JavaScript is disabled in your browser. Please enable JavaScript to view this website.
AB252944

Anti-TPX2 antibody [EPR23182-47]

Be the first to review this product! Submit a review

|

(5 Publications)

Rabbit Recombinant Monoclonal TPX2 antibody. Suitable for WB, ICC/IF, Flow Cyt (Intra), IHC-P and reacts with Mouse, Rat, Human samples. Cited in 5 publications.

View Alternative Names

C20orf1, C20orf2, DIL2, HCA519, TPX2, Targeting protein for Xklp2, Differentially expressed in cancerous and non-cancerous lung cells 2, Hepatocellular carcinoma-associated antigen 519, Hepatocellular carcinoma-associated antigen 90, Protein fls353, Restricted expression proliferation-associated protein 100, DIL-2, p100

9 Images
Immunocytochemistry/ Immunofluorescence - Anti-TPX2 antibody [EPR23182-47] (AB252944)
  • ICC/IF

Unknown

Immunocytochemistry/ Immunofluorescence - Anti-TPX2 antibody [EPR23182-47] (AB252944)

Immunofluorescent analysis of 4% Paraformaldehyde-fixed, 0.1% Triton X-100 permeabilized HeLa cells labeling TPX2 with ab252944 at 1/50 dilution, followed by ab150077 Goat Anti-Rabbit IgG H&L (Alexa Fluor® 488) antibody at 1/1000 dilution (Green). Confocal image showing positive staining in HeLa cells. ab195889 Anti-alpha Tubulin antibody (Alexa Fluor® 594) was used to counterstain tubulin at 1/200 dilution (Red). The nuclear counterstain was DAPI (Blue).

Secondary antibody only control : Secondary antibody is ab150077 Goat Anti-Rabbit IgG H&L (Alexa Fluor® 488) at 1/1000 dilution.

Flow Cytometry (Intracellular) - Anti-TPX2 antibody [EPR23182-47] (AB252944)
  • Flow Cyt (Intra)

Unknown

Flow Cytometry (Intracellular) - Anti-TPX2 antibody [EPR23182-47] (AB252944)

Intracellular flow cytometric analysis of 80% methanol fixed 0.1% Tween-20 permeabilized HeLa (Human cervix adenocarcinoma epithelial cell) cells labeling TPX2 with ab252944 at 1/50 (Red) compared with a Rabbit monoclonal IgG (ab172730) (Black) isotype control and an unlabeled control (cells without incubation with primary antibody and secondary antibody) (Blue). A Goat anti rabbit IgG (Alexa Fluor® 488, ab150077) at 1/2000 dilution was used as the secondary antibody.

Immunohistochemistry (Formalin/PFA-fixed paraffin-embedded sections) - Anti-TPX2 antibody [EPR23182-47] (AB252944)
  • IHC-P

Unknown

Immunohistochemistry (Formalin/PFA-fixed paraffin-embedded sections) - Anti-TPX2 antibody [EPR23182-47] (AB252944)

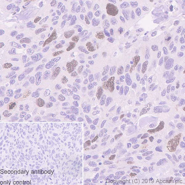
Immunohistochemical analysis of paraffin-embedded human lung cancer tissue labeling TPX2 with ab252944 at 1/1000 followed by a ready to use Goat Anti-Rabbit IgG H&L (HRP). Positive staining in proliferative cells of human lung cancer (PMID : 23634259, 16489064). Counterstained with hematoxylin.

Secondary antibody only control : Secondary antibody is a ready to use Goat Anti-Rabbit IgG H&L (HRP).

Heat mediated antigen retrieval using ab93684 (Tris/EDTA buffer, pH 9.0).

Immunohistochemistry (Formalin/PFA-fixed paraffin-embedded sections) - Anti-TPX2 antibody [EPR23182-47] (AB252944)
  • IHC-P

Unknown

Immunohistochemistry (Formalin/PFA-fixed paraffin-embedded sections) - Anti-TPX2 antibody [EPR23182-47] (AB252944)

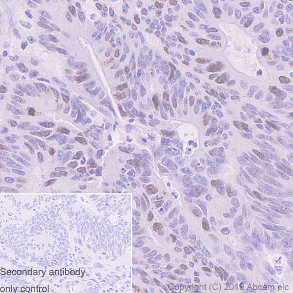
Immunohistochemical analysis of paraffin-embedded human colon cancer tissue labeling TPX2 with ab252944 at 1/1000 followed by a ready to use Goat Anti-Rabbit IgG H&L (HRP). Positive staining in proliferative cells of human colon cancer (PMID : 23634259, 22207630). Counterstained with hematoxylin.

