JavaScript is disabled in your browser. Please enable JavaScript to view this website.
AB240286

Anti-TPH2 antibody [EPR19191] - BSA and Azide free

Be the first to review this product! Submit a review

|

(1 Publication)

Rabbit Recombinant Monoclonal TPH2 antibody. Carrier free. Suitable for IP, WB, IHC-Fr, IHC-P and reacts with Mouse, Rat samples. Cited in 1 publication.

View Alternative Names

Ntph, Tph2, Tryptophan 5-hydroxylase 2, Neuronal tryptophan hydroxylase, Tryptophan 5-monooxygenase 2

7 Images
Immunohistochemistry (Formalin/PFA-fixed paraffin-embedded sections) - Anti-TPH2 antibody [EPR19191] - BSA and Azide free (AB240286)
  • IHC-P

Supplier Data

Immunohistochemistry (Formalin/PFA-fixed paraffin-embedded sections) - Anti-TPH2 antibody [EPR19191] - BSA and Azide free (AB240286)

Immunohistochemical analysis of paraffin-embedded Rat stomach tissue labeling TPH2 with ab184505 at 1/250 dilution, followed by Goat Anti-Rabbit IgG H&L (HRP) (ab97051) at 1/500 dilution. No staining on rat stomach. Counter stained with Hematoxylin.

This data was developed using the same antibody clone in a different buffer formulation containing PBS, BSA, glycerol, and sodium azide (ab184505).

Perform heat mediated antigen retrieval with Tris/EDTA buffer pH 9.0 before commencing with IHC staining protocol.

Immunohistochemistry (Formalin/PFA-fixed paraffin-embedded sections) - Anti-TPH2 antibody [EPR19191] - BSA and Azide free (AB240286)
  • IHC-P

Supplier Data

Immunohistochemistry (Formalin/PFA-fixed paraffin-embedded sections) - Anti-TPH2 antibody [EPR19191] - BSA and Azide free (AB240286)

Immunohistochemical analysis of paraffin-embedded Rat brainstem tissue labeling TPH2 with ab184505 at 1/250 dilution, followed by Goat Anti-Rabbit IgG H&L (HRP) (ab97051) at 1/500 dilution. Cytoplasm staining on dorsal raphe cells of rat brainstem [PMID : 22912815]. Counter stained with Hematoxylin.

Secondary antibody only control : Used PBS instead of primary antibody, secondary antibody is ab97051 at 1/500 dilution.

This data was developed using the same antibody clone in a different buffer formulation containing PBS, BSA, glycerol, and sodium azide (ab184505).

Perform heat mediated antigen retrieval with Tris/EDTA buffer pH 9.0 before commencing with IHC staining protocol.

Immunohistochemistry (Frozen sections) - Anti-TPH2 antibody [EPR19191] - BSA and Azide free (AB240286)
  • IHC-Fr

Unknown

Immunohistochemistry (Frozen sections) - Anti-TPH2 antibody [EPR19191] - BSA and Azide free (AB240286)

Immunohistochemical analysis of 4% PFA-fixed, 0.2% Triton X-100 permeabilized frozen Mouse cerebrum tissue labeling TPH2 with ab184505 at 1/500 dilution followed by ab150077 Goat Anti-Rabbit IgG H&L (Alexa Fluor® 488) at 1/1000 (2 ug/ml) dilution (Green). Positive staining on mouse cerebrum. is observed. The nuclear counterstain was DAPI (Blue).

Secondary antibody control : Secondary antibody is ab150077 Goat Anti-Rabbit IgG H&L (Alexa Fluor® 488) at 1000 (2 ug/ml) dilution.

Heat mediated antigen retrieval using sodium citrate buffer (10mM citrate pH 6.0 + 0.05% Tween-20).

This data was developed using the same antibody clone in a different buffer formulation containing PBS, BSA, glycerol, and sodium azide (ab184505).

