JavaScript is disabled in your browser. Please enable JavaScript to view this website.
AB92305

Anti-TPPP antibody [EPR3316]

Be the first to review this product! Submit a review

|

(20 Publications)

Rabbit Recombinant Monoclonal TPPP antibody. Suitable for IHC-P, WB, ICC/IF, Flow Cyt (Intra) and reacts with Mouse, Rat, Human samples. Cited in 20 publications.

View Alternative Names

TPPP1, TPPP, Tubulin polymerization-promoting protein, 25 kDa brain-specific protein, TPPP/p25, p24, p25-alpha

11 Images
Immunohistochemistry (Formalin/PFA-fixed paraffin-embedded sections) - Anti-TPPP antibody [EPR3316] (AB92305)
  • IHC-P

Unknown

Immunohistochemistry (Formalin/PFA-fixed paraffin-embedded sections) - Anti-TPPP antibody [EPR3316] (AB92305)

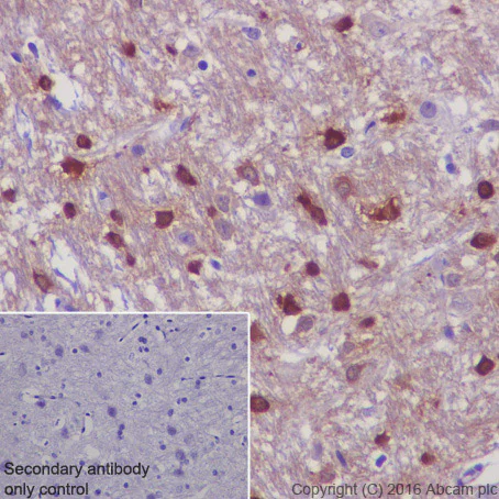
Immunohistochemical analysis of paraffin-embedded human glioma tissue sections labelling TPPP with purified ab92305 at dilution of 1/50. The secondary antibody used was ab97051; a goat anti-rabbit IgG H&L (HRP) at dilution of 1/500. The sample was counterstained with hematoxylin. Antigen retrieval was performed using EDTA Buffer; pH 9.0. PBS was used instead of the primary antibody as the negative control and is shown in the inset.

Immunohistochemistry (Formalin/PFA-fixed paraffin-embedded sections) - Anti-TPPP antibody [EPR3316] (AB92305)
  • IHC-P

Supplier Data

Immunohistochemistry (Formalin/PFA-fixed paraffin-embedded sections) - Anti-TPPP antibody [EPR3316] (AB92305)

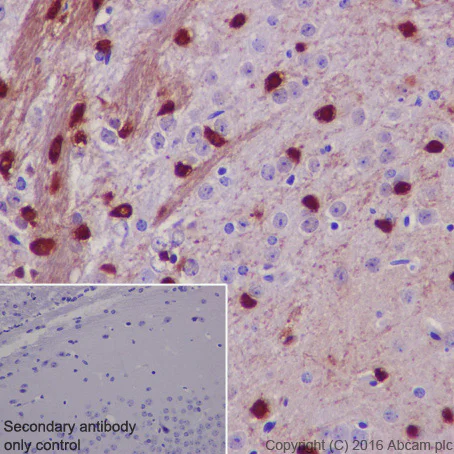
Immunohistochemical analysis of paraffin-embedded human cerebral cortex tissue sections labelling TPPP with purified ab92305 at dilution of 1/50. The secondary antibody used was ab97051; a goat anti-rabbit IgG H&L (HRP) at dilution of 1/500. The sample was counterstained with hematoxylin. Antigen retrieval was performed using EDTA Buffer; pH 9.0. PBS was used instead of the primary antibody as the negative control and is shown in the inset.

Immunocytochemistry/ Immunofluorescence - Anti-TPPP antibody [EPR3316] (AB92305)
  • ICC/IF

Unknown

Immunocytochemistry/ Immunofluorescence - Anti-TPPP antibody [EPR3316] (AB92305)

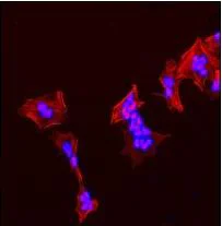
ab92305 at 1/100 dilution staining TPPP in SH-SY5Y cells, by immunofluorescence.

