JavaScript is disabled in your browser. Please enable JavaScript to view this website.
AB270613

Anti-TPX2 antibody [EPR23182-47] - BSA and Azide free

Be the first to review this product! Submit a review

|

(0 Publication)

Rabbit Recombinant Monoclonal TPX2 antibody. Carrier free. Suitable for ICC/IF, IHC-P, WB, Flow Cyt (Intra) and reacts with Mouse, Rat, Human samples.

View Alternative Names

C20orf1, C20orf2, DIL2, HCA519, TPX2, Targeting protein for Xklp2, Differentially expressed in cancerous and non-cancerous lung cells 2, Hepatocellular carcinoma-associated antigen 519, Hepatocellular carcinoma-associated antigen 90, Protein fls353, Restricted expression proliferation-associated protein 100, DIL-2, p100

7 Images
Immunohistochemistry (Formalin/PFA-fixed paraffin-embedded sections) - Anti-TPX2 antibody [EPR23182-47] - BSA and Azide free (AB270613)
  • IHC-P

Unknown

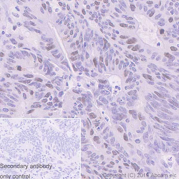
Immunohistochemistry (Formalin/PFA-fixed paraffin-embedded sections) - Anti-TPX2 antibody [EPR23182-47] - BSA and Azide free (AB270613)

Immunohistochemical analysis of paraffin-embedded human lung cancer tissue labeling TPX2 with ab252944 at 1/1000 followed by a ready to use Goat Anti-Rabbit IgG H&L (HRP). Positive staining in proliferative cells of human lung cancer (PMID : 23634259, 16489064). Counterstained with hematoxylin.

Secondary antibody only control : Secondary antibody is a ready to use Goat Anti-Rabbit IgG H&L (HRP).

Heat mediated antigen retrieval using ab93684 (Tris/EDTA buffer, pH 9.0).

This data was developed using the same antibody clone in a different buffer formulation containing PBS, BSA, glycerol, and sodium azide (ab252944).

Immunohistochemistry (Formalin/PFA-fixed paraffin-embedded sections) - Anti-TPX2 antibody [EPR23182-47] - BSA and Azide free (AB270613)
  • IHC-P

Unknown

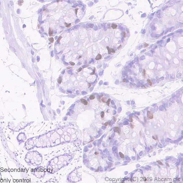
Immunohistochemistry (Formalin/PFA-fixed paraffin-embedded sections) - Anti-TPX2 antibody [EPR23182-47] - BSA and Azide free (AB270613)

Immunohistochemical analysis of paraffin-embedded human colon cancer tissue labeling TPX2 with ab252944 at 1/1000 followed by a ready to use Goat Anti-Rabbit IgG H&L (HRP). Positive staining in proliferative cells of human colon cancer (PMID : 23634259, 22207630). Counterstained with hematoxylin.

Secondary antibody only control : Secondary antibody is a ready to use Goat Anti-Rabbit IgG H&L (HRP).

Heat mediated antigen retrieval using ab93684 (Tris/EDTA buffer, pH 9.0).

This data was developed using the same antibody clone in a different buffer formulation containing PBS, BSA, glycerol, and sodium azide (ab252944).

Immunocytochemistry/ Immunofluorescence - Anti-TPX2 antibody [EPR23182-47] - BSA and Azide free (AB270613)
  • ICC/IF

Unknown

Immunocytochemistry/ Immunofluorescence - Anti-TPX2 antibody [EPR23182-47] - BSA and Azide free (AB270613)

Immunofluorescent analysis of 4% Paraformaldehyde-fixed, 0.1% Triton X-100 permeabilized HeLa cells labeling TPX2 with ab252944 at 1/50 dilution, followed by ab150077 Goat Anti-Rabbit IgG H&L (Alexa Fluor® 488) antibody at 1/1000 dilution (Green). Confocal image showing positive staining in HeLa cells. ab195889 Anti-alpha Tubulin antibody (Alexa Fluor® 594) was used to counterstain tubulin at 1/200 dilution (Red). The nuclear counterstain was DAPI (Blue).

Secondary antibody only control : Secondary antibody is ab150077 Goat Anti-Rabbit IgG H&L (Alexa Fluor® 488) at 1/1000 dilution.

This data was developed using the same antibody clone in a different buffer formulation containing PBS, BSA, glycerol, and sodium azide (ab252944).

