JavaScript is disabled in your browser. Please enable JavaScript to view this website.
AB250148

Anti-TPTE antibody [EPR11867(2)] - BSA and Azide free

  • BOND RX™ Validated
  • RabMAb
  • Advanced Validation
  • Recombinant
  • What is this?

Be the first to review this product! Submit a review

|

(1 Publication)

Rabbit Recombinant Monoclonal TPTE antibody. Carrier free. Suitable for IHC-P, Flow Cyt (Intra), mIHC and reacts with Human samples. Cited in 1 publication.

View Alternative Names

Putative tyrosine-protein phosphatase TPTE, Cancer/testis antigen 44, Transmembrane phosphatase with tensin homology, Tumor antigen BJ-HCC-5, CT44, TPTE

4 Images
Flow Cytometry (Intracellular) - Anti-TPTE antibody [EPR11867(2)] - BSA and Azide free (AB250148)
  • Flow Cyt (Intra)

Supplier Data

Flow Cytometry (Intracellular) - Anti-TPTE antibody [EPR11867(2)] - BSA and Azide free (AB250148)

This data was developed using ab180137, the same antibody clone in a different buffer formulation.

Intracellular flow cytometric analysis of 2% paraformaldehyde fixed PC3 cells labeling TPTE with ab180137 at 1/10 dilution. Secondary antibody Goat anti rabbit IgG (FITC) at 1/75 dilution. Isotype control Rabbit IgG

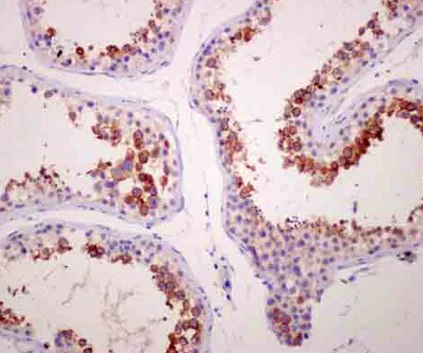
Immunohistochemistry (Formalin/PFA-fixed paraffin-embedded sections) - Anti-TPTE antibody [EPR11867(2)] - BSA and Azide free (AB250148)
  • IHC-P

Supplier Data

Immunohistochemistry (Formalin/PFA-fixed paraffin-embedded sections) - Anti-TPTE antibody [EPR11867(2)] - BSA and Azide free (AB250148)

This data was developed using ab180137, the same antibody clone in a different buffer formulation.

Immunohistochemical analysis of paraffin-embedded Human testis tissue labeling TPTE with ab180137 at 1/500 dilution. Secondary antibody Goat anti rabbit IgG(HRP) prediluted. Counter stain Hematoxylin.

Perform heat mediated antigen retrieval before commencing with IHC staining protocol.

Multiplex immunohistochemistry - Anti-TPTE antibody [EPR11867(2)] - BSA and Azide free (AB250148)
  • mIHC

Lab

Multiplex immunohistochemistry - Anti-TPTE antibody [EPR11867(2)] - BSA and Azide free (AB250148)

Fluorescence multiplex immunohistochemical analysis of formalin/PFA-fixed paraffin-embedded Human testis tissue. Panel A : Merged staining of anti-IGF2BP1/IMP1 (green; Opal™690), anti-TPTE (gray; Opal™520) and anti-SAGE1 (red; Opal™570) on human testis. Panel B : Anti-IGF2BP1/IMP1 stained on cytoplasm of spermatogonia. Panel C : Anti-TPTE stained on spermatocytes. Panel D : Anti-SAGE1 stained on nucleus of spermatogonia. The section was incubated in three rounds of staining : in the order of ab290736, ab250148, and ab233388 for 30 mins at room temperature. Each round was followed by a separate fluorescent tyramide signal amplification system.The immunostaining was performed on a Leica Biosystems BOND® RX instrument with an Opal™ 4-color kit. Image acquisition was performed with Leica SP8 confocal microscope. Heat mediated antigen retrieval with Tris-EDTA buffer (pH 9.0, epitope retrieval solution 2) for 20 mins. Counterstained with DAPI.

