JavaScript is disabled in your browser. Please enable JavaScript to view this website.
AB237009

Anti-TOX antibody [NAN448B]

4

(1 Review)

|

(9 Publications)

Anti-TOX antibody [NAN448B] (ab237009) is a rat monoclonal antibody detecting TOX in Western Blot, IHC-P, IHC-Fr. Suitable for Human, Mouse.

- KO validated for confirmed specificity

View Alternative Names

KIAA0808, TOX, Thymocyte selection-associated high mobility group box protein TOX, Thymus high mobility group box protein TOX

17 Images
Western blot - Anti-TOX antibody [NAN448B] (AB237009)
  • WB

Supplier Data

Western blot - Anti-TOX antibody [NAN448B] (AB237009)

All lanes:

Western blot - Anti-TOX antibody [NAN448B] (ab237009) at 1/200 dilution

Lane 1:

MOLT 4 cell line at 100 µg

Lane 2:

MOLT 4 KO cell line at 100 µg

Predicted band size: 58 kDa

false

Immunohistochemistry (Formalin/PFA-fixed paraffin-embedded sections) - Anti-TOX antibody [NAN448B] (AB237009)
  • IHC-P

Supplier Data

Immunohistochemistry (Formalin/PFA-fixed paraffin-embedded sections) - Anti-TOX antibody [NAN448B] (AB237009)

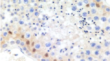
Paraffin-embedded human fetal liver tissue stained for TOX using ab237009 at 1/300 dilution in immunohistochemical analysis.

Antigen retrieval : ER2 for 20 minutes.

Incubated with primary antibody for 30 minutes.

Immunohistochemistry (Frozen sections) - Anti-TOX antibody [NAN448B] (AB237009)
  • IHC-Fr

Supplier Data

Immunohistochemistry (Frozen sections) - Anti-TOX antibody [NAN448B] (AB237009)

To confirm that NAN448B mAb recognized human TOX protein and showed no cross-reactivity to other TOX family members, immunohistochemistry on frozen cytospins preparations of TOX1 ,TOX2 ,TOX3 and TOX4 expressed in HEK293T cells was performed. Anti-myc and anti-GFP antibodies were used as positive controls.

Immunohistochemistry (Formalin/PFA-fixed paraffin-embedded sections) - Anti-TOX antibody [NAN448B] (AB237009)
  • IHC-P

Supplier Data

Immunohistochemistry (Formalin/PFA-fixed paraffin-embedded sections) - Anti-TOX antibody [NAN448B] (AB237009)

Immunofluorescent analysis of paraffin-embedded human tonsil tissue labelling TOX with ab237009 at 1/50 dilution (Red). DAPI is stained in blue and Ki67 is stained in green.

Antigen retrieval : 20 minutes ER2 (Tris-EDTA)

Immunohistochemistry (Formalin/PFA-fixed paraffin-embedded sections) - Anti-TOX antibody [NAN448B] (AB237009)
  • IHC-P

Supplier Data

Immunohistochemistry (Formalin/PFA-fixed paraffin-embedded sections) - Anti-TOX antibody [NAN448B] (AB237009)

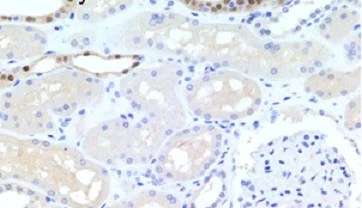
Paraffin-embedded human kidney tissue stained for TOX using ab237009 at 1/300 dilution in immunohistochemical analysis.

Antigen retrieval : ER2 for 20 minutes.

Incubated with primary antibody for 30 minutes.

Immunohistochemistry (Formalin/PFA-fixed paraffin-embedded sections) - Anti-TOX antibody [NAN448B] (AB237009)
  • IHC-P

Collaborator

Immunohistochemistry (Formalin/PFA-fixed paraffin-embedded sections) - Anti-TOX antibody [NAN448B] (AB237009)

The BOND™ Polymer Refine Detection System on the BOND RX Automated Stainer (DS9800, Leica Biosystems, Wetzlar, Germany) was used for immunohistochemical labelling of formalin-fixed, paraffin-embedded (FFPE) tissues. The protocol includes a peroxide block, post-primary reagent, polymer detection, DAB chromogen, and haematoxylin counterstain, all automated to minimize variability. Antigen retrieval was performed by heat-induced epitope retrieval (HIER) for 20 minutes in Tris-EDTA buffer (BOND Epitope Retrieval Solution 2, AR9640, Leica Biosystems, Wetzlar, Germany). The sequence comprised peroxide block (10 min), primary antibody incubation (30 min), post-primary (10 min), an anti-rat step (1 : 300 dilution, Vector Laboratories, California, USA; 20 min), polymer (10 min), DAB (10 min), and haematoxylin (8 min).

