JavaScript is disabled in your browser. Please enable JavaScript to view this website.
AB238958

Anti-TPPP antibody [EPR3316] - BSA and Azide free

Be the first to review this product! Submit a review

|

(1 Publication)

Rabbit Recombinant Monoclonal TPPP antibody. Carrier free. Suitable for IHC-P, WB, ICC/IF, Flow Cyt (Intra) and reacts with Human, Mouse, Rat samples. Cited in 1 publication.

View Alternative Names

TPPP1, TPPP, Tubulin polymerization-promoting protein, 25 kDa brain-specific protein, TPPP/p25, p24, p25-alpha

11 Images
Immunohistochemistry (Formalin/PFA-fixed paraffin-embedded sections) - Anti-TPPP antibody [EPR3316] - BSA and Azide free (AB238958)
  • IHC-P

Unknown

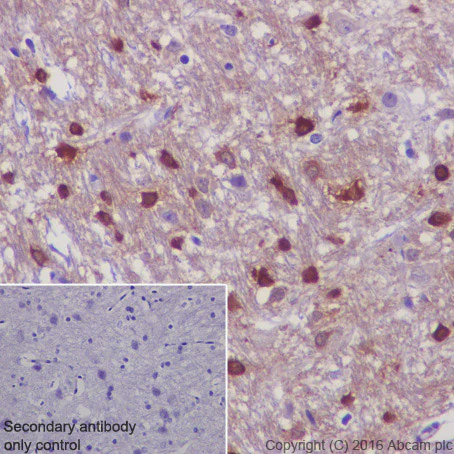
Immunohistochemistry (Formalin/PFA-fixed paraffin-embedded sections) - Anti-TPPP antibody [EPR3316] - BSA and Azide free (AB238958)

Immunohistochemical analysis of paraffin-embedded human glioma tissue sections labelling TPPP with purified ab92305 at dilution of 1/50. The secondary antibody used was ab97051; a goat anti-rabbit IgG H&L (HRP) at dilution of 1/500. The sample was counterstained with hematoxylin. Antigen retrieval was performed using EDTA Buffer; pH 9.0. PBS was used instead of the primary antibody as the negative control and is shown in the inset.

This data was developed using the same antibody clone in a different buffer formulation containing PBS, BSA, glycerol, and sodium azide (ab92305).

Immunohistochemistry (Formalin/PFA-fixed paraffin-embedded sections) - Anti-TPPP antibody [EPR3316] - BSA and Azide free (AB238958)
  • IHC-P

Supplier Data

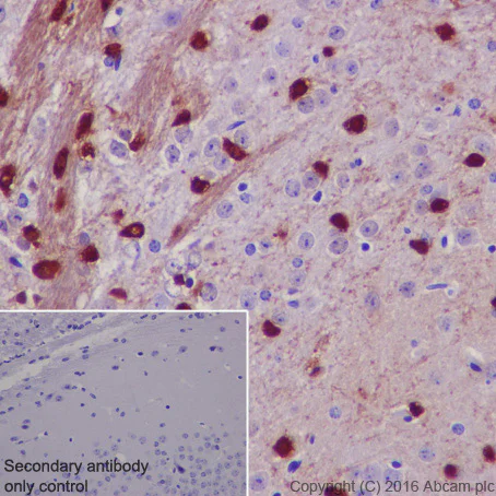
Immunohistochemistry (Formalin/PFA-fixed paraffin-embedded sections) - Anti-TPPP antibody [EPR3316] - BSA and Azide free (AB238958)

Immunohistochemical analysis of paraffin-embedded human cerebral cortex tissue sections labelling TPPP with purified ab92305 at dilution of 1/50. The secondary antibody used was ab97051; a goat anti-rabbit IgG H&L (HRP) at dilution of 1/500. The sample was counterstained with hematoxylin. Antigen retrieval was performed using EDTA Buffer; pH 9.0. PBS was used instead of the primary antibody as the negative control and is shown in the inset.

This data was developed using the same antibody clone in a different buffer formulation containing PBS, BSA, glycerol, and sodium azide (ab92305).

Immunocytochemistry/ Immunofluorescence - Anti-TPPP antibody [EPR3316] - BSA and Azide free (AB238958)
  • ICC/IF

Unknown

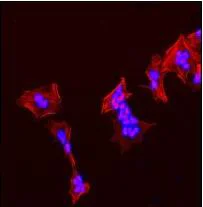
Immunocytochemistry/ Immunofluorescence - Anti-TPPP antibody [EPR3316] - BSA and Azide free (AB238958)

ab92305 at 1/100 dilution staining TPPP in SH-SY5Y cells, by immunofluorescence.

