JavaScript is disabled in your browser. Please enable JavaScript to view this website.
AB181085

Anti-TPM4 antibody [EPR13316]

Be the first to review this product! Submit a review

|

(7 Publications)

Rabbit Recombinant Monoclonal TPM4 antibody. Suitable for IHC-P, IP, WB and reacts with Human, Mouse samples. Cited in 7 publications.

View Alternative Names

Tropomyosin alpha-4 chain, TM30p1, Tropomyosin-4, TPM4

5 Images
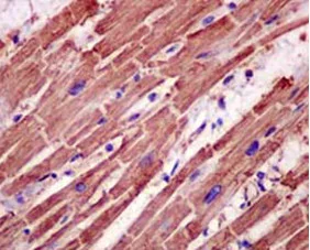
Immunohistochemistry (Formalin/PFA-fixed paraffin-embedded sections) - Anti-TPM4 antibody [EPR13316] (AB181085)
  • IHC-P

Supplier Data

Immunohistochemistry (Formalin/PFA-fixed paraffin-embedded sections) - Anti-TPM4 antibody [EPR13316] (AB181085)

Immunohistochemical analysis of paraffin-embedded Human cardiac muscle tissue labeling TPM4 with ab181085 at a 1/250 dilution.

Perform heat mediated antigen retrieval with citrate buffer pH 6 before commencing with IHC staining protocol.

Immunoprecipitation - Anti-TPM4 antibody [EPR13316] (AB181085)
  • IP

Supplier Data

Immunoprecipitation - Anti-TPM4 antibody [EPR13316] (AB181085)

Western blot analysis on immunoprecipitation pellet from C2C12 cell lysate labeling TPM4 with ab181085. Right hand lane is the negative control.

All lanes:

Immunoprecipitation - Anti-TPM4 antibody [EPR13316] (ab181085)

Predicted band size: 28 kDa

false

Western blot - Anti-TPM4 antibody [EPR13316] (AB181085)
  • WB

Lab

Western blot - Anti-TPM4 antibody [EPR13316] (AB181085)

Lanes 1-3 : Merged signal (red and green). Green - ab181085 observed at 29 kDa. Red - loading control ab8245 observed at 36 kDa.

ab181085 Anti-TPM4 antibody [EPR13316] was shown to specifically react with TPM4 in wild-type HEK293T cells. Loss of signal was observed when knockout cell line ab266606 (knockout cell lysate ab257758) was used. Wild-type and TPM4 knockout samples were subjected to SDS-PAGE. ab181085 and Anti-GAPDH antibody [6C5] - Loading Control (ab8245) were incubated at room temperature for 2. 5 hours at 1 in 1000 dilution and 1 in 20000 dilution respectively. Blots were developed with Goat anti-Rabbit IgG H&L (IRDye® 800CW) preadsorbed (ab216773) and Goat anti-Mouse IgG H&L (IRDye® 680RD) preadsorbed (ab216776) secondary antibodies at 1 in 20000 dilution for 1 hour at room temperature before imaging.

All lanes:

Western blot - Anti-TPM4 antibody [EPR13316] (ab181085) at 1/1000 dilution

Lane 1:

Wild-type HEK293T cell lysate at 20 µg

Lane 2:

TPM4 knockout HEK293T cell lysate at 20 µg

Lane 2:

Western blot - Human TPM4 knockout HEK-293T cell line (<a href='/en-us/products/cell-lines/human-tpm4-knockout-hek-293t-cell-line-ab266606'>ab266606</a>)

Lane 3:

HeLa cell lysate at 20 µg

Secondary

All lanes:

Western blot - Goat anti-Rabbit IgG H&L (IRDye® 800CW) preadsorbed (<a href='/en-us/products/secondary-antibodies/goat-rabbit-igg-h-l-irdye-800cw-preadsorbed-ab216773'>ab216773</a>) at 1/10000 dilution

Predicted band size: 28 kDa

Observed band size: 29 kDa

false

Western blot - Anti-TPM4 antibody [EPR13316] (AB181085)
  • WB

Supplier Data

Western blot - Anti-TPM4 antibody [EPR13316] (AB181085)

All lanes:

Western blot - Anti-TPM4 antibody [EPR13316] (ab181085) at 1/5000 dilution

Lane 1:

HeLa whole cell lysate at 20 µg

Lane 2:

A549 whole cell lysate at 20 µg

Secondary

All lanes:

Goat Anti-Rabbit IgG, (H+L), Peroxidase conjugated at 1/1000 dilution

Predicted band size: 28 kDa

true

Western blot - Anti-TPM4 antibody [EPR13316] (AB181085)
  • WB

Supplier Data

Western blot - Anti-TPM4 antibody [EPR13316] (AB181085)

