JavaScript is disabled in your browser. Please enable JavaScript to view this website.
AB230880

Anti-TPM4 antibody - N-terminal

Be the first to review this product! Submit a review

|

(0 Publication)

Rabbit Polyclonal TPM4 antibody. N-terminal. Suitable for WB, IHC-P, Flow Cyt (Intra) and reacts with Human samples. Immunogen corresponding to Synthetic Peptide within Human TPM4 aa 1-100 conjugated to Keyhole Limpet Haemocyanin.

View Alternative Names

Tropomyosin alpha-4 chain, TM30p1, Tropomyosin-4, TPM4

4 Images
Flow Cytometry (Intracellular) - Anti-TPM4 antibody - N-terminal (AB230880)
  • Flow Cyt (Intra)

Supplier Data

Flow Cytometry (Intracellular) - Anti-TPM4 antibody - N-terminal (AB230880)

Intracellular flow cytometric analysis of U-251 MG (Human brain glioma cell line) cells labeling TPM4 with ab230880 at 1/10 dilution (right histogram) compared to a negative control cell (left histogram). FITC-conjugated goat-anti-rabbit secondary antibodies were used for the analysis.

Immunohistochemistry (Formalin/PFA-fixed paraffin-embedded sections) - Anti-TPM4 antibody - N-terminal (AB230880)
  • IHC-P

Supplier Data

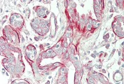
Immunohistochemistry (Formalin/PFA-fixed paraffin-embedded sections) - Anti-TPM4 antibody - N-terminal (AB230880)

Formalin-fixed, paraffin-embedded human placenta tissue stained for TPM4 using ab230880 at 1/100 dilution in immunohistochemical analysis.

Western blot - Anti-TPM4 antibody - N-terminal (AB230880)
  • WB

Supplier Data

Western blot - Anti-TPM4 antibody - N-terminal (AB230880)

All lanes:

Western blot - Anti-TPM4 antibody - N-terminal (ab230880) at 1/1000 dilution

Lane 1:

U-251 MG (Human brain glioma cell line) cell lysate at 35 µg

Lane 2:

A549 (Human lung carcinoma cell line) cell lysate at 35 µg

Lane 3:

Jurkat (Human T cell leukemia cell line from peripheral blood) cell lysate at 35 µg

Predicted band size: 28 kDa

false

Immunohistochemistry (Formalin/PFA-fixed paraffin-embedded sections) - Anti-TPM4 antibody - N-terminal (AB230880)
  • IHC-P

Supplier Data

Immunohistochemistry (Formalin/PFA-fixed paraffin-embedded sections) - Anti-TPM4 antibody - N-terminal (AB230880)

Formalin-fixed, paraffin-embedded human skeletal muscle tissue stained for TPM4 using ab230880 at 1/100 dilution in immunohistochemical analysis.

Key facts

Host species

Rabbit

Clonality

Polyclonal

Isotype

IgG

Carrier free

No

Reacts with

Human

Applications

IHC-P, WB, Flow Cyt (Intra)

applications

Immunogen

Synthetic Peptide within Human TPM4 aa 1-100 conjugated to Keyhole Limpet Haemocyanin. The exact immunogen used to generate this antibody is proprietary information.