For mouse tissues, antigen retrieval was performed using high pH buffers (Dako, Agilent), followed by blocking of endogenous peroxidase activity with 3% hydrogen peroxide. Slides were then incubated with the primary antibody. Antigen/antibody complexes detection was carried out using a horseradish peroxidase-conjugated visualization system (Novolink Polymer, Leica). Staining was developed with 3,3′-diaminobenzidine (EnVision FLEX DAB Enhancer, Dako, Agilent), and nuclei were counterstained with hematoxylin (FLEX Hematoxylin, SM806, Dako, Agilent). Images were acquired using an Axiocam CCD camera (Zeiss) and processed with ZEN 2.1 software and Photoshop 9.0.

Immunohistochemistry (Formalin/PFA-fixed paraffin-embedded sections) - Anti-TOX antibody [NAN448B] (AB237009)
  • IHC-P

Supplier Data

Immunohistochemistry (Formalin/PFA-fixed paraffin-embedded sections) - Anti-TOX antibody [NAN448B] (AB237009)

Paraffin-embedded human testicle tissue stained for TOX using ab237009 at 1/300 dilution in immunohistochemical analysis.

Antigen retrieval : ER2 for 20 minutes.

Incubated with primary antibody for 30 minutes.

Immunohistochemistry (Formalin/PFA-fixed paraffin-embedded sections) - Anti-TOX antibody [NAN448B] (AB237009)
  • IHC-P

Supplier Data

Immunohistochemistry (Formalin/PFA-fixed paraffin-embedded sections) - Anti-TOX antibody [NAN448B] (AB237009)

Paraffin-embedded human tonsil tissue stained for TOX using ab237009 at 1/200 dilution in immunohistochemical analysis.

Antigen retrieval : 20 minutes ER2 (Tris-EDTA)

Incubated with primary antibody for 30 minutes.

Immunohistochemistry (Formalin/PFA-fixed paraffin-embedded sections) - Anti-TOX antibody [NAN448B] (AB237009)
  • IHC-P

Supplier Data

Immunohistochemistry (Formalin/PFA-fixed paraffin-embedded sections) - Anti-TOX antibody [NAN448B] (AB237009)

Immunofluorescent analysis of paraffin-embedded human tonsil tissue labelling TOX with ab237009 at 1/50 dilution (Red). DAPI is stained in blue and Ki67 is stained in green.

Antigen retrieval : 20 minutes ER2 (Tris-EDTA)

Immunohistochemistry (Formalin/PFA-fixed paraffin-embedded sections) - Anti-TOX antibody [NAN448B] (AB237009)
  • IHC-P

Supplier Data

Immunohistochemistry (Formalin/PFA-fixed paraffin-embedded sections) - Anti-TOX antibody [NAN448B] (AB237009)

Paraffin-embedded human tonsil tissue stained for TOX using ab237009 at 1/200 dilution in immunohistochemical analysis.

Antigen retrieval : 20 minutes ER2 (Tris-EDTA)

Incubated with primary antibody for 30 minutes.

Immunohistochemistry (Formalin/PFA-fixed paraffin-embedded sections) - Anti-TOX antibody [NAN448B] (AB237009)
  • IHC-P

Supplier Data

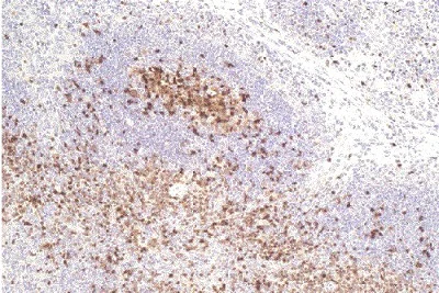
Immunohistochemistry (Formalin/PFA-fixed paraffin-embedded sections) - Anti-TOX antibody [NAN448B] (AB237009)

Paraffin-embedded mouse thymus tissue stained for TOX using ab237009 at 1/100 dilution in immunohistochemical analysis.

