JavaScript is disabled in your browser. Please enable JavaScript to view this website.
AB255872

Anti-TPN antibody [7F6] - BSA and Azide free

Be the first to review this product! Submit a review

|

(1 Publication)

Rat Recombinant Monoclonal TPN antibody. Carrier free. Suitable for WB and reacts with Human samples. Cited in 1 publication.

View Alternative Names

NGS17, TAPA, TAPBP, Tapasin, TPN, TPSN, NGS-17, TAP-associated protein, TAP-binding protein

2 Images
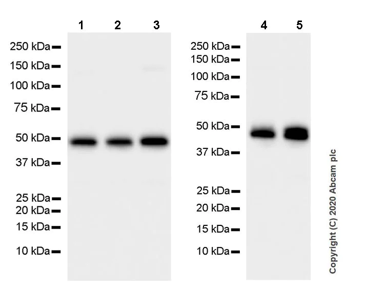
Western blot - Anti-TPN antibody [7F6] - BSA and Azide free (AB255872)
  • WB

Lab

Western blot - Anti-TPN antibody [7F6] - BSA and Azide free (AB255872)

Blocking and diluting buffer and concentration : 5% NFDM/TBST.

The double bands observed in lane 5 is consistent with what has been described in the literatures (PMID : 29107940, 17620360).

Exposure time : lane 1-3 : 6 seconds; lane 4-5 : 3 seconds.

This image was produced using the same antibody clone but in a different formulation ab252869, PBS, sodium azide, glycerol and BSA.

All lanes:

Western blot - Anti-TPN antibody [7F6] (<a href='/en-us/products/primary-antibodies/tpn-antibody-7f6-ab252869'>ab252869</a>) at 1/1000 dilution

Lane 1:

HepG2 (human hepatocellular carcinoma epithelial cell), whole cell lysate at 20 µg

Lane 2:

HUVEC (human umbilical vein endothelial cell), whole cell lysate at 20 µg

Lane 3:

Jurkat (human T cell leukemia T lymphocyte), whole cell lysate at 20 µg

Lane 4:

Daudi (human Burkitts lymphoma lymphoblast), whole cell lysate at 20 µg

Lane 5:

Raji (human Burkitts lymphoma B lymphocyte), whole cell lysate at 20 µg

Secondary

All lanes:

Western blot - Goat Anti-Rat IgG H&L (HRP) (<a href='/en-us/products/secondary-antibodies/goat-rat-igg-h-l-hrp-ab205720'>ab205720</a>) at 1/5000 dilution

Predicted band size: 48 kDa

Observed band size: 47 kDa

false

Western blot - Anti-TPN antibody [7F6] - BSA and Azide free (AB255872)
  • WB

Lab

Western blot - Anti-TPN antibody [7F6] - BSA and Azide free (AB255872)

Blocking and diluting buffer and concentration : 5% NFDM/TBST.

Exposure time : 3 seconds.

This image was produced using the same antibody clone but in a different formulation ab252869, PBS, sodium azide, glycerol and BSA.

All lanes:

Western blot - Anti-TPN antibody [7F6] (<a href='/en-us/products/primary-antibodies/tpn-antibody-7f6-ab252869'>ab252869</a>) at 1/1000 dilution

Lane 1:

HeLa (human cervix adenocarcinoma epithelial cell), whole cell lysate at 20 µg

Lane 2:

HeLa treated with 100 U/ml IFN gamma for 24 hours, whole cell lysate at 20 µg

Secondary

All lanes:

Western blot - Goat Anti-Rat IgG H&L (HRP) (<a href='/en-us/products/secondary-antibodies/goat-rat-igg-h-l-hrp-ab205720'>ab205720</a>) at 1/5000 dilution

Predicted band size: 48 kDa

Observed band size: 47 kDa

false

Key facts

Host species

Rat

Clonality

Monoclonal

Clone number

7F6

Isotype

IgG1

Carrier free

Yes

Reacts with

Human

Applications

WB

applications

Immunogen

The exact immunogen used to generate this antibody is proprietary information.