Immunohistochemistry (Formalin/PFA-fixed paraffin-embedded sections) - Anti-TPPP antibody [EPR3316] (AB92305)
  • IHC-P

Unknown

Immunohistochemistry (Formalin/PFA-fixed paraffin-embedded sections) - Anti-TPPP antibody [EPR3316] (AB92305)

ab92305 at 1/250 dilution staining TPPP in paraffin-embedded Human brain tissue by immunohistochemistry.

Perform heat mediated antigen retrieval via the pressure cooker method before commencing with IHC staining protocol.

Flow Cytometry (Intracellular) - Anti-TPPP antibody [EPR3316] (AB92305)
  • Flow Cyt (Intra)

Unknown

Flow Cytometry (Intracellular) - Anti-TPPP antibody [EPR3316] (AB92305)

Overlay histogram showing SH-SY5Y cells stained with ab92305 (red line). The cells were fixed with 4% paraformaldehyde (10 min) and then permeabilized with 0.1% PBS-Tween for 20 min. The cells were then incubated in 1x PBS / 10% normal goat serum / 0.3M glycine to block non-specific protein-protein interactions followed by the antibody (ab92305, 1/100 dilution) for 30 min at 22°C. The secondary antibody used was DyLight® 488 goat anti-rabbit IgG (H+L) (ab96899) at 1/500 dilution for 30 min at 22°C. Isotype control antibody (black line) was rabbit IgG (monoclonal) (0.1μg/1x106 cells) used under the same conditions. Unlabelled sample (blue line) was also used as a control. Acquisition of >5,000 events were collected using a 20mW Argon ion laser (488nm) and 525/30 bandpass filter.

Immunohistochemistry (Formalin/PFA-fixed paraffin-embedded sections) - Anti-TPPP antibody [EPR3316] (AB92305)
  • IHC-P

Unknown

Immunohistochemistry (Formalin/PFA-fixed paraffin-embedded sections) - Anti-TPPP antibody [EPR3316] (AB92305)

Immunohistochemical analysis of paraffin-embedded rat cerebral cortex tissue sections labelling TPPP with purified ab92305 at dilution of 1/50. The secondary antibody used was ab97051; a goat anti-rabbit IgG H&L (HRP) at dilution of 1/500. The sample was counterstained with hematoxylin. Antigen retrieval was performed using EDTA Buffer; pH 9.0. PBS was used instead of the primary antibody as the negative control and is shown in the inset.

Immunohistochemistry (Formalin/PFA-fixed paraffin-embedded sections) - Anti-TPPP antibody [EPR3316] (AB92305)
  • IHC-P

Unknown

Immunohistochemistry (Formalin/PFA-fixed paraffin-embedded sections) - Anti-TPPP antibody [EPR3316] (AB92305)

Immunohistochemical analysis of paraffin-embedded mouse cerebral cortex tissue sections labelling TPPP with purified ab92305 at dilution of 1/50. The secondary antibody used was ab97051; a goat anti-rabbit IgG H&L (HRP) at dilution of 1/500. The sample was counterstained with hematoxylin. Antigen retrieval was performed using EDTA Buffer; pH 9.0. PBS was used instead of the primary antibody as the negative control and is shown in the inset.

Immunocytochemistry/ Immunofluorescence - Anti-TPPP antibody [EPR3316] (AB92305)
  • ICC/IF

Unknown

Immunocytochemistry/ Immunofluorescence - Anti-TPPP antibody [EPR3316] (AB92305)

Immunocytochemistry/Immunofluorescence staining of Neuro-2a (mouse neuroblastoma) cells labelling TPPP with purified ab92305 at a working dilution of 1/100. The secondary antibody was Alexa Fluor® 488 goat anti-rabbit (ab150077), used at a dilution of 1/1000. ab7291, a mouse anti-tubulin antibody (1/1000), was used to stain tubulin along with ab150120 (Alexa Fluor® 594 goat anti-mouse, 1/1000), shown in the top right hand panel. DAPI was used as nuclear counterstain. The cells were fixed in 4% Paraformaldehyde and permeabilized using 0.1% Triton X-100. The negative controls are shown in bottom middle and right hand panels - for negative control 1, rabbit primary antibody was used followed by an Alexa Fluor® 594 goat anti-mouse antibody (ab150120). For negative control 2, ab7291 (mouse anti-tubulin) was used followed by an Alexa Fluor® 488 goat anti-rabbit secondary (ab150077).