Antigen retrieval : pH high

Incubated with primary antibody for 20 minutes.

Immunohistochemistry (Formalin/PFA-fixed paraffin-embedded sections) - Anti-TOX antibody [NAN448B] (AB237009)
  • IHC-P

Supplier Data

Immunohistochemistry (Formalin/PFA-fixed paraffin-embedded sections) - Anti-TOX antibody [NAN448B] (AB237009)

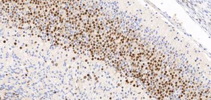
Paraffin-embedded mouse brain tissue stained for TOX using ab237009 at 1/100 dilution in immunohistochemical analysis.

Antigen retrieval : pH high

Incubated with primary antibody for 20 minutes.

Immunohistochemistry (Formalin/PFA-fixed paraffin-embedded sections) - Anti-TOX antibody [NAN448B] (AB237009)
  • IHC-P

Supplier Data

Immunohistochemistry (Formalin/PFA-fixed paraffin-embedded sections) - Anti-TOX antibody [NAN448B] (AB237009)

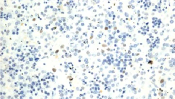
Immunohistochemistry (Formalin/PFA-fixed paraffin-embedded sections) of mouse spleen staining TOX1 with purified ab237009 at 1 : 100 for 20 mins. Antigen retrival was performed using a high pH.

Immunohistochemistry (Formalin/PFA-fixed paraffin-embedded sections) - Anti-TOX antibody [NAN448B] (AB237009)
  • IHC-P

Supplier Data

Immunohistochemistry (Formalin/PFA-fixed paraffin-embedded sections) - Anti-TOX antibody [NAN448B] (AB237009)

Paraffin-embedded mouse pancreas tissue stained for TOX using ab237009 at 1/100 dilution in immunohistochemical analysis.

Antigen retrieval : pH high

Incubated with primary antibody for 20 minutes.

Immunohistochemistry (Formalin/PFA-fixed paraffin-embedded sections) - Anti-TOX antibody [NAN448B] (AB237009)
  • IHC-P

Supplier Data

Immunohistochemistry (Formalin/PFA-fixed paraffin-embedded sections) - Anti-TOX antibody [NAN448B] (AB237009)

Paraffin-embedded mouse retina tissue stained for TOX using ab237009 at 1/100 dilution in immunohistochemical analysis.

Antigen retrieval : pH high

Incubated with primary antibody for 20 minutes.

Immunohistochemistry (Formalin/PFA-fixed paraffin-embedded sections) - Anti-TOX antibody [NAN448B] (AB237009)
  • IHC-P

Supplier Data

Immunohistochemistry (Formalin/PFA-fixed paraffin-embedded sections) - Anti-TOX antibody [NAN448B] (AB237009)

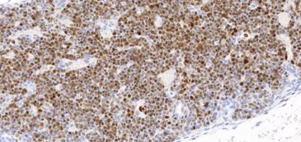
Paraffin-embedded mycosis fungoide tissue stained for TOX using ab237009 at 1/200 dilution in immunohistochemical analysis. CD8 is stained in red.

Antigen retrieval : 20 minutes ER2 (Tris-EDTA).

Incubated with primary antibody for 30 minutes.

Immunohistochemistry (Formalin/PFA-fixed paraffin-embedded sections) - Anti-TOX antibody [NAN448B] (AB237009)
  • IHC-P

Supplier Data

Immunohistochemistry (Formalin/PFA-fixed paraffin-embedded sections) - Anti-TOX antibody [NAN448B] (AB237009)

Paraffin-embedded Nodular Lymphocyte predominant Hodgkin Lymphoma (NLPHL) tissue stained for TOX using ab237009 at 1/200 dilution in immunohistochemical analysis. PD1 is stained in red.

Antigen retrieval : 20 minutes ER2 (Tris-EDTA).

Incubated with primary antibody for 30 minutes.

Key facts

Host species

Rat

Clonality

Monoclonal

Clone number

NAN448B

Isotype

IgG1

Carrier free

No

Reacts with

Mouse, Human, Cat, Dog, Horse, Pig, Llama, Cow, Goat, Sheep, Pigeon, Serinus canarius

Applications

IHC-Fr, WB, IHC-P

applications

Immunogen

Recombinant Fragment Protein within Human TOX aa 1-250. The exact immunogen used to generate this antibody is proprietary information.

