JavaScript is disabled in your browser. Please enable JavaScript to view this website.
AB32795

Anti-TPX2 antibody [18D5-1]

3

(3 Reviews)

|

(29 Publications)

Mouse Monoclonal TPX2 antibody. Suitable for ICC, IHC-P and reacts with Mouse, Human samples. Cited in 29 publications.

View Alternative Names

C20orf1, C20orf2, DIL2, HCA519, TPX2, Targeting protein for Xklp2, Differentially expressed in cancerous and non-cancerous lung cells 2, Hepatocellular carcinoma-associated antigen 519, Hepatocellular carcinoma-associated antigen 90, Protein fls353, Restricted expression proliferation-associated protein 100, DIL-2, p100

6 Images
Immunocytochemistry - Anti-TPX2 antibody [18D5-1] (AB32795)
  • ICC

Collaborator

Immunocytochemistry - Anti-TPX2 antibody [18D5-1] (AB32795)

ab32795 staining TPX2 in HeLa cells and mouse NIH-3T3 cells (fuzzier pattern, different from the high-quality sharp signal seen in Human cells), by immunofluorescence.
optimal antibody dilution : 4μg/ml
optimal fixation protocol : PFA/Triton fixation : 10 min room at room temperature, in 3,7 % PFA diluted in PHEM buffer (45 mM Hepes pH 6,9, 45 mM Pipes pH 6,9, 5 mM MgCl2, 10 mM EGTA) containing 0.2% Triton X-100, followed by 3 washes in PBS - Alternative fixation protocol also gives good staining : 6 min in cold Methanol at -20°C, then 3 washes in PBS.
IF was performed following a standard protocol : Blocking, 30 min; primary antibody, 1 hr; secondary antibody, 45 min. All incubations were at 37 °C in PBS/ 0.1% Tween containing 3% BSA.

This image was kindly submitted by Serena Orlando, Giulia Guarguaglini and Patrizia Lavia, University 'La Sapienza' CNR, Italy.

Immunocytochemistry - Anti-TPX2 antibody [18D5-1] (AB32795)
  • ICC

Unknown

Immunocytochemistry - Anti-TPX2 antibody [18D5-1] (AB32795)

Immunofluorescent analysis of PLK1 using PLK1 Monoclonal antibody (13E8) ab32795 shows staining in WiDr colon carcinoma cells. PLK1 staining (green) F-Actin staining with Phalloidin (red) and nuclei with DAPI (blue) is shown. Cells were grown on chamber slides and fixed with formaldehyde prior to staining. Cells were probed without (control) or with or an antibody recognizing PLK1 ab32795 at a dilution of 1 : 20 over night at 4 ?C washed with PBS and incubated with a DyLight-488 conjugated secondary antibody. Images were taken at 60X magnification.

Immunocytochemistry - Anti-TPX2 antibody [18D5-1] (AB32795)
  • ICC

Unknown

Immunocytochemistry - Anti-TPX2 antibody [18D5-1] (AB32795)

Immunofluorescent analysis of PLK1 using PLK1 Monoclonal antibody (13E8) ab32795 shows staining in U251 glioma cells. PLK1 staining (green) F-Actin staining with Phalloidin (red) and nuclei with DAPI (blue) is shown. Cells were grown on chamber slides and fixed with formaldehyde prior to staining. Cells were probed without (control) or with or an antibody recognizing PLK1 ab32795 at a dilution of 1 : 20 over night at 4 ?C washed with PBS and incubated with a DyLight-488 conjugated secondary antibody. Images were taken at 60X magnification.

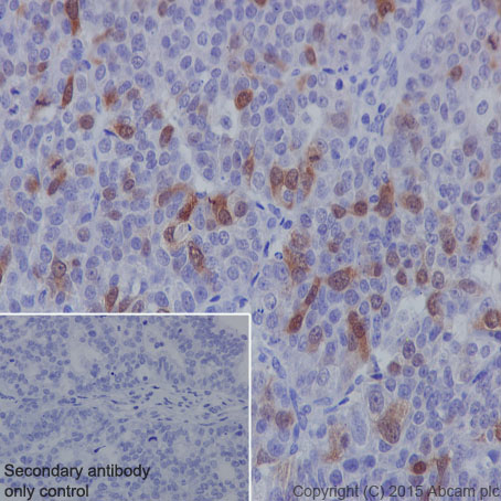
Immunohistochemistry (Formalin/PFA-fixed paraffin-embedded sections) - Anti-TPX2 antibody [18D5-1] (AB32795)
  • IHC-P

