JavaScript is disabled in your browser. Please enable JavaScript to view this website.
AB182578

Anti-TPD52 antibody [EPR14220]

Be the first to review this product! Submit a review

|

(12 Publications)

Rabbit Recombinant Monoclonal TPD52 antibody. Suitable for IP, WB, ICC/IF, Flow Cyt (Intra), IHC-P and reacts with Human, Mouse samples. Cited in 12 publications.

View Alternative Names

Tumor protein D52, Protein N8, TPD52

7 Images
Immunocytochemistry/ Immunofluorescence - Anti-TPD52 antibody [EPR14220] (AB182578)
  • ICC/IF

Supplier Data

Immunocytochemistry/ Immunofluorescence - Anti-TPD52 antibody [EPR14220] (AB182578)

Immunofluorescent analysis of MCF7 cells labeling TPD52 using ab182578 at 1/500 dilution. A Goat anti rabbit IgG (Alexa Fluor555) at 1/200 dilution was used as secondary antibody. Cells were fixed with 4% paraformaldehyde. Counterstain : DAPI.

Flow Cytometry (Intracellular) - Anti-TPD52 antibody [EPR14220] (AB182578)
  • Flow Cyt (Intra)

Unknown

Flow Cytometry (Intracellular) - Anti-TPD52 antibody [EPR14220] (AB182578)

Intracellular Flow Cytometry analysis of Raji (human Burkitt's lymphoma) cells labeling TPD52 (red) with ab182578 at a 1/350 dilution. Cells were fixed with 4% paraformaldehyde and permeabilized with 90% methanol. A goat anti-rabbit IgG (Alexa Fluor® 488) (ab150077) was used as the secondary antibody at a 1/2000 dilution. Black - Rabbit monoclonal IgG (ab172730). Blue (unlabeled control) - Cells without incubation with primary and secondary antibodies.

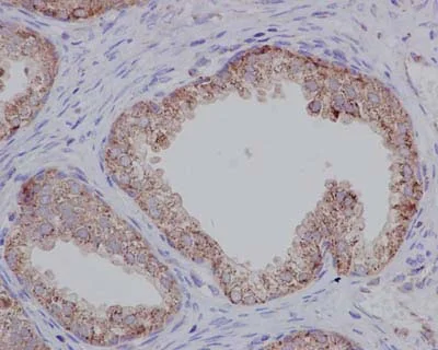
Immunohistochemistry (Formalin/PFA-fixed paraffin-embedded sections) - Anti-TPD52 antibody [EPR14220] (AB182578)
  • IHC-P

Supplier Data

Immunohistochemistry (Formalin/PFA-fixed paraffin-embedded sections) - Anti-TPD52 antibody [EPR14220] (AB182578)

Immunohistochemical analysis of paraffin-embedded Human Prostatic hyperplasia tissue labeling TPD52 using ab182578 at 1/100 dilution followed by pre-diluted HRP-conjugated secondary antibody and counter-stained with Hematoxylin.

Perform heat mediated antigen retrieval with EDTA buffer pH 9 before commencing with IHC staining protocol.

Immunoprecipitation - Anti-TPD52 antibody [EPR14220] (AB182578)
  • IP

Supplier Data

Immunoprecipitation - Anti-TPD52 antibody [EPR14220] (AB182578)

Western blot analysis of immunoprecipitation pellet from HCT-116 cell lysate (+) or a negative control (-) immunoprecipitated using ab182578 at 1/50 dilution.
Secondary : Anti-Rabbit IgG (HRP), specific to the non-reduced form of IgG at 1/1500 dilution.

All lanes:

Immunoprecipitation - Anti-TPD52 antibody [EPR14220] (ab182578)

Predicted band size: 24 kDa

false

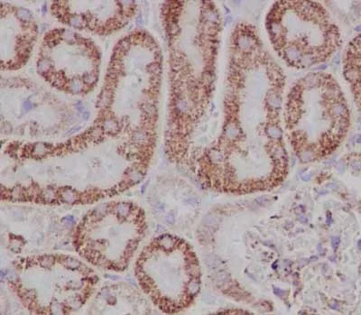
Immunohistochemistry (Formalin/PFA-fixed paraffin-embedded sections) - Anti-TPD52 antibody [EPR14220] (AB182578)
  • IHC-P

Supplier Data

Immunohistochemistry (Formalin/PFA-fixed paraffin-embedded sections) - Anti-TPD52 antibody [EPR14220] (AB182578)

Immunohistochemical analysis of paraffin-embedded Mouse kidney tissue labeling TPD52 using ab182578 at 1/100 dilution. A Ready to use HRP Polymer for Rabbit IgG (prediluted) was used as secondary. Counterstain : Hematoxylin.

