JavaScript is disabled in your browser. Please enable JavaScript to view this website.
AB288068

Anti-TPH2 antibody [EPR25100-29] - BSA and Azide free

  • BOND RX™ Validated
  • RabMAb
  • Recombinant
  • Advanced Validation
  • What is this?

Be the first to review this product! Submit a review

|

(0 Publication)

Rabbit Recombinant Monoclonal TPH2 antibody. Carrier free. Suitable for mIHC, ICC/IF, IP, Flow Cyt, WB, IHC-P, IHC-Fr and reacts with Mouse, Rat, Human, Transfected cell line, Transfected cell line - Human, Transfected cell lysate samples.

View Alternative Names

NTPH, TPH2, Tryptophan 5-hydroxylase 2, Neuronal tryptophan hydroxylase, Tryptophan 5-monooxygenase 2

17 Images
Flow Cytometry - Anti-TPH2 antibody [EPR25100-29] - BSA and Azide free (AB288068)
  • Flow Cyt

Supplier Data

Flow Cytometry - Anti-TPH2 antibody [EPR25100-29] - BSA and Azide free (AB288068)

This data was developed using ab288067, the same antibody clone in a different buffer formulation.

Flow cytometric analysis of 4% paraformaldehyde fixed 90% methanol permeabilized HEK-293T (Human embryonic kidney epithelial cell) transfected with a human Tryptophan 5-hydroxylase 2 expression vector containing a myc-His tag cells labelling TPH2 with ab288067 at 1/500 dilution (0.1ug) (Right) compared with a Rabbit monoclonal IgG (ab172730) (Left) isotype control. A Goat Anti-Rabbit IgG (Alexa Fluor® 488, ab150081) at 1/2000 dilution was used as the secondary antibody.

Immunohistochemistry (Formalin/PFA-fixed paraffin-embedded sections) - Anti-TPH2 antibody [EPR25100-29] - BSA and Azide free (AB288068)
  • IHC-P

Supplier Data

Immunohistochemistry (Formalin/PFA-fixed paraffin-embedded sections) - Anti-TPH2 antibody [EPR25100-29] - BSA and Azide free (AB288068)

This data was developed using ab288067, the same antibody clone in a different buffer formulation.

Immunohistochemical analysis of paraffin-embedded (A) HEK-293T cells labelling TPH2 with ab288067 at 1/2000 (0.315 ug/ml) dilution followed by a ready to use LeicaDS9800 (Bond™ Polymer Refine Detection) . Cytoplasmic staining on (A) HEK-293T cells transfected with a TPH2 expression vector containing a his tag. No staining on (B) HEK-293T cells transfected with empty vector containing a his tag.The section was incubated with ab288067 for 30 mins at room temperature.The immunostaining was performed on a Leica Biosystems BOND® RX instrument Counterstained with Hematoxylin.

Secondary antibody only control : Secondary antibody is a ready to use LeicaDS9800 (Bond™ Polymer Refine Detection) .

Heat mediated antigen retrieval with Tris-EDTA buffer (pH 9.0, epitope retrieval solution2) for 20 mins

Immunocytochemistry/ Immunofluorescence - Anti-TPH2 antibody [EPR25100-29] - BSA and Azide free (AB288068)
  • ICC/IF

Supplier Data

Immunocytochemistry/ Immunofluorescence - Anti-TPH2 antibody [EPR25100-29] - BSA and Azide free (AB288068)

This data was developed using ab288067, the same antibody clone in a different buffer formulation.

Immunofluorescent analysis of 4% Paraformaldehyde-fixed, 0.1% TritonX-100 permeabilized 293T+OE-1169 cells labelling TPH2 with ab288067 at 1/500 (1.26 ug/ml) dilution, followed by ready to use ab150081 Goat Anti-Rabbit IgG H&L (Alexa Fluor® 488) preadsorbed antibody (Green). Confocal image showing cytoplasmic staining in 293T cells transfected with myc-tagged TPH2 expression vector. is observed. Myc-Tag Mouse mAb (Alexa Fluor® 647) was used to counterstain tubulin at 1/100 0.38ug/ml dilution (Red). The Nuclear counterstain was DAPI (Blue).

Secondary antibody only control : Secondary antibody is ready to use ab150081 Goat Anti-Rabbit IgG H&L (Alexa Fluor® 488)

Immunoprecipitation - Anti-TPH2 antibody [EPR25100-29] - BSA and Azide free (AB288068)
  • IP

Supplier Data

Immunoprecipitation - Anti-TPH2 antibody [EPR25100-29] - BSA and Azide free (AB288068)

This data was developed using ab288067, the same antibody clone in a different buffer formulation.TPH2 was immunoprecipitated from 0.35 mg HEK-293T transfected with Tryptophan 5-hydroxylase 2 expression vector containing a myc-His-tag® whole cell lysate 10 ug with ab288067 at 1/30 dilution (2ug in 0.35mg lysates). Western blot was performed on the immunoprecipitate using ab288067 at 1/1000 dilution. VeriBlot for IP secondary antibody(HRP)(ab131366) was used at 1/5000 dilution.

