JavaScript is disabled in your browser. Please enable JavaScript to view this website.
AB181156

Anti-TPM4 antibody [EPR13317]

Be the first to review this product! Submit a review

|

(3 Publications)

Rabbit Recombinant Monoclonal TPM4 antibody. Suitable for WB, IHC-P and reacts with Human samples. Cited in 3 publications.

View Alternative Names

Tropomyosin alpha-4 chain, TM30p1, Tropomyosin-4, TPM4

4 Images
Immunohistochemistry (Formalin/PFA-fixed paraffin-embedded sections) - Anti-TPM4 antibody [EPR13317] (AB181156)
  • IHC-P

Supplier Data

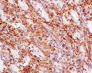
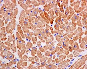
Immunohistochemistry (Formalin/PFA-fixed paraffin-embedded sections) - Anti-TPM4 antibody [EPR13317] (AB181156)

Immunohistochemical analysis of paraffin-embedded Human cardiac muscle tissue labeling TPM4 with ab181156 at 1/500 dilution followed by prediluted HRP Polymer for Rabbit IgG. Counter stained with Hematoxylin.

Perform heat mediated antigen retrieval with EDTA buffer pH 9 before commencing with IHC staining protocol.

Immunohistochemistry (Formalin/PFA-fixed paraffin-embedded sections) - Anti-TPM4 antibody [EPR13317] (AB181156)
  • IHC-P

Supplier Data

Immunohistochemistry (Formalin/PFA-fixed paraffin-embedded sections) - Anti-TPM4 antibody [EPR13317] (AB181156)

Immunohistochemical analysis of paraffin-embedded Human spleen tissue labeling TPM4 with ab181156 at 1/500 dilution followed by prediluted HRP Polymer for Rabbit IgG. Counter stained with Hematoxylin.

Perform heat mediated antigen retrieval with EDTA buffer pH 9 before commencing with IHC staining protocol.

Western blot - Anti-TPM4 antibody [EPR13317] (AB181156)
  • WB

Lab

Western blot - Anti-TPM4 antibody [EPR13317] (AB181156)

Lanes 1-3 : Merged signal (red and green). Green - ab181156 observed at 29 kDa. Red - loading control ab8245 observed at 36 kDa.

ab181156 Anti-TPM4 antibody [EPR13317] was shown to specifically react with TPM4 in wild-type HEK293T cells. Loss of signal was observed when knockout cell line ab266606 (knockout cell lysate ab257758) was used. Wild-type and TPM4 knockout samples were subjected to SDS-PAGE. ab181156 and Anti-GAPDH antibody [6C5] - Loading Control (ab8245) were incubated at room temperature for 2. 5 hours at 1 in 1000 dilution and 1 in 20000 dilution respectively. Blots were developed with Goat anti-Rabbit IgG H&L (IRDye® 800CW) preadsorbed (ab216773) and Goat anti-Mouse IgG H&L (IRDye® 680RD) preadsorbed (ab216776) secondary antibodies at 1 in 20000 dilution for 1 hour at room temperature before imaging.

All lanes:

Western blot - Anti-TPM4 antibody [EPR13317] (ab181156) at 1/1000 dilution

Lane 1:

Wild-type HEK293T cell lysate at 20 µg

Lane 2:

TPM4 knockout HEK293T cell lysate at 20 µg

Lane 2:

Western blot - Human TPM4 knockout HEK-293T cell line (<a href='/en-us/products/cell-lines/human-tpm4-knockout-hek-293t-cell-line-ab266606'>ab266606</a>)

Lane 3:

HeLa cell lysate at 20 µg

Secondary

All lanes:

Western blot - Goat anti-Rabbit IgG H&L (IRDye® 800CW) preadsorbed (<a href='/en-us/products/secondary-antibodies/goat-rabbit-igg-h-l-irdye-800cw-preadsorbed-ab216773'>ab216773</a>) at 1/10000 dilution