All lanes:

Western blot - Anti-TPM4 antibody [EPR13316] (ab181085) at 1/20000 dilution

All lanes:

C2C12 whole cell lysate at 20 µg

Secondary

All lanes:

Goat Anti-Rabbit IgG, (H+L), Peroxidase conjugated at 1/1000 dilution

Predicted band size: 28 kDa

true

  • Carrier free

    Anti-TPM4 antibody [EPR13316] - BSA and Azide free

Key facts

Host species

Rabbit

Clonality

Monoclonal

Clone number

EPR13316

Isotype

IgG

Carrier free

No

Reacts with

Mouse, Human

Applications

IP, IHC-P, WB

applications

Immunogen

The exact immunogen used to generate this antibody is proprietary information.

Reactivity data

{ "title": "Reactivity Data", "filters": { "stats": ["", "Species", "Dilution Info", "Notes"], "tabs": { "all-applications": {"fullname" : "All Applications", "shortname": "All Applications"}, "IHCP" : {"fullname" : "Immunohistochemistry (Formalin/PFA-fixed paraffin-embedded sections)", "shortname":"IHC-P"}, "IP" : {"fullname" : "Immunoprecipitation", "shortname":"IP"}, "WB" : {"fullname" : "Western blot", "shortname":"WB"} }, "product-promise": { "all": "all", "testedAndGuaranteed": "tested", "guaranteed": "expected", "predicted": "predicted", "notRecommended": "not-recommended" } }, "values": { "Human": { "IHCP-species-checked": "testedAndGuaranteed", "IHCP-species-dilution-info": "1/100 - 1/250", "IHCP-species-notes": "<p></p> Perform heat-mediated antigen retrieval with citrate buffer pH 6 before commencing with IHC staining protocol.", "IP-species-checked": "guaranteed", "IP-species-dilution-info": "", "IP-species-notes": "", "WB-species-checked": "testedAndGuaranteed", "WB-species-dilution-info": "1/1000 - 1/20000", "WB-species-notes": "<p></p>" }, "Mouse": { "IHCP-species-checked": "guaranteed", "IHCP-species-dilution-info": "", "IHCP-species-notes": "", "IP-species-checked": "testedAndGuaranteed", "IP-species-dilution-info": "1/20", "IP-species-notes": "<p></p>", "WB-species-checked": "testedAndGuaranteed", "WB-species-dilution-info": "1/1000 - 1/20000", "WB-species-notes": "<p></p>" }, "Rat": { "IHCP-species-checked": "predicted", "IHCP-species-dilution-info": "", "IHCP-species-notes": "", "IP-species-checked": "predicted", "IP-species-dilution-info": "", "IP-species-notes": "", "WB-species-checked": "predicted", "WB-species-dilution-info": "", "WB-species-notes": "" } } }

Product details

Patented technology
Our RabMAb® technology is a patented hybridoma-based technology for making rabbit monoclonal antibodies. For details on our patents, please refer to RabMAb® patents.

What are the advantages of a recombinant monoclonal antibody?
This product is a recombinant monoclonal antibody, which offers several advantages including:

  • - High batch-to-batch consistency and reproducibility
  • - Improved sensitivity and specificity
  • - Long-term security of supply
  • - Animal-free batch production

For more information, read more on recombinant antibodies.

Properties and storage information

Form
Liquid
Purity
Tissue culture supernatant
Storage buffer
Preservative: 0.01% Sodium azide Constituents: PBS, 40% Glycerol (glycerin, glycerine), 0.05% BSA
Shipped at conditions
Blue Ice
Appropriate short-term storage duration
1-2 weeks
Appropriate short-term storage conditions
+4°C
Appropriate long-term storage conditions
-20°C
Aliquoting information
Upon delivery aliquot
Storage information
Avoid freeze / thaw cycle

Supplementary information

This supplementary information is collated from multiple sources and compiled automatically.

TPM4 also known as tropomyosin 4 or TM4 is a protein that helps regulate muscle contraction and stabilize actin filaments. It has a molecular mass of approximately 28 kDa. TPM4 expression occurs in various tissues including both skeletal and smooth muscle tissues as well as in non-muscle cells. This protein is part of a larger family of tropomyosins which bind to actin filaments and play an important role in modulating actin's interaction with other proteins.
Biological function summary

TPM4 contributes to the regulation of the actin cytoskeleton dynamics influencing cell movement and shape. TPM4 like other tropomyosins associates with actin filaments and forms a part of a complex with other actin-binding proteins such as tropomodulins. This complex is critical in both maintaining filament stability and facilitating the sliding of actin filaments during muscle contraction and other cellular activities.