Secondary antibody only control : Secondary antibody is a ready to use Goat Anti-Rabbit IgG H&L (HRP).

Heat mediated antigen retrieval using ab93684 (Tris/EDTA buffer, pH 9.0).

Immunocytochemistry/ Immunofluorescence - Anti-TPX2 antibody [EPR23182-47] (AB252944)
  • ICC/IF

Unknown

Immunocytochemistry/ Immunofluorescence - Anti-TPX2 antibody [EPR23182-47] (AB252944)

Immunofluorescent analysis of 4% Paraformaldehyde-fixed, 0.1% Triton X-100 permeabilized RAW 264.7 cells labeling TPX2 with ab252944 at 1/50 dilution, followed by ab150077 Goat Anti-Rabbit IgG H&L (Alexa Fluor® 488) antibody at 1/1000 dilution (Green). Confocal image showing positive staining in RAW 264.7 cells. ab195889 Anti-alpha Tubulin antibody (Alexa Fluor® 594) was used to counterstain tubulin at 1/200 dilution (Red). The nuclear counterstain was DAPI (Blue).

Secondary antibody only control : Secondary antibody is ab150077 Goat Anti-Rabbit IgG H&L (Alexa Fluor® 488) at 1/1000 dilution.

Immunohistochemistry (Formalin/PFA-fixed paraffin-embedded sections) - Anti-TPX2 antibody [EPR23182-47] (AB252944)
  • IHC-P

Unknown

Immunohistochemistry (Formalin/PFA-fixed paraffin-embedded sections) - Anti-TPX2 antibody [EPR23182-47] (AB252944)

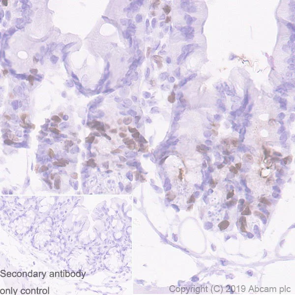
Immunohistochemical analysis of paraffin-embedded rat colon tissue labeling TPX2 with ab252944 at 1/1000 followed by a ready to use Goat Anti-Rabbit IgG H&L (HRP). Positive staining in proliferative cells of rat colon (PMID : 23634259). Counterstained with hematoxylin.

Secondary antibody only control : Secondary antibody is a ready to use Goat Anti-Rabbit IgG H&L (HRP).

Heat mediated antigen retrieval using ab93684 (Tris/EDTA buffer, pH 9.0).

Immunohistochemistry (Formalin/PFA-fixed paraffin-embedded sections) - Anti-TPX2 antibody [EPR23182-47] (AB252944)
  • IHC-P

Unknown

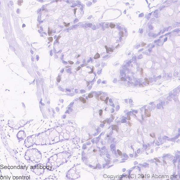
Immunohistochemistry (Formalin/PFA-fixed paraffin-embedded sections) - Anti-TPX2 antibody [EPR23182-47] (AB252944)

Immunohistochemical analysis of paraffin-embedded mouse colon tissue labeling TPX2 with ab252944 at 1/1000 followed by a ready to use Goat Anti-Rabbit IgG H&L (HRP). Positive staining in proliferative cells of mouse colon (PMID : 23634259). Counterstained with hematoxylin.

Secondary antibody only control : Secondary antibody is a ready to use Goat Anti-Rabbit IgG H&L (HRP).

Heat mediated antigen retrieval using ab93684 (Tris/EDTA buffer, pH 9.0).

Western blot - Anti-TPX2 antibody [EPR23182-47] (AB252944)
  • WB

Unknown

Western blot - Anti-TPX2 antibody [EPR23182-47] (AB252944)

Blocking and diluting buffer and concentration : 5% NFDM/TBST.