Lane 1 : HEK-293T transfected with Tryptophan 5-hydroxylase 2 expression vector containing a myc-His-tag® whole cell lysate 10 ug

Lane 2 : ab288067 IP in HEK-293T transfected with Tryptophan 5-hydroxylase 2 expression vector containing a myc-His-tag® whole cell lysate

Lane 3 : Rabbit monoclonal IgG (ab172730) instead of ab288067 in HEK-293T transfected with Tryptophan 5-hydroxylase 2 expression vector containing a myc-His-tag® whole cell lysate

Blocking and dilution buffer and concentration : 5% NFDM/TBST.

Exposure time : 1 second

All lanes:

Immunoprecipitation - Anti-TPH2 antibody [EPR25100-29] (<a href='/en-us/products/primary-antibodies/tph2-antibody-epr25100-29-ab288067'>ab288067</a>)

Predicted band size: 56 kDa

false

Immunohistochemistry (Formalin/PFA-fixed paraffin-embedded sections) - Anti-TPH2 antibody [EPR25100-29] - BSA and Azide free (AB288068)
  • IHC-P

Supplier Data

Immunohistochemistry (Formalin/PFA-fixed paraffin-embedded sections) - Anti-TPH2 antibody [EPR25100-29] - BSA and Azide free (AB288068)

This data was developed using ab288067, the same antibody clone in a different buffer formulation.

Immunohistochemical analysis of paraffin-embedded Mouse cerebrum tissue labelling TPH2 with ab288067 at 1/2000 (0.315 ug/ml) dilution followed by a ready to use LeicaDS9800 (Bond™ Polymer Refine Detection) . Positive staining in neural fibers of mouse cerebrum.The section was incubated with ab288067 for 30 mins at room temperature.The immunostaining was performed on a Leica Biosystems BOND® RX instrument Counterstained with Hematoxylin.

Secondary antibody only control : Secondary antibody is a ready to use LeicaDS9800 (Bond™ Polymer Refine Detection) .

Heat mediated antigen retrieval with Tris-EDTA buffer (pH 9.0, epitope retrieval solution2) for 20 mins

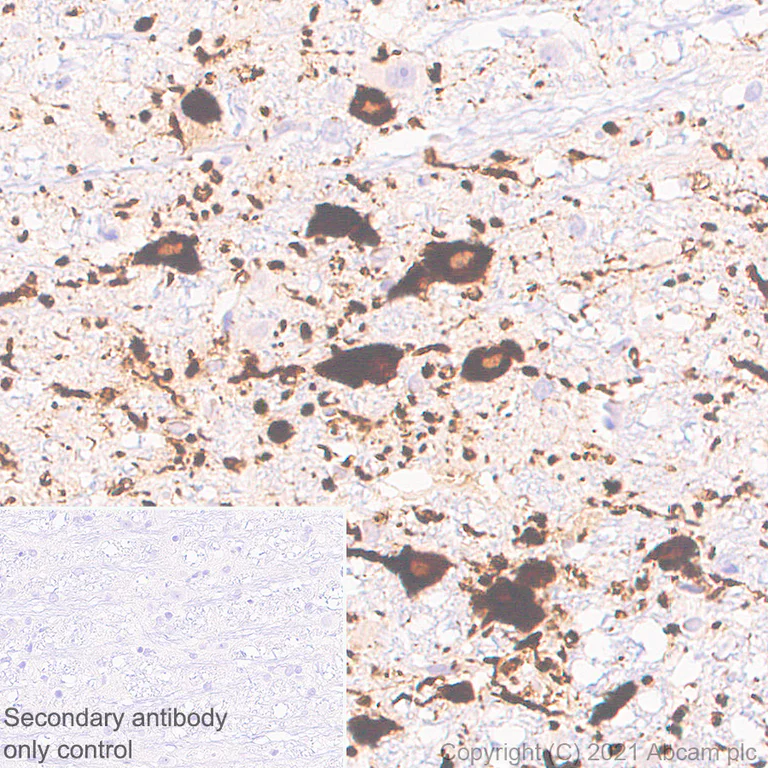
Immunohistochemistry (Frozen sections) - Anti-TPH2 antibody [EPR25100-29] - BSA and Azide free (AB288068)
  • IHC-Fr

Supplier Data

Immunohistochemistry (Frozen sections) - Anti-TPH2 antibody [EPR25100-29] - BSA and Azide free (AB288068)

This data was developed using ab288067, the same antibody clone in a different buffer formulation.

