JavaScript is disabled in your browser. Please enable JavaScript to view this website.
AB240362

Anti-TP53INP1 antibody [EPR17974] - BSA and Azide free

Be the first to review this product! Submit a review

|

(1 Publication)

Rabbit Recombinant Monoclonal TP53INP1 antibody. Carrier free. Suitable for ICC/IF, IHC-P, WB and reacts with Human, Rat, Mouse samples. Cited in 1 publication.

View Alternative Names

P53DINP1, SIP, TP53INP1, Tumor protein p53-inducible nuclear protein 1, Stress-induced protein, p53-dependent damage-inducible nuclear protein 1, p53DINP1

4 Images
Immunocytochemistry/ Immunofluorescence - Anti-TP53INP1 antibody [EPR17974] - BSA and Azide free (AB240362)
  • ICC/IF

Supplier Data

Immunocytochemistry/ Immunofluorescence - Anti-TP53INP1 antibody [EPR17974] - BSA and Azide free (AB240362)

Immunofluorescent analysis of 4% paraformaldehyde-fixed, 0.1% Triton X-100 permeabilized HepG2 (Human liver hepatocellular carcinoma) cells labeling p53 DINP1/TP53INP1 with ab202026 at 1/300 dilution, followed by Goat anti-rabbit IgG (Alexa Fluor® 488) (ab150077) secondary antibody at 1/500 dilution (green).

Confocal image showing nuclear staining on HepG2 cells.

The nuclear counter stain is DAPI (blue).

Tubulin is detected with ab7291 (anti-Tubulin mouse mAb) at 1/1000 dilution and ab150120 (AlexaFluor®594 Goat anti-Mouse secondary) at 1/500 dilution (red).
The negative controls are as follows :
-ve control 1 : ab202026 at 1/300 dilution followed by ab150120 (AlexaFluor®594 Goat anti-Mouse secondary) at 1/500 dilution.
-ve control 2 : ab7291 (anti-Tubulin mouse mAb) at 1/1000 dilution followed by ab150077 (Alexa Fluor®488 Goat Anti-Rabbit IgG H&L) at 1/500 dilution.

This data was developed using the same antibody clone in a different buffer formulation containing PBS, BSA, glycerol, and sodium azide (ab202026).

Immunohistochemistry (Formalin/PFA-fixed paraffin-embedded sections) - Anti-TP53INP1 antibody [EPR17974] - BSA and Azide free (AB240362)
  • IHC-P

Supplier Data

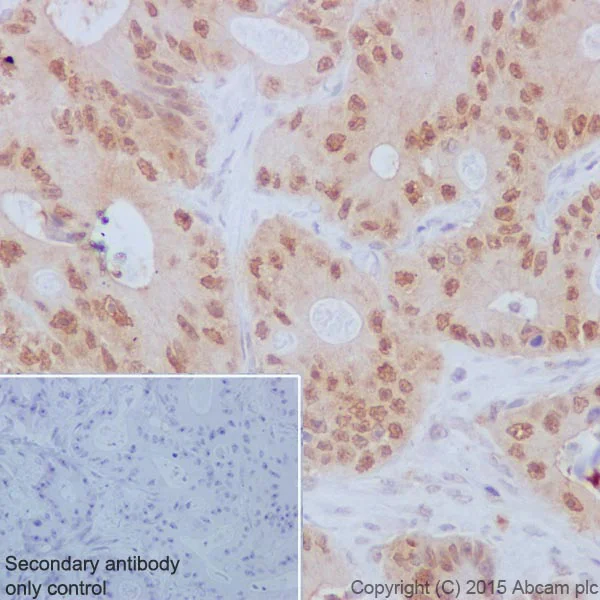
Immunohistochemistry (Formalin/PFA-fixed paraffin-embedded sections) - Anti-TP53INP1 antibody [EPR17974] - BSA and Azide free (AB240362)

Immunohistochemical analysis of paraffin-embedded Human colonic adenocarcinoma tissue labeling p53 DINP1/TP53INP1 with ab202026 at 1/150 dilution, followed by Goat Anti-Rabbit IgG H&L (HRP) (ab97051) secondary antibody at 1/500 dilution.

Cytoplasm and nucleus staining on cancer cells of Human colonic adenocarcinoma is observed.

Counter stained with Hematoxylin.

Secondary antibody only control : Used PBS instead of primary antibody, secondary antibody is Goat Anti-Rabbit IgG H&L (HRP) (ab97051) at 1/500 dilution.

This data was developed using the same antibody clone in a different buffer formulation containing PBS, BSA, glycerol, and sodium azide (ab202026).

Perform heat mediated antigen retrieval with Tris/EDTA buffer pH 9.0 before commencing with IHC staining protocol.

