistochemistry (Formalin/PFA-fixed paraffin-embedded sections) - Anti-TOX antibody [EPR28108-10] (AB322259)

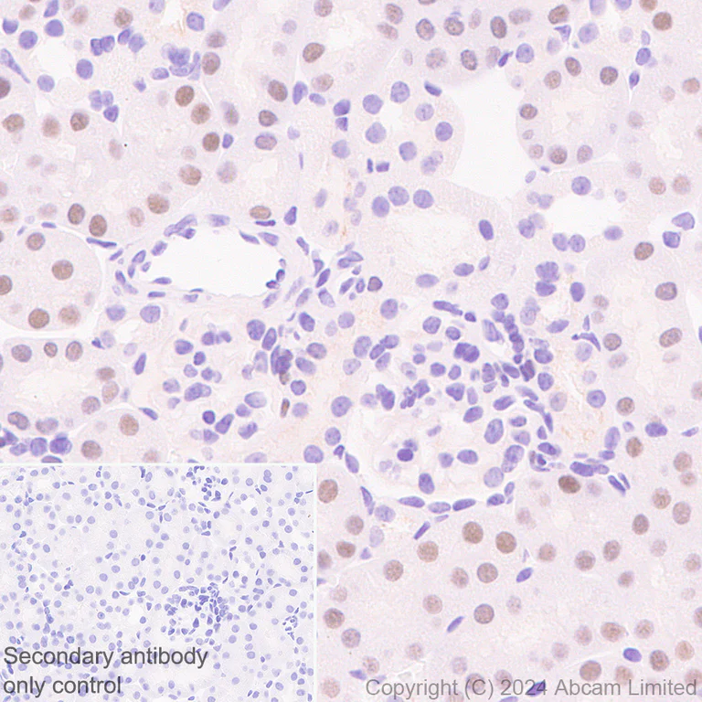
Immunohistochemical analysis of paraffin-embedded Mouse kidney tissue labeling TOX with ab322259 at 1/500 (1.004 ug/ml) dilution, followed by a ready to use LeicaDS9800 (Bond™ Polymer Refine Detection).

Positive staining on mouse kidney. The section was incubated with ab322259 for 30 mins at room temperature.
The immunostaining was performed on a Leica Biosystems BOND® RX instrument

Counterstained with Hematoxylin.

Secondary antibody only control : Secondary antibody is a ready to use LeicaDS9800 (Bond™ Polymer Refine Detection).

Heat mediated antigen retrieval was performed with Tris-EDTA buffer (pH 9.0, Epitope Retrieval Solution2) for 20 mins

Flow Cytometry (Intracellular) - Anti-TOX antibody [EPR28108-10] (AB322259)
  • Flow Cyt (Intra)

Lab

Flow Cytometry (Intracellular) - Anti-TOX antibody [EPR28108-10] (AB322259)

Flow cytometric analysis of 2% paraformaldehyde fixed 0.1% Tween-20 permeabilized Rat PBMC (Rat peripheral blood mononuclear cell) cells labelling TOX with ab322259 at 1/50 compared with a Rabbit monoclonal IgG (ab172730) / Left isotype control.

Goat Anti-Rabbit IgG (Alexa Fluor® 488, ab150081) at 1/5000 was used as the secondary antibody.

Cells were stained with anti-CD11b/c conjugated to PE. Then fixed with 2% PFA for 10 min followed by intracellularly staining with rabbit IgG or our antibody.

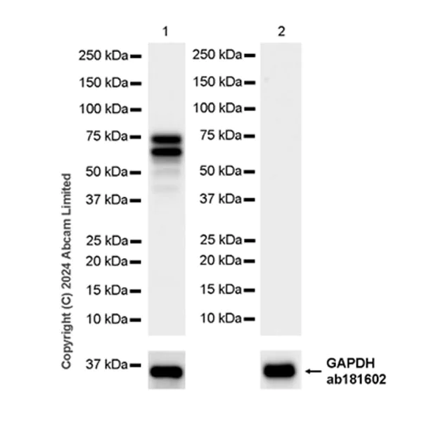
Western blot - Anti-TOX antibody [EPR28108-10] (AB322259)
  • WB

Supplier Data

Western blot - Anti-TOX antibody [EPR28108-10] (AB322259)

Blocking and diluting buffer and concentration : 5% NFDM/TBST.