Immunohistochemical analysis of 4% PFA-fixed, 0.2% Triton X-100 permeabilized frozen Mouse midbrain (fresh) tissue labeling TPH2 with ab288067 at 1/500 (1.26 ug/ml) dilution followed by ab150081 Goat Anti-Rabbit IgG H&L (Alexa Fluor® 488) preadsorbed at 1/1000 (2 ug/mL) dilution (Green). Positive staining on mouse midbrain is observed. The nuclear counterstain was DAPI (Blue).

Secondary antibody control : Secondary antibody is ab150081 Goat Anti-Rabbit IgG H&L (Alexa Fluor® 488) preadsorbedat 1/1000 (2 ug/mL) dilution.

Immunohistochemistry (Formalin/PFA-fixed paraffin-embedded sections) - Anti-TPH2 antibody [EPR25100-29] - BSA and Azide free (AB288068)
  • IHC-P

Supplier Data

Immunohistochemistry (Formalin/PFA-fixed paraffin-embedded sections) - Anti-TPH2 antibody [EPR25100-29] - BSA and Azide free (AB288068)

This data was developed using ab288067, the same antibody clone in a different buffer formulation.

Immunohistochemical analysis of paraffin-embedded Rat midbrain tissue labelling TPH2 with ab288067 at 1/2000 (0.315 ug/ml) dilution followed by a ready to use LeicaDS9800 (Bond™ Polymer Refine Detection) . Positive staining in rat midbrain.The section was incubated with ab288067 for 30 mins at room temperature.The immunostaining was performed on a Leica Biosystems BOND® RX instrument Counterstained with Hematoxylin.

Secondary antibody only control : Secondary antibody is a ready to use LeicaDS9800 (Bond™ Polymer Refine Detection) .

Heat mediated antigen retrieval with Tris-EDTA buffer (pH 9.0, epitope retrieval solution2) for 20 mins

Multiplex immunohistochemistry - Anti-TPH2 antibody [EPR25100-29] - BSA and Azide free (AB288068)
  • mIHC

Lab

Multiplex immunohistochemistry - Anti-TPH2 antibody [EPR25100-29] - BSA and Azide free (AB288068)

This data was developed using ab288067, the same antibody clone in a different buffer formulation.

Multiplex immunohistochemistry analysis of formalin/PFA-fixed paraffin-embedded Mouse midbrain tissue staining THP2 with ab288067 at a 1/2000 (0.315 ug/ml) dilution, P2Y12 with ab300140 at 1/40000 (0.013 ug/ml) dilution and GFAP with ab218309 at 1/1000 ( 1.325 ug/ml) dilution.

Panel A : merged staining of anti-THP2 (green; Opal™520), anti-P2Y12 (grey; Opal™570) and anti-GFAP (magenta; Opal™690) on mouse midbrain.
Panel B : anti-THP2 staining the serotonergic neurons in mouse midbrain.
Panel C : anti-P2Y12 staining microglia in mouse midbrain.
Panel D : anti-GFAP staining astrocytes in mouse midbrain.
Nuclear DNA was labeled with DAPI (shown in blue).

The section was incubated in three rounds of staining : in the order of ab2888067, ab300140 and ab218309 for 30 mins at room temperature. Each round was followed by a separate fluorescent tyramide signal amplification system.

The immunostaining was performed on a Leica Biosystems BOND® RX instrument with an Opal™ 4-color kit. Image acquisition was performed with Leica SP8 confocal microscope.

Heat mediated antigen retrieval with Tris-EDTA buffer (pH 9.0, epitope retrieval solution2) for 20 mins.

Immunohistochemistry (Frozen sections) - Anti-TPH2 antibody [EPR25100-29] - BSA and Azide free (AB288068)
  • IHC-Fr

Supplier Data

Immunohistochemistry (Frozen sections) - Anti-TPH2 antibody [EPR25100-29] - BSA and Azide free (AB288068)

This data was developed using ab288067, the same antibody clone in a different buffer formulation.

Immunohistochemical analysis of 4% PFA-fixed, 0.2% Triton X-100 permeabilized frozen Rat midbrain (fresh) tissue labeling TPH2 with ab288067 at 1/500 (1.26 ug/ml) dilution followed by ab150081 Goat Anti-Rabbit IgG H&L (Alexa Fluor® 488) preadsorbed at 1/1000 (2 ug/mL) dilution (Green). Positive staining on rat midbrain is observed. The nuclear counterstain was DAPI (Blue).

Secondary antibody control : Secondary antibody is ab150081 Goat Anti-Rabbit IgG H&L (Alexa Fluor® 488) preadsorbedat 1/1000 (2 ug/mL) dilution.

Immunohistochemistry (Formalin/PFA-fixed paraffin-embedded sections) - Anti-TPH2 antibody [EPR25100-29] - BSA and Azide free (AB288068)
  • IHC-P

Supplier Data

Immunohistochemistry (Formalin/PFA-fixed paraffin-embedded sections) - Anti-TPH2 antibody [EPR25100-29] - BSA and Azide free (AB288068)

This data was developed using ab288067, the same antibody clone in a different buffer formulation.