Flow Cytometry (Intracellular) - Anti-TPPP antibody [EPR3316] (AB92305)
  • Flow Cyt (Intra)

Lab

Flow Cytometry (Intracellular) - Anti-TPPP antibody [EPR3316] (AB92305)

Overlay histogram showing 4% paraformaldehyde fixed Neuro-2a (mouse neuroblastoma) cells labelling TPPP with purified ab92305 at dilution of 1/20. The secondary antibody used was Alexa Fluor® 488 goat-anti-rabbit IgG at dilution of 1/2000. A non-specific IgG antibody (rabbit monoclonal) was used as isotype control (black line). The blue line shows cells without incubation with primary antibody and secondary antibody.

Western blot - Anti-TPPP antibody [EPR3316] (AB92305)
  • WB

Unknown

Western blot - Anti-TPPP antibody [EPR3316] (AB92305)

Blocking/Diluting buffer 5% NFDM /TBST

All lanes:

Western blot - Anti-TPPP antibody [EPR3316] (ab92305) at 1/10000 dilution

Lane 1:

Human cerebellum tissue lysate at 20 µg

Lane 2:

Mouse brain tissue lysate at 20 µg

Lane 3:

Mouse cerebral cortex tissue lysate at 20 µg

Lane 4:

Rat brain tissue lysate at 20 µg

Secondary

All lanes:

Anti-Rabbit IgG (HRP), specific to the non-reduced form of IgG at 1/2000 dilution

Predicted band size: 23 kDa

Observed band size: 25 kDa

false

Western blot - Anti-TPPP antibody [EPR3316] (AB92305)
  • WB

Unknown

Western blot - Anti-TPPP antibody [EPR3316] (AB92305)

All lanes:

Western blot - Anti-TPPP antibody [EPR3316] (ab92305) at 1/1000 dilution

Lane 1:

Fetal brain lysate at 10 µg

Lane 2:

SHSY5Y cell lysate at 10 µg

Lane 3:

Mouse brain lysate at 10 µg

Lane 4:

Rat brain lysate at 10 µg

Secondary

All lanes:

HRP labelled goat anti-rabbit antibody at 1/2000 dilution

Predicted band size: 23 kDa

false

Key facts

Host species

Rabbit

Clonality

Monoclonal

Clone number

EPR3316

Isotype

IgG

Carrier free

No

Reacts with

Mouse, Rat, Human

Applications

Flow Cyt (Intra), IHC-P, WB, ICC/IF

applications

Immunogen

The exact immunogen used to generate this antibody is proprietary information.

