JavaScript is disabled in your browser. Please enable JavaScript to view this website.
AB195234

Anti-TPP1 antibody [EPR16537]

3

(2 Reviews)

|

(4 Publications)

Rabbit Recombinant Monoclonal TPP1 antibody. Suitable for WB, IHC-P and reacts with Human samples. Cited in 4 publications.

View Alternative Names

CLN2, GIG1, UNQ267/PRO304, TPP1, Tripeptidyl-peptidase 1, TPP-1, Cell growth-inhibiting gene 1 protein, Lysosomal pepstatin-insensitive protease, Tripeptidyl aminopeptidase, Tripeptidyl-peptidase I, LPIC, TPP-I

3 Images
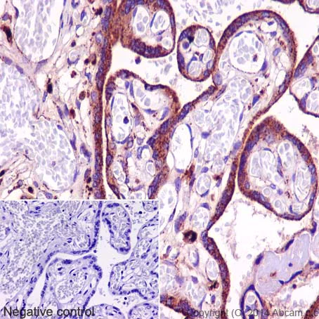
Immunohistochemistry (Formalin/PFA-fixed paraffin-embedded sections) - Anti-TPP1 antibody [EPR16537] (AB195234)
  • IHC-P

Supplier Data

Immunohistochemistry (Formalin/PFA-fixed paraffin-embedded sections) - Anti-TPP1 antibody [EPR16537] (AB195234)

Immunohistochemical analysis of paraffin-embedded Human placenta tissue labeling TPP1 with ab195234 at 1/150 dilution followed by Goat Anti-Rabbit IgG H&L (HRP) (ab97051) secondary antibody at 1/500 dilution and counter-stained with Hematoxylin.
(inset : negative control).

Note : Cytoplasm staining on human placenta tissue was observed.

Perform heat mediated antigen retrieval with Tris/EDTA buffer pH 9.0 before commencing with IHC staining protocol.

Western blot - Anti-TPP1 antibody [EPR16537] (AB195234)
  • WB

Supplier Data

Western blot - Anti-TPP1 antibody [EPR16537] (AB195234)

ab195234 recognises both 61kDa pro-form, 48kDa mature form and 34kDa shorter isoform.

All lanes:

Western blot - Anti-TPP1 antibody [EPR16537] (ab195234) at 1/1000 dilution

Lane 1:

Human fetal heart lysate at 20 µg

Lane 2:

HeLa lysate at 20 µg

Lane 3:

Jurkat lysate at 20 µg

Secondary

All lanes:

Goat Anti-Rabbit IgG, (H+L), Peroxidase conjugate at 1/1000 dilution

Predicted band size: 61 kDa

true

Exposure time: 3min

Western blot - Anti-TPP1 antibody [EPR16537] (AB195234)
  • WB

Supplier Data

Western blot - Anti-TPP1 antibody [EPR16537] (AB195234)

ab195234 recognises both 61kDa pro-form, 48kDa mature form and 34kDa shorter isoform.

All lanes:

Western blot - Anti-TPP1 antibody [EPR16537] (ab195234) at 1/10000 dilution

Lane 1:

Human fetal heart lysate at 20 µg

Lane 2:

HeLa lysate at 20 µg

Lane 3:

Jurkat lysate at 20 µg

Secondary

All lanes:

Goat Anti-Rabbit IgG, (H+L), Peroxidase conjugate at 1/1000 dilution

Predicted band size: 61 kDa

true

Exposure time: 3min

  • Carrier free

    Anti-TPP1 antibody [EPR16537] - BSA and Azide free

Key facts

Host species

Rabbit

Clonality

Monoclonal

Clone number

EPR16537

Isotype

IgG

Carrier free

No

Reacts with

Human

Applications

IHC-P, WB

applications

Immunogen

The exact immunogen used to generate this antibody is proprietary information.

Specificity

This product detects Tripeptidyl-peptidase 1 (TPP1). It is unable to detect Adrenocortical dysplasia protein homolog which is also known as TPP1.

Reactivity data

{ "title": "Reactivity Data", "filters": { "stats": ["", "Species", "Dilution Info", "Notes"], "tabs": { "all-applications": {"fullname" : "All Applications", "shortname": "All Applications"}, "WB" : {"fullname" : "Western blot", "shortname":"WB"}, "IHCP" : {"fullname" : "Immunohistochemistry (Formalin/PFA-fixed paraffin-embedded sections)", "shortname":"IHC-P"} }, "product-promise": { "all": "all", "testedAndGuaranteed": "tested", "guaranteed": "expected", "predicted": "predicted", "notRecommended": "not-recommended" } }, "values": { "Human": { "WB-species-checked": "testedAndGuaranteed", "WB-species-dilution-info": "1/1000 - 1/10000", "WB-species-notes": "<p></p>", "IHCP-species-checked": "testedAndGuaranteed", "IHCP-species-dilution-info": "1/50 - 1/150", "IHCP-species-notes": "<p></p>" }, "Mouse": { "WB-species-checked": "predicted", "WB-species-dilution-info": "", "WB-species-notes": "", "IHCP-species-checked": "predicted", "IHCP-species-dilution-info": "", "IHCP-species-notes": "" }, "Rat": { "WB-species-checked": "predicted", "WB-species-dilution-info": "", "WB-species-notes": "", "IHCP-species-checked": "predicted", "IHCP-species-dilution-info": "", "IHCP-species-notes": "" } } }

Product details

Patented technology
Our RabMAb® technology is a patented hybridoma-based technology for making rabbit monoclonal antibodies. For details on our patents, please refer to RabMAb® patents.