Immunohistochemical analysis of paraffin-embedded Mouse midbrain tissue labelling TPH2 with ab288067 at 1/2000 (0.315 ug/ml) dilution followed by a ready to use LeicaDS9800 (Bond™ Polymer Refine Detection) . Positive staining in mouse midbrain.The section was incubated with ab288067 for 30 mins at room temperature.The immunostaining was performed on a Leica Biosystems BOND® RX instrument Counterstained with Hematoxylin.

Secondary antibody only control : Secondary antibody is a ready to use LeicaDS9800 (Bond™ Polymer Refine Detection) .

Heat mediated antigen retrieval with Tris-EDTA buffer (pH 9.0, epitope retrieval solution2) for 20 mins

Immunohistochemistry (Formalin/PFA-fixed paraffin-embedded sections) - Anti-TPH2 antibody [EPR25100-29] - BSA and Azide free (AB288068)
  • IHC-P

Supplier Data

Immunohistochemistry (Formalin/PFA-fixed paraffin-embedded sections) - Anti-TPH2 antibody [EPR25100-29] - BSA and Azide free (AB288068)

This data was developed using ab288067, the same antibody clone in a different buffer formulation.

Immunohistochemical analysis of paraffin-embedded Rat cerebrum tissue labelling TPH2 with ab288067 at 1/2000 (0.315 ug/ml) dilution followed by a ready to use LeicaDS9800 (Bond™ Polymer Refine Detection) . Positive staining in neural fibers of rat cerebrum.The section was incubated with ab288067 for 30 mins at room temperature.The immunostaining was performed on a Leica Biosystems BOND® RX instrument Counterstained with Hematoxylin.

Secondary antibody only control : Secondary antibody is a ready to use LeicaDS9800 (Bond™ Polymer Refine Detection) .

Heat mediated antigen retrieval with Tris-EDTA buffer (pH 9.0, epitope retrieval solution2) for 20 mins

Immunohistochemistry (Formalin/PFA-fixed paraffin-embedded sections) - Anti-TPH2 antibody [EPR25100-29] - BSA and Azide free (AB288068)
  • IHC-P

Supplier Data

Immunohistochemistry (Formalin/PFA-fixed paraffin-embedded sections) - Anti-TPH2 antibody [EPR25100-29] - BSA and Azide free (AB288068)

This data was developed using ab288067, the same antibody clone in a different buffer formulation.

Immunohistochemical analysis of paraffin-embedded Mouse kidney tissue labelling TPH2 with ab288067 at 1/2000 (0.315 ug/ml) dilution followed by a ready to use LeicaDS9800 (Bond™ Polymer Refine Detection) . No staining in mouse kidney.The section was incubated with ab288067 for 30 mins at room temperature.The immunostaining was performed on a Leica Biosystems BOND® RX instrument Counterstained with Hematoxylin.

Secondary antibody only control : Secondary antibody is a ready to use LeicaDS9800 (Bond™ Polymer Refine Detection) .

Heat mediated antigen retrieval with Tris-EDTA buffer (pH 9.0, epitope retrieval solution2) for 20 mins

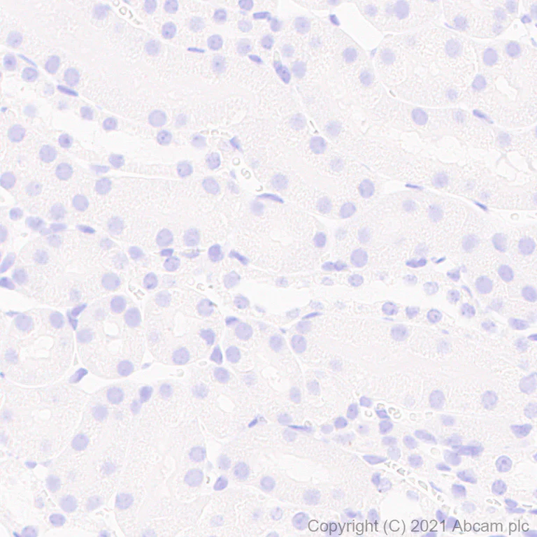
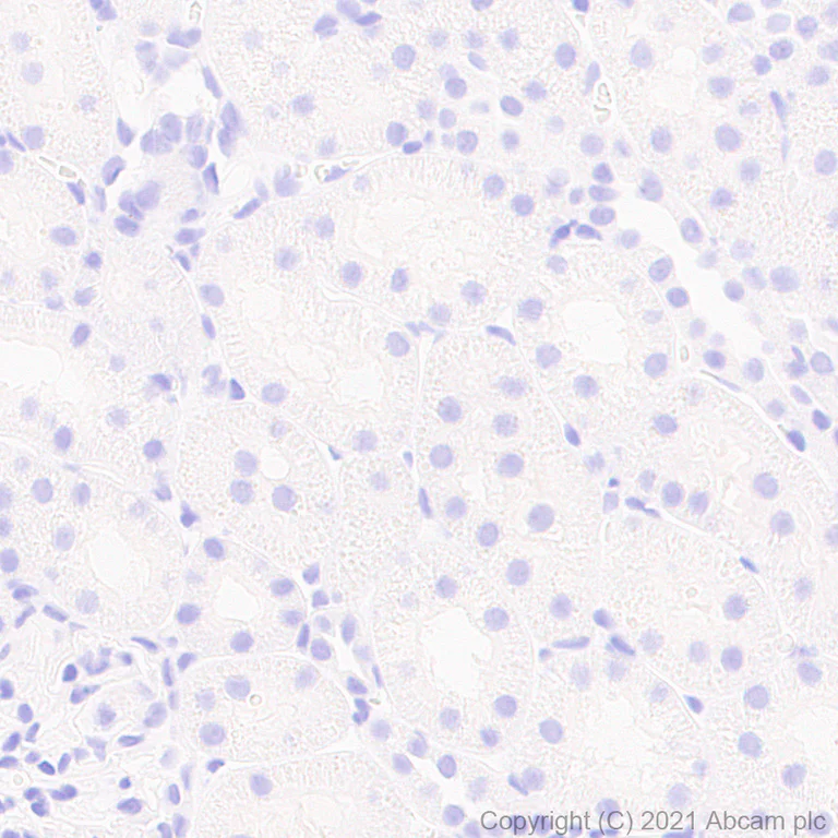
Immunohistochemistry (Formalin/PFA-fixed paraffin-embedded sections) - Anti-TPH2 antibody [EPR25100-29] - BSA and Azide free (AB288068)
  • IHC-P

