JavaScript is disabled in your browser. Please enable JavaScript to view this website.
AB322465

Anti-TP53 (phospho S376+S377+S392) antibody [RM1161]

  • 20ul selling size
  • RabMAb
  • Recombinant
  • KO Validated
  • What is this?

Be the first to review this product! Submit a review

|

(0 Publication)

Rabbit Recombinant Multiclonal P53 phospho S376 antibody. Suitable for Dot, WB and reacts with Synthetic peptide - Human, Human samples.

View Alternative Names

P53, TP53, Cellular tumor antigen p53, Antigen NY-CO-13, Phosphoprotein p53, Tumor suppressor p53, P53, TP53, Cellular tumor antigen p53, Antigen NY-CO-13, Phosphoprotein p53, Tumor suppressor p53, P53, TP53, Cellular tumor antigen p53, Antigen NY-CO-13, Phosphoprotein p53, Tumor suppressor p53

4 Images
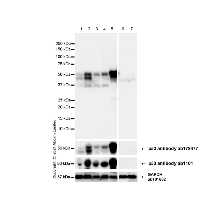
Western blot - Anti-TP53 (phospho S376+S377+S392) antibody [RM1161] (AB322465)
  • WB

Supplier Data

Western blot - Anti-TP53 (phospho S376+S377+S392) antibody [RM1161] (AB322465)

Blocking and diluting buffer and concentration : 5% NFDM/TBST.

Negative control : HL-60 (p53 null), NCI-H1299 (p53 null).

The expression profile/ molecular weight observed is consistent with what has been described in the literature (PMID : 21941372, PMID : 21779513, PMID : 25996291).

In Western blot, Anti-GAPDH antibody [EPR16891] - Loading Control (ab181602) staining at 1/200000 dilution.

In Western blot, Anti-p53 antibody [DO-1] - ChIP Grade (ab1101) staining at 1/1000 dilution.

In Western blot, Anti-p53 antibody [EPR17343] (ab179477) staining at 1/1000 dilution.

All lanes:

Western blot - Anti-TP53 (phospho S376+S377+S392) antibody [RM1161] (ab322465) at 1/1000 dilution

Lane 1:

Untreated HCT 116 (human colorectal carcinoma epithelial cell) whole cell lysate at 20 µg

Lane 2:

HCT 116 treated with 20uM etoposide for 15 hours whole cell lysate at 20 µg

Lane 3:

Untreated A549 (human lung carcinoma epithelial cell) whole cell lysate at 20 µg

Lane 4:

A549 treated with 500nM doxorubicin for 24 hours whole cell lysate at 20 µg

Lane 5:

A431 (human epidermoid carcinoma epithelial cell) whole cell lysate at 20 µg

Lane 6:

HL-60 (human acute promyelocytic leukemia promyeloblast) whole cell lysate at 20 µg

Lane 7:

NCI-H1299 (human lung carcinoma epithelial cell) whole cell lysate at 20 µg

Secondary

All lanes:

Western blot - Goat Anti-Rabbit IgG H&L (HRP) (<a href='/en-us/products/secondary-antibodies/goat-rabbit-igg-h-l-hrp-ab97051'>ab97051</a>) at 1/100000 dilution

Observed band size: 53 kDa,26-48 kDa,36 kDa

false

Exposure time: 10s

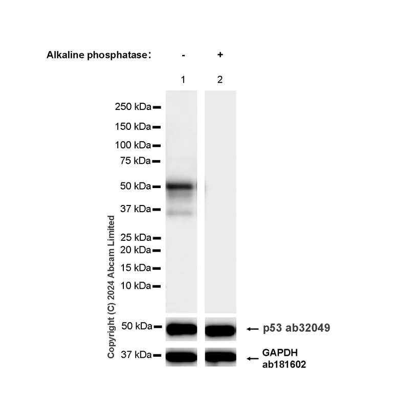
Western blot - Anti-TP53 (phospho S376+S377+S392) antibody [RM1161] (AB322465)
  • WB

Supplier Data

Western blot - Anti-TP53 (phospho S376+S377+S392) antibody [RM1161] (AB322465)

Blocking and diluting buffer and concentration : 5% NFDM/TBST.

In Western blot, Anti-GAPDH antibody [EPR16891] - Loading Control (ab181602) staining at 1/200000 dilution.

In Western blot, Anti-p53 antibody [Y5] (ab32049) staining at 1/1000 dilution.