Predicted band size: 28 kDa

Observed band size: 29 kDa

false

Western blot - Anti-TPM4 antibody [EPR13317] (AB181156)
  • WB

Supplier Data

Western blot - Anti-TPM4 antibody [EPR13317] (AB181156)

All lanes:

Western blot - Anti-TPM4 antibody [EPR13317] (ab181156) at 1/5000 dilution

Lane 1:

HeLa cell lysate at 10 µg

Lane 2:

A549 cell lysate at 10 µg

Secondary

All lanes:

Goat Anti-Rabbit IgG, (H+L), Peroxidase conjugate at 1/1000 dilution

Predicted band size: 28 kDa

Observed band size: 29 kDa

false

  • Carrier free

    Anti-TPM4 antibody [EPR13317] - BSA and Azide free

Key facts

Host species

Rabbit

Clonality

Monoclonal

Clone number

EPR13317

Isotype

IgG

Carrier free

No

Reacts with

Human

Applications

IHC-P, WB

applications

Immunogen

The exact immunogen used to generate this antibody is proprietary information.

Reactivity data

{ "title": "Reactivity Data", "filters": { "stats": ["", "Species", "Dilution Info", "Notes"], "tabs": { "all-applications": {"fullname" : "All Applications", "shortname": "All Applications"}, "WB" : {"fullname" : "Western blot", "shortname":"WB"}, "IHCP" : {"fullname" : "Immunohistochemistry (Formalin/PFA-fixed paraffin-embedded sections)", "shortname":"IHC-P"} }, "product-promise": { "all": "all", "testedAndGuaranteed": "tested", "guaranteed": "expected", "predicted": "predicted", "notRecommended": "not-recommended" } }, "values": { "Human": { "WB-species-checked": "testedAndGuaranteed", "WB-species-dilution-info": "1/1000 - 1/10000", "WB-species-notes": "<p></p>", "IHCP-species-checked": "testedAndGuaranteed", "IHCP-species-dilution-info": "1/250 - 1/500", "IHCP-species-notes": "<p></p> Perform heat-mediated antigen retrieval with Tris/EDTA buffer pH 9.0 before commencing with IHC staining protocol." }, "Mouse": { "WB-species-checked": "predicted", "WB-species-dilution-info": "", "WB-species-notes": "", "IHCP-species-checked": "predicted", "IHCP-species-dilution-info": "", "IHCP-species-notes": "" }, "Rat": { "WB-species-checked": "predicted", "WB-species-dilution-info": "", "WB-species-notes": "", "IHCP-species-checked": "predicted", "IHCP-species-dilution-info": "", "IHCP-species-notes": "" } } }

Product details

Patented technology
Our RabMAb® technology is a patented hybridoma-based technology for making rabbit monoclonal antibodies. For details on our patents, please refer to RabMAb® patents.

What are the advantages of a recombinant monoclonal antibody?
This product is a recombinant monoclonal antibody, which offers several advantages including:

  • - High batch-to-batch consistency and reproducibility
  • - Improved sensitivity and specificity
  • - Long-term security of supply
  • - Animal-free batch production

For more information, read more on recombinant antibodies.

Properties and storage information

Form
Liquid
Purity
Tissue culture supernatant
Storage buffer
Preservative: 0.01% Sodium azide Constituents: PBS, 40% Glycerol (glycerin, glycerine), 0.05% BSA
Shipped at conditions
Blue Ice
Appropriate short-term storage duration
1-2 weeks
Appropriate short-term storage conditions
+4°C
Appropriate long-term storage conditions
-20°C
Aliquoting information
Upon delivery aliquot
Storage information
Avoid freeze / thaw cycle

Supplementary information

This supplementary information is collated from multiple sources and compiled automatically.