Multiplex immunohistochemistry - Anti-TPTE antibody [EPR11867(2)] - BSA and Azide free (AB250148)
  • mIHC

Lab

Multiplex immunohistochemistry - Anti-TPTE antibody [EPR11867(2)] - BSA and Azide free (AB250148)

Fluorescence multiplex immunohistochemical analysis of formalin/PFA-fixed paraffin-embedded Human testis tissue. Panel A : Merged staining of anti-AKAP4 (magenta; Opal™690), anti-TPTE (green; Opal™520) and anti-IGF2BP1/IMP1 (red; Opal™570) on human testis. Panel B : Anti-IGF2BP1/IMP1 stained on spermatogonia. Panel C : Anti-TPTE stained on spermatocytes. Panel D : Anti-AKAP4 stained on spermatids. The section was incubated in three rounds of staining : in the order of ab238887, ab250148, and ab290736 for 30 mins at room temperature. Each round was followed by a separate fluorescent tyramide signal amplification system. The immunostaining was performed on a Leica Biosystems BOND® RX instrument with an Opal™ 4-color kit. Image acquisition was performed with Leica SP8 confocal microscope. Heat mediated antigen retrieval with Tris-EDTA buffer (pH 9.0, epitope retrieval solution 2) for 20 mins. Counterstained with DAPI.

  • Unconjugated

    Anti-TPTE antibody [EPR11867(2)] - N-terminal

Key facts

Host species

Rabbit

Clonality

Monoclonal

Clone number

EPR11867(2)

Isotype

IgG

Carrier free

Yes

Reacts with

Human

Applications

IHC-P, mIHC, Flow Cyt (Intra)

applications

Immunogen

The exact immunogen used to generate this antibody is proprietary information.

Reactivity data

{ "title": "Reactivity Data", "filters": { "stats": ["", "Species", "Dilution Info", "Notes"], "tabs": { "all-applications": {"fullname" : "All Applications", "shortname": "All Applications"}, "IHCP" : {"fullname" : "Immunohistochemistry (Formalin/PFA-fixed paraffin-embedded sections)", "shortname":"IHC-P"}, "FlowCytIntra" : {"fullname" : "Flow Cytometry (Intracellular)", "shortname":"Flow Cyt (Intra)"}, "mIHC" : {"fullname" : "Multiplex immunohistochemistry", "shortname":"mIHC"} }, "product-promise": { "all": "all", "testedAndGuaranteed": "tested", "guaranteed": "expected", "predicted": "predicted", "notRecommended": "not-recommended" } }, "values": { "Human": { "IHCP-species-checked": "testedAndGuaranteed", "IHCP-species-dilution-info": "", "IHCP-species-notes": "<p></p>", "FlowCytIntra-species-checked": "testedAndGuaranteed", "FlowCytIntra-species-dilution-info": "", "FlowCytIntra-species-notes": "<p><a href='/en-us/products/primary-antibodies/rabbit-igg-monoclonal-epr25a-isotype-control-ab172730'>ab172730</a> - Rabbit monoclonal IgG, is suitable for use as an isotype control with this antibody.</p>", "mIHC-species-checked": "testedAndGuaranteed", "mIHC-species-dilution-info": "", "mIHC-species-notes": "<p></p>" } } }

Product details

ab250148 is the carrier-free version of ab180137.

Patented technology
Our RabMAb® technology is a patented hybridoma-based technology for making rabbit monoclonal antibodies. For details on our patents, please refer to RabMAb® patents.

What are the advantages of a recombinant monoclonal antibody?
This product is a recombinant monoclonal antibody, which offers several advantages including:

  • - High batch-to-batch consistency and reproducibility
  • - Improved sensitivity and specificity
  • - Long-term security of supply
  • - Animal-free batch production

For more information, read more on recombinant antibodies.