Pathways

TPM4 participates actively in the cytoskeletal signaling and muscle contraction pathways. It interacts with important components in these pathways such as myosin allowing coordinated muscle contractions. TPM4 also plays a role in the regulation of the RhoA signaling pathway which is connected to cytoskeletal rearrangement and cell motility. These interactions highlight TPM4's integral position in biological processes relying on actin filament dynamics.

Misregulation of TPM4 can influence the development of conditions such as cardiomyopathies and cancer. Alterations in its expression or function may link to familial hypertrophic cardiomyopathy where it interacts with cardiac-specific proteins like cardiac myosin heavy chain (MYH7). Furthermore changes in TPM4 expression levels may associate with cancer metastasis in part due to its role in cell motility and invasion pointing to potential connections with proteins like cofilin during cancer progression.

Product protocols

For this product, it's our understanding that no specific protocols are required. You can visit:

Target data

Binds to actin filaments in muscle and non-muscle cells. Plays a central role, in association with the troponin complex, in the calcium dependent regulation of vertebrate striated muscle contraction. Smooth muscle contraction is regulated by interaction with caldesmon. In non-muscle cells is implicated in stabilizing cytoskeleton actin filaments (By similarity). Binds calcium (PubMed : 1836432). Plays a role in platelet biogenesis.
See full target information TPM4

Publications (7)

Recent publications for all applications. Explore the full list and refine your search

Journal of extracellular vesicles 14:e70078 PubMed40366616

2025

Identification of a Biomarker Panel in Extracellular Vesicles Derived From Non-Small Cell Lung Cancer (NSCLC) Through Proteomic Analysis and Machine Learning.

Applications

Unspecified application

Species

Unspecified reactive species

Ye Yuan,Hai Jiang,Rui Xue,Xiao-Jun Feng,Bi-Feng Liu,Lian Li,Bo Peng,Chen-Shuo Ren,Shi-Min Li,Na Li,Min Li,Dian-Bing Wang,Xian-En Zhang

PloS one 18:e0283299 PubMed37428799

2023

Effects of heterozygous deletion of autism-related gene Cullin-3 in mice.

Applications

Unspecified application

Species

Unspecified reactive species

Qiang-Qiang Xia,Angela K Walker,Chenghui Song,Jing Wang,Anju Singh,James A Mobley,Zhong X Xuan,Jeffrey D Singer,Craig M Powell

BMC cancer 23:557 PubMed37328795

2023

MicroRNA-5195-3p mediated malignant biological behaviour of insulin-resistant liver cancer cells via SOX9 and TPM4.

Applications

Unspecified application

Species

Unspecified reactive species

Jing Yan,Bei Xie,Ye Tian,Wenqin An,Zhiheng Peng,Zhuan Liu,Jing Li,Linjing Li

Frontiers in immunology 14:1148056 PubMed36993958

2023

Integrated pan-cancer analysis and experimental verification of the roles of tropomyosin 4 in gastric cancer.

Applications

Unspecified application

Species

Unspecified reactive species

Qijing Guo,Linglin Zhao,Nan Yan,Yan Li,Cuiping Guo,Shengyan Dang,Xianliang Shen,Jianfang Han,Yushuang Luo

Neural regeneration research 18:1321-1324 PubMed36453418

2022

A molecular probe carrying anti-tropomyosin 4 for early diagnosis of cerebral ischemia/reperfusion injury.

Applications

Unspecified application

Species

Unspecified reactive species

Teng-Fei Yu,Kun Wang,Lu Yin,Wen-Zhe Li,Chuan-Ping Li,Wei Zhang,Jie Tian,Wen He

Biology direct 17:1 PubMed34991683

2022

LncRNA NORAD facilitates oral squamous cell carcinoma progression by sponging miR-577 to enhance TPM4.

Applications

Unspecified application

Species

Unspecified reactive species

Change Qi,Jianwei Liu,Pengnv Guo,Yali Xu,Jing Hu,Xiaomei Han

Bioscience reports 39: PubMed30833363

2019

LncRNA MRAK048635_P1 is critical for vascular smooth muscle cell function and phenotypic switching in essential hypertension.

Applications

Unspecified application

Species

Unspecified reactive species

Genqiang Fang,Jia Qi,Liya Huang,Xianxian Zhao
View all publications

Product promise

We are committed to supporting your work with high-quality reagents, and we're here for you every step of the way. In the unlikely event that one of our products does not perform as expected, you're protected by our Product Promise.
For full details, please see our Terms & Conditions

Please note: All products are 'FOR RESEARCH USE ONLY. NOT FOR USE IN DIAGNOSTIC OR THERAPEUTIC PROCEDURES'.

For licensing inquiries, please contact partnerships@abcam.com