JavaScript is disabled in your browser. Please enable JavaScript to view this website.
AB125877

Anti-TPH2 antibody

5

(1 Review)

|

(3 Publications)

Rabbit Polyclonal TPH2 antibody. Suitable for WB and reacts with Mouse, Human samples. Cited in 3 publications. Immunogen corresponding to Recombinant Fragment Protein within Human TPH2 aa 150 to C-terminus.

View Alternative Names

NTPH, TPH2, Tryptophan 5-hydroxylase 2, Neuronal tryptophan hydroxylase, Tryptophan 5-monooxygenase 2

3 Images
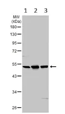
Western blot - Anti-TPH2 antibody (AB125877)
  • WB

Supplier Data

Western blot - Anti-TPH2 antibody (AB125877)

Samples were separated by 10% SDS PAGE.

All lanes:

Western blot - Anti-TPH2 antibody (ab125877) at 1/1000 dilution

Lane 1:

SK-N-SH whole cell extracts at 30 µg

Lane 2:

IMR32 whole cell extracts at 30 µg

Lane 3:

SK-N-AS whole cell extracts at 30 µg

Secondary

All lanes:

HRP-conjugated anti-rabbit IgG antibody

Predicted band size: 56 kDa

false

Western blot - Anti-TPH2 antibody (AB125877)
  • WB

Supplier Data

Western blot - Anti-TPH2 antibody (AB125877)

Samples were separated by 10% SDS PAGE.

All lanes:

Western blot - Anti-TPH2 antibody (ab125877) at 1/1000 dilution

All lanes:

Mouse hippocampus tissue extract at 50 µg

Secondary

All lanes:

HRP-conjugated anti-rabbit IgG antibody

Predicted band size: 56 kDa

false

Western blot - Anti-TPH2 antibody (AB125877)
  • WB

Supplier Data

Western blot - Anti-TPH2 antibody (AB125877)

Samples were separated by 10% SDS PAGE.

All lanes:

Western blot - Anti-TPH2 antibody (ab125877) at 1/1000 dilution

All lanes:

Mouse midbrain tissue extract at 50 µg

Secondary

All lanes:

HRP-conjugated anti-rabbit IgG antibody

Predicted band size: 56 kDa

false

Key facts

Host species

Rabbit

Clonality

Polyclonal

Isotype

IgG

Carrier free

No

Reacts with

Human, Mouse

Applications

WB

applications

Immunogen

Recombinant Fragment Protein within Human TPH2 aa 150 to C-terminus. The exact immunogen used to generate this antibody is proprietary information.

Q8IWU9

Reactivity data

{ "title": "Reactivity Data", "filters": { "stats": ["", "Species", "Dilution Info", "Notes"], "tabs": { "all-applications": {"fullname" : "All Applications", "shortname": "All Applications"}, "WB" : {"fullname" : "Western blot", "shortname":"WB"} }, "product-promise": { "all": "all", "testedAndGuaranteed": "tested", "guaranteed": "expected", "predicted": "predicted", "notRecommended": "not-recommended" } }, "values": { "Human": { "WB-species-checked": "testedAndGuaranteed", "WB-species-dilution-info": "1/500 - 1/3000", "WB-species-notes": "<p></p>" }, "Mouse": { "WB-species-checked": "testedAndGuaranteed", "WB-species-dilution-info": "1/500 - 1/3000", "WB-species-notes": "<p></p>" }, "Rat": { "WB-species-checked": "predicted", "WB-species-dilution-info": "", "WB-species-notes": "" }, "Chicken": { "WB-species-checked": "predicted", "WB-species-dilution-info": "", "WB-species-notes": "" }, "Dog": { "WB-species-checked": "predicted", "WB-species-dilution-info": "", "WB-species-notes": "" }, "Monkey": { "WB-species-checked": "predicted", "WB-species-dilution-info": "", "WB-species-notes": "" }, "Zebrafish": { "WB-species-checked": "predicted", "WB-species-dilution-info": "", "WB-species-notes": "" } } }

Properties and storage information

Form
Liquid
Purification technique
Affinity purification Immunogen
Storage buffer
pH: 7 Preservative: 0.025% Proclin 300 Constituents: PBS, 20% Glycerol (glycerin, glycerine)
Shipped at conditions
Blue Ice
Appropriate short-term storage conditions
+4°C
Appropriate long-term storage conditions
-20°C
Aliquoting information
Upon delivery aliquot
Storage information
Avoid freeze / thaw cycle

Supplementary information

This supplementary information is collated from multiple sources and compiled automatically.