TPM4 also known as tropomyosin 4 or TM4 is a protein that helps regulate muscle contraction and stabilize actin filaments. It has a molecular mass of approximately 28 kDa. TPM4 expression occurs in various tissues including both skeletal and smooth muscle tissues as well as in non-muscle cells. This protein is part of a larger family of tropomyosins which bind to actin filaments and play an important role in modulating actin's interaction with other proteins.
Biological function summary

TPM4 contributes to the regulation of the actin cytoskeleton dynamics influencing cell movement and shape. TPM4 like other tropomyosins associates with actin filaments and forms a part of a complex with other actin-binding proteins such as tropomodulins. This complex is critical in both maintaining filament stability and facilitating the sliding of actin filaments during muscle contraction and other cellular activities.

Pathways

TPM4 participates actively in the cytoskeletal signaling and muscle contraction pathways. It interacts with important components in these pathways such as myosin allowing coordinated muscle contractions. TPM4 also plays a role in the regulation of the RhoA signaling pathway which is connected to cytoskeletal rearrangement and cell motility. These interactions highlight TPM4's integral position in biological processes relying on actin filament dynamics.

Misregulation of TPM4 can influence the development of conditions such as cardiomyopathies and cancer. Alterations in its expression or function may link to familial hypertrophic cardiomyopathy where it interacts with cardiac-specific proteins like cardiac myosin heavy chain (MYH7). Furthermore changes in TPM4 expression levels may associate with cancer metastasis in part due to its role in cell motility and invasion pointing to potential connections with proteins like cofilin during cancer progression.

Product protocols

For this product, it's our understanding that no specific protocols are required. You can visit:

Target data

Binds to actin filaments in muscle and non-muscle cells. Plays a central role, in association with the troponin complex, in the calcium dependent regulation of vertebrate striated muscle contraction. Smooth muscle contraction is regulated by interaction with caldesmon. In non-muscle cells is implicated in stabilizing cytoskeleton actin filaments (By similarity). Binds calcium (PubMed : 1836432). Plays a role in platelet biogenesis.
See full target information TPM4

Publications (3)

Recent publications for all applications. Explore the full list and refine your search

Clinical and experimental medicine 25:115 PubMed40214825

2025

TPM4 influences the initiation and progression of gastric cancer by modulating ferroptosis via SCD1.

Applications

Unspecified application

Species

Unspecified reactive species

Ling-Lin Zhao,Yu-Jun Liu,Qi-Jing Guo,Nan Yan,Jie Yang,Jing-Qi Han,Xiao-Hong Xie,Yu-Shuang Luo

Nature communications 15:4195 PubMed38760351

2024

Ferritinophagy mediates adaptive resistance to EGFR tyrosine kinase inhibitors in non-small cell lung cancer.

Applications

Unspecified application

Species

Unspecified reactive species

Hui Wang,Qianfan Hu,Yuzhong Chen,Xing Huang,Yipeng Feng,Yuanjian Shi,Rutao Li,Xuewen Yin,Xuming Song,Yingkuan Liang,Te Zhang,Lin Xu,Gaochao Dong,Feng Jiang

Frontiers in cell and developmental biology 9:684819 PubMed34222253

2021

Cytoplasmic Localization Isoform of Cyclin Y Enhanced the Metastatic Ability of Lung Cancer Regulating Tropomyosin 4.

Applications

Unspecified application

Species

Unspecified reactive species

Xiaoting Zhao,Mei Jiang,Yu Teng,Jie Li,Zhefeng Li,Wende Hao,Hongyu Zhao,Chenghong Yin,Wentao Yue
View all publications

Product promise

We are committed to supporting your work with high-quality reagents, and we're here for you every step of the way. In the unlikely event that one of our products does not perform as expected, you're protected by our Product Promise.
For full details, please see our Terms & Conditions

Please note: All products are 'FOR RESEARCH USE ONLY. NOT FOR USE IN DIAGNOSTIC OR THERAPEUTIC PROCEDURES'.

For licensing inquiries, please contact partnerships@abcam.com