O94900

Reactivity data

{ "title": "Reactivity Data", "filters": { "stats": ["", "Species", "Dilution Info", "Notes"], "tabs": { "all-applications": {"fullname" : "All Applications", "shortname": "All Applications"}, "WB" : {"fullname" : "Western blot", "shortname":"WB"}, "IHCP" : {"fullname" : "Immunohistochemistry (Formalin/PFA-fixed paraffin-embedded sections)", "shortname":"IHC-P"}, "IHCFr" : {"fullname" : "Immunohistochemistry (Frozen sections)", "shortname":"IHC-Fr"} }, "product-promise": { "all": "all", "testedAndGuaranteed": "tested", "guaranteed": "expected", "predicted": "predicted", "notRecommended": "not-recommended" } }, "values": { "Human": { "WB-species-checked": "testedAndGuaranteed", "WB-species-dilution-info": "1/200", "WB-species-notes": "<p></p>", "IHCP-species-checked": "testedAndGuaranteed", "IHCP-species-dilution-info": "1/300", "IHCP-species-notes": "<p>Dilute at 1:50 when using a fluorescent secondary antibody.</p><p>Perform antigen retrieval before commencing with IHC staining protocol.</p>", "IHCFr-species-checked": "testedAndGuaranteed", "IHCFr-species-dilution-info": "", "IHCFr-species-notes": "<p></p>" }, "Mouse": { "WB-species-checked": "guaranteed", "WB-species-dilution-info": "", "WB-species-notes": "", "IHCP-species-checked": "testedAndGuaranteed", "IHCP-species-dilution-info": "1/300", "IHCP-species-notes": "<p>Dilute at 1:50 when using a fluorescent secondary antibody.</p><p>Perform antigen retrieval before commencing with IHC staining protocol.</p>", "IHCFr-species-checked": "guaranteed", "IHCFr-species-dilution-info": "", "IHCFr-species-notes": "" }, "Cat": { "WB-species-checked": "guaranteed", "WB-species-dilution-info": "", "WB-species-notes": "", "IHCP-species-checked": "testedAndGuaranteed", "IHCP-species-dilution-info": "1/1000", "IHCP-species-notes": "<p></p> Perform heat-mediated antigen retrieval with Tris/EDTA buffer pH 9.0 before commencing with IHC staining protocol.", "IHCFr-species-checked": "guaranteed", "IHCFr-species-dilution-info": "", "IHCFr-species-notes": "" }, "Cow": { "WB-species-checked": "guaranteed", "WB-species-dilution-info": "", "WB-species-notes": "", "IHCP-species-checked": "testedAndGuaranteed", "IHCP-species-dilution-info": "1/1000", "IHCP-species-notes": "<p></p> Perform heat-mediated antigen retrieval with Tris/EDTA buffer pH 9.0 before commencing with IHC staining protocol.", "IHCFr-species-checked": "guaranteed", "IHCFr-species-dilution-info": "", "IHCFr-species-notes": "" }, "Dog": { "WB-species-checked": "guaranteed", "WB-species-dilution-info": "", "WB-species-notes": "", "IHCP-species-checked": "testedAndGuaranteed", "IHCP-species-dilution-info": "1/1000", "IHCP-species-notes": "<p></p>", "IHCFr-species-checked": "guaranteed", "IHCFr-species-dilution-info": "", "IHCFr-species-notes": "" }, "Goat": { "WB-species-checked": "guaranteed", "WB-species-dilution-info": "", "WB-species-notes": "", "IHCP-species-checked": "testedAndGuaranteed", "IHCP-species-dilution-info": "1/1000", "IHCP-species-notes": "<p></p> Perform heat-mediated antigen retrieval with Tris/EDTA buffer pH 9.0 before commencing with IHC staining protocol.", "IHCFr-species-checked": "guaranteed", "IHCFr-species-dilution-info": "", "IHCFr-species-notes": "" }, "Horse": { "WB-species-checked": "guaranteed", "WB-species-dilution-info": "", "WB-species-notes": "", "IHCP-species-checked": "testedAndGuaranteed", "IHCP-species-dilution-info": "1/1000", "IHCP-species-notes": "<p></p> Perform heat-mediated antigen retrieval with Tris/EDTA buffer pH 9.0 before commencing with IHC staining protocol.", "IHCFr-species-checked": "guaranteed", "IHCFr-species-dilution-info": "", "IHCFr-species-notes": "" }, "Llama": { "WB-species-checked": "guaranteed", "WB-species-dilution-info": "", "WB-species-notes": "", "IHCP-species-checked": "testedAndGuaranteed", "IHCP-species-dilution-info": "1/1000", "IHCP-species-notes": "<p></p> Perform heat-mediated antigen retrieval with Tris/EDTA buffer pH 9.0 before commencing with IHC staining protocol.", "IHCFr-species-checked": "guaranteed", "IHCFr-species-dilution-info": "", "IHCFr-species-notes": "" }, "Pig": { "WB-species-checked": "guaranteed", "WB-species-dilution-info": "", "WB-species-notes": "", "IHCP-species-checked": "testedAndGuaranteed", "IHCP-species-dilution-info": "1/1000", "IHCP-species-notes": "<p></p> Perform heat-mediated antigen retrieval with Tris/EDTA buffer pH 9.0 before commencing with IHC staining protocol.", "IHCFr-species-checked": "guaranteed", "IHCFr-species-dilution-info": "", "IHCFr-species-notes": "" }, "Pigeon": { "WB-species-checked": "guaranteed", "WB-species-dilution-info": "", "WB-species-notes": "", "IHCP-species-checked": "testedAndGuaranteed", "IHCP-species-dilution-info": "1/1000", "IHCP-species-notes": "<p></p> Perform heat-mediated antigen retrieval with Tris/EDTA buffer pH 9.0 before commencing with IHC staining protocol.", "IHCFr-species-checked": "guaranteed", "IHCFr-species-dilution-info": "", "IHCFr-species-notes": "" }, "Serinus canarius": { "WB-species-checked": "guaranteed", "WB-species-dilution-info": "", "WB-species-notes": "", "IHCP-species-checked": "testedAndGuaranteed", "IHCP-species-dilution-info": "1/1000", "IHCP-species-notes": "<p></p> Perform heat-mediated antigen retrieval with Tris/EDTA buffer pH 9.0 before commencing with IHC staining protocol.", "IHCFr-species-checked": "guaranteed", "IHCFr-species-dilution-info": "", "IHCFr-species-notes": "" }, "Sheep": { "WB-species-checked": "guaranteed", "WB-species-dilution-info": "", "WB-species-notes": "", "IHCP-species-checked": "testedAndGuaranteed", "IHCP-species-dilution-info": "1/1000", "IHCP-species-notes": "<p></p> Perform heat-mediated antigen retrieval with Tris/EDTA buffer pH 9.0 before commencing with IHC staining protocol.", "IHCFr-species-checked": "guaranteed", "IHCFr-species-dilution-info": "", "IHCFr-species-notes": "" } } }