Reactivity data

{ "title": "Reactivity Data", "filters": { "stats": ["", "Species", "Dilution Info", "Notes"], "tabs": { "all-applications": {"fullname" : "All Applications", "shortname": "All Applications"}, "WB" : {"fullname" : "Western blot", "shortname":"WB"}, "ICC" : {"fullname" : "Immunocytochemistry", "shortname":"ICC"} }, "product-promise": { "all": "all", "testedAndGuaranteed": "tested", "guaranteed": "expected", "predicted": "predicted", "notRecommended": "not-recommended" } }, "values": { "Human": { "WB-species-checked": "testedAndGuaranteed", "WB-species-dilution-info": "1/1000", "WB-species-notes": "<p></p>", "ICC-species-checked": "notRecommended", "ICC-species-dilution-info": "", "ICC-species-notes": "<p></p>" }, "Mouse": { "WB-species-checked": "notRecommended", "WB-species-dilution-info": "1/1000", "WB-species-notes": "<p></p>", "ICC-species-checked": "notRecommended", "ICC-species-dilution-info": "", "ICC-species-notes": "" }, "Rat": { "WB-species-checked": "notRecommended", "WB-species-dilution-info": "1/1000", "WB-species-notes": "<p></p>", "ICC-species-checked": "notRecommended", "ICC-species-dilution-info": "", "ICC-species-notes": "" } } }

Product details

ab255872 is the carrier-free version of ab252869.

What are the advantages of a recombinant monoclonal antibody?
This product is a recombinant monoclonal antibody, which offers several advantages including:

  • - High batch-to-batch consistency and reproducibility
  • - Improved sensitivity and specificity
  • - Long-term security of supply
  • - Animal-free batch production

For more information, read more on recombinant antibodies.

Want a custom formulation?
This antibody clone is manufactured by Abcam. If you require a custom buffer formulation or conjugation for your experiments, please contact orders@abcam.com

Conjugation ready
Our carrier-free antibodies are typically supplied in a PBS-only formulation, purified and free of BSA, sodium azide and glycerol. This conjugation-ready format is designed for use with fluorochromes, metal isotopes, oligonucleotides, and enzymes, which makes them ideal for antibody labelling, functional and cell-based assays, flow-based assays (e.g. mass cytometry) and Multiplex Imaging applications.

Use our conjugation kits for antibody conjugates that are ready-to-use in as little as 20 minutes with 1 minute hands-on-time and 100% antibody recovery: available for fluorescent dyes, HRP, biotin and gold.

Compatibility
This product is compatible with the Maxpar® Antibody Labeling Kit from Fluidigm, without the need for antibody preparation. Maxpar® is a trademark of Fluidigm Canada Inc.

Properties and storage information

Form
Liquid
Purification technique
Affinity purification Protein A
Storage buffer
pH: 7.2 - 7.4 Constituents: PBS
Shipped at conditions
Blue Ice
Appropriate short-term storage conditions
+4°C
Appropriate long-term storage conditions
+4°C
Storage information
Do Not Freeze

Product protocols

For this product, it's our understanding that no specific protocols are required. You can visit:

Target data

Involved in the association of MHC class I with transporter associated with antigen processing (TAP) and in the assembly of MHC class I with peptide (peptide loading).
See full target information TAPBP

Publications (1)

Recent publications for all applications. Explore the full list and refine your search

Cellular and molecular life sciences : CMLS 69:3317-27 PubMed22638925

2012

Direct evidence that the N-terminal extensions of the TAP complex act as autonomous interaction scaffolds for the assembly of the MHC I peptide-loading complex.

Applications

Unspecified application

Species

Unspecified reactive species

Sabine Hulpke,Maiko Tomioka,Elisabeth Kremmer,Kazumitsu Ueda,Rupert Abele,Robert Tampé
View all publications

Product promise

We are committed to supporting your work with high-quality reagents, and we're here for you every step of the way. In the unlikely event that one of our products does not perform as expected, you're protected by our Product Promise.
For full details, please see our Terms & Conditions

Please note: All products are 'FOR RESEARCH USE ONLY. NOT FOR USE IN DIAGNOSTIC OR THERAPEUTIC PROCEDURES'.

For licensing inquiries, please contact partnerships@abcam.com