To minimize protein degradation, cells/tissues were lysed immediately after harvest and then applied to a gel and transfer membrane for Western blotting as soon as possible.

Exposure time : Lane 1 : 180 seconds; Lane 2 : 37 seconds; Lane 3 : 125 seconds.

All lanes:

Western blot - Anti-TOX antibody [EPR28108-10] (ab322259) at 1/1000 dilution

Lane 1:

Neuro-2a (mouse neuroblastoma neuroblast) whole cell lysate at 20 µg

Lane 2:

Raji (human burkitt's lymphoma b lymphocyte) whole cell lysate at 20 µg

Lane 3:

Mouse testis tissue lysate at 20 µg

Secondary

All lanes:

Western blot - Goat Anti-Rabbit IgG H&L (HRP) (<a href='/en-us/products/secondary-antibodies/goat-rabbit-igg-h-l-hrp-ab97051'>ab97051</a>) at 1/20000 dilution

Observed band size: 57 kDa,63 kDa

false

Western blot - Anti-TOX antibody [EPR28108-10] (AB322259)
  • WB

Supplier Data

Western blot - Anti-TOX antibody [EPR28108-10] (AB322259)

Blocking and diluting buffer and concentration : 5% NFDM/TBST.

Low expression : Daudi (PMID : 32106280), AsPC-1, A549.

To minimize protein degradation, cells were lysed immediately after harvest and then applied to a gel and transfer membrane for Western blotting as soon as possible.

In Western blot, Anti-GAPDH antibody [EPR16891] - Loading Control (ab181602) staining at 1/200000 dilution.

Exposure time : Lane 1 : 180 seconds; Lanes 2-5 : 15 seconds; Lane 6 : 48 seconds.

All lanes:

Western blot - Anti-TOX antibody [EPR28108-10] (ab322259) at 1/1000 dilution

Lane 1:

KARPAS-299 (human t cell lymphoma cell) whole cell lysate at 20 µg

Lanes 2 and 6:

NCI-H69 (human lung small cell carcinoma cell line) whole cell lysate at 20 µg

Lane 3:

AsPC-1 (human Pancreas epithelial cell) whole cell lysate at 20 µg

Lane 4:

A549 (human lung carcinoma epithelial cell) whole cell lysate at 20 µg

Lane 5:

Daudi (human burkitt's lymphoma lymphoblast) whole cell lysate at 20 µg

Secondary

All lanes:

Western blot - Goat Anti-Rabbit IgG H&L (HRP) (<a href='/en-us/products/secondary-antibodies/goat-rabbit-igg-h-l-hrp-ab97051'>ab97051</a>) at 1/20000 dilution

Observed band size: 57 kDa,63 kDa,36 kDa

false

Western blot - Anti-TOX antibody [EPR28108-10] (AB322259)
  • WB

Supplier Data

Western blot - Anti-TOX antibody [EPR28108-10] (AB322259)

Blocking and diluting buffer and concentration : 5% NFDM/TBST.

Low expression : skeletal muscle.

To minimize protein degradation, tissues were lysed immediately after harvest and then applied to a gel and transfer membrane for Western blotting as soon as possible.

In Western blot, Anti-GAPDH antibody [EPR16891] - Loading Control (ab181602) staining at 1/200000 dilution.