P67936

Reactivity data

{ "title": "Reactivity Data", "filters": { "stats": ["", "Species", "Dilution Info", "Notes"], "tabs": { "all-applications": {"fullname" : "All Applications", "shortname": "All Applications"}, "WB" : {"fullname" : "Western blot", "shortname":"WB"}, "IHCP" : {"fullname" : "Immunohistochemistry (Formalin/PFA-fixed paraffin-embedded sections)", "shortname":"IHC-P"}, "FlowCytIntra" : {"fullname" : "Flow Cytometry (Intracellular)", "shortname":"Flow Cyt (Intra)"} }, "product-promise": { "all": "all", "testedAndGuaranteed": "tested", "guaranteed": "expected", "predicted": "predicted", "notRecommended": "not-recommended" } }, "values": { "Human": { "WB-species-checked": "testedAndGuaranteed", "WB-species-dilution-info": "1/1000", "WB-species-notes": "<p></p>", "IHCP-species-checked": "testedAndGuaranteed", "IHCP-species-dilution-info": "1/100", "IHCP-species-notes": "<p></p>", "FlowCytIntra-species-checked": "testedAndGuaranteed", "FlowCytIntra-species-dilution-info": "", "FlowCytIntra-species-notes": "<p></p>" }, "Pig": { "WB-species-checked": "predicted", "WB-species-dilution-info": "", "WB-species-notes": "", "IHCP-species-checked": "predicted", "IHCP-species-dilution-info": "", "IHCP-species-notes": "", "FlowCytIntra-species-checked": "predicted", "FlowCytIntra-species-dilution-info": "", "FlowCytIntra-species-notes": "" } } }

Properties and storage information

Form
Liquid
Purification technique
Affinity purification Protein A
Storage buffer
pH: 7.4 Preservative: 0.09% Sodium azide Constituents: PBS
Shipped at conditions
Blue Ice
Appropriate short-term storage duration
1-2 weeks
Appropriate short-term storage conditions
+4°C
Appropriate long-term storage conditions
-20°C
Aliquoting information
Upon delivery aliquot
Storage information
Avoid freeze / thaw cycle

Supplementary information

This supplementary information is collated from multiple sources and compiled automatically.

TPM4 also known as tropomyosin 4 or TM4 is a protein that helps regulate muscle contraction and stabilize actin filaments. It has a molecular mass of approximately 28 kDa. TPM4 expression occurs in various tissues including both skeletal and smooth muscle tissues as well as in non-muscle cells. This protein is part of a larger family of tropomyosins which bind to actin filaments and play an important role in modulating actin's interaction with other proteins.
Biological function summary

TPM4 contributes to the regulation of the actin cytoskeleton dynamics influencing cell movement and shape. TPM4 like other tropomyosins associates with actin filaments and forms a part of a complex with other actin-binding proteins such as tropomodulins. This complex is critical in both maintaining filament stability and facilitating the sliding of actin filaments during muscle contraction and other cellular activities.

Pathways

TPM4 participates actively in the cytoskeletal signaling and muscle contraction pathways. It interacts with important components in these pathways such as myosin allowing coordinated muscle contractions. TPM4 also plays a role in the regulation of the RhoA signaling pathway which is connected to cytoskeletal rearrangement and cell motility. These interactions highlight TPM4's integral position in biological processes relying on actin filament dynamics.

Misregulation of TPM4 can influence the development of conditions such as cardiomyopathies and cancer. Alterations in its expression or function may link to familial hypertrophic cardiomyopathy where it interacts with cardiac-specific proteins like cardiac myosin heavy chain (MYH7). Furthermore changes in TPM4 expression levels may associate with cancer metastasis in part due to its role in cell motility and invasion pointing to potential connections with proteins like cofilin during cancer progression.

Product protocols

For this product, it's our understanding that no specific protocols are required. You can visit:

Target data

Binds to actin filaments in muscle and non-muscle cells. Plays a central role, in association with the troponin complex, in the calcium dependent regulation of vertebrate striated muscle contraction. Smooth muscle contraction is regulated by interaction with caldesmon. In non-muscle cells is implicated in stabilizing cytoskeleton actin filaments (By similarity). Binds calcium (PubMed : 1836432). Plays a role in platelet biogenesis.
See full target information TPM4

Product promise

We are committed to supporting your work with high-quality reagents, and we're here for you every step of the way. In the unlikely event that one of our products does not perform as expected, you're protected by our Product Promise.
For full details, please see our Terms & Conditions

Please note: All products are 'FOR RESEARCH USE ONLY. NOT FOR USE IN DIAGNOSTIC OR THERAPEUTIC PROCEDURES'.

For licensing inquiries, please contact partnerships@abcam.com