Supplier Data

Immunohistochemistry (Formalin/PFA-fixed paraffin-embedded sections) - Anti-TPH2 antibody [EPR25100-29] - BSA and Azide free (AB288068)

This data was developed using ab288067, the same antibody clone in a different buffer formulation.

Immunohistochemical analysis of paraffin-embedded Rat kidney tissue labelling TPH2 with ab288067 at 1/2000 (0.315 ug/ml) dilution followed by a ready to use LeicaDS9800 (Bond™ Polymer Refine Detection) . No staining in rat kidney.The section was incubated with ab288067 for 30 mins at room temperature.The immunostaining was performed on a Leica Biosystems BOND® RX instrument Counterstained with Hematoxylin.

Secondary antibody only control : Secondary antibody is a ready to use LeicaDS9800 (Bond™ Polymer Refine Detection) .

Heat mediated antigen retrieval with Tris-EDTA buffer (pH 9.0, epitope retrieval solution2) for 20 mins

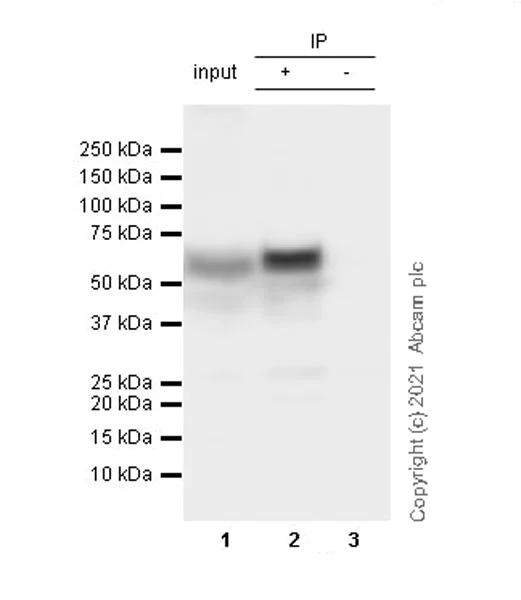
Immunoprecipitation - Anti-TPH2 antibody [EPR25100-29] - BSA and Azide free (AB288068)
  • IP

Supplier Data

Immunoprecipitation - Anti-TPH2 antibody [EPR25100-29] - BSA and Azide free (AB288068)

This data was developed using ab288067, the same antibody clone in a different buffer formulation.TPH2 was immunoprecipitated from 0.35 mg Mouse midbrain tissue lysate 10 ug with ab288067 at 1/30 dilution (2ug in 0.35mg lysates). Western blot was performed on the immunoprecipitate using ab288067 at 1/1000 dilution. VeriBlot for IP secondary antibody(HRP)(ab131366) was used at 1/5000 dilution.

Lane 1 : Mouse midbrain tissue lysate 10 ug

Lane 2 : ab288067 IP in Mouse midbrain tissue lysate

Lane 3 : Rabbit monoclonal IgG (ab172730) instead of ab288067 in mouse midbrain tissue lysate

Blocking and dilution buffer and concentration : 5% NFDM/TBST.