Flow Cytometry (Intracellular) - Anti-TPX2 antibody [EPR23182-47] - BSA and Azide free (AB270613)
  • Flow Cyt (Intra)

Unknown

Flow Cytometry (Intracellular) - Anti-TPX2 antibody [EPR23182-47] - BSA and Azide free (AB270613)

Intracellular flow cytometric analysis of 80% methanol fixed 0.1% Tween-20 permeabilized HeLa (Human cervix adenocarcinoma epithelial cell) cells labeling TPX2 with ab252944 at 1/50 (Red) compared with a Rabbit monoclonal IgG (ab172730) (Black) isotype control and an unlabeled control (cells without incubation with primary antibody and secondary antibody) (Blue). A Goat anti rabbit IgG (Alexa Fluor® 488, ab150077) at 1/2000 dilution was used as the secondary antibody.

This data was developed using the same antibody clone in a different buffer formulation containing PBS, BSA, glycerol, and sodium azide (ab252944).

Immunohistochemistry (Formalin/PFA-fixed paraffin-embedded sections) - Anti-TPX2 antibody [EPR23182-47] - BSA and Azide free (AB270613)
  • IHC-P

Unknown

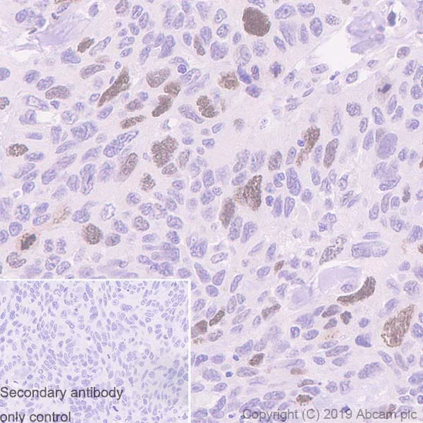
Immunohistochemistry (Formalin/PFA-fixed paraffin-embedded sections) - Anti-TPX2 antibody [EPR23182-47] - BSA and Azide free (AB270613)

Immunohistochemical analysis of paraffin-embedded rat colon tissue labeling TPX2 with ab252944 at 1/1000 followed by a ready to use Goat Anti-Rabbit IgG H&L (HRP). Positive staining in proliferative cells of rat colon (PMID : 23634259). Counterstained with hematoxylin.

Secondary antibody only control : Secondary antibody is a ready to use Goat Anti-Rabbit IgG H&L (HRP).

Heat mediated antigen retrieval using ab93684 (Tris/EDTA buffer, pH 9.0).

This data was developed using the same antibody clone in a different buffer formulation containing PBS, BSA, glycerol, and sodium azide (ab252944).

Immunocytochemistry/ Immunofluorescence - Anti-TPX2 antibody [EPR23182-47] - BSA and Azide free (AB270613)
  • ICC/IF

Unknown

Immunocytochemistry/ Immunofluorescence - Anti-TPX2 antibody [EPR23182-47] - BSA and Azide free (AB270613)

Immunofluorescent analysis of 4% Paraformaldehyde-fixed, 0.1% Triton X-100 permeabilized RAW 264.7 cells labeling TPX2 with ab252944 at 1/50 dilution, followed by ab150077 Goat Anti-Rabbit IgG H&L (Alexa Fluor® 488) antibody at 1/1000 dilution (Green). Confocal image showing positive staining in RAW 264.7 cells. ab195889 Anti-alpha Tubulin antibody (Alexa Fluor® 594) was used to counterstain tubulin at 1/200 dilution (Red). The nuclear counterstain was DAPI (Blue).

Secondary antibody only control : Secondary antibody is ab150077 Goat Anti-Rabbit IgG H&L (Alexa Fluor® 488) at 1/1000 dilution.

This data was developed using the same antibody clone in a different buffer formulation containing PBS, BSA, glycerol, and sodium azide (ab252944).

Immunohistochemistry (Formalin/PFA-fixed paraffin-embedded sections) - Anti-TPX2 antibody [EPR23182-47] - BSA and Azide free (AB270613)
  • IHC-P

Unknown

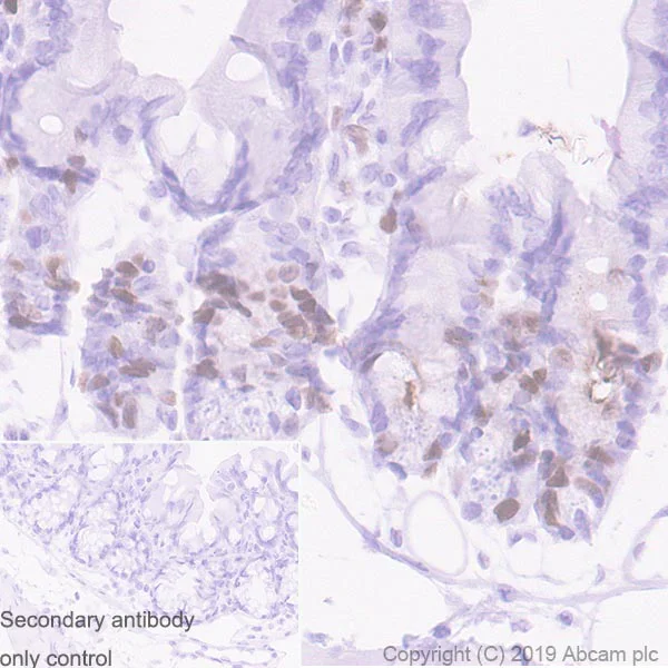
Immunohistochemistry (Formalin/PFA-fixed paraffin-embedded sections) - Anti-TPX2 antibody [EPR23182-47] - BSA and Azide free (AB270613)