Unknown

Immunohistochemistry (Formalin/PFA-fixed paraffin-embedded sections) - Anti-TPX2 antibody [18D5-1] (AB32795)

Immunohistochemistry was performed on biopsies of deparaffinized Human testis tissue. To expose target proteins heat induced antigen retrieval was performed using 10mM sodium citrate (pH6.0) buffer microwaved for 8-15 minutes. Following antigen retrieval tissues were blocked in 3% BSA-PBS for 30 minutes at room temperature. Tissues were then probed at a dilution of 1 : 200 with a mouse monoclonal antibody recognizing TPX2 ab32795 or without primary antibody (negative control) overnight at 4°C in a humidified chamber. Tissues were washed extensively with PBST and endogenous peroxidase activity was quenched with a peroxidase suppressor. Detection was performed using a biotin-conjugated secondary antibody and SA-HRP followed by colorimetric detection using DAB. Tissues were counterstained with hematoxylin and prepped for mounting.

Immunohistochemistry (Formalin/PFA-fixed paraffin-embedded sections) - Anti-TPX2 antibody [18D5-1] (AB32795)
  • IHC-P

Unknown

Immunohistochemistry (Formalin/PFA-fixed paraffin-embedded sections) - Anti-TPX2 antibody [18D5-1] (AB32795)

ab32795 (1µg/ml) staining TPX2 in human testis using an automated system (DAKO Autostainer Plus). Using this protocol there is strong nuclear and cytoplasmic staining .
Sections were rehydrated and antigen retrieved with the Dako 3 in 1 AR buffer citrate pH6.1 in a DAKO PT link. Slides were peroxidase blocked in 3% H2O2 in methanol for 10 mins. They were then blocked with Dako Protein block for 10 minutes (containing casein 0.25% in PBS) then incubated with primary antibody for 20 min and detected with Dako envision flex amplification kit for 30 minutes. Colorimetric detection was completed with Diaminobenzidine for 5 minutes. Slides were counterstained with Haematoxylin and coverslipped under DePeX. Please note that, for manual staining, optimization of primary antibody concentration and incubation time is recommended. Signal amplification may be required.

Immunocytochemistry - Anti-TPX2 antibody [18D5-1] (AB32795)
  • ICC

Unknown

Immunocytochemistry - Anti-TPX2 antibody [18D5-1] (AB32795)

Immunofluorescent analysis of PLK1 using PLK1 Monoclonal antibody (13E8) ab32795 shows staining in HeLa cells. PLK1 staining (green) F-Actin staining with Phalloidin (red) and nuclei with DAPI (blue) is shown. Cells were grown on chamber slides and fixed with formaldehyde prior to staining. Cells were probed without (control) or with or an antibody recognizing PLK1 ab32795 at a dilution of 1 : 20 over night at 4 ?C washed with PBS and incubated with a DyLight-488 conjugated secondary antibody. Images were taken at 60X magnification.

Key facts

Host species

Mouse

Clonality

Monoclonal

Clone number

18D5-1

Isotype

IgG

Carrier free

No

Reacts with

Mouse, Human

Applications

IHC-P, ICC

applications

Immunogen

The exact immunogen used to generate this antibody is proprietary information.

Reactivity data

{ "title": "Reactivity Data", "filters": { "stats": ["", "Species", "Dilution Info", "Notes"], "tabs": { "all-applications": {"fullname" : "All Applications", "shortname": "All Applications"}, "ICC" : {"fullname" : "Immunocytochemistry", "shortname":"ICC"}, "IHCP" : {"fullname" : "Immunohistochemistry (Formalin/PFA-fixed paraffin-embedded sections)", "shortname":"IHC-P"} }, "product-promise": { "all": "all", "testedAndGuaranteed": "tested", "guaranteed": "expected", "predicted": "predicted", "notRecommended": "not-recommended" } }, "values": { "Human": { "ICC-species-checked": "testedAndGuaranteed", "ICC-species-dilution-info": "", "ICC-species-notes": "<p></p>", "IHCP-species-checked": "testedAndGuaranteed", "IHCP-species-dilution-info": "0.5-1 µg/mL", "IHCP-species-notes": "<p></p>" }, "Mouse": { "ICC-species-checked": "testedAndGuaranteed", "ICC-species-dilution-info": "", "ICC-species-notes": "<p></p>", "IHCP-species-checked": "guaranteed", "IHCP-species-dilution-info": "", "IHCP-species-notes": "" } } }