Exposure time : 32 seconds

All lanes:

Immunoprecipitation - Anti-TPH2 antibody [EPR25100-29] (<a href='/en-us/products/primary-antibodies/tph2-antibody-epr25100-29-ab288067'>ab288067</a>)

Predicted band size: 56 kDa

false

Western blot - Anti-TPH2 antibody [EPR25100-29] - BSA and Azide free (AB288068)
  • WB

Lab

Western blot - Anti-TPH2 antibody [EPR25100-29] - BSA and Azide free (AB288068)

This data was developed using ab288067, the same antibody clone in a different buffer formulation.

Blocking and diluting buffer and concentration : 5% NFDM/TBST

Negative control : kidney (PMID : 12511643).

This blot was developed using a higher sensitivity ECL substrate.

Exposure time : 3 minutes

All lanes:

Western blot - Anti-TPH2 antibody [EPR25100-29] (<a href='/en-us/products/primary-antibodies/tph2-antibody-epr25100-29-ab288067'>ab288067</a>) at 1/1000 dilution

Lane 1:

Human brain tissue lysate at 20 µg

Lane 2:

Human kidney tissue lysate at 20 µg

Secondary

All lanes:

Goat Anti-Rabbit IgG (HRP) with minimal cross-reactivity with human IgG at 1/2000 dilution

Predicted band size: 56 kDa

false

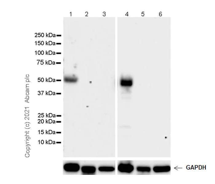
Western blot - Anti-TPH2 antibody [EPR25100-29] - BSA and Azide free (AB288068)
  • WB

Lab

Western blot - Anti-TPH2 antibody [EPR25100-29] - BSA and Azide free (AB288068)

This data was developed using ab288067, the same antibody clone in a different buffer formulation.

Blocking and diluting buffer and concentration : Negative control : kidney, spleen (PMID : 12511643).

Lanes 1-3 : 70 secondsLanes 4-6 : 26 seconds

All lanes:

Western blot - Anti-TPH2 antibody [EPR25100-29] (<a href='/en-us/products/primary-antibodies/tph2-antibody-epr25100-29-ab288067'>ab288067</a>) at 1/1000 dilution

Lane 1:

Mouse midbrain tissue lysate at 20 µg

Lane 2:

Mouse kidney tissue lysate at 20 µg

Lane 3:

Mouse spleen tissue lysate at 20 µg

Lane 4:

Rat midbrain tissue lysate at 20 µg

Lane 5:

Rat kidney tissue lysate at 20 µg

Lane 6:

Rat spleen tissue lysate at 20 µg

Secondary

All lanes:

Goat Anti-Rabbit IgG, (H+L), Peroxidase conjugated (<a href='/en-us/products/secondary-antibodies/goat-rabbit-igg-h-l-hrp-ab97051'>ab97051</a>) at 1/50000 dilution

Predicted band size: 56 kDa

false

Western blot - Anti-TPH2 antibody [EPR25100-29] - BSA and Azide free (AB288068)
  • WB

Lab

Western blot - Anti-TPH2 antibody [EPR25100-29] - BSA and Azide free (AB288068)

This data was developed using ab288067, the same antibody clone in a different buffer formulation.

Exposure time : 10 seconds

All lanes:

Western blot - Anti-TPH2 antibody [EPR25100-29] (<a href='/en-us/products/primary-antibodies/tph2-antibody-epr25100-29-ab288067'>ab288067</a>) at 1/1000 dilution

Lane 1:

HEK-293T (human embryonic kidney) transfected with an empty vector (vector control), containi a myc-His-tag®, whole cell lysate at 10 µg

Lane 2:

HEK-293T transfected with Tryptophan 5-hydroxylase 2 expression vector containi a myc-His-tag®, whole cell lysate at 10 µg

Secondary

All lanes:

Goat Anti-Rabbit IgG, (H+L), Peroxidase conjugated (<a href='/en-us/products/secondary-antibodies/goat-rabbit-igg-h-l-hrp-ab97051'>ab97051</a>) at 1/100000 dilution

Predicted band size: 56 kDa

false

Key facts

Host species

Rabbit

Clonality

Monoclonal

Clone number

EPR25100-29

Isotype

IgG

Carrier free

Yes

Reacts with

Rat, Mouse, Human

Applications

Flow Cyt, mIHC, WB, IP, IHC-P, IHC-Fr, ICC/IF

applications

Immunogen

The exact immunogen used to generate this antibody is proprietary information.

Specificity

No suitable positive material of human species is available for in-house IHC-P QC, and it worked well on overexpressed cells pellets of human species.