Immunohistochemical analysis of paraffin-embedded mouse colon tissue labeling TPX2 with ab252944 at 1/1000 followed by a ready to use Goat Anti-Rabbit IgG H&L (HRP). Positive staining in proliferative cells of mouse colon (PMID : 23634259). Counterstained with hematoxylin.

Secondary antibody only control : Secondary antibody is a ready to use Goat Anti-Rabbit IgG H&L (HRP).

Heat mediated antigen retrieval using ab93684 (Tris/EDTA buffer, pH 9.0).

This data was developed using the same antibody clone in a different buffer formulation containing PBS, BSA, glycerol, and sodium azide (ab252944).

Key facts

Host species

Rabbit

Clonality

Monoclonal

Clone number

EPR23182-47

Isotype

IgG

Carrier free

Yes

Reacts with

Mouse, Rat, Human

Applications

Flow Cyt (Intra), IHC-P, WB, ICC/IF

applications

Immunogen

The exact immunogen used to generate this antibody is proprietary information.

Reactivity data

{ "title": "Reactivity Data", "filters": { "stats": ["", "Species", "Dilution Info", "Notes"], "tabs": { "all-applications": {"fullname" : "All Applications", "shortname": "All Applications"}, "ICCIF" : {"fullname" : "Immunocytochemistry/ Immunofluorescence", "shortname":"ICC/IF"}, "IHCP" : {"fullname" : "Immunohistochemistry (Formalin/PFA-fixed paraffin-embedded sections)", "shortname":"IHC-P"}, "WB" : {"fullname" : "Western blot", "shortname":"WB"}, "FlowCytIntra" : {"fullname" : "Flow Cytometry (Intracellular)", "shortname":"Flow Cyt (Intra)"}, "IP" : {"fullname" : "Immunoprecipitation", "shortname":"IP"} }, "product-promise": { "all": "all", "testedAndGuaranteed": "tested", "guaranteed": "expected", "predicted": "predicted", "notRecommended": "not-recommended" } }, "values": { "Human": { "ICCIF-species-checked": "guaranteed", "ICCIF-species-dilution-info": "", "ICCIF-species-notes": "<p></p>", "IHCP-species-checked": "testedAndGuaranteed", "IHCP-species-dilution-info": "", "IHCP-species-notes": "<p></p>", "WB-species-checked": "guaranteed", "WB-species-dilution-info": "", "WB-species-notes": "<p></p>", "FlowCytIntra-species-checked": "testedAndGuaranteed", "FlowCytIntra-species-dilution-info": "", "FlowCytIntra-species-notes": "<p></p>", "IP-species-checked": "notRecommended", "IP-species-dilution-info": "", "IP-species-notes": "<p></p>" }, "Mouse": { "ICCIF-species-checked": "testedAndGuaranteed", "ICCIF-species-dilution-info": "", "ICCIF-species-notes": "<p></p>", "IHCP-species-checked": "testedAndGuaranteed", "IHCP-species-dilution-info": "", "IHCP-species-notes": "<p></p>", "WB-species-checked": "guaranteed", "WB-species-dilution-info": "", "WB-species-notes": "<p></p>", "FlowCytIntra-species-checked": "guaranteed", "FlowCytIntra-species-dilution-info": "", "FlowCytIntra-species-notes": "", "IP-species-checked": "notRecommended", "IP-species-dilution-info": "", "IP-species-notes": "" }, "Rat": { "ICCIF-species-checked": "guaranteed", "ICCIF-species-dilution-info": "", "ICCIF-species-notes": "", "IHCP-species-checked": "testedAndGuaranteed", "IHCP-species-dilution-info": "", "IHCP-species-notes": "<p></p>", "WB-species-checked": "guaranteed", "WB-species-dilution-info": "", "WB-species-notes": "<p></p>", "FlowCytIntra-species-checked": "guaranteed", "FlowCytIntra-species-dilution-info": "", "FlowCytIntra-species-notes": "", "IP-species-checked": "notRecommended", "IP-species-dilution-info": "", "IP-species-notes": "" } } }

Product details

ab270613 is the carrier-free version of ab252944.