The TPH2 protein also known as Tryptophan Hydroxylase 2 acts as a catalyst in the rate-limiting step of serotonin biosynthesis. It resides mostly in the brain specifically within neurons of the central nervous system where it facilitates the conversion of tryptophan to 5-hydroxytryptophan. TPH2 has a molecular mass of approximately 55 kDa. TPH2 expression is mainly observed in the raphe nuclei a region involved in mood regulation and other neural functions.
Biological function summary

TPH2 is essential for serotonin production impacting mood cognition and neurodevelopment. It functions independently rather than as part of a complex. By controlling serotonin levels TPH2 influences many physiological processes including sleep cycles appetite and emotional status. Its activity is important for maintaining normal levels of serotonin in the synaptic cleft therefore contributing to overall neural communication.

Pathways

TPH2 is involved in the serotonin biosynthesis pathway where it regulates serotonin production. This pathway is vital for mood and emotional regulation. TPH2 also interacts with enzymes like AADC (Aromatic L-amino acid decarboxylase) which further converts 5-hydroxytryptophan into serotonin. These interactions ensure a balanced production of serotonin essential for proper neuronal signaling and stable mental states.

TPH2 has connections with mental health conditions such as depression and anxiety disorders. Altered TPH2 function can lead to reduced serotonin levels contributing to the pathophysiology of these disorders. Studies show that TPH2 may interact with proteins like MAOA (Monoamine oxidase A) where mutations or dysregulation can exacerbate mood disorders. Understanding TPH2's role offers insights into therapeutic strategies targeting serotonin imbalances in mental health conditions.

Product protocols

For this product, it's our understanding that no specific protocols are required. You can visit:

Publications (3)

Recent publications for all applications. Explore the full list and refine your search

eLife 12: PubMed37432316

2023

Dynamic regulation of inter-organelle communication by ubiquitylation controls skeletal muscle development and disease onset.

Applications

Unspecified application

Species

Unspecified reactive species

Arian Mansur,Remi Joseph,Euri S Kim,Pierre M Jean-Beltran,Namrata D Udeshi,Cadence Pearce,Hanjie Jiang,Reina Iwase,Miroslav P Milev,Hashem A Almousa,Elyshia McNamara,Jeffrey Widrick,Claudio Perez,Gianina Ravenscroft,Michael Sacher,Philip A Cole,Steven A Carr,Vandana A Gupta

International journal of molecular sciences 24: PubMed37047627

2023

Multi-Region Microdialysis Imaging Platform Revealed Dorsal Raphe Nucleus Calcium Signaling and Serotonin Dynamics during Nociceptive Pain.

Applications

Unspecified application

Species

Unspecified reactive species

Latiful Akbar,Virgil Christian Garcia Castillo,Joshua Philippe Olorocisimo,Yasumi Ohta,Mamiko Kawahara,Hironari Takehara,Makito Haruta,Hiroyuki Tashiro,Kiyotaka Sasagawa,Masahiro Ohsawa,Yasemin M Akay,Metin Akay,Jun Ohta

Molecular and cellular endocrinology 493:110472 PubMed31167113

2019

The development of the serotonergic and dopaminergic systems during chicken mid-late embryogenesis.

Applications

Unspecified application

Species

Unspecified reactive species

Xiaohong Huang,Shihuan Kuang,Todd J Applegate,Tsang-Long Lin,Heng-Wei Cheng
View all publications

Product promise

We are committed to supporting your work with high-quality reagents, and we're here for you every step of the way. In the unlikely event that one of our products does not perform as expected, you're protected by our Product Promise.
For full details, please see our Terms & Conditions

Please note: All products are 'FOR RESEARCH USE ONLY. NOT FOR USE IN DIAGNOSTIC OR THERAPEUTIC PROCEDURES'.

For licensing inquiries, please contact partnerships@abcam.com