Reactivity data

{ "title": "Reactivity Data", "filters": { "stats": ["", "Species", "Dilution Info", "Notes"], "tabs": { "all-applications": {"fullname" : "All Applications", "shortname": "All Applications"}, "mIHC" : {"fullname" : "Multiplex immunohistochemistry", "shortname":"mIHC"}, "ICCIF" : {"fullname" : "Immunocytochemistry/ Immunofluorescence", "shortname":"ICC/IF"}, "IP" : {"fullname" : "Immunoprecipitation", "shortname":"IP"}, "FlowCyt" : {"fullname" : "Flow Cytometry", "shortname":"Flow Cyt"}, "WB" : {"fullname" : "Western blot", "shortname":"WB"}, "IHCP" : {"fullname" : "Immunohistochemistry (Formalin/PFA-fixed paraffin-embedded sections)", "shortname":"IHC-P"}, "IHCFr" : {"fullname" : "Immunohistochemistry (Frozen sections)", "shortname":"IHC-Fr"} }, "product-promise": { "all": "all", "testedAndGuaranteed": "tested", "guaranteed": "expected", "predicted": "predicted", "notRecommended": "not-recommended" } }, "values": { "Human": { "mIHC-species-checked": "guaranteed", "mIHC-species-dilution-info": "", "mIHC-species-notes": "", "ICCIF-species-checked": "guaranteed", "ICCIF-species-dilution-info": "", "ICCIF-species-notes": "", "IP-species-checked": "guaranteed", "IP-species-dilution-info": "", "IP-species-notes": "", "FlowCyt-species-checked": "guaranteed", "FlowCyt-species-dilution-info": "", "FlowCyt-species-notes": "", "WB-species-checked": "testedAndGuaranteed", "WB-species-dilution-info": "", "WB-species-notes": "<p></p>", "IHCP-species-checked": "testedAndGuaranteed", "IHCP-species-dilution-info": "", "IHCP-species-notes": "<p></p>", "IHCFr-species-checked": "guaranteed", "IHCFr-species-dilution-info": "", "IHCFr-species-notes": "" }, "Mouse": { "mIHC-species-checked": "testedAndGuaranteed", "mIHC-species-dilution-info": "", "mIHC-species-notes": "<p></p>", "ICCIF-species-checked": "guaranteed", "ICCIF-species-dilution-info": "", "ICCIF-species-notes": "", "IP-species-checked": "testedAndGuaranteed", "IP-species-dilution-info": "", "IP-species-notes": "<p></p>", "FlowCyt-species-checked": "guaranteed", "FlowCyt-species-dilution-info": "", "FlowCyt-species-notes": "", "WB-species-checked": "testedAndGuaranteed", "WB-species-dilution-info": "", "WB-species-notes": "<p></p>", "IHCP-species-checked": "testedAndGuaranteed", "IHCP-species-dilution-info": "", "IHCP-species-notes": "<p></p>", "IHCFr-species-checked": "testedAndGuaranteed", "IHCFr-species-dilution-info": "", "IHCFr-species-notes": "<p></p>" }, "Rat": { "mIHC-species-checked": "guaranteed", "mIHC-species-dilution-info": "", "mIHC-species-notes": "", "ICCIF-species-checked": "guaranteed", "ICCIF-species-dilution-info": "", "ICCIF-species-notes": "", "IP-species-checked": "guaranteed", "IP-species-dilution-info": "", "IP-species-notes": "", "FlowCyt-species-checked": "guaranteed", "FlowCyt-species-dilution-info": "", "FlowCyt-species-notes": "", "WB-species-checked": "testedAndGuaranteed", "WB-species-dilution-info": "", "WB-species-notes": "<p></p>", "IHCP-species-checked": "testedAndGuaranteed", "IHCP-species-dilution-info": "", "IHCP-species-notes": "<p></p>", "IHCFr-species-checked": "testedAndGuaranteed", "IHCFr-species-dilution-info": "", "IHCFr-species-notes": "<p></p>" }, "Transfected cell line": { "mIHC-species-checked": "notRecommended", "mIHC-species-dilution-info": "", "mIHC-species-notes": "", "ICCIF-species-checked": "testedAndGuaranteed", "ICCIF-species-dilution-info": "", "ICCIF-species-notes": "<p></p>", "IP-species-checked": "testedAndGuaranteed", "IP-species-dilution-info": "", "IP-species-notes": "<p></p>", "FlowCyt-species-checked": "notRecommended", "FlowCyt-species-dilution-info": "", "FlowCyt-species-notes": "", "WB-species-checked": "notRecommended", "WB-species-dilution-info": "", "WB-species-notes": "", "IHCP-species-checked": "notRecommended", "IHCP-species-dilution-info": "", "IHCP-species-notes": "", "IHCFr-species-checked": "notRecommended", "IHCFr-species-dilution-info": "", "IHCFr-species-notes": "" }, "Transfected cell line - Human": { "mIHC-species-checked": "notRecommended", "mIHC-species-dilution-info": "", "mIHC-species-notes": "", "ICCIF-species-checked": "notRecommended", "ICCIF-species-dilution-info": "", "ICCIF-species-notes": "", "IP-species-checked": "notRecommended", "IP-species-dilution-info": "", "IP-species-notes": "", "FlowCyt-species-checked": "testedAndGuaranteed", "FlowCyt-species-dilution-info": "", "FlowCyt-species-notes": "<p></p>", "WB-species-checked": "notRecommended", "WB-species-dilution-info": "", "WB-species-notes": "", "IHCP-species-checked": "notRecommended", "IHCP-species-dilution-info": "", "IHCP-species-notes": "", "IHCFr-species-checked": "notRecommended", "IHCFr-species-dilution-info": "", "IHCFr-species-notes": "" }, "Transfected cell lysate": { "mIHC-species-checked": "notRecommended", "mIHC-species-dilution-info": "", "mIHC-species-notes": "", "ICCIF-species-checked": "notRecommended", "ICCIF-species-dilution-info": "", "ICCIF-species-notes": "", "IP-species-checked": "notRecommended", "IP-species-dilution-info": "", "IP-species-notes": "", "FlowCyt-species-checked": "notRecommended", "FlowCyt-species-dilution-info": "", "FlowCyt-species-notes": "", "WB-species-checked": "testedAndGuaranteed", "WB-species-dilution-info": "", "WB-species-notes": "<p></p>", "IHCP-species-checked": "notRecommended", "IHCP-species-dilution-info": "", "IHCP-species-notes": "", "IHCFr-species-checked": "notRecommended", "IHCFr-species-dilution-info": "", "IHCFr-species-notes": "" } } }