Product details

What is this antibody validated in?
Anti-TOX antibody [NAN448B] (ab237009) is a rat monoclonal antibody and is validated for use in Western Blot (WB), Immunohistochemistry (IHC-P), Immunohistochemistry (IHC-Fr) in Human, Mouse samples.

What is the molecular weight of TOX?
Anti-TOX [NAN448B] (ab237009) specifically detects a band for TOX (UniProt: O94900) at a molecular weight of 58kDa.

Specificity confirmed
The specificity of Anti-TOX antibody [NAN448B] (ab237009) has been confirmed by Western blot testing in TOX Knockout MOLT 4 cells.

Properties and storage information

Form
Liquid
Purification technique
Affinity purification Protein G
Storage buffer
pH: 7.4 Preservative: 0.02% Sodium azide Constituents: PBS, 1% BSA
Shipped at conditions
Blue Ice
Appropriate short-term storage conditions
+4°C
Appropriate long-term storage conditions
+4°C
Aliquoting information
Upon delivery aliquot
Storage information
Do Not Freeze

Supplementary information

This supplementary information is collated from multiple sources and compiled automatically.

The TOX gene encodes the TOX protein also known as Thymocyte selection-associated high mobility group (HMG) box protein with a molecular weight of approximately 57 kDa. TOX contains a DNA-binding HMG box domain and operates mechanically as a transcription factor. It expresses mainly in the thymus where it plays a significant role in T cell development. TOX also exhibits expression in lymphoid tissues including the spleen and lymph nodes.
Biological function summary

TOX affects T cell maturation and development particularly during thymocyte selection. The protein contributes critically to the decision-making process that determines whether thymocytes become CD4+ or CD8+ T cells. TOX does not assemble into a known complex but interacts with other developmental transcription factors to influence gene expression patterns in immature T cells. Its expression is tightly regulated to ensure proper immune system development.