Immunohistochemistry (Formalin/PFA-fixed paraffin-embedded sections) - Anti-TPH2 antibody [EPR19191] - BSA and Azide free (AB240286)
  • IHC-P

Supplier Data

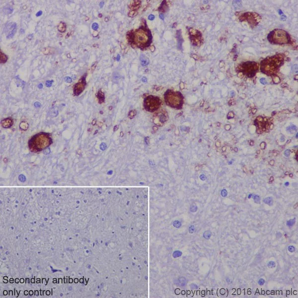
Immunohistochemistry (Formalin/PFA-fixed paraffin-embedded sections) - Anti-TPH2 antibody [EPR19191] - BSA and Azide free (AB240286)

Immunohistochemical analysis of paraffin-embedded Mouse brainstem tissue labeling TPH2 with ab184505 at 1/250 dilution, followed by Goat Anti-Rabbit IgG H&L (HRP) (ab97051) at 1/500 dilution. Cytoplasm staining on dorsal raphe cells of mouse brainstem [PMID : 22912815]. Counter stained with Hematoxylin.

Secondary antibody only control : Used PBS instead of primary antibody, secondary antibody is ab97051 at 1/500 dilution.

This data was developed using the same antibody clone in a different buffer formulation containing PBS, BSA, glycerol, and sodium azide (ab184505).

Perform heat mediated antigen retrieval with Tris/EDTA buffer pH 9.0 before commencing with IHC staining protocol.

Immunohistochemistry (Formalin/PFA-fixed paraffin-embedded sections) - Anti-TPH2 antibody [EPR19191] - BSA and Azide free (AB240286)
  • IHC-P

Supplier Data

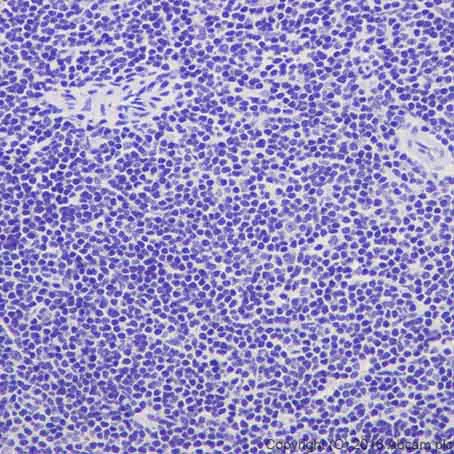
Immunohistochemistry (Formalin/PFA-fixed paraffin-embedded sections) - Anti-TPH2 antibody [EPR19191] - BSA and Azide free (AB240286)

Immunohistochemical analysis of paraffin-embedded Mouse spleen tissue labeling TPH2 with ab184505 at 1/250 dilution, followed by Goat Anti-Rabbit IgG H&L (HRP) (ab97051) at 1/500 dilution. No staining on mouse spleen. Counter stained with Hematoxylin.

This data was developed using the same antibody clone in a different buffer formulation containing PBS, BSA, glycerol, and sodium azide (ab184505).

Perform heat mediated antigen retrieval with Tris/EDTA buffer pH 9.0 before commencing with IHC staining protocol.

Immunohistochemistry (Frozen sections) - Anti-TPH2 antibody [EPR19191] - BSA and Azide free (AB240286)
  • IHC-Fr

Supplier Data

Immunohistochemistry (Frozen sections) - Anti-TPH2 antibody [EPR19191] - BSA and Azide free (AB240286)

Immunohistochemical analysis of 4% paraformaldehyde-fixed, 0.2% Triton X-100 permeabilized frozen Mouse brainstem tissue labeling TPH2 with ab184505 at 1/500 dilution, followed by Goat Anti-Rabbit IgG (Alexa Fluor® 488) (ab150077) secondary antibody at 1/1000 dilution (green). Cytoplasm staining on dorsal raphe cells of mouse brainstem [PMID : 22912815]. The nuclear counterstain is DAPI (blue).

Secondary antibody only control : Used PBS instead of primary antibody, secondary antibody is ab150077 secondary antibody at 1/1000 dilution.

This data was developed using the same antibody clone in a different buffer formulation containing PBS, BSA, glycerol, and sodium azide (ab184505).