Properties and storage information

Form
Liquid
Purification technique
Affinity purification Protein G
Storage buffer
Preservative: 0.05% Sodium azide Constituents: PBS, 0.1% BSA
Shipped at conditions
Blue Ice
Appropriate short-term storage conditions
+4°C
Appropriate long-term storage conditions
-20°C
Aliquoting information
Upon delivery aliquot
Storage information
Avoid freeze / thaw cycle

Supplementary information

This supplementary information is collated from multiple sources and compiled automatically.

The Targeting Protein for Xklp2 (TPX2) also known as Microtubule-Associated Protein Required for Spindle acts mechanically in the assembly of mitotic spindles. With a molecular mass of approximately 82 kDa TPX2 localizes to the nucleus in interphase and distributes along the spindle microtubules during mitosis. Its expression is high in actively dividing cells such as those found in developing tissues and proliferative zones. This association with microtubules positions TPX2 as a critical player in cell division.
Biological function summary

TPX2 contributes to the proper regulation and progression of mitosis. As part of the mitotic spindle apparatus TPX2 interacts with other spindle assembly factors to facilitate the nucleation and stabilization of microtubules. It orchestrates the proper arrangement of spindle poles ensuring accurate chromosome segregation. TPX2 operates within a complex that includes proteins such as Aurora A kinase which further accentuates its role in spindle dynamics and mitotic progression.

Pathways

TPX2 interacts intricately with the cell cycle and mitotic spindle checkpoint pathways. As an important regulator in these pathways it works alongside proteins like Aurora A kinase and Eg5 to control spindle formation and function which are necessary for the G2/M phase transition. These pathways ensure that cell division proceeds only when all chromosomal alignments and spindle assemblies meet the required fidelity underlining the importance of TPX2 in maintaining genomic stability.

The overexpression of TPX2 often correlates with several types of cancer including breast and pancreatic cancers. Aberrant TPX2 levels disturb normal mitosis contributing to aneuploidy and tumor progression. Furthermore TPX2 overactivity can interact with oncogenic proteins such as MYC enhancing tumorigenic potential. Understanding TPX2's role in these diseases offers potential targets for therapeutic intervention making it an important subject of study in cancer research.

Product protocols

For this product, it's our understanding that no specific protocols are required. You can visit:

Target data

Spindle assembly factor required for normal assembly of mitotic spindles. Required for normal assembly of microtubules during apoptosis. Required for chromatin and/or kinetochore dependent microtubule nucleation. Mediates AURKA localization to spindle microtubules (PubMed : 18663142, PubMed : 19208764, PubMed : 37728657). Activates AURKA by promoting its autophosphorylation at 'Thr-288' and protects this residue against dephosphorylation (PubMed : 18663142, PubMed : 19208764). TPX2 is inactivated upon binding to importin-alpha (PubMed : 26165940). At the onset of mitosis, GOLGA2 interacts with importin-alpha, liberating TPX2 from importin-alpha, allowing TPX2 to activate AURKA kinase and stimulate local microtubule nucleation (PubMed : 26165940).
See full target information TPX2

Publications (29)

Recent publications for all applications. Explore the full list and refine your search

The Journal of cell biology 222: PubMed36897279

2023

PP6 regulation of Aurora A-TPX2 limits NDC80 phosphorylation and mitotic spindle size.

Applications

Unspecified application

Species

Unspecified reactive species

Tomoaki Sobajima,Katarzyna M Kowalczyk,Stefanos Skylakakis,Daniel Hayward,Luke J Fulcher,Colette Neary,Caleb Batley,Samvid Kurlekar,Emile Roberts,Ulrike Gruneberg,Francis A Barr

Journal of thoracic disease 14:4081-4095 PubMed36389338

2022

LncRNA KCNQ1OT1 enhances the radioresistance of lung squamous cell carcinoma by targeting the miR-491-5p/TPX2-RNF2 axis.