Immunohistochemistry (Formalin/PFA-fixed paraffin-embedded sections) - Anti-TP53INP1 antibody [EPR17974] - BSA and Azide free (AB240362)
  • IHC-P

Supplier Data

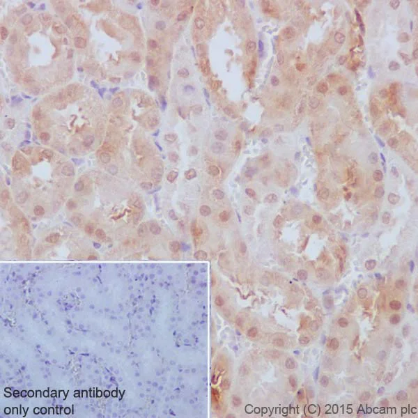
Immunohistochemistry (Formalin/PFA-fixed paraffin-embedded sections) - Anti-TP53INP1 antibody [EPR17974] - BSA and Azide free (AB240362)

Immunohistochemical analysis of paraffin-embedded Mouse kidney tissue labeling p53 DINP1/TP53INP1 with ab202026 at 1/150 dilution, followed by Goat Anti-Rabbit IgG H&L (HRP) (ab97051) secondary antibody at 1/500 dilution.

Cytoplasm staining on epithelial cells of mouse kidney tubules is observed.

Counter stained with Hematoxylin.

Secondary antibody only control : Used PBS instead of primary antibody, secondary antibody is Goat Anti-Rabbit IgG H&L (HRP) (ab97051) at 1/500 dilution.

This data was developed using the same antibody clone in a different buffer formulation containing PBS, BSA, glycerol, and sodium azide (ab202026).

Perform heat mediated antigen retrieval with Tris/EDTA buffer pH 9.0 before commencing with IHC staining protocol.

Immunohistochemistry (Formalin/PFA-fixed paraffin-embedded sections) - Anti-TP53INP1 antibody [EPR17974] - BSA and Azide free (AB240362)
  • IHC-P

Supplier Data

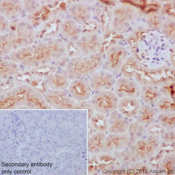
Immunohistochemistry (Formalin/PFA-fixed paraffin-embedded sections) - Anti-TP53INP1 antibody [EPR17974] - BSA and Azide free (AB240362)

Immunohistochemical analysis of paraffin-embedded Rat kidney tissue labeling p53 DINP1/TP53INP1 with ab202026 at 1/150 dilution, followed by Goat Anti-Rabbit IgG H&L (HRP) (ab97051) secondary antibody at 1/500 dilution.

Cytoplasm and weak nucleus staining on epithelial cells of rat kidney tubules is observed.

Counter stained with Hematoxylin.

Secondary antibody only control : Used PBS instead of primary antibody, secondary antibody is Goat Anti-Rabbit IgG H&L (HRP) (ab97051) at 1/500 dilution.

This data was developed using the same antibody clone in a different buffer formulation containing PBS, BSA, glycerol, and sodium azide (ab202026).

Perform heat mediated antigen retrieval with Tris/EDTA buffer pH 9.0 before commencing with IHC staining protocol.

Key facts

Host species

Rabbit

Clonality

Monoclonal

Clone number

EPR17974

Isotype

IgG

Carrier free

Yes

Reacts with

Mouse, Rat, Human

Applications

IHC-P, ICC/IF, WB

applications

Immunogen

The exact immunogen used to generate this antibody is proprietary information.

Reactivity data

{ "title": "Reactivity Data", "filters": { "stats": ["", "Species", "Dilution Info", "Notes"], "tabs": { "all-applications": {"fullname" : "All Applications", "shortname": "All Applications"}, "ICCIF" : {"fullname" : "Immunocytochemistry/ Immunofluorescence", "shortname":"ICC/IF"}, "IHCP" : {"fullname" : "Immunohistochemistry (Formalin/PFA-fixed paraffin-embedded sections)", "shortname":"IHC-P"}, "WB" : {"fullname" : "Western blot", "shortname":"WB"} }, "product-promise": { "all": "all", "testedAndGuaranteed": "tested", "guaranteed": "expected", "predicted": "predicted", "notRecommended": "not-recommended" } }, "values": { "Human": { "ICCIF-species-checked": "testedAndGuaranteed", "ICCIF-species-dilution-info": "", "ICCIF-species-notes": "<p></p>", "IHCP-species-checked": "testedAndGuaranteed", "IHCP-species-dilution-info": "", "IHCP-species-notes": "<p></p>", "WB-species-checked": "testedAndGuaranteed", "WB-species-dilution-info": "", "WB-species-notes": "<p></p>" }, "Mouse": { "ICCIF-species-checked": "guaranteed", "ICCIF-species-dilution-info": "", "ICCIF-species-notes": "", "IHCP-species-checked": "testedAndGuaranteed", "IHCP-species-dilution-info": "", "IHCP-species-notes": "<p></p>", "WB-species-checked": "testedAndGuaranteed", "WB-species-dilution-info": "", "WB-species-notes": "<p></p>" }, "Rat": { "ICCIF-species-checked": "guaranteed", "ICCIF-species-dilution-info": "", "ICCIF-species-notes": "", "IHCP-species-checked": "testedAndGuaranteed", "IHCP-species-dilution-info": "", "IHCP-species-notes": "<p></p>", "WB-species-checked": "testedAndGuaranteed", "WB-species-dilution-info": "", "WB-species-notes": "<p></p>" } } }