The molecular weight observed is consistent with what has been described in the literature (PMID : 25239289, 16489064).

Lysates should be made freshly and used in WB immediately to minimize protein degradation.

Exposure time : 3 secs.

All lanes:

Western blot - Anti-TPX2 antibody [EPR23182-47] (ab252944) at 1/1000 dilution

Lane 1:

HeLa (human cervix adenocarcinoma epithelial cell ), whole cell lysate at 20 µg

Lane 2:

HEK-293 (human embryonic kidney epithelial cell), whole cell lysate at 20 µg

Lane 3:

Raji (human Burkitt's lymphoma B lymphocyte), whole cell lysate at 20 µg

Secondary

All lanes:

Western blot - Goat Anti-Rabbit IgG H&L (HRP) (<a href='/en-us/products/secondary-antibodies/goat-rabbit-igg-h-l-hrp-ab97051'>ab97051</a>) at 1/50000 dilution

Predicted band size: 86 kDa

Observed band size: 100 kDa

false

Western blot - Anti-TPX2 antibody [EPR23182-47] (AB252944)
  • WB

Unknown

Western blot - Anti-TPX2 antibody [EPR23182-47] (AB252944)

Blocking and diluting buffer and concentration : 5% NFDM/TBST.

The molecular weight observed is consistent with what has been described in the literature (PMID : 25239289, 16489064).

The lower bands are mainly caused by degradation (PMID : 16287863).

Lysates should be made freshly and used in WB immediately to minimize protein degradation.

Exposure time : 26 secs.

All lanes:

Western blot - Anti-TPX2 antibody [EPR23182-47] (ab252944) at 1/1000 dilution

Lane 1:

RAW264.7 (mouse Abelson murine leukemia virus-induced tumor macrophage), whole cell lysate at 20 µg

Lane 2:

L6 (rat skeletal muscle myoblast), whole cell lysate at 20 µg

Secondary

All lanes:

Western blot - Goat Anti-Rabbit IgG H&L (HRP) (<a href='/en-us/products/secondary-antibodies/goat-rabbit-igg-h-l-hrp-ab97051'>ab97051</a>) at 1/50000 dilution

Predicted band size: 86 kDa

false

  • Carrier free

    Anti-TPX2 antibody [EPR23182-47] - BSA and Azide free

Key facts

Host species

Rabbit

Clonality

Monoclonal

Clone number

EPR23182-47

Isotype

IgG

Carrier free

No

Reacts with

Mouse, Rat, Human

Applications

WB, IHC-P, ICC/IF, Flow Cyt (Intra)

applications

Immunogen

The exact immunogen used to generate this antibody is proprietary information.

