JavaScript is disabled in your browser. Please enable JavaScript to view this website.
AB252869

Anti-TPN antibody [7F6]

Be the first to review this product! Submit a review

|

(1 Publication)

Rat Recombinant Monoclonal TPN antibody. Suitable for WB and reacts with Human samples. Cited in 1 publication.

View Alternative Names

NGS17, TAPA, TAPBP, Tapasin, TPN, TPSN, NGS-17, TAP-associated protein, TAP-binding protein

2 Images
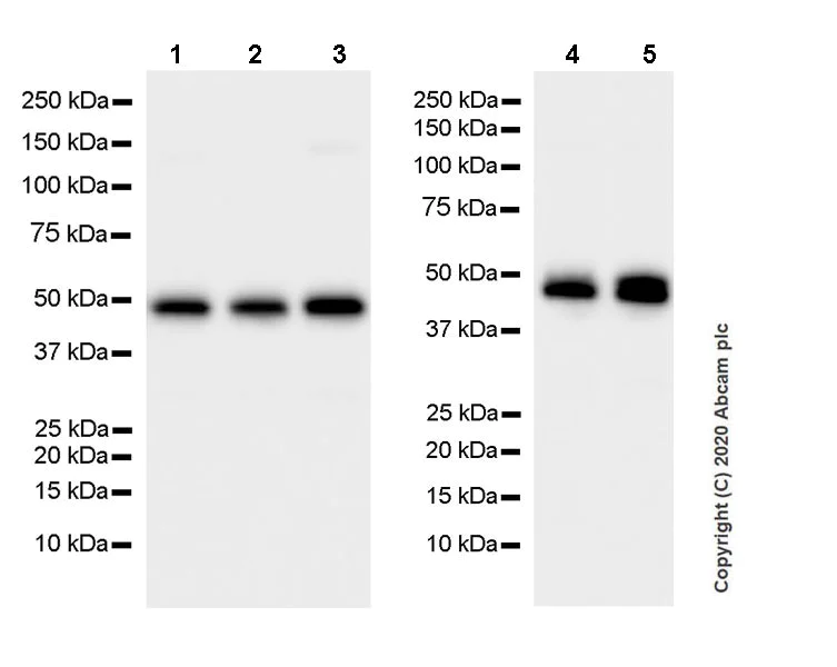
Western blot - Anti-TPN antibody [7F6] (AB252869)
  • WB

Lab

Western blot - Anti-TPN antibody [7F6] (AB252869)

Blocking and diluting buffer and concentration : 5% NFDM/TBST.

The double bands observed in lane 5 is consistent with what has been described in the literatures (PMID : 29107940, 17620360).

Exposure time : lane 1-3 : 6 seconds; lane 4-5 : 3 seconds.

All lanes:

Western blot - Anti-TPN antibody [7F6] (ab252869) at 1/1000 dilution

Lane 1:

HepG2 (human hepatocellular carcinoma epithelial cell), whole cell lysate at 20 µg

Lane 2:

HUVEC (human umbilical vein endothelial cell), whole cell lysate at 20 µg

Lane 3:

Jurkat (human T cell leukemia T lymphocyte), whole cell lysate at 20 µg

Lane 4:

Daudi (human Burkitts lymphoma lymphoblast), whole cell lysate at 20 µg

Lane 5:

Raji (human Burkitts lymphoma B lymphocyte), whole cell lysate at 20 µg

Secondary

All lanes:

Western blot - Goat Anti-Rat IgG H&L (HRP) (<a href='/en-us/products/secondary-antibodies/goat-rat-igg-h-l-hrp-ab205720'>ab205720</a>) at 1/5000 dilution

Predicted band size: 48 kDa

Observed band size: 47 kDa

false

Western blot - Anti-TPN antibody [7F6] (AB252869)
  • WB

Lab

Western blot - Anti-TPN antibody [7F6] (AB252869)

Blocking and diluting buffer and concentration : 5% NFDM/TBST.

Exposure time : 3 seconds.