Pathways

TOX influences key signal transduction pathways that guide T cell lineage development. It integrates into the T cell receptor (TCR) signaling pathway impacting the expression of genes essential for T cell differentiation. TOX interacts with signaling proteins like Notch1 which affects developmental fate decisions in thymocytes. The balance of these pathways maintains immunity homeostasis and correct immune responses.

TOX links to conditions involving immune dysregulation such as autoimmune diseases and certain lymphomas. Aberrant expression or dysfunction of TOX may contribute to improper immune cell development leading to pathologies like T cell leukemia. In autoimmune diseases altered TOX levels may impact self-tolerance involving proteins such as FOXP3 which governs regulatory T cell function. Understanding TOX's role in these diseases broadens insights into potential therapeutic targets for immune-related diseases.

Product protocols

For this product, it's our understanding that no specific protocols are required. You can visit:

Target data

Transcriptional regulator with a major role in neural stem cell commitment and corticogenesis as well as in lymphoid cell development and lymphoid tissue organogenesis (By similarity). Binds to GC-rich DNA sequences in the proximity of transcription start sites and may alter chromatin structure, modifying access of transcription factors to DNA. During cortical development, controls the neural stem cell pool by inhibiting the switch from proliferative to differentiating progenitors. Beyond progenitor cells, promotes neurite outgrowth in newborn neurons migrating to reach the cortical plate. May activate or repress critical genes for neural stem cell fate such as SOX2, EOMES and ROBO2 (By similarity). Plays an essential role in the development of lymphoid tissue-inducer (LTi) cells, a subset necessary for the formation of secondary lymphoid organs : peripheral lymph nodes and Peyer's patches. Acts as a developmental checkpoint and regulates thymocyte positive selection toward T cell lineage commitment. Required for the development of various T cell subsets, including CD4-positive helper T cells, CD8-positive cytotoxic T cells, regulatory T cells and CD1D-dependent natural killer T (NKT) cells. Required for the differentiation of common lymphoid progenitors (CMP) to innate lymphoid cells (ILC) (By similarity). May regulate the NOTCH-mediated gene program, promoting differentiation of the ILC lineage. Required at the progenitor phase of NK cell development in the bone marrow to specify NK cell lineage commitment (By similarity) (PubMed : 21126536). Upon chronic antigen stimulation, diverts T cell development by promoting the generation of exhaustive T cells, while suppressing effector and memory T cell programming. May regulate the expression of genes encoding inhibitory receptors such as PDCD1 and induce the exhaustion program, to prevent the overstimulation of T cells and activation-induced cell death (By similarity).
See full target information TOX

Publications (9)

Recent publications for all applications. Explore the full list and refine your search

Journal of experimental & clinical cancer research : CR 44:280 PubMed41053860

2025

Peripheral nerve injury-induced remodeling of the tumor-associated macrophages promotes immune evasion in breast cancer.

Applications

Unspecified application

Species

Unspecified reactive species

Yongxue Jiang,Wenfeng Zeng,Yaxin Feng,Xiaoting Deng,Jiayi Wang,Haiyu Liu,Boying Gao,Dexi Bi,Zifei Liu,Chaoqun Yang,Minxia Chen,Tang Li,Houying Chen,Yuxi Zhang,Luyuan Liang,Jiannan Xu,Wen Deng,Zeyu Yao,Wei Wu,Liyan Lao,Jianing Chen,Penghan Huang

PloS one 19:e0313867 PubMed39570927

2024

Single-cell sequencing reveals transcriptional dynamics regulated by ERα in mouse ovaries.

Applications

Unspecified application

Species

Unspecified reactive species

Qicai Hu,Yiqian Gui,Congcong Cao,Jun Xie,Huiru Tang

Nature immunology 25:1245-1256 PubMed38886592

2024

Distinct SIV-specific CD8 T cells in the lymph node exhibit simultaneous effector and stem-like profiles and are associated with limited SIV persistence.