Reactivity data

{ "title": "Reactivity Data", "filters": { "stats": ["", "Species", "Dilution Info", "Notes"], "tabs": { "all-applications": {"fullname" : "All Applications", "shortname": "All Applications"}, "WB" : {"fullname" : "Western blot", "shortname":"WB"}, "ICCIF" : {"fullname" : "Immunocytochemistry/ Immunofluorescence", "shortname":"ICC/IF"}, "FlowCytIntra" : {"fullname" : "Flow Cytometry (Intracellular)", "shortname":"Flow Cyt (Intra)"}, "IHCP" : {"fullname" : "Immunohistochemistry (Formalin/PFA-fixed paraffin-embedded sections)", "shortname":"IHC-P"}, "IP" : {"fullname" : "Immunoprecipitation", "shortname":"IP"} }, "product-promise": { "all": "all", "testedAndGuaranteed": "tested", "guaranteed": "expected", "predicted": "predicted", "notRecommended": "not-recommended" } }, "values": { "Human": { "WB-species-checked": "testedAndGuaranteed", "WB-species-dilution-info": "1/1000", "WB-species-notes": "<p></p>", "ICCIF-species-checked": "testedAndGuaranteed", "ICCIF-species-dilution-info": "1/50", "ICCIF-species-notes": "<p></p>", "FlowCytIntra-species-checked": "testedAndGuaranteed", "FlowCytIntra-species-dilution-info": "1/50", "FlowCytIntra-species-notes": "<p></p>", "IHCP-species-checked": "testedAndGuaranteed", "IHCP-species-dilution-info": "1/1000", "IHCP-species-notes": "<p></p> Perform heat-mediated antigen retrieval with Tris/EDTA buffer pH 9.0 before commencing with IHC staining protocol.", "IP-species-checked": "notRecommended", "IP-species-dilution-info": "", "IP-species-notes": "<p></p>" }, "Mouse": { "WB-species-checked": "testedAndGuaranteed", "WB-species-dilution-info": "1/1000", "WB-species-notes": "<p></p>", "ICCIF-species-checked": "testedAndGuaranteed", "ICCIF-species-dilution-info": "1/50", "ICCIF-species-notes": "<p></p>", "FlowCytIntra-species-checked": "guaranteed", "FlowCytIntra-species-dilution-info": "", "FlowCytIntra-species-notes": "", "IHCP-species-checked": "testedAndGuaranteed", "IHCP-species-dilution-info": "1/1000", "IHCP-species-notes": "<p></p> Perform heat-mediated antigen retrieval with Tris/EDTA buffer pH 9.0 before commencing with IHC staining protocol.", "IP-species-checked": "notRecommended", "IP-species-dilution-info": "", "IP-species-notes": "" }, "Rat": { "WB-species-checked": "testedAndGuaranteed", "WB-species-dilution-info": "1/1000", "WB-species-notes": "<p></p>", "ICCIF-species-checked": "guaranteed", "ICCIF-species-dilution-info": "", "ICCIF-species-notes": "", "FlowCytIntra-species-checked": "guaranteed", "FlowCytIntra-species-dilution-info": "", "FlowCytIntra-species-notes": "", "IHCP-species-checked": "testedAndGuaranteed", "IHCP-species-dilution-info": "1/1000", "IHCP-species-notes": "<p></p> Perform heat-mediated antigen retrieval with Tris/EDTA buffer pH 9.0 before commencing with IHC staining protocol.", "IP-species-checked": "notRecommended", "IP-species-dilution-info": "", "IP-species-notes": "" } } }

Product details

Patented technology
Our RabMAb® technology is a patented hybridoma-based technology for making rabbit monoclonal antibodies. For details on our patents, please refer to RabMAb® patents.

What are the advantages of a recombinant monoclonal antibody?
This product is a recombinant monoclonal antibody, which offers several advantages including:

  • - High batch-to-batch consistency and reproducibility
  • - Improved sensitivity and specificity
  • - Long-term security of supply
  • - Animal-free batch production

For more information, read more on recombinant antibodies.

Properties and storage information

Form
Liquid
Purification technique
Affinity purification Protein A
Storage buffer
pH: 7.2 - 7.4 Preservative: 0.01% Sodium azide Constituents: PBS, 40% Glycerol (glycerin, glycerine), 0.05% BSA
Shipped at conditions
Blue Ice
Appropriate short-term storage duration
1-2 weeks
Appropriate short-term storage conditions
+4°C
Appropriate long-term storage conditions
-20°C
Aliquoting information
Upon delivery aliquot
Storage information
Avoid freeze / thaw cycle

Supplementary information

This supplementary information is collated from multiple sources and compiled automatically.

The Targeting Protein for Xklp2 (TPX2) also known as Microtubule-Associated Protein Required for Spindle acts mechanically in the assembly of mitotic spindles. With a molecular mass of approximately 82 kDa TPX2 localizes to the nucleus in interphase and distributes along the spindle microtubules during mitosis. Its expression is high in actively dividing cells such as those found in developing tissues and proliferative zones. This association with microtubules positions TPX2 as a critical player in cell division.
Biological function summary

TPX2 contributes to the proper regulation and progression of mitosis. As part of the mitotic spindle apparatus TPX2 interacts with other spindle assembly factors to facilitate the nucleation and stabilization of microtubules. It orchestrates the proper arrangement of spindle poles ensuring accurate chromosome segregation. TPX2 operates within a complex that includes proteins such as Aurora A kinase which further accentuates its role in spindle dynamics and mitotic progression.