Perform heat mediated antigen retrieval with EDTA buffer pH 9 before commencing with IHC staining protocol.

Western blot - Anti-TPD52 antibody [EPR14220] (AB182578)
  • WB

Supplier Data

Western blot - Anti-TPD52 antibody [EPR14220] (AB182578)

All lanes:

Western blot - Anti-TPD52 antibody [EPR14220] (ab182578) at 1/10000 dilution

All lanes:

SW480 cell lysate at 20 µg

Secondary

All lanes:

Goat Anti-Rabbit IgG, (H+L), Peroxidase conjugated at 1/1000 dilution

Predicted band size: 24 kDa

false

Western blot - Anti-TPD52 antibody [EPR14220] (AB182578)
  • WB

Supplier Data

Western blot - Anti-TPD52 antibody [EPR14220] (AB182578)

All lanes:

Western blot - Anti-TPD52 antibody [EPR14220] (ab182578) at 1/20000 dilution

Lane 1:

HCT-116 cell lysate at 10 µg

Lane 2:

Raji cell lysate at 10 µg

Lane 3:

THP1 cell lysate at 10 µg

Secondary

All lanes:

Goat Anti-Rabbit IgG, (H+L), Peroxidase conjugated at 1/1000 dilution

Predicted band size: 24 kDa

false

  • 578 PE

    PE Anti-TPD52 antibody [EPR14220]

  • 660 APC

    APC Anti-TPD52 antibody [EPR14220]

  • HRP

    HRP Anti-TPD52 antibody [EPR14220]

  • 519 Alexa Fluor® 488

    Alexa Fluor® 488 Anti-TPD52 antibody [EPR14220]

  • 665 Alexa Fluor® 647

    Alexa Fluor® 647 Anti-TPD52 antibody [EPR14220]

  • 603 Alexa Fluor® 568

    Alexa Fluor® 568 Anti-TPD52 antibody [EPR14220]

  • 565 Alexa Fluor® 555

    Alexa Fluor® 555 Anti-TPD52 antibody [EPR14220]

  • Carrier free

    Anti-TPD52 antibody [EPR14220] - BSA and Azide free

  • 617 Alexa Fluor® 594

    Alexa Fluor® 594 Anti-TPD52 antibody [EPR14220]

  • 775 Alexa Fluor® 750

    Alexa Fluor® 750 Anti-TPD52 antibody [EPR14220]

Key facts

Host species

Rabbit

Clonality

Monoclonal

Clone number

EPR14220

Isotype

IgG

Carrier free

No

Reacts with

Mouse, Human

Applications

IP, ICC/IF, WB, Flow Cyt (Intra), IHC-P

applications

Immunogen

The exact immunogen used to generate this antibody is proprietary information.

Specificity

Based on immunogen sequence analysis, ab182578 recognizes 4 isoforms with the predicted MWs of 24KDa, 20KDa, 26 KDa and 22KDa, respectively.

Reactivity data

{ "title": "Reactivity Data", "filters": { "stats": ["", "Species", "Dilution Info", "Notes"], "tabs": { "all-applications": {"fullname" : "All Applications", "shortname": "All Applications"}, "IP" : {"fullname" : "Immunoprecipitation", "shortname":"IP"}, "WB" : {"fullname" : "Western blot", "shortname":"WB"}, "ICCIF" : {"fullname" : "Immunocytochemistry/ Immunofluorescence", "shortname":"ICC/IF"}, "FlowCytIntra" : {"fullname" : "Flow Cytometry (Intracellular)", "shortname":"Flow Cyt (Intra)"}, "IHCP" : {"fullname" : "Immunohistochemistry (Formalin/PFA-fixed paraffin-embedded sections)", "shortname":"IHC-P"} }, "product-promise": { "all": "all", "testedAndGuaranteed": "tested", "guaranteed": "expected", "predicted": "predicted", "notRecommended": "not-recommended" } }, "values": { "Human": { "IP-species-checked": "testedAndGuaranteed", "IP-species-dilution-info": "1/40 - 1/60", "IP-species-notes": "<p></p>", "WB-species-checked": "testedAndGuaranteed", "WB-species-dilution-info": "1/10000 - 1/50000", "WB-species-notes": "<p></p>", "ICCIF-species-checked": "testedAndGuaranteed", "ICCIF-species-dilution-info": "1/500", "ICCIF-species-notes": "<p></p>", "FlowCytIntra-species-checked": "testedAndGuaranteed", "FlowCytIntra-species-dilution-info": "1/350", "FlowCytIntra-species-notes": "<p></p>", "IHCP-species-checked": "testedAndGuaranteed", "IHCP-species-dilution-info": "1/50 - 1/100", "IHCP-species-notes": "<p></p>" }, "Mouse": { "IP-species-checked": "guaranteed", "IP-species-dilution-info": "", "IP-species-notes": "", "WB-species-checked": "guaranteed", "WB-species-dilution-info": "", "WB-species-notes": "", "ICCIF-species-checked": "guaranteed", "ICCIF-species-dilution-info": "", "ICCIF-species-notes": "", "FlowCytIntra-species-checked": "guaranteed", "FlowCytIntra-species-dilution-info": "", "FlowCytIntra-species-notes": "", "IHCP-species-checked": "testedAndGuaranteed", "IHCP-species-dilution-info": "1/50 - 1/100", "IHCP-species-notes": "<p></p>" }, "Rat": { "IP-species-checked": "predicted", "IP-species-dilution-info": "", "IP-species-notes": "", "WB-species-checked": "predicted", "WB-species-dilution-info": "", "WB-species-notes": "", "ICCIF-species-checked": "predicted", "ICCIF-species-dilution-info": "", "ICCIF-species-notes": "", "FlowCytIntra-species-checked": "predicted", "FlowCytIntra-species-dilution-info": "", "FlowCytIntra-species-notes": "", "IHCP-species-checked": "predicted", "IHCP-species-dilution-info": "", "IHCP-species-notes": "" } } }