Product details

ab240362 is the carrier-free version of ab202026.

Patented technology
Our RabMAb® technology is a patented hybridoma-based technology for making rabbit monoclonal antibodies. For details on our patents, please refer to RabMAb® patents.

What are the advantages of a recombinant monoclonal antibody?
This product is a recombinant monoclonal antibody, which offers several advantages including:

  • - High batch-to-batch consistency and reproducibility
  • - Improved sensitivity and specificity
  • - Long-term security of supply
  • - Animal-free batch production

For more information, read more on recombinant antibodies.

Conjugation ready
Our carrier-free antibodies are typically supplied in a PBS-only formulation, purified and free of BSA, sodium azide and glycerol. This conjugation-ready format is designed for use with fluorochromes, metal isotopes, oligonucleotides, and enzymes, which makes them ideal for antibody labelling, functional and cell-based assays, flow-based assays (e.g. mass cytometry) and Multiplex Imaging applications.

Use our conjugation kits for antibody conjugates that are ready-to-use in as little as 20 minutes with 1 minute hands-on-time and 100% antibody recovery: available for fluorescent dyes, HRP, biotin and gold.

Compatibility
This product is compatible with the Maxpar® Antibody Labeling Kit from Fluidigm, without the need for antibody preparation. Maxpar® is a trademark of Fluidigm Canada Inc.

Properties and storage information

Form
Liquid
Purification technique
Affinity purification Protein A
Storage buffer
pH: 7.2 - 7.4 Constituents: PBS
Shipped at conditions
Blue Ice
Appropriate short-term storage conditions
+4°C
Appropriate long-term storage conditions
+4°C
Storage information
Do Not Freeze

Product protocols

For this product, it's our understanding that no specific protocols are required. You can visit:

Target data

Antiproliferative and proapoptotic protein involved in cell stress response which acts as a dual regulator of transcription and autophagy. Acts as a positive regulator of autophagy. In response to cellular stress or activation of autophagy, relocates to autophagosomes where it interacts with autophagosome-associated proteins GABARAP, GABARAPL1/L2, MAP1LC3A/B/C and regulates autophagy. Acts as an antioxidant and plays a major role in p53/TP53-driven oxidative stress response. Possesses both a p53/TP53-independent intracellular reactive oxygen species (ROS) regulatory function and a p53/TP53-dependent transcription regulatory function. Positively regulates p53/TP53 and p73/TP73 and stimulates their capacity to induce apoptosis and regulate cell cycle. In response to double-strand DNA breaks, promotes p53/TP53 phosphorylation on 'Ser-46' and subsequent apoptosis. Acts as a tumor suppressor by inducing cell death by an autophagy and caspase-dependent mechanism. Can reduce cell migration by regulating the expression of SPARC.
See full target information TP53INP1

Publications (1)

Recent publications for all applications. Explore the full list and refine your search

Signal transduction and targeted therapy 8:358 PubMed37735155

2023

Tauopathy promotes spinal cord-dependent production of toxic amyloid-beta in transgenic monkeys.

Applications

Unspecified application

Species

Unspecified reactive species

Zhuchi Tu,Sen Yan,Bofeng Han,Caijuan Li,Weien Liang,Yingqi Lin,Yongyan Ding,Huiyi Wei,Lu Wang,Hao Xu,Jianmeng Ye,Bang Li,Shihua Li,Xiao-Jiang Li
View all publications

Product promise

We are committed to supporting your work with high-quality reagents, and we're here for you every step of the way. In the unlikely event that one of our products does not perform as expected, you're protected by our Product Promise.
For full details, please see our Terms & Conditions

Please note: All products are 'FOR RESEARCH USE ONLY. NOT FOR USE IN DIAGNOSTIC OR THERAPEUTIC PROCEDURES'.

For licensing inquiries, please contact partnerships@abcam.com