This data was developed using the same antibody clone in a different buffer formulation containing PBS, BSA, glycerol, and sodium azide (ab92305).

Immunohistochemistry (Formalin/PFA-fixed paraffin-embedded sections) - Anti-TPPP antibody [EPR3316] - BSA and Azide free (AB238958)
  • IHC-P

Unknown

Immunohistochemistry (Formalin/PFA-fixed paraffin-embedded sections) - Anti-TPPP antibody [EPR3316] - BSA and Azide free (AB238958)

ab92305 at 1/250 dilution staining TPPP in paraffin-embedded Human brain tissue by immunohistochemistry.

This data was developed using the same antibody clone in a different buffer formulation containing PBS, BSA, glycerol, and sodium azide (ab92305).

Perform heat mediated antigen retrieval via the pressure cooker method before commencing with IHC staining protocol.

Flow Cytometry (Intracellular) - Anti-TPPP antibody [EPR3316] - BSA and Azide free (AB238958)
  • Flow Cyt (Intra)

Unknown

Flow Cytometry (Intracellular) - Anti-TPPP antibody [EPR3316] - BSA and Azide free (AB238958)

Overlay histogram showing SH-SY5Y cells stained with ab92305 (red line). The cells were fixed with 4% paraformaldehyde (10 min) and then permeabilized with 0.1% PBS-Tween for 20 min. The cells were then incubated in 1x PBS / 10% normal goat serum / 0.3M glycine to block non-specific protein-protein interactions followed by the antibody (ab92305, 1/100 dilution) for 30 min at 22°C. The secondary antibody used was DyLight® 488 goat anti-rabbit IgG (H+L) (ab96899) at 1/500 dilution for 30 min at 22°C. Isotype control antibody (black line) was rabbit IgG (monoclonal) (0.1μg/1x106 cells) used under the same conditions. Unlabelled sample (blue line) was also used as a control. Acquisition of >5,000 events were collected using a 20mW Argon ion laser (488nm) and 525/30 bandpass filter. This data was developed using the same antibody clone in a different buffer formulation containing PBS, BSA, glycerol, and sodium azide (ab92305).

Immunohistochemistry (Formalin/PFA-fixed paraffin-embedded sections) - Anti-TPPP antibody [EPR3316] - BSA and Azide free (AB238958)
  • IHC-P

Unknown

Immunohistochemistry (Formalin/PFA-fixed paraffin-embedded sections) - Anti-TPPP antibody [EPR3316] - BSA and Azide free (AB238958)

Immunohistochemical analysis of paraffin-embedded rat cerebral cortex tissue sections labelling TPPP with purified ab92305 at dilution of 1/50. The secondary antibody used was ab97051; a goat anti-rabbit IgG H&L (HRP) at dilution of 1/500. The sample was counterstained with hematoxylin. Antigen retrieval was performed using EDTA Buffer; pH 9.0. PBS was used instead of the primary antibody as the negative control and is shown in the inset.

This data was developed using the same antibody clone in a different buffer formulation containing PBS, BSA, glycerol, and sodium azide (ab92305).

Immunohistochemistry (Formalin/PFA-fixed paraffin-embedded sections) - Anti-TPPP antibody [EPR3316] - BSA and Azide free (AB238958)
  • IHC-P

Unknown

Immunohistochemistry (Formalin/PFA-fixed paraffin-embedded sections) - Anti-TPPP antibody [EPR3316] - BSA and Azide free (AB238958)

Immunohistochemical analysis of paraffin-embedded mouse cerebral cortex tissue sections labelling TPPP with purified ab92305 at dilution of 1/50. The secondary antibody used was ab97051; a goat anti-rabbit IgG H&L (HRP) at dilution of 1/500. The sample was counterstained with hematoxylin. Antigen retrieval was performed using EDTA Buffer; pH 9.0. PBS was used instead of the primary antibody as the negative control and is shown in the inset.

This data was developed using the same antibody clone in a different buffer formulation containing PBS, BSA, glycerol, and sodium azide (ab92305).