All lanes:

Western blot - Anti-TOX antibody [EPR28108-10] (ab322259) at 1/1000 dilution

Lane 1:

Mouse thymus tissue lysate at 20 µg

Lane 2:

Mouse skeletal muscle tissue lysate at 20 µg

Secondary

All lanes:

Western blot - Goat Anti-Rabbit IgG H&L (HRP) (<a href='/en-us/products/secondary-antibodies/goat-rabbit-igg-h-l-hrp-ab97051'>ab97051</a>) at 1/20000 dilution

Observed band size: 57 kDa,63 kDa,36 kDa

false

Exposure time: 6s

  • Carrier free

    Anti-TOX antibody [EPR28108-10] - BSA and Azide free

Key facts

Host species

Rabbit

Clonality

Monoclonal

Clone number

EPR28108-10

Isotype

IgG

Carrier free

No

Reacts with

Human, Mouse, Rat

Applications

IHC-P, ICC/IF, WB, Flow Cyt (Intra)

applications

Immunogen

The exact immunogen used to generate this antibody is proprietary information.

Reactivity data

{ "title": "Reactivity Data", "filters": { "stats": ["", "Species", "Dilution Info", "Notes"], "tabs": { "all-applications": {"fullname" : "All Applications", "shortname": "All Applications"}, "FlowCytIntra" : {"fullname" : "Flow Cytometry (Intracellular)", "shortname":"Flow Cyt (Intra)"}, "ICCIF" : {"fullname" : "Immunocytochemistry/ Immunofluorescence", "shortname":"ICC/IF"}, "IHCP" : {"fullname" : "Immunohistochemistry (Formalin/PFA-fixed paraffin-embedded sections)", "shortname":"IHC-P"}, "WB" : {"fullname" : "Western blot", "shortname":"WB"} }, "product-promise": { "all": "all", "testedAndGuaranteed": "tested", "guaranteed": "expected", "predicted": "predicted", "notRecommended": "not-recommended" } }, "values": { "Human": { "FlowCytIntra-species-checked": "testedAndGuaranteed", "FlowCytIntra-species-dilution-info": "1/50", "FlowCytIntra-species-notes": "<p></p>", "ICCIF-species-checked": "testedAndGuaranteed", "ICCIF-species-dilution-info": "1/50", "ICCIF-species-notes": "<p></p>", "IHCP-species-checked": "testedAndGuaranteed", "IHCP-species-dilution-info": "1/500", "IHCP-species-notes": "<p></p> Perform heat-mediated antigen retrieval with Tris/EDTA buffer pH 9.0 before commencing with IHC staining protocol.", "WB-species-checked": "testedAndGuaranteed", "WB-species-dilution-info": "1/1000", "WB-species-notes": "<p></p>" }, "Mouse": { "FlowCytIntra-species-checked": "testedAndGuaranteed", "FlowCytIntra-species-dilution-info": "1/50", "FlowCytIntra-species-notes": "<p></p>", "ICCIF-species-checked": "guaranteed", "ICCIF-species-dilution-info": "", "ICCIF-species-notes": "", "IHCP-species-checked": "testedAndGuaranteed", "IHCP-species-dilution-info": "1/500", "IHCP-species-notes": "<p></p> Perform heat-mediated antigen retrieval with Tris/EDTA buffer pH 9.0 before commencing with IHC staining protocol.", "WB-species-checked": "testedAndGuaranteed", "WB-species-dilution-info": "1/1000", "WB-species-notes": "<p></p>" }, "Rat": { "FlowCytIntra-species-checked": "testedAndGuaranteed", "FlowCytIntra-species-dilution-info": "1/50", "FlowCytIntra-species-notes": "<p></p>", "ICCIF-species-checked": "guaranteed", "ICCIF-species-dilution-info": "", "ICCIF-species-notes": "", "IHCP-species-checked": "guaranteed", "IHCP-species-dilution-info": "", "IHCP-species-notes": "", "WB-species-checked": "guaranteed", "WB-species-dilution-info": "", "WB-species-notes": "" }, "Transfected cell line - Human": { "FlowCytIntra-species-checked": "notRecommended", "FlowCytIntra-species-dilution-info": "", "FlowCytIntra-species-notes": "", "ICCIF-species-checked": "notRecommended", "ICCIF-species-dilution-info": "", "ICCIF-species-notes": "", "IHCP-species-checked": "testedAndGuaranteed", "IHCP-species-dilution-info": "1/2000", "IHCP-species-notes": "<p></p> Perform heat-mediated antigen retrieval with Tris/EDTA buffer pH 9.0 before commencing with IHC staining protocol.", "WB-species-checked": "notRecommended", "WB-species-dilution-info": "", "WB-species-notes": "" } } }