All lanes:

Western blot - Anti-TP53 (phospho S376+S377+S392) antibody [RM1161] (ab322465) at 1/1000 dilution

Lane 1:

293T (human embryonic kidney epithelial cell) whole cell lysate (untreated membrane) at 20 µg

Lane 2:

293T whole cell lysate (alkaline phosphatase treated membrane) at 20 µg

Secondary

All lanes:

Western blot - Goat Anti-Rabbit IgG H&L (HRP) (<a href='/en-us/products/secondary-antibodies/goat-rabbit-igg-h-l-hrp-ab97051'>ab97051</a>) at 1/100000 dilution

Observed band size: 53 kDa,35-48 kDa,36 kDa

false

Exposure time: 10s

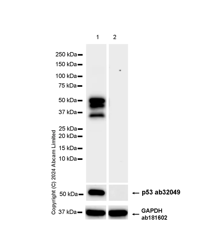
Western blot - Anti-TP53 (phospho S376+S377+S392) antibody [RM1161] (AB322465)
  • WB

Supplier Data

Western blot - Anti-TP53 (phospho S376+S377+S392) antibody [RM1161] (AB322465)

Blocking and diluting buffer and concentration : 5% NFDM/TBST.

In Western blot, ab322465 was shown to bind specifically to TP53. Target of interest was observed at 35-53 kDa in wild-type HAP1 cell lysates (lane 1) with no signal observed at this size in TP53 knockout HAP1 cell line (lane 2).

In Western blot, Anti-GAPDH antibody [EPR16891] - Loading Control (ab181602) staining at 1/200000 dilution.

In Western blot, Anti-p53 antibody [Y5] (ab32049) staining at 1/1000 dilution.

All lanes:

Western blot - Anti-TP53 (phospho S376+S377+S392) antibody [RM1161] (ab322465) at 1/1000 dilution

Lane 1:

Wild-type HAP1 (human chronic myelogenous leukemia near-haploid cell) whole cell lysate at 20 µg

Lane 2:

TP53 knockout HAP1 whole cell lysate at 20 µg

Secondary

All lanes:

Western blot - Goat Anti-Rabbit IgG H&L (HRP) (<a href='/en-us/products/secondary-antibodies/goat-rabbit-igg-h-l-hrp-ab97051'>ab97051</a>) at 1/100000 dilution

Observed band size: 53 kDa,35-48 kDa,36 kDa

false

Exposure time: 15s

Dot Blot - Anti-TP53 (phospho S376+S377+S392) antibody [RM1161] (AB322465)
  • Dot

Supplier Data

Dot Blot - Anti-TP53 (phospho S376+S377+S392) antibody [RM1161] (AB322465)

Dot blot analysis of TP53 (phospho S376+S377+S392) using ab322465 at 1 : 1000 dilution (0.499 ug/ml) followed by a Goat Anti-Rabbit IgG, (H+L), Peroxidase conjugated (ab97051) at 1 : 100,000 dilution.

Lane1 : Human p53(phospho S376) peptide
Lane2 : Human p53(phospho T377) peptide
Lane3 : Human p53(phospho S392) peptide
Lane4 : Human p53 peptide

Exposure time : 6 seconds.

Blocking and diluting buffer and concentration : 5% NFDM/TBST.

All lanes:

Dot Blot - Anti-TP53 (phospho S376+S377+S392) antibody [RM1161] (ab322465) at 1/1000 dilution

Lane 1:

Human p53(phospho S376) peptide

Lane 2:

Human p53(phospho T377) peptide

Lane 3:

Human p53(phospho S392) peptide

Lane 4:

Human p53 peptide

Secondary

All lanes:

Dot Blot - Goat Anti-Rabbit IgG H&L (HRP) (<a href='/en-us/products/secondary-antibodies/goat-rabbit-igg-h-l-hrp-ab97051'>ab97051</a>) at 1/100000 dilution

false

Exposure time: 6s

Key facts

Host species

Rabbit

Clonality

Multiclonal

Clone number

RM1161

Isotype

IgG

Carrier free

No

Reacts with

Human

Applications

WB, Dot

applications

Immunogen

This product was produced with the following immunogens:

The exact immunogen used to generate this antibody is proprietary information.

The exact immunogen used to generate this antibody is proprietary information.

Reactivity data

{ "title": "Reactivity Data", "filters": { "stats": ["", "Species", "Dilution Info", "Notes"], "tabs": { "all-applications": {"fullname" : "All Applications", "shortname": "All Applications"}, "Dot" : {"fullname" : "Dot Blot", "shortname":"Dot"}, "WB" : {"fullname" : "Western blot", "shortname":"WB"} }, "product-promise": { "all": "all", "testedAndGuaranteed": "tested", "guaranteed": "expected", "predicted": "predicted", "notRecommended": "not-recommended" } }, "values": { "Human": { "Dot-species-checked": "guaranteed", "Dot-species-dilution-info": "", "Dot-species-notes": "", "WB-species-checked": "testedAndGuaranteed", "WB-species-dilution-info": "1/1000", "WB-species-notes": "<p></p>" }, "Synthetic peptide - Human": { "Dot-species-checked": "testedAndGuaranteed", "Dot-species-dilution-info": "1/1000", "Dot-species-notes": "<p></p>", "WB-species-checked": "notRecommended", "WB-species-dilution-info": "", "WB-species-notes": "" } } }

Product details

What are recombinant multiclonals?
Recombinant multiclonals are a mixture of recombinant antibodies co-expressed from a library of heavy and light chains. They offer several advantages including:

  • - The sensitivity of polyclonal antibodies by recognising multiple epitopes
  • - High batch-to-batch consistency and reproducibility
  • - Improved sensitivity and specificity
  • - Long-term security of supply
  • - Animal-free batch production

View our range of recombinant multiclonal antibodies.