Applications

Unspecified application

Species

Unspecified reactive species

Jiahui Liu,Mi Jiang,Jinlei Guan,Yuan Wang,Wenjuan Yu,Yuanping Hu,Xin Zhang,Jie Yang

Cancer research 82:3088-3101 PubMed35771632

2022

CHD1 Promotes Sensitivity to Aurora Kinase Inhibitors by Suppressing Interaction of AURKA with Its Coactivator TPX2.

Applications

Unspecified application

Species

Unspecified reactive species

Haoyan Li,Yin Wang,Kevin Lin,Varadha Balaji Venkadakrishnan,Martin Bakht,Wei Shi,Chenling Meng,Jie Zhang,Kaitlyn Tremble,Xin Liang,Jian H Song,Xu Feng,Vivien Van,Pingna Deng,Jared K Burks,Ana Aparicio,Khandan Keyomarsi,Junjie Chen,Yue Lu,Himisha Beltran,Di Zhao

Oncology letters 23:136 PubMed35317024

2022

TPX2 is a prognostic marker and promotes cell proliferation in neuroblastoma.

Applications

Unspecified application

Species

Unspecified reactive species

Yuhki Koike,Chengzeng Yin,Yuki Sato,Yuka Nagano,Akira Yamamoto,Takahito Kitajima,Tadanobu Shimura,Mikio Kawamura,Kohei Matsushita,Yoshinaga Okugawa,Keishiro Amano,Kohei Otake,Yoshiki Okita,Masaki Ohi,Mikihiro Inoue,Keiichi Uchida,Masahiro Hirayama,Yuji Toiyama

eLife 9: PubMed32869743

2020

Ordered dephosphorylation initiated by the selective proteolysis of cyclin B drives mitotic exit.

Applications

Unspecified application

Species

Unspecified reactive species

James Holder,Shabaz Mohammed,Francis A Barr

American journal of translational research 12:1222-1238 PubMed32355537

2020

Identification of biomarkers for the transition from low-grade glioma to secondary glioblastoma by an integrated bioinformatic analysis.

Applications

Unspecified application

Species

Unspecified reactive species

Liang Zhao,Jiayue Zhang,Zhiyuan Liu,Peng Zhao

Cellular signalling 70:109596 PubMed32156642

2020

Up-regulation of microRNA-335-5p reduces inflammation via negative regulation of the TPX2-mediated AKT/GSK3β signaling pathway in a chronic rhinosinusitis mouse model.

Applications

Unspecified application

Species

Unspecified reactive species

Xiao Gu,Xiaocui Yao,Dengtao Liu

Cells 9: PubMed32041138

2020

Excess TPX2 Interferes with Microtubule Disassembly and Nuclei Reformation at Mitotic Exit.

Applications

Unspecified application

Species

Unspecified reactive species

Francesco D Naso,Valentina Sterbini,Elena Crecca,Italia A Asteriti,Alessandra D Russo,Maria Giubettini,Enrico Cundari,Catherine Lindon,Alessandro Rosa,Giulia Guarguaglini

Molecular therapy. Nucleic acids 20:186-195 PubMed32169806

2020

Tumor-Suppressive MicroRNA-216b Binds to TPX2, Activating the p53 Signaling in Human Cutaneous Squamous Cell Carcinoma.

Applications

Unspecified application

Species

Unspecified reactive species

Cheng Feng,Hai-Lin Zhang,Ang Zeng,Ming Bai,Xiao-Jun Wang

International journal of molecular medicine 44:2113-2122 PubMed31638175

2019

TPX2 silencing exerts anti‑tumor effects on hepatocellular carcinoma by regulating the PI3K/AKT signaling pathway.

Applications

Unspecified application

Species

Unspecified reactive species

Dan-Hong Huang,Jie Jian,Shuang Li,Yan Zhang,Li-Zhen Liu
View all publications

Product promise

We are committed to supporting your work with high-quality reagents, and we're here for you every step of the way. In the unlikely event that one of our products does not perform as expected, you're protected by our Product Promise.
For full details, please see our Terms & Conditions

Please note: All products are 'FOR RESEARCH USE ONLY. NOT FOR USE IN DIAGNOSTIC OR THERAPEUTIC PROCEDURES'.

For licensing inquiries, please contact partnerships@abcam.com