Immunocytochemistry/ Immunofluorescence - Anti-TPPP antibody [EPR3316] - BSA and Azide free (AB238958)
  • ICC/IF

Unknown

Immunocytochemistry/ Immunofluorescence - Anti-TPPP antibody [EPR3316] - BSA and Azide free (AB238958)

Immunocytochemistry/Immunofluorescence staining of Neuro-2a (mouse neuroblastoma) cells labelling TPPP with purified ab92305 at a working dilution of 1/100. The secondary antibody was Alexa Fluor® 488 goat anti-rabbit (ab150077), used at a dilution of 1/1000. ab7291, a mouse anti-tubulin antibody (1/1000), was used to stain tubulin along with ab150120 (Alexa Fluor® 594 goat anti-mouse, 1/1000), shown in the top right hand panel. DAPI was used as nuclear counterstain. The cells were fixed in 4% Paraformaldehyde and permeabilized using 0.1% Triton X-100. The negative controls are shown in bottom middle and right hand panels - for negative control 1, rabbit primary antibody was used followed by an Alexa Fluor® 594 goat anti-mouse antibody (ab150120). For negative control 2, ab7291 (mouse anti-tubulin) was used followed by an Alexa Fluor® 488 goat anti-rabbit secondary (ab150077).

This data was developed using the same antibody clone in a different buffer formulation containing PBS, BSA, glycerol, and sodium azide (ab92305).

Flow Cytometry (Intracellular) - Anti-TPPP antibody [EPR3316] - BSA and Azide free (AB238958)
  • Flow Cyt (Intra)

Lab

Flow Cytometry (Intracellular) - Anti-TPPP antibody [EPR3316] - BSA and Azide free (AB238958)

Overlay histogram showing 4% paraformaldehyde fixed Neuro-2a (mouse neuroblastoma) cells labelling TPPP with purified ab92305 at dilution of 1/20. The secondary antibody used was Alexa Fluor® 488 goat-anti-rabbit IgG at dilution of 1/2000. A non-specific IgG antibody (rabbit monoclonal) was used as isotype control (black line). The blue line shows cells without incubation with primary antibody and secondary antibody.

This data was developed using the same antibody clone in a different buffer formulation containing PBS, BSA, glycerol, and sodium azide (ab92305).

Western blot - Anti-TPPP antibody [EPR3316] - BSA and Azide free (AB238958)
  • WB

Unknown

Western blot - Anti-TPPP antibody [EPR3316] - BSA and Azide free (AB238958)

This data was developed using the same antibody clone in a different buffer formulation containing PBS, BSA, glycerol, and sodium azide (ab92305).

Blocking/Diluting buffer 5% NFDM /TBST

All lanes:

Western blot - Anti-TPPP antibody [EPR3316] (<a href='/en-us/products/primary-antibodies/tppp-antibody-epr3316-ab92305'>ab92305</a>) at 1/10000 dilution

Lane 1:

Human cerebellum tissue lysate at 20 µg

Lane 2:

Mouse brain tissue lysate at 20 µg

Lane 3:

Mouse cerebral cortex tissue lysate at 20 µg

Lane 4:

Rat brain tissue lysate at 20 µg

Secondary

All lanes:

Anti-Rabbit IgG (HRP), specific to the non-reduced form of IgG at 1/2000 dilution

Predicted band size: 23 kDa

Observed band size: 25 kDa

false

Western blot - Anti-TPPP antibody [EPR3316] - BSA and Azide free (AB238958)
  • WB

Unknown

Western blot - Anti-TPPP antibody [EPR3316] - BSA and Azide free (AB238958)

This data was developed using the same antibody clone in a different buffer formulation containing PBS, BSA, glycerol, and sodium azide (ab92305).

All lanes:

Western blot - Anti-TPPP antibody [EPR3316] (<a href='/en-us/products/primary-antibodies/tppp-antibody-epr3316-ab92305'>ab92305</a>) at 1/1000 dilution

Lane 1:

Fetal brain lysate at 10 µg

Lane 2:

SHSY5Y cell lysate at 10 µg

Lane 3:

Mouse brain lysate at 10 µg

Lane 4:

Rat brain lysate at 10 µg

Secondary

All lanes:

HRP labelled goat anti-rabbit antibody at 1/2000 dilution

Predicted band size: 23 kDa

false

Key facts

Host species

Rabbit

Clonality

Monoclonal

Clone number

EPR3316

Isotype

IgG

Carrier free

Yes

Reacts with

Mouse, Rat, Human

Applications

IHC-P, Flow Cyt (Intra), WB, ICC/IF

applications

Immunogen

The exact immunogen used to generate this antibody is proprietary information.