Reactivity data

{ "title": "Reactivity Data", "filters": { "stats": ["", "Species", "Dilution Info", "Notes"], "tabs": { "all-applications": {"fullname" : "All Applications", "shortname": "All Applications"}, "IHCP" : {"fullname" : "Immunohistochemistry (Formalin/PFA-fixed paraffin-embedded sections)", "shortname":"IHC-P"}, "WB" : {"fullname" : "Western blot", "shortname":"WB"}, "ICCIF" : {"fullname" : "Immunocytochemistry/ Immunofluorescence", "shortname":"ICC/IF"}, "FlowCytIntra" : {"fullname" : "Flow Cytometry (Intracellular)", "shortname":"Flow Cyt (Intra)"} }, "product-promise": { "all": "all", "testedAndGuaranteed": "tested", "guaranteed": "expected", "predicted": "predicted", "notRecommended": "not-recommended" } }, "values": { "Human": { "IHCP-species-checked": "testedAndGuaranteed", "IHCP-species-dilution-info": "1/50", "IHCP-species-notes": "<p><strong>For unpurified use at 1/250 - 1/500.</strong></p>", "WB-species-checked": "testedAndGuaranteed", "WB-species-dilution-info": "1/10000", "WB-species-notes": "<p><strong>For unpurified use at 1/500 - 1/1000.</strong></p>", "ICCIF-species-checked": "testedAndGuaranteed", "ICCIF-species-dilution-info": "1/100 - 1/250", "ICCIF-species-notes": "<p></p>", "FlowCytIntra-species-checked": "testedAndGuaranteed", "FlowCytIntra-species-dilution-info": "1/20 - 1/50", "FlowCytIntra-species-notes": "<p><a href='/en-us/products/primary-antibodies/rabbit-igg-monoclonal-epr25a-isotype-control-ab172730'>ab172730</a> - Rabbit monoclonal IgG, is suitable for use as an isotype control with this antibody.</p>" }, "Mouse": { "IHCP-species-checked": "testedAndGuaranteed", "IHCP-species-dilution-info": "1/50", "IHCP-species-notes": "<p><strong>For unpurified use at 1/250 - 1/500.</strong></p>", "WB-species-checked": "testedAndGuaranteed", "WB-species-dilution-info": "1/10000", "WB-species-notes": "<p><strong>For unpurified use at 1/500 - 1/1000.</strong></p>", "ICCIF-species-checked": "testedAndGuaranteed", "ICCIF-species-dilution-info": "1/100 - 1/250", "ICCIF-species-notes": "<p></p>", "FlowCytIntra-species-checked": "testedAndGuaranteed", "FlowCytIntra-species-dilution-info": "1/20 - 1/50", "FlowCytIntra-species-notes": "<p><a href='/en-us/products/primary-antibodies/rabbit-igg-monoclonal-epr25a-isotype-control-ab172730'>ab172730</a> - Rabbit monoclonal IgG, is suitable for use as an isotype control with this antibody.</p>" }, "Rat": { "IHCP-species-checked": "testedAndGuaranteed", "IHCP-species-dilution-info": "1/50", "IHCP-species-notes": "<p><strong>For unpurified use at 1/250 - 1/500.</strong></p>", "WB-species-checked": "testedAndGuaranteed", "WB-species-dilution-info": "1/10000", "WB-species-notes": "<p><strong>For unpurified use at 1/500 - 1/1000.</strong></p>", "ICCIF-species-checked": "guaranteed", "ICCIF-species-dilution-info": "", "ICCIF-species-notes": "", "FlowCytIntra-species-checked": "guaranteed", "FlowCytIntra-species-dilution-info": "", "FlowCytIntra-species-notes": "" } } }

Product details

Patented technology
Our RabMAb® technology is a patented hybridoma-based technology for making rabbit monoclonal antibodies. For details on our patents, please refer to RabMAb® patents.

What are the advantages of a recombinant monoclonal antibody?
This product is a recombinant monoclonal antibody, which offers several advantages including:

  • - High batch-to-batch consistency and reproducibility
  • - Improved sensitivity and specificity
  • - Long-term security of supply
  • - Animal-free batch production

For more information, read more on recombinant antibodies.

Properties and storage information

Form
Liquid
Purification technique
Affinity purification Protein A
Storage buffer
pH: 7.2 - 7.4 Preservative: 0.01% Sodium azide Constituents: PBS, 40% Glycerol (glycerin, glycerine), 0.05% BSA
Shipped at conditions
Blue Ice
Appropriate short-term storage duration
1-2 weeks
Appropriate short-term storage conditions
+4°C
Appropriate long-term storage conditions
-20°C
Aliquoting information
Upon delivery aliquot
Storage information
Avoid freeze / thaw cycle|Stable for 12 months at -20°C

Supplementary information

This supplementary information is collated from multiple sources and compiled automatically.

TPPP also known as Tubulin Polymerization Promoting Protein or p25 is a small protein with an approximate mass of 25 kDa. TPPP is expressed mainly in the brain particularly abundant in oligodendrocytes. This protein plays an important role in regulating the polymerization of tubulin into microtubules. Through its binding to tubulin TPPP stabilizes microtubule structures facilitating proper microtubule assembly and maintenance. The modulation of these structures is essential for cellular operations like intracellular transport and cell division.
Biological function summary

The protein participates in the dynamics of cytoskeletal elements critical for maintaining cell shape and function. TPPP is part of cytoskeletal networks where it contributes to cellular integrity in neurons. TPPP's activity influences the formation and maintenance of myelin the insulating layer enveloping nerve fibers which is important for fast and efficient nerve impulse conduction. In its role TPPP interacts cooperatively with other cytoskeletal proteins enhancing microtubule resilience and cell structural stability.