Product details

Patented technology
Our RabMAb® technology is a patented hybridoma-based technology for making rabbit monoclonal antibodies. For details on our patents, please refer to RabMAb® patents.

What are the advantages of a recombinant monoclonal antibody?
This product is a recombinant monoclonal antibody, which offers several advantages including:

  • - High batch-to-batch consistency and reproducibility
  • - Improved sensitivity and specificity
  • - Long-term security of supply
  • - Animal-free batch production

For more information, read more on recombinant antibodies.

Properties and storage information

Form
Liquid
Purification technique
Affinity purification Protein A
Storage buffer
pH: 7.2 Preservative: 0.01% Sodium azide Constituents: PBS, 40% Glycerol (glycerin, glycerine), 0.05% BSA
Shipped at conditions
Blue Ice
Appropriate short-term storage duration
1-2 weeks
Appropriate short-term storage conditions
+4°C
Appropriate long-term storage conditions
-20°C
Aliquoting information
Upon delivery aliquot
Storage information
Avoid freeze / thaw cycle

Supplementary information

This supplementary information is collated from multiple sources and compiled automatically.

The Tumor Protein D52 (TPD52) is a 224 amino acid protein also known as PrLZ or D52-like protein 1 with a mass of approximately 23 kDa. TPD52 features prominently in the regulation of cell proliferation and vesicle trafficking. It is expressed in a wide range of tissues with significant expression levels in the pancreas prostate and various cancers. TPD52 associates with other members of the D52 family proteins forming homo- or heterodimers that play a part in its function.
Biological function summary

TPD52 is involved in cellular processes like growth apoptosis and exocytosis. It often forms part of protein complexes assisting in intracellular signaling pathways and vesicular transport mechanisms. The ability of TPD52 to interface with other proteins such as 14-3-3 or annexins provides it with diverse functionality. Moreover its involvement in regulating secretory pathways underlines its importance in different cell types particularly those with high secretion activity.

Pathways

TPD52 integrates into the MAPK and calcium signaling pathways. The MAPK pathway which includes key proteins like ERK1/2 involves TPD52 in processes affecting cell growth and differentiation. TPD52 can act upstream or downstream of MAPK components indicating its dynamic role in the pathway. Similarly in calcium signaling TPD52 interacts with annexins which position it within calcium-dependent exocytotic events and cellular responses dependent on Ca2+ dynamics.

TPD52 shows an association with cancers such as prostate and breast cancer. In breast cancer its overexpression correlates with rapid tumor growth and decreased patient survival rates. TPD52's link to the protein AKT suggests a role in oncogenic pathways where AKT promotes cell survival and growth. Similarly in prostate cancer altered expression levels of TPD52 may enhance tumorigenic potential and aggressiveness establishing TPD52 as a potential therapeutic target for cancer treatments.

Product protocols

For this product, it's our understanding that no specific protocols are required. You can visit:

Publications (12)

Recent publications for all applications. Explore the full list and refine your search

Biomedicines 12: PubMed39767632

2025

Tumor Protein D53 (TPD53): Involvement in Malignant Transformation of Low-Malignant Oral Squamous Cell Carcinoma Cells.