Immunoprecipitation - Anti-TPH2 antibody [EPR19191] - BSA and Azide free (AB240286)
  • IP

Supplier Data

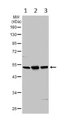
Immunoprecipitation - Anti-TPH2 antibody [EPR19191] - BSA and Azide free (AB240286)

TPH2 was immunoprecipitated from 0.35 mg of Mouse brain lysate with ab184505 at 1/40 dilution. Western blot was performed from the immunoprecipitate using ab184505 at 1/500 dilution. VeriBlot for IP Detection Reagent (HRP) (ab131366), was used for detection at 1/1000 dilution.

Lane 1 : Mouse brain lysate, 10μg (Input).

Lane 2 : ab184505 IP in Mouse brain lysate.

Lane 3 : Rabbit IgG,monoclonal [EPR25A]-Isotype Control (ab172730) instead of ab184505 in Mouse brain lysate.

Blocking and dilution buffer and concentration : 5% NFDM/TBST.

Exposure time : 10 seconds.

This data was developed using the same antibody clone in a different buffer formulation containing PBS, BSA, glycerol, and sodium azide (ab184505).

All lanes:

Immunoprecipitation - Anti-TPH2 antibody [EPR19191] (<a href='/en-us/products/primary-antibodies/tph2-antibody-epr19191-ab184505'>ab184505</a>)

Predicted band size: 56 kDa

false

Key facts

Host species

Rabbit

Clonality

Monoclonal

Clone number

EPR19191

Isotype

IgG

Carrier free

Yes

Reacts with

Mouse, Rat

Applications

IHC-P, IHC-Fr, WB, IP

applications

Immunogen

The exact immunogen used to generate this antibody is proprietary information.

Reactivity data

{ "title": "Reactivity Data", "filters": { "stats": ["", "Species", "Dilution Info", "Notes"], "tabs": { "all-applications": {"fullname" : "All Applications", "shortname": "All Applications"}, "IP" : {"fullname" : "Immunoprecipitation", "shortname":"IP"}, "WB" : {"fullname" : "Western blot", "shortname":"WB"}, "IHCFr" : {"fullname" : "Immunohistochemistry (Frozen sections)", "shortname":"IHC-Fr"}, "IHCP" : {"fullname" : "Immunohistochemistry (Formalin/PFA-fixed paraffin-embedded sections)", "shortname":"IHC-P"} }, "product-promise": { "all": "all", "testedAndGuaranteed": "tested", "guaranteed": "expected", "predicted": "predicted", "notRecommended": "not-recommended" } }, "values": { "Human": { "IP-species-checked": "notRecommended", "IP-species-dilution-info": "", "IP-species-notes": "", "WB-species-checked": "notRecommended", "WB-species-dilution-info": "", "WB-species-notes": "<p></p>", "IHCFr-species-checked": "notRecommended", "IHCFr-species-dilution-info": "", "IHCFr-species-notes": "", "IHCP-species-checked": "notRecommended", "IHCP-species-dilution-info": "", "IHCP-species-notes": "" }, "Mouse": { "IP-species-checked": "testedAndGuaranteed", "IP-species-dilution-info": "", "IP-species-notes": "<p></p>", "WB-species-checked": "testedAndGuaranteed", "WB-species-dilution-info": "", "WB-species-notes": "<p></p>", "IHCFr-species-checked": "testedAndGuaranteed", "IHCFr-species-dilution-info": "", "IHCFr-species-notes": "<p></p>", "IHCP-species-checked": "testedAndGuaranteed", "IHCP-species-dilution-info": "", "IHCP-species-notes": "<p></p>" }, "Rat": { "IP-species-checked": "predicted", "IP-species-dilution-info": "", "IP-species-notes": "", "WB-species-checked": "guaranteed", "WB-species-dilution-info": "", "WB-species-notes": "<p></p>", "IHCFr-species-checked": "predicted", "IHCFr-species-dilution-info": "", "IHCFr-species-notes": "", "IHCP-species-checked": "predicted", "IHCP-species-dilution-info": "", "IHCP-species-notes": "" } } }

Product details

ab240286 is the carrier-free version of ab184505.

Patented technology
Our RabMAb® technology is a patented hybridoma-based technology for making rabbit monoclonal antibodies. For details on our patents, please refer to RabMAb® patents.