Pathways

TPPP interacts in processes involving microtubule organization and stabilization. It is integral in the MAPK/ERK signaling pathway which is prominent in regulating cellular processes like proliferation and differentiation. Additionally TPPP may interplay with proteins such as MAP2 and Tau both involved in the MAP-kinase pathways regulating microtubule dynamics indicating a collaborative network in cellular signaling and structural reinforcement in neural cells.

TPPP has correlations with neurodegenerative diseases such as Parkinson's and Alzheimer's diseases. Abnormal regulation or aggregation of TPPP is linked to the formation of pathological protein inclusions found in these conditions. The interaction between TPPP and Alpha-synuclein is particularly notable as TPPP may regulate or enhance the aggregation of Alpha-synuclein contributing to the development of Lewy bodies in Parkinson's. Understanding these interactions and pathways is essential for developing therapeutic strategies targeting these neurodegenerative disorders.

Product protocols

For this product, it's our understanding that no specific protocols are required. You can visit:

Target data

Regulator of microtubule dynamics that plays a key role in myelination by promoting elongation of the myelin sheath (PubMed : 31522887). Acts as a microtubule nucleation factor in oligodendrocytes : specifically localizes to the postsynaptic Golgi apparatus region, also named Golgi outpost, and promotes microtubule nucleation, an important step for elongation of the myelin sheath (PubMed : 31522887, PubMed : 33831707). Required for both uniform polarized growth of distal microtubules as well as directing the branching of proximal processes (PubMed : 31522887). Shows magnesium-dependent GTPase activity; the role of the GTPase activity is unclear (PubMed : 21316364, PubMed : 21995432). In addition to microtubule nucleation activity, also involved in microtubule bundling and stabilization of existing microtubules, thereby maintaining the integrity of the microtubule network (PubMed : 17105200, PubMed : 17693641, PubMed : 18028908, PubMed : 26289831). Regulates microtubule dynamics by promoting tubulin acetylation : acts by inhibiting the tubulin deacetylase activity of HDAC6 (PubMed : 20308065, PubMed : 23093407). Also regulates cell migration : phosphorylation by ROCK1 inhibits interaction with HDAC6, resulting in decreased acetylation of tubulin and increased cell motility (PubMed : 23093407). Plays a role in cell proliferation by regulating the G1/S-phase transition (PubMed : 23355470). Involved in astral microtubule organization and mitotic spindle orientation during early stage of mitosis; this process is regulated by phosphorylation by LIMK2 (PubMed : 22328514).
See full target information TPPP

Publications (20)

Recent publications for all applications. Explore the full list and refine your search

Nature communications 16:8477 PubMed41006208

2025

Spatially-restricted inflammation-induced senescent-like glia in multiple sclerosis and patient-derived organoids.

Applications

Unspecified application

Species

Unspecified reactive species

Francesca Fagiani,Edoardo Pedrini,Maria Sofia Martire,Gaia Gastoldi,Colin Vanden Bulcke,Jing-Ping Lin,Dragan Maric,Elena Brambilla,Francesca Ruffini,Carolina Peri,Peter A Calabresi,Pietro Maggi,Paola Panina-Bordignon,Gianvito Martino,Daniel S Reich,Martina Absinta

Acta neuropathologica communications 13:94 PubMed40336104

2025

Oligodendrocyte-specific overexpression of human alpha-synuclein results in elevated MBP levels and inflammatory responses in TgM83 mice, mimicking the pathological features of multiple system atrophy.

Applications

Unspecified application

Species

Unspecified reactive species

Sam Chi-Hao Liu,Koping Chang,Meng-Ling Chen,Ming-Che Kuo,Teh-Cheng Wang,Ruey-Meei Wu

The EMBO journal 43:6001-6031 PubMed39424953

2024

The mitochondrial long non-coding RNA lncMtloop regulates mitochondrial transcription and suppresses Alzheimer's disease.

Applications

Unspecified application

Species

Unspecified reactive species

Wandi Xiong,Kaiyu Xu,Jacquelyne Ka-Li Sun,Siling Liu,Baizhen Zhao,Jie Shi,Karl Herrup,Hei-Man Chow,Lin Lu,Jiali Li

Transgenic research 33:99-117 PubMed38684589

2024

Generation and characterization of cerebellar granule neurons specific knockout mice of Golli-MBP.