Reactivity data

{ "title": "Reactivity Data", "filters": { "stats": ["", "Species", "Dilution Info", "Notes"], "tabs": { "all-applications": {"fullname" : "All Applications", "shortname": "All Applications"}, "IHCP" : {"fullname" : "Immunohistochemistry (Formalin/PFA-fixed paraffin-embedded sections)", "shortname":"IHC-P"}, "WB" : {"fullname" : "Western blot", "shortname":"WB"}, "ICCIF" : {"fullname" : "Immunocytochemistry/ Immunofluorescence", "shortname":"ICC/IF"}, "FlowCytIntra" : {"fullname" : "Flow Cytometry (Intracellular)", "shortname":"Flow Cyt (Intra)"} }, "product-promise": { "all": "all", "testedAndGuaranteed": "tested", "guaranteed": "expected", "predicted": "predicted", "notRecommended": "not-recommended" } }, "values": { "Human": { "IHCP-species-checked": "testedAndGuaranteed", "IHCP-species-dilution-info": "", "IHCP-species-notes": "<p></p>", "WB-species-checked": "guaranteed", "WB-species-dilution-info": "", "WB-species-notes": "<p></p>", "ICCIF-species-checked": "testedAndGuaranteed", "ICCIF-species-dilution-info": "", "ICCIF-species-notes": "<p></p>", "FlowCytIntra-species-checked": "guaranteed", "FlowCytIntra-species-dilution-info": "", "FlowCytIntra-species-notes": "" }, "Mouse": { "IHCP-species-checked": "guaranteed", "IHCP-species-dilution-info": "", "IHCP-species-notes": "", "WB-species-checked": "guaranteed", "WB-species-dilution-info": "", "WB-species-notes": "<p></p>", "ICCIF-species-checked": "guaranteed", "ICCIF-species-dilution-info": "", "ICCIF-species-notes": "", "FlowCytIntra-species-checked": "testedAndGuaranteed", "FlowCytIntra-species-dilution-info": "", "FlowCytIntra-species-notes": "<p></p>" }, "Rat": { "IHCP-species-checked": "predicted", "IHCP-species-dilution-info": "", "IHCP-species-notes": "", "WB-species-checked": "guaranteed", "WB-species-dilution-info": "", "WB-species-notes": "<p></p>", "ICCIF-species-checked": "predicted", "ICCIF-species-dilution-info": "", "ICCIF-species-notes": "", "FlowCytIntra-species-checked": "predicted", "FlowCytIntra-species-dilution-info": "", "FlowCytIntra-species-notes": "" } } }

Product details

ab238958 is the carrier-free version of ab92305.

Patented technology
Our RabMAb® technology is a patented hybridoma-based technology for making rabbit monoclonal antibodies. For details on our patents, please refer to RabMAb® patents.

What are the advantages of a recombinant monoclonal antibody?
This product is a recombinant monoclonal antibody, which offers several advantages including:

  • - High batch-to-batch consistency and reproducibility
  • - Improved sensitivity and specificity
  • - Long-term security of supply
  • - Animal-free batch production

For more information, read more on recombinant antibodies.

Conjugation ready
Our carrier-free antibodies are typically supplied in a PBS-only formulation, purified and free of BSA, sodium azide and glycerol. This conjugation-ready format is designed for use with fluorochromes, metal isotopes, oligonucleotides, and enzymes, which makes them ideal for antibody labelling, functional and cell-based assays, flow-based assays (e.g. mass cytometry) and Multiplex Imaging applications.

Use our conjugation kits for antibody conjugates that are ready-to-use in as little as 20 minutes with 1 minute hands-on-time and 100% antibody recovery: available for fluorescent dyes, HRP, biotin and gold.

Compatibility
This product is compatible with the Maxpar® Antibody Labeling Kit from Fluidigm, without the need for antibody preparation. Maxpar® is a trademark of Fluidigm Canada Inc.

Properties and storage information

Form
Liquid
Purification technique
Affinity purification Protein A
Storage buffer
pH: 7.2 - 7.4 Constituents: PBS
Shipped at conditions
Blue Ice
Appropriate short-term storage conditions
+4°C
Appropriate long-term storage conditions
+4°C
Storage information
Do Not Freeze

Supplementary information

This supplementary information is collated from multiple sources and compiled automatically.