Product details

ab288068 is the carrier-free version of ab288067.

Patented technology
Our RabMAb® technology is a patented hybridoma-based technology for making rabbit monoclonal antibodies. For details on our patents, please refer to RabMAb® patents.

What are the advantages of a recombinant monoclonal antibody?
This product is a recombinant monoclonal antibody, which offers several advantages including:

  • - High batch-to-batch consistency and reproducibility
  • - Improved sensitivity and specificity
  • - Long-term security of supply
  • - Animal-free batch production

For more information, read more on recombinant antibodies.

Conjugation ready
Our carrier-free antibodies are typically supplied in a PBS-only formulation, purified and free of BSA, sodium azide and glycerol. This conjugation-ready format is designed for use with fluorochromes, metal isotopes, oligonucleotides, and enzymes, which makes them ideal for antibody labelling, functional and cell-based assays, flow-based assays (e.g. mass cytometry) and Multiplex Imaging applications.

Use our conjugation kits for antibody conjugates that are ready-to-use in as little as 20 minutes with 1 minute hands-on-time and 100% antibody recovery: available for fluorescent dyes, HRP, biotin and gold.

Properties and storage information

Form
Liquid
Purification technique
Affinity purification Protein A
Storage buffer
pH: 7.2 - 7.4 Constituents: PBS
Shipped at conditions
Blue Ice
Appropriate short-term storage conditions
+4°C
Appropriate long-term storage conditions
+4°C

Supplementary information

This supplementary information is collated from multiple sources and compiled automatically.

The TPH2 protein also known as Tryptophan Hydroxylase 2 acts as a catalyst in the rate-limiting step of serotonin biosynthesis. It resides mostly in the brain specifically within neurons of the central nervous system where it facilitates the conversion of tryptophan to 5-hydroxytryptophan. TPH2 has a molecular mass of approximately 55 kDa. TPH2 expression is mainly observed in the raphe nuclei a region involved in mood regulation and other neural functions.
Biological function summary

TPH2 is essential for serotonin production impacting mood cognition and neurodevelopment. It functions independently rather than as part of a complex. By controlling serotonin levels TPH2 influences many physiological processes including sleep cycles appetite and emotional status. Its activity is important for maintaining normal levels of serotonin in the synaptic cleft therefore contributing to overall neural communication.

Pathways

TPH2 is involved in the serotonin biosynthesis pathway where it regulates serotonin production. This pathway is vital for mood and emotional regulation. TPH2 also interacts with enzymes like AADC (Aromatic L-amino acid decarboxylase) which further converts 5-hydroxytryptophan into serotonin. These interactions ensure a balanced production of serotonin essential for proper neuronal signaling and stable mental states.

TPH2 has connections with mental health conditions such as depression and anxiety disorders. Altered TPH2 function can lead to reduced serotonin levels contributing to the pathophysiology of these disorders. Studies show that TPH2 may interact with proteins like MAOA (Monoamine oxidase A) where mutations or dysregulation can exacerbate mood disorders. Understanding TPH2's role offers insights into therapeutic strategies targeting serotonin imbalances in mental health conditions.

Product protocols

For this product, it's our understanding that no specific protocols are required. You can visit:

Product promise

We are committed to supporting your work with high-quality reagents, and we're here for you every step of the way. In the unlikely event that one of our products does not perform as expected, you're protected by our Product Promise.
For full details, please see our Terms & Conditions

Please note: All products are 'FOR RESEARCH USE ONLY. NOT FOR USE IN DIAGNOSTIC OR THERAPEUTIC PROCEDURES'.

For licensing inquiries, please contact partnerships@abcam.com