Applications

Unspecified application

Species

Unspecified reactive species

Masataka Watanabe,Yoshiki Mukudai,Nodoka Kindaichi,Maki Nara,Konomi Yamada,Yuzo Abe,Asami Houri,Toshikazu Shimane,Tatsuo Shirota

Advanced science (Weinheim, Baden-Wurttemberg, Germany) 11:e2405441 PubMed39401430

2024

The Tumor Suppressor TPD52-Governed Endoplasmic Reticulum Stress is Modulated by APC.

Applications

Unspecified application

Species

Unspecified reactive species

Weichao Dan,Yizeng Fan,Yuzhao Wang,Tao Hou,Yi Wei,Bo Liu,Mengxing Li,Jiaqi Chen,Qixiang Fang,Taotao Que,Yuzeshi Lei,Chendong Guo,Chi Wang,Yang Gao,Jin Zeng,Lei Li

Chinese clinical oncology 13:33 PubMed38859601

2024

TPD52 is a prognostic biomarker and potential therapeutic target for ER+/PR+/HER2+ breast cancer.

Applications

Unspecified application

Species

Unspecified reactive species

Xiaolin Cheng,Zhengdong Li,Xiaoqing Jia,Zhiyuan Fan,Qizhi He,Zhigang Zhuang

Cell death & disease 13:386 PubMed35444189

2022

The caspase-2 substrate p54nrb exhibits a multifaceted role in tumor cell death susceptibility via gene regulatory functions.

Applications

Unspecified application

Species

Unspecified reactive species

Madeleine Eichler,Ute Distler,Usman Nasrullah,Aswini Krishnan,Manuel Kaulich,Koraljka Husnjak,Wolfgang Eberhardt,Krishnaraj Rajalingam,Stefan Tenzer,Josef Pfeilschifter,Gergely Imre

Cancer management and research 13:9439-9452 PubMed35002322

2021

Hsa_circ_0007637 Facilitates Nasopharyngeal Carcinoma Progression by Sponging miR-636/TPD52 Axis.

Applications

Unspecified application

Species

Unspecified reactive species

Yihong Wang,Manyi Li,Chen Pan,Haiping Huang,Xiaoqing Hu,Jisheng Liu

Cell & bioscience 11:122 PubMed34217360

2021

Tumor protein D52 is upregulated in oral squamous carcinoma cells under hypoxia in a hypoxia-inducible-factor-independent manner and is involved in cell death resistance.

Applications

Unspecified application

Species

Unspecified reactive species

Yuzo Abe,Yoshiki Mukudai,Mai Kurihara,Asami Houri,Junichiro Chikuda,Atsutoshi Yaso,Kosuke Kato,Toshikazu Shimane,Tatsuo Shirota

Biochemical and biophysical research communication : PubMed33036757

2020

LINC01133 contribute to epithelial ovarian cancer metastasis by regulating miR-495-3p/TPD52 axis.

Applications

Unspecified application

Species

Unspecified reactive species

Shaoqiu Liu,Xiaowei Xi

Cancer management and research 12:9435-9448 PubMed33061631

2020

Hsa_circ_0084927 Regulates Cervical Cancer Advancement via Regulation of the miR-634/TPD52 Axis.

Applications

Unspecified application

Species

Unspecified reactive species

Peijing Shi,Xiaoyong Zhang,Chunxiang Lou,Yunxia Xue,Ruibao Guo,Shuzhen Chen

International journal of oncology 57:574-586 PubMed32467999

2020

MicroRNA‑103a‑3p promotes metastasis by targeting TPD52 in salivary adenoid cystic carcinoma.

Applications

Unspecified application

Species

Unspecified reactive species

Min Fu,Chu-Wen Chen,Lin-Qian Yang,Wen-Wen Yang,Zhi-Hao Du,Yin-Ran Li,Sheng-Lin Li,Xi-Yuan Ge

Open medicine (Warsaw, Poland) 14:456-466 PubMed31206033

2019

miR-107 Enhances the Sensitivity of Breast Cancer Cells to Paclitaxel.

Applications

Unspecified application

Species

Unspecified reactive species

Guangshun Wang,Changpo Ma,Xuejun Shi,Wenchao Guo,Jianxin Niu
View all publications

Product promise

We are committed to supporting your work with high-quality reagents, and we're here for you every step of the way. In the unlikely event that one of our products does not perform as expected, you're protected by our Product Promise.
For full details, please see our Terms & Conditions

Please note: All products are 'FOR RESEARCH USE ONLY. NOT FOR USE IN DIAGNOSTIC OR THERAPEUTIC PROCEDURES'.

For licensing inquiries, please contact partnerships@abcam.com