TPPP also known as Tubulin Polymerization Promoting Protein or p25 is a small protein with an approximate mass of 25 kDa. TPPP is expressed mainly in the brain particularly abundant in oligodendrocytes. This protein plays an important role in regulating the polymerization of tubulin into microtubules. Through its binding to tubulin TPPP stabilizes microtubule structures facilitating proper microtubule assembly and maintenance. The modulation of these structures is essential for cellular operations like intracellular transport and cell division.
Biological function summary

The protein participates in the dynamics of cytoskeletal elements critical for maintaining cell shape and function. TPPP is part of cytoskeletal networks where it contributes to cellular integrity in neurons. TPPP's activity influences the formation and maintenance of myelin the insulating layer enveloping nerve fibers which is important for fast and efficient nerve impulse conduction. In its role TPPP interacts cooperatively with other cytoskeletal proteins enhancing microtubule resilience and cell structural stability.

Pathways

TPPP interacts in processes involving microtubule organization and stabilization. It is integral in the MAPK/ERK signaling pathway which is prominent in regulating cellular processes like proliferation and differentiation. Additionally TPPP may interplay with proteins such as MAP2 and Tau both involved in the MAP-kinase pathways regulating microtubule dynamics indicating a collaborative network in cellular signaling and structural reinforcement in neural cells.

TPPP has correlations with neurodegenerative diseases such as Parkinson's and Alzheimer's diseases. Abnormal regulation or aggregation of TPPP is linked to the formation of pathological protein inclusions found in these conditions. The interaction between TPPP and Alpha-synuclein is particularly notable as TPPP may regulate or enhance the aggregation of Alpha-synuclein contributing to the development of Lewy bodies in Parkinson's. Understanding these interactions and pathways is essential for developing therapeutic strategies targeting these neurodegenerative disorders.

Product protocols

For this product, it's our understanding that no specific protocols are required. You can visit:

Target data

Regulator of microtubule dynamics that plays a key role in myelination by promoting elongation of the myelin sheath (PubMed : 31522887). Acts as a microtubule nucleation factor in oligodendrocytes : specifically localizes to the postsynaptic Golgi apparatus region, also named Golgi outpost, and promotes microtubule nucleation, an important step for elongation of the myelin sheath (PubMed : 31522887, PubMed : 33831707). Required for both uniform polarized growth of distal microtubules as well as directing the branching of proximal processes (PubMed : 31522887). Shows magnesium-dependent GTPase activity; the role of the GTPase activity is unclear (PubMed : 21316364, PubMed : 21995432). In addition to microtubule nucleation activity, also involved in microtubule bundling and stabilization of existing microtubules, thereby maintaining the integrity of the microtubule network (PubMed : 17105200, PubMed : 17693641, PubMed : 18028908, PubMed : 26289831). Regulates microtubule dynamics by promoting tubulin acetylation : acts by inhibiting the tubulin deacetylase activity of HDAC6 (PubMed : 20308065, PubMed : 23093407). Also regulates cell migration : phosphorylation by ROCK1 inhibits interaction with HDAC6, resulting in decreased acetylation of tubulin and increased cell motility (PubMed : 23093407). Plays a role in cell proliferation by regulating the G1/S-phase transition (PubMed : 23355470). Involved in astral microtubule organization and mitotic spindle orientation during early stage of mitosis; this process is regulated by phosphorylation by LIMK2 (PubMed : 22328514).
See full target information TPPP

Publications (1)

Recent publications for all applications. Explore the full list and refine your search

Food science & nutrition 13:e70408 PubMed40491976

2025

Molecular Mechanisms Underlying Apple Extract Ameliorates Depression-Incident Cognitive Dysfunction Based on Network Pharmacology.

Applications

Unspecified application

Species

Unspecified reactive species

Yue Chen,Shunqiang Yang,Huihuang Shi,Jizhe Cui,Zhu Li
View all publications

Product promise

We are committed to supporting your work with high-quality reagents, and we're here for you every step of the way. In the unlikely event that one of our products does not perform as expected, you're protected by our Product Promise.
For full details, please see our Terms & Conditions

Please note: All products are 'FOR RESEARCH USE ONLY. NOT FOR USE IN DIAGNOSTIC OR THERAPEUTIC PROCEDURES'.

For licensing inquiries, please contact partnerships@abcam.com