What are the advantages of a recombinant monoclonal antibody?
This product is a recombinant monoclonal antibody, which offers several advantages including:

  • - High batch-to-batch consistency and reproducibility
  • - Improved sensitivity and specificity
  • - Long-term security of supply
  • - Animal-free batch production

For more information, read more on recombinant antibodies.

Properties and storage information

Form
Liquid
Purification technique
Affinity purification Protein A
Storage buffer
pH: 7.2 - 7.4 Preservative: 0.01% Sodium azide Constituents: PBS, 40% Glycerol (glycerin, glycerine), 0.05% BSA
Shipped at conditions
Blue Ice
Appropriate short-term storage duration
1-2 weeks
Appropriate short-term storage conditions
+4°C
Appropriate long-term storage conditions
-20°C
Aliquoting information
Upon delivery aliquot
Storage information
Avoid freeze / thaw cycle

Supplementary information

This supplementary information is collated from multiple sources and compiled automatically.

Tripeptidyl peptidase I (TPP1) also known as CLN2 is a lysosomal serine protease with a molecular mass of about 61 kDa. TPP1 is expressed in numerous tissues with notable activity in the brain and retinal cells. Mechanically TPP1's primary function includes cleaving N-terminal tripeptides from substrates an important step in protein degradation and turnover within the lysosome.
Biological function summary

This protease plays an essential role in maintaining cellular function by preventing the accumulation of partially degraded proteins. TPP1 exists as part of a lysosomal enzyme complex involved in the catabolic process that recycles cellular components. Its action ensures proper protein homeostasis protecting cells from toxic buildup that can lead to cellular dysfunction.

Pathways

TPP1 is a part of the lysosomal degradation pathway critical for cellular waste management and nutrient recycling. This pathway intersects with broader metabolic routes where TPP1 activity supports the catabolism of intracytoplasmic substrates. TPP1 also interacts with proteins such as cathepsin D another enzyme contributing to proteolytic pathways to maintain the balance and efficiency of protein degradation processes.

TPP1 mutations are associated with neuronal ceroid lipofuscinosis type 2 (CLN2 disease) a rare neurodegenerative disorder. This disease involves progressive brain and retinal degeneration due to lysosomal storage malfunction. The TPP1 connection to CLN2 disease highlights its essential role in neurological health. Additionally TPP1 has links to Batten disease where compromised enzyme function leads to severe neurological symptoms. Other proteins like CLN3 may also interact with TPP1 in these disease contexts influencing their progression and pathology.

Product protocols

For this product, it's our understanding that no specific protocols are required. You can visit:

Target data

Lysosomal serine protease with tripeptidyl-peptidase I activity (PubMed : 11054422, PubMed : 19038966, PubMed : 19038967). May act as a non-specific lysosomal peptidase which generates tripeptides from the breakdown products produced by lysosomal proteinases (PubMed : 11054422, PubMed : 19038966, PubMed : 19038967). Requires substrates with an unsubstituted N-terminus (PubMed : 19038966).
See full target information TPP1

Publications (4)

Recent publications for all applications. Explore the full list and refine your search

International journal of molecular sciences 24: PubMed37762556

2023

Ginsenoside F1-Mediated Telomere Preservation Delays Cellular Senescence.

Applications

Unspecified application

Species

Unspecified reactive species

Jingang Hou,Yeejin Yun,Byeongmin Jeon,Jongin Baek,Sunchang Kim

Nucleic acids research 50:7493-7510 PubMed35819196

2022

Selective pericentromeric heterochromatin dismantling caused by TP53 activation during senescence.

Applications

Unspecified application

Species

Unspecified reactive species

Aaron Mendez-Bermudez,Liudmyla Lototska,Melanie Pousse,Florent Tessier,Oliver Croce,Chrysa M Latrick,Veronica Cherdyntseva,Joe Nassour,Jiang Xiaohua,Yiming Lu,Corinne Abbadie,Sarantis Gagos,Jing Ye,Eric Gilson

Cell death and differentiation 28:320-336 PubMed32764647

2020

Nuclear miR-30b-5p suppresses TFEB-mediated lysosomal biogenesis and autophagy.

Applications

Unspecified application

Species

Unspecified reactive species

Huijie Guo,Mei Pu,Yusi Tai,Yuxiang Chen,Henglei Lu,Junwen Qiao,Guanghui Wang,Jing Chen,Xinming Qi,Ruimin Huang,Zhouteng Tao,Jin Ren

Neurobiology of disease 127:362-373 PubMed30928643

2019

Upregulation of tripeptidyl-peptidase 1 by 3-hydroxy-(2,2)-dimethyl butyrate, a brain endogenous ligand of PPARα: Implications for late-infantile Batten disease therapy.

Applications

Unspecified application

Species

Unspecified reactive species

Sudipta Chakrabarti,Sujyoti Chandra,Avik Roy,Sridevi Dasarathi,Madhuchhanda Kundu,Kalipada Pahan
View all publications

Product promise

We are committed to supporting your work with high-quality reagents, and we're here for you every step of the way. In the unlikely event that one of our products does not perform as expected, you're protected by our Product Promise.
For full details, please see our Terms & Conditions

Please note: All products are 'FOR RESEARCH USE ONLY. NOT FOR USE IN DIAGNOSTIC OR THERAPEUTIC PROCEDURES'.

For licensing inquiries, please contact partnerships@abcam.com