All lanes:

Western blot - Anti-TPN antibody [7F6] (ab252869) at 1/1000 dilution

Lane 1:

HeLa (human cervix adenocarcinoma epithelial cell), whole cell lysate at 20 µg

Lane 2:

HeLa treated with 100 U/ml IFN gamma for 24 hours, whole cell lysate at 20 µg

Secondary

All lanes:

Western blot - Goat Anti-Rat IgG H&L (HRP) (<a href='/en-us/products/secondary-antibodies/goat-rat-igg-h-l-hrp-ab205720'>ab205720</a>) at 1/5000 dilution

Predicted band size: 48 kDa

Observed band size: 47 kDa

false

Key facts

Host species

Rat

Clonality

Monoclonal

Clone number

7F6

Isotype

IgG1

Carrier free

No

Reacts with

Human

Applications

WB

applications

Immunogen

The exact immunogen used to generate this antibody is proprietary information.

Reactivity data

{ "title": "Reactivity Data", "filters": { "stats": ["", "Species", "Dilution Info", "Notes"], "tabs": { "all-applications": {"fullname" : "All Applications", "shortname": "All Applications"}, "WB" : {"fullname" : "Western blot", "shortname":"WB"}, "ICC" : {"fullname" : "Immunocytochemistry", "shortname":"ICC"} }, "product-promise": { "all": "all", "testedAndGuaranteed": "tested", "guaranteed": "expected", "predicted": "predicted", "notRecommended": "not-recommended" } }, "values": { "Human": { "WB-species-checked": "testedAndGuaranteed", "WB-species-dilution-info": "1/1000", "WB-species-notes": "<p></p>", "ICC-species-checked": "notRecommended", "ICC-species-dilution-info": "", "ICC-species-notes": "<p></p>" }, "Mouse": { "WB-species-checked": "notRecommended", "WB-species-dilution-info": "1/1000", "WB-species-notes": "<p></p>", "ICC-species-checked": "notRecommended", "ICC-species-dilution-info": "", "ICC-species-notes": "" }, "Rat": { "WB-species-checked": "notRecommended", "WB-species-dilution-info": "1/1000", "WB-species-notes": "<p></p>", "ICC-species-checked": "notRecommended", "ICC-species-dilution-info": "", "ICC-species-notes": "" } } }

Product details

What are the advantages of a recombinant monoclonal antibody?
This product is a recombinant monoclonal antibody, which offers several advantages including:

  • - High batch-to-batch consistency and reproducibility
  • - Improved sensitivity and specificity
  • - Long-term security of supply
  • - Animal-free batch production

For more information, read more on recombinant antibodies.

Want a custom formulation?
This antibody clone is manufactured by Abcam. If you require a custom buffer formulation or conjugation for your experiments, please contact orders@abcam.com

Properties and storage information

Form
Liquid
Purification technique
Ion exchange chromatography
Storage buffer
pH: 7.2 - 7.4 Preservative: 0.01% Sodium azide Constituents: PBS, 40% Glycerol (glycerin, glycerine), 0.05% BSA
Shipped at conditions
Blue Ice
Appropriate short-term storage duration
1-2 weeks
Appropriate short-term storage conditions
+4°C
Appropriate long-term storage conditions
-20°C
Aliquoting information
Upon delivery aliquot
Storage information
Avoid freeze / thaw cycle

Product protocols

For this product, it's our understanding that no specific protocols are required. You can visit:

Target data

Involved in the association of MHC class I with transporter associated with antigen processing (TAP) and in the assembly of MHC class I with peptide (peptide loading).
See full target information TAPBP

Publications (1)

Recent publications for all applications. Explore the full list and refine your search

Cellular and molecular life sciences : CMLS 69:3317-27 PubMed22638925

2012

Direct evidence that the N-terminal extensions of the TAP complex act as autonomous interaction scaffolds for the assembly of the MHC I peptide-loading complex.

Applications

Unspecified application

Species

Unspecified reactive species

Sabine Hulpke,Maiko Tomioka,Elisabeth Kremmer,Kazumitsu Ueda,Rupert Abele,Robert Tampé
View all publications

Product promise

We are committed to supporting your work with high-quality reagents, and we're here for you every step of the way. In the unlikely event that one of our products does not perform as expected, you're protected by our Product Promise.
For full details, please see our Terms & Conditions

Please note: All products are 'FOR RESEARCH USE ONLY. NOT FOR USE IN DIAGNOSTIC OR THERAPEUTIC PROCEDURES'.

For licensing inquiries, please contact partnerships@abcam.com