Applications

Unspecified application

Species

Unspecified reactive species

Zachary Strongin,Laurence Raymond Marchand,Claire Deleage,M Betina Pampena,Maria Andrea Cardenas,Christian Michel Beusch,Timothy N Hoang,Elizabeth A Urban,Mael Gourves,Kevin Nguyen,Gregory K Tharp,Stacey Lapp,Andrew R Rahmberg,Justin Harper,Perla M Del Rio Estrada,Mauricio Gonzalez-Navarro,Fernanda Torres-Ruiz,Yara Andrea Luna-Villalobos,Santiago Avila-Rios,Gustavo Reyes-Teran,Rafick Sekaly,Guido Silvestri,Deanna A Kulpa,Asier Saez-Cirion,Jason M Brenchley,Steven E Bosinger,David Ezra Gordon,Michael R Betts,Haydn T Kissick,Mirko Paiardini

Nature communications 13:1158 PubMed35241665

2022

Single-cell transcriptomics links malignant T cells to the tumor immune landscape in cutaneous T cell lymphoma.

Applications

Unspecified application

Species

Unspecified reactive species

Xiangjun Liu,Shanzhao Jin,Simeng Hu,Ruoyan Li,Haihao Pan,Yi Liu,Pan Lai,Deshu Xu,Jingru Sun,Ziyang Liu,Yumei Gao,Yifan Zhao,Fengjie Liu,Yu Xiao,Yingyi Li,Yujie Wen,Zhuojing Chen,Bufang Xu,Yuchieh Lin,Menglong Ran,Qianxi Li,Shuxia Yang,Hang Li,Ping Tu,Muzlifah Haniffa,Sarah A Teichmann,Fan Bai,Yang Wang

Nature communications 12:6341 PubMed34732713

2021

Postpartum breast cancer has a distinct molecular profile that predicts poor outcomes.

Applications

Unspecified application

Species

Unspecified reactive species

Sonali Jindal,Nathan D Pennock,Duanchen Sun,Wesley Horton,Michelle K Ozaki,Jayasri Narasimhan,Alexandra Q Bartlett,Sheila Weinmann,Paul E Goss,Virginia F Borges,Zheng Xia,Pepper Schedin

PeerJ 9:e11929 PubMed34414037

2021

DUSP12 regulates the tumorigenesis and prognosis of hepatocellular carcinoma.

Applications

Unspecified application

Species

Unspecified reactive species

Gaoda Ju,Tianhao Zhou,Rui Zhang,Xiaozao Pan,Bing Xue,Sen Miao

Immunity 54:1594-1610.e11 PubMed34174183

2021

Deep spatial profiling of human COVID-19 brains reveals neuroinflammation with distinct microanatomical microglia-T-cell interactions.

Applications

Unspecified application

Species

Unspecified reactive species

Marius Schwabenland,Henrike Salié,Jovan Tanevski,Saskia Killmer,Marilyn Salvat Lago,Alexandra Emilia Schlaak,Lena Mayer,Jakob Matschke,Klaus Püschel,Antonia Fitzek,Benjamin Ondruschka,Henrik E Mei,Tobias Boettler,Christoph Neumann-Haefelin,Maike Hofmann,Angele Breithaupt,Nafiye Genc,Christine Stadelmann,Julio Saez-Rodriguez,Peter Bronsert,Klaus-Peter Knobeloch,Thomas Blank,Robert Thimme,Markus Glatzel,Marco Prinz,Bertram Bengsch

Cancers 13: PubMed33916683

2021

Immune Milieu Established by Postpartum Liver Involution Promotes Breast Cancer Liver Metastasis.

Applications

Unspecified application

Species

Unspecified reactive species

Alexandra Q Bartlett,Nathan D Pennock,Alex Klug,Pepper Schedin

PloS one 15:e0229743 PubMed32106280

2020

High-mobility group box (TOX) antibody a useful tool for the identification of B and T cell subpopulations.

Applications

WB

Species

Human

Lorena Maestre,Juan Fernando García-García,Scherezade Jiménez,Ana Isabel Reyes-García,Álvaro García-González,Santiago Montes-Moreno,Alberto J Arribas,Patricia González-García,Eduardo Caleiras,Alison H Banham,Miguel Ángel Piris,Giovanna Roncador
View all publications

Product promise

We are committed to supporting your work with high-quality reagents, and we're here for you every step of the way. In the unlikely event that one of our products does not perform as expected, you're protected by our Product Promise.
For full details, please see our Terms & Conditions

Please note: All products are 'FOR RESEARCH USE ONLY. NOT FOR USE IN DIAGNOSTIC OR THERAPEUTIC PROCEDURES'.

For licensing inquiries, please contact partnerships@abcam.com