Conjugation ready
Our carrier-free antibodies are typically supplied in a PBS-only formulation, purified and free of BSA, sodium azide and glycerol. This conjugation-ready format is designed for use with fluorochromes, metal isotopes, oligonucleotides, and enzymes, which makes them ideal for antibody labelling, functional and cell-based assays, flow-based assays (e.g. mass cytometry) and Multiplex Imaging applications.

Use our conjugation kits for antibody conjugates that are ready-to-use in as little as 20 minutes with 1 minute hands-on-time and 100% antibody recovery: available for fluorescent dyes, HRP, biotin and gold.

Compatibility
This product is compatible with the Maxpar® Antibody Labeling Kit from Fluidigm, without the need for antibody preparation. Maxpar® is a trademark of Fluidigm Canada Inc.

Properties and storage information

Form
Liquid
Purification technique
Affinity purification Protein A
Storage buffer
pH: 7.2 - 7.4 Constituents: PBS
Shipped at conditions
Blue Ice
Appropriate short-term storage conditions
+4°C
Appropriate long-term storage conditions
+4°C
Storage information
Do Not Freeze

Supplementary information

This supplementary information is collated from multiple sources and compiled automatically.

TPTE (Transmembrane Phosphatidylinositol 3-phosphatase and Tensin homolog) functions as a phosphatase involved in dephosphorylation of phosphoinositides. The transmembrane protein is also referred as TPIP (TPTE and PTEN homologous Inositol lipid Phosphatase) and has a molecular mass around 65 kDa. It shows expression in the liver prostate and testis tissues. TPTE can modulate signaling cascades through hydrolyzing phosphoinositides affecting downstream intracellular pathways.
Biological function summary

TPTE proteins play roles in phosphoinositide signaling and influence cellular processes like proliferation and survival. It functions similarly to the PTEN phosphatase which is part of a larger signaling network controlling cellular functions. The presence of TPTE in certain tissues suggests it also contributes to tissue-specific roles possibly involving phosphoinositide metabolism.

Pathways

TPTE influences the Akt signaling pathway by modifying phosphoinositide levels. This pathway is essential in regulating cell growth and survival involving interaction with proteins such as PI3K. Also TPTE connects to apoptosis signaling through modulating lipid phosphatase activity affecting proteins like PIP3 that play a role in survival pathways.

Researchers studied TPTE's potential connection to prostate cancer and its similarities to PTEN might provide insight into its role in tumor suppression. Aberrant function or expression of TPTE may parallel issues with PTEN impacting phosphoinositide signaling and contributing to oncogenesis. Furthermore TPTE-related studies also suggest relevance in metabolic disorders due to its enzyme activity that could influence insulin signaling pathways.

Product protocols

For this product, it's our understanding that no specific protocols are required. You can visit:

Target data

Could be involved in signal transduction.
See full target information Putative tyrosine-protein phosphatase TPTE

Publications (1)

Recent publications for all applications. Explore the full list and refine your search

The Journal of biological chemistry 295:12868-12884 PubMed32580945

2020

Adipose mesenchymal stem cell-derived extracellular vesicles containing microRNA-26a-5p target TLR4 and protect against diabetic nephropathy.

Applications

Unspecified application

Species

Unspecified reactive species

Yurui Duan,Qingyang Luo,Yun Wang,Yali Ma,Fang Chen,Xiaoguang Zhu,Jun Shi
View all publications

Product promise

We are committed to supporting your work with high-quality reagents, and we're here for you every step of the way. In the unlikely event that one of our products does not perform as expected, you're protected by our Product Promise.
For full details, please see our Terms & Conditions

Please note: All products are 'FOR RESEARCH USE ONLY. NOT FOR USE IN DIAGNOSTIC OR THERAPEUTIC PROCEDURES'.

For licensing inquiries, please contact partnerships@abcam.com