Product details

Patented technology
Our RabMAb® technology is a patented hybridoma-based technology for making rabbit monoclonal antibodies. For details on our patents, please refer to RabMAb® patents.

What are the advantages of a recombinant monoclonal antibody?
This product is a recombinant monoclonal antibody, which offers several advantages including:

  • - High batch-to-batch consistency and reproducibility
  • - Improved sensitivity and specificity
  • - Long-term security of supply
  • - Animal-free batch production

For more information, read more on recombinant antibodies.

Properties and storage information

Form
Liquid
Purification technique
Affinity purification Protein A
Storage buffer
pH: 7.2 - 7.4 Preservative: 0.01% Sodium azide Constituents: PBS, 40% Glycerol (glycerin, glycerine), 0.05% BSA
Shipped at conditions
Blue Ice
Appropriate short-term storage duration
1-2 weeks
Appropriate short-term storage conditions
+4°C
Appropriate long-term storage conditions
-20°C
Aliquoting information
Upon delivery aliquot
Storage information
Avoid freeze / thaw cycle

Product protocols

For this product, it's our understanding that no specific protocols are required. You can visit:

Target data

Transcriptional regulator with a major role in neural stem cell commitment and corticogenesis as well as in lymphoid cell development and lymphoid tissue organogenesis (By similarity). Binds to GC-rich DNA sequences in the proximity of transcription start sites and may alter chromatin structure, modifying access of transcription factors to DNA. During cortical development, controls the neural stem cell pool by inhibiting the switch from proliferative to differentiating progenitors. Beyond progenitor cells, promotes neurite outgrowth in newborn neurons migrating to reach the cortical plate. May activate or repress critical genes for neural stem cell fate such as SOX2, EOMES and ROBO2 (By similarity). Plays an essential role in the development of lymphoid tissue-inducer (LTi) cells, a subset necessary for the formation of secondary lymphoid organs : peripheral lymph nodes and Peyer's patches. Acts as a developmental checkpoint and regulates thymocyte positive selection toward T cell lineage commitment. Required for the development of various T cell subsets, including CD4-positive helper T cells, CD8-positive cytotoxic T cells, regulatory T cells and CD1D-dependent natural killer T (NKT) cells. Required for the differentiation of common lymphoid progenitors (CMP) to innate lymphoid cells (ILC) (By similarity). May regulate the NOTCH-mediated gene program, promoting differentiation of the ILC lineage. Required at the progenitor phase of NK cell development in the bone marrow to specify NK cell lineage commitment (By similarity) (PubMed : 21126536). Upon chronic antigen stimulation, diverts T cell development by promoting the generation of exhaustive T cells, while suppressing effector and memory T cell programming. May regulate the expression of genes encoding inhibitory receptors such as PDCD1 and induce the exhaustion program, to prevent the overstimulation of T cells and activation-induced cell death (By similarity).
See full target information TOX

Additional targets

Tox

Product promise

We are committed to supporting your work with high-quality reagents, and we're here for you every step of the way. In the unlikely event that one of our products does not perform as expected, you're protected by our Product Promise.
For full details, please see our Terms & Conditions

Please note: All products are 'FOR RESEARCH USE ONLY. NOT FOR USE IN DIAGNOSTIC OR THERAPEUTIC PROCEDURES'.

For licensing inquiries, please contact partnerships@abcam.com