What are the advantages of a recombinant monoclonal antibody?
This product is a recombinant monoclonal antibody, which offers several advantages including:

  • - High batch-to-batch consistency and reproducibility
  • - Improved sensitivity and specificity
  • - Long-term security of supply
  • - Animal-free batch production

For more information, read more on recombinant antibodies.

Conjugation ready
Our carrier-free antibodies are typically supplied in a PBS-only formulation, purified and free of BSA, sodium azide and glycerol. This conjugation-ready format is designed for use with fluorochromes, metal isotopes, oligonucleotides, and enzymes, which makes them ideal for antibody labelling, functional and cell-based assays, flow-based assays (e.g. mass cytometry) and Multiplex Imaging applications.

Use our conjugation kits for antibody conjugates that are ready-to-use in as little as 20 minutes with 1 minute hands-on-time and 100% antibody recovery: available for fluorescent dyes, HRP, biotin and gold.

Compatibility
This product is compatible with the Maxpar® Antibody Labeling Kit from Fluidigm, without the need for antibody preparation. Maxpar® is a trademark of Fluidigm Canada Inc.

Properties and storage information

Form
Liquid
Purification technique
Affinity purification Protein A
Storage buffer
pH: 7.2 - 7.4 Constituents: PBS
Shipped at conditions
Blue Ice
Appropriate short-term storage conditions
+4°C
Appropriate long-term storage conditions
+4°C
Storage information
Do Not Freeze

Supplementary information

This supplementary information is collated from multiple sources and compiled automatically.

The TPH2 protein also known as Tryptophan Hydroxylase 2 acts as a catalyst in the rate-limiting step of serotonin biosynthesis. It resides mostly in the brain specifically within neurons of the central nervous system where it facilitates the conversion of tryptophan to 5-hydroxytryptophan. TPH2 has a molecular mass of approximately 55 kDa. TPH2 expression is mainly observed in the raphe nuclei a region involved in mood regulation and other neural functions.
Biological function summary

TPH2 is essential for serotonin production impacting mood cognition and neurodevelopment. It functions independently rather than as part of a complex. By controlling serotonin levels TPH2 influences many physiological processes including sleep cycles appetite and emotional status. Its activity is important for maintaining normal levels of serotonin in the synaptic cleft therefore contributing to overall neural communication.

Pathways

TPH2 is involved in the serotonin biosynthesis pathway where it regulates serotonin production. This pathway is vital for mood and emotional regulation. TPH2 also interacts with enzymes like AADC (Aromatic L-amino acid decarboxylase) which further converts 5-hydroxytryptophan into serotonin. These interactions ensure a balanced production of serotonin essential for proper neuronal signaling and stable mental states.

TPH2 has connections with mental health conditions such as depression and anxiety disorders. Altered TPH2 function can lead to reduced serotonin levels contributing to the pathophysiology of these disorders. Studies show that TPH2 may interact with proteins like MAOA (Monoamine oxidase A) where mutations or dysregulation can exacerbate mood disorders. Understanding TPH2's role offers insights into therapeutic strategies targeting serotonin imbalances in mental health conditions.

Product protocols

For this product, it's our understanding that no specific protocols are required. You can visit:

Publications (1)

Recent publications for all applications. Explore the full list and refine your search

European journal of histochemistry : EJH 65: PubMed34587716

2021

Long noncoding RNA Meg3 mediates ferroptosis induced by oxygen and glucose deprivation combined with hyperglycemia in rat brain microvascular endothelial cells, through modulating the p53/GPX4 axis.

Applications

Unspecified application

Species

Unspecified reactive species

Cheng Chen,Yan Huang,Pingping Xia,Fan Zhang,Longyan Li,E Wang,Qulian Guo,Zhi Ye
View all publications

Product promise

We are committed to supporting your work with high-quality reagents, and we're here for you every step of the way. In the unlikely event that one of our products does not perform as expected, you're protected by our Product Promise.
For full details, please see our Terms & Conditions

Please note: All products are 'FOR RESEARCH USE ONLY. NOT FOR USE IN DIAGNOSTIC OR THERAPEUTIC PROCEDURES'.

For licensing inquiries, please contact partnerships@abcam.com