Applications

Unspecified application

Species

Unspecified reactive species

Haruko Miyazaki,Saki Nishioka,Tomoyuki Yamanaka,Manabu Abe,Yukio Imamura,Tomohiro Miyasaka,Nobuto Kakuda,Toshitaka Oohashi,Tomomi Shimogori,Kazuhiro Yamakawa,Masahito Ikawa,Nobuyuki Nukina

Nature communications 14:3372 PubMed37291151

2023

Astrocyte-oligodendrocyte interaction regulates central nervous system regeneration.

Applications

Unspecified application

Species

Unspecified reactive species

Irene Molina-Gonzalez,Rebecca K Holloway,Zoeb Jiwaji,Owen Dando,Sarah A Kent,Katie Emelianova,Amy F Lloyd,Lindsey H Forbes,Ayisha Mahmood,Thomas Skripuletz,Viktoria Gudi,James A Febery,Jeffrey A Johnson,Jill H Fowler,Tanja Kuhlmann,Anna Williams,Siddharthan Chandran,Martin Stangel,Andrew J M Howden,Giles E Hardingham,Veronique E Miron

Brain pathology (Zurich, Switzerland) 33:e13131 PubMed36368713

2022

Early and extensive alterations of glial connexins, distal oligodendrogliopathy type demyelination, and nodal/paranodal pathology are characteristic of multiple system atrophy.

Applications

Unspecified application

Species

Unspecified reactive species

Yuji Nishimura,Katsuhisa Masaki,Dai Matsuse,Hiroo Yamaguchi,Tatsunori Tanaka,Eriko Matsuo,Shotaro Hayashida,Mitsuru Watanabe,Takuya Matsushita,Shoko Sadashima,Naokazu Sasagasako,Ryo Yamasaki,Noriko Isobe,Toru Iwaki,Jun-Ichi Kira

Journal of cellular and molecular medicine 25:9634-9646 PubMed34486218

2021

Prolyl oligopeptidase inhibition reduces alpha-synuclein aggregation in a cellular model of multiple system atrophy.

Applications

Unspecified application

Species

Unspecified reactive species

Hengjing Cui,Tommi Kilpeläinen,Lydia Zouzoula,Samuli Auno,Kalevi Trontti,Sampo Kurvonen,Susanna Norrbacka,Iiris Hovatta,Poul Henning Jensen,Timo T Myöhänen

Experimental and therapeutic medicine 22:1204 PubMed34584549

2021

Gain of TPPP as a predictor of progression in patients with bladder cancer.

Applications

Unspecified application

Species

Unspecified reactive species

Ying-Hsu Chang,Po-Hung Lin,Chin-Chang Chen,Wen-Hui Weng,Kai-Jie Yu,Chung-Yi Liu,Chin-Hsuan Hsieh,Tzu-Hsuan Chang,I-Hung Shao,Hung-Cheng Kan,Cheng-Keng Chuang,See-Tong Pang

Frontiers in pharmacology 12:633805 PubMed33981225

2021

Lentivirus-Carried microRNA-195 Rescues Memory Deficits of Alzheimer's Disease Transgenic Mouse by Attenuating the Generation of Amyloid Plaques.

Applications

Unspecified application

Species

Unspecified reactive species

Dan Su,Yani Chai,Junkai Yang,Xuqiao Wang,Ying Liu,Jing Ma,Xin Tang,Chandan Mishra,Shah Ram Chandra,Weidong Yue,Jing Ai

Acta neuropathologica communications 9:68 PubMed33853667

2021

Human alpha-synuclein overexpressing MBP29 mice mimic functional and structural hallmarks of the cerebellar subtype of multiple system atrophy.

Applications

Unspecified application

Species

Unspecified reactive species

Lisa Mészáros,Markus J Riemenschneider,Heiko Gassner,Franz Marxreiter,Stephan von Hörsten,Alana Hoffmann,Jürgen Winkler
View all publications

Product promise

We are committed to supporting your work with high-quality reagents, and we're here for you every step of the way. In the unlikely event that one of our products does not perform as expected, you're protected by our Product Promise.
For full details, please see our Terms & Conditions

Please note: All products are 'FOR RESEARCH USE ONLY. NOT FOR USE IN DIAGNOSTIC OR THERAPEUTIC PROCEDURES'.

For licensing inquiries, please contact partnerships@abcam.com