Pathways

TPX2 interacts intricately with the cell cycle and mitotic spindle checkpoint pathways. As an important regulator in these pathways it works alongside proteins like Aurora A kinase and Eg5 to control spindle formation and function which are necessary for the G2/M phase transition. These pathways ensure that cell division proceeds only when all chromosomal alignments and spindle assemblies meet the required fidelity underlining the importance of TPX2 in maintaining genomic stability.

The overexpression of TPX2 often correlates with several types of cancer including breast and pancreatic cancers. Aberrant TPX2 levels disturb normal mitosis contributing to aneuploidy and tumor progression. Furthermore TPX2 overactivity can interact with oncogenic proteins such as MYC enhancing tumorigenic potential. Understanding TPX2's role in these diseases offers potential targets for therapeutic intervention making it an important subject of study in cancer research.

Product protocols

For this product, it's our understanding that no specific protocols are required. You can visit:

Target data

Spindle assembly factor required for normal assembly of mitotic spindles. Required for normal assembly of microtubules during apoptosis. Required for chromatin and/or kinetochore dependent microtubule nucleation. Mediates AURKA localization to spindle microtubules (PubMed : 18663142, PubMed : 19208764, PubMed : 37728657). Activates AURKA by promoting its autophosphorylation at 'Thr-288' and protects this residue against dephosphorylation (PubMed : 18663142, PubMed : 19208764). TPX2 is inactivated upon binding to importin-alpha (PubMed : 26165940). At the onset of mitosis, GOLGA2 interacts with importin-alpha, liberating TPX2 from importin-alpha, allowing TPX2 to activate AURKA kinase and stimulate local microtubule nucleation (PubMed : 26165940).
See full target information TPX2

Publications (5)

Recent publications for all applications. Explore the full list and refine your search

Discover oncology 16:1557 PubMed40813933

2025

UBE2C-mediated ubiquitination of ACSL4 inhibits ferroptosis and promotes gastric cancer progression.

Applications

Unspecified application

Species

Unspecified reactive species

Lei Yang,Miaomiao Zeng,Bo Li,Qiang Li,Yi Sun,Binsheng Wang,Xiang Cui,Zhiyun He,Chen Chai

PeerJ 12:e17032 PubMed38770093

2024

TPX2 upregulates MMP13 to promote the progression of lipopolysaccharide-induced osteoarthritis.

Applications

Unspecified application

Species

Unspecified reactive species

Jingtao Yu,Weiqi Wang,Zenghui Jiang,Huashun Liu

Nature communications 14:6532 PubMed37848452

2023

ALKBH5 controls the meiosis-coupled mRNA clearance in oocytes by removing the N -methyladenosine methylation.

Applications

Unspecified application

Species

Unspecified reactive species

Long Bai,Yu Xiang,Minyue Tang,Shuangying Liu,Qingqing Chen,Qichao Chen,Min Zhang,Shan Wan,Yimiao Sang,Qingfang Li,Sisi Wang,Zhekun Li,Yang Song,Xiaoling Hu,Luna Mao,Guofang Feng,Long Cui,Yinghui Ye,Yimin Zhu

Cell death & disease 13:324 PubMed35395834

2022

Suppression of histone deacetylase 1 by JSL-1 attenuates the progression and metastasis of cholangiocarcinoma via the TPX2/Snail axis.

Applications

Unspecified application

Species

Unspecified reactive species

Lu Xu,Weizhong Yang,Jinhui Che,Deqiang Li,Haihong Wang,Yunjiu Li,Wuyuan Zhou

Oncology reports 45: PubMed33907841

2021

RHPN1‑AS1 promotes ovarian carcinogenesis by sponging miR‑485‑5p and releasing TPX2 mRNA.

Applications

Unspecified application

Species

Unspecified reactive species

Shoubin Cui,Cui Li
View all publications

Product promise

We are committed to supporting your work with high-quality reagents, and we're here for you every step of the way. In the unlikely event that one of our products does not perform as expected, you're protected by our Product Promise.
For full details, please see our Terms & Conditions

Please note: All products are 'FOR RESEARCH USE ONLY. NOT FOR USE IN DIAGNOSTIC OR THERAPEUTIC PROCEDURES'.

For licensing inquiries, please contact partnerships@abcam.com