Patented technology
Our RabMAb® technology is a patented hybridoma-based technology for making rabbit monoclonal antibodies. For details on our patents, please refer to RabMAb® patents.

Properties and storage information

Form
Liquid
Purification technique
Affinity purification Protein A
Storage buffer
pH: 7.2 - 7.4 Preservative: 0.01% Sodium azide Constituents: PBS, 40% Glycerol (glycerin, glycerine), 0.05% BSA
Shipped at conditions
Blue Ice
Appropriate short-term storage duration
1-2 weeks
Appropriate short-term storage conditions
+4°C
Appropriate long-term storage conditions
-20°C
Aliquoting information
Upon delivery aliquot
Storage information
Avoid freeze / thaw cycle

Product protocols

For this product, it's our understanding that no specific protocols are required. You can visit:

Target data

Multifunctional transcription factor that induces cell cycle arrest, DNA repair or apoptosis upon binding to its target DNA sequence (PubMed : 11025664, PubMed : 12524540, PubMed : 12810724, PubMed : 15186775, PubMed : 15340061, PubMed : 17317671, PubMed : 17349958, PubMed : 19556538, PubMed : 20673990, PubMed : 20959462, PubMed : 22726440, PubMed : 24051492, PubMed : 24652652, PubMed : 35618207, PubMed : 36634798, PubMed : 38653238, PubMed : 9840937). Acts as a tumor suppressor in many tumor types; induces growth arrest or apoptosis depending on the physiological circumstances and cell type (PubMed : 11025664, PubMed : 12524540, PubMed : 12810724, PubMed : 15186775, PubMed : 15340061, PubMed : 17189187, PubMed : 17317671, PubMed : 17349958, PubMed : 19556538, PubMed : 20673990, PubMed : 20959462, PubMed : 22726440, PubMed : 24051492, PubMed : 24652652, PubMed : 38653238, PubMed : 9840937). Negatively regulates cell division by controlling expression of a set of genes required for this process (PubMed : 11025664, PubMed : 12524540, PubMed : 12810724, PubMed : 15186775, PubMed : 15340061, PubMed : 17317671, PubMed : 17349958, PubMed : 19556538, PubMed : 20673990, PubMed : 20959462, PubMed : 22726440, PubMed : 24051492, PubMed : 24652652, PubMed : 9840937). One of the activated genes is an inhibitor of cyclin-dependent kinases. Apoptosis induction seems to be mediated either by stimulation of BAX and FAS antigen expression, or by repression of Bcl-2 expression (PubMed : 12524540, PubMed : 17189187). Its pro-apoptotic activity is activated via its interaction with PPP1R13B/ASPP1 or TP53BP2/ASPP2 (PubMed : 12524540). However, this activity is inhibited when the interaction with PPP1R13B/ASPP1 or TP53BP2/ASPP2 is displaced by PPP1R13L/iASPP (PubMed : 12524540). In cooperation with mitochondrial PPIF is involved in activating oxidative stress-induced necrosis; the function is largely independent of transcription. Induces the transcription of long intergenic non-coding RNA p21 (lincRNA-p21) and lincRNA-Mkln1. LincRNA-p21 participates in TP53-dependent transcriptional repression leading to apoptosis and seems to have an effect on cell-cycle regulation. Implicated in Notch signaling cross-over. Prevents CDK7 kinase activity when associated to CAK complex in response to DNA damage, thus stopping cell cycle progression. Isoform 2 enhances the transactivation activity of isoform 1 from some but not all TP53-inducible promoters. Isoform 4 suppresses transactivation activity and impairs growth suppression mediated by isoform 1. Isoform 7 inhibits isoform 1-mediated apoptosis. Regulates the circadian clock by repressing CLOCK-BMAL1-mediated transcriptional activation of PER2 (PubMed : 24051492).
See full target information TP53 phospho S376

Additional targets

TP53 phospho T377,TP53 phospho S392

Product promise

We are committed to supporting your work with high-quality reagents, and we're here for you every step of the way. In the unlikely event that one of our products does not perform as expected, you're protected by our Product Promise.
For full details, please see our Terms & Conditions

Please note: All products are 'FOR RESEARCH USE ONLY. NOT FOR USE IN DIAGNOSTIC OR THERAPEUTIC PROCEDURES'.

For licensing inquiries, please contact partnerships@abcam.com