Patented technology
Our RabMAb® technology is a patented hybridoma-based technology for making rabbit monoclonal antibodies. For details on our patents, please refer to RabMAb® patents.

What are the advantages of a recombinant monoclonal antibody?
This product is a recombinant monoclonal antibody, which offers several advantages including:

  • - High batch-to-batch consistency and reproducibility
  • - Improved sensitivity and specificity
  • - Long-term security of supply
  • - Animal-free batch production

For more information, read more on recombinant antibodies.

Conjugation ready
Our carrier-free antibodies are typically supplied in a PBS-only formulation, purified and free of BSA, sodium azide and glycerol. This conjugation-ready format is designed for use with fluorochromes, metal isotopes, oligonucleotides, and enzymes, which makes them ideal for antibody labelling, functional and cell-based assays, flow-based assays (e.g. mass cytometry) and Multiplex Imaging applications.

Use our conjugation kits for antibody conjugates that are ready-to-use in as little as 20 minutes with 1 minute hands-on-time and 100% antibody recovery: available for fluorescent dyes, HRP, biotin and gold.

Compatibility
This product is compatible with the Maxpar® Antibody Labeling Kit from Fluidigm, without the need for antibody preparation. Maxpar® is a trademark of Fluidigm Canada Inc.

Properties and storage information

Form
Liquid
Purification technique
Affinity purification Protein A
Storage buffer
pH: 7.2 - 7.4 Constituents: PBS
Shipped at conditions
Blue Ice
Appropriate short-term storage conditions
+4°C
Appropriate long-term storage conditions
+4°C
Storage information
Do Not Freeze

Supplementary information

This supplementary information is collated from multiple sources and compiled automatically.

The Targeting Protein for Xklp2 (TPX2) also known as Microtubule-Associated Protein Required for Spindle acts mechanically in the assembly of mitotic spindles. With a molecular mass of approximately 82 kDa TPX2 localizes to the nucleus in interphase and distributes along the spindle microtubules during mitosis. Its expression is high in actively dividing cells such as those found in developing tissues and proliferative zones. This association with microtubules positions TPX2 as a critical player in cell division.
Biological function summary

TPX2 contributes to the proper regulation and progression of mitosis. As part of the mitotic spindle apparatus TPX2 interacts with other spindle assembly factors to facilitate the nucleation and stabilization of microtubules. It orchestrates the proper arrangement of spindle poles ensuring accurate chromosome segregation. TPX2 operates within a complex that includes proteins such as Aurora A kinase which further accentuates its role in spindle dynamics and mitotic progression.

Pathways

TPX2 interacts intricately with the cell cycle and mitotic spindle checkpoint pathways. As an important regulator in these pathways it works alongside proteins like Aurora A kinase and Eg5 to control spindle formation and function which are necessary for the G2/M phase transition. These pathways ensure that cell division proceeds only when all chromosomal alignments and spindle assemblies meet the required fidelity underlining the importance of TPX2 in maintaining genomic stability.

The overexpression of TPX2 often correlates with several types of cancer including breast and pancreatic cancers. Aberrant TPX2 levels disturb normal mitosis contributing to aneuploidy and tumor progression. Furthermore TPX2 overactivity can interact with oncogenic proteins such as MYC enhancing tumorigenic potential. Understanding TPX2's role in these diseases offers potential targets for therapeutic intervention making it an important subject of study in cancer research.

Product protocols

For this product, it's our understanding that no specific protocols are required. You can visit:

Target data

Spindle assembly factor required for normal assembly of mitotic spindles. Required for normal assembly of microtubules during apoptosis. Required for chromatin and/or kinetochore dependent microtubule nucleation. Mediates AURKA localization to spindle microtubules (PubMed : 18663142, PubMed : 19208764, PubMed : 37728657). Activates AURKA by promoting its autophosphorylation at 'Thr-288' and protects this residue against dephosphorylation (PubMed : 18663142, PubMed : 19208764). TPX2 is inactivated upon binding to importin-alpha (PubMed : 26165940). At the onset of mitosis, GOLGA2 interacts with importin-alpha, liberating TPX2 from importin-alpha, allowing TPX2 to activate AURKA kinase and stimulate local microtubule nucleation (PubMed : 26165940).
See full target information TPX2

Product promise

We are committed to supporting your work with high-quality reagents, and we're here for you every step of the way. In the unlikely event that one of our products does not perform as expected, you're protected by our Product Promise.
For full details, please see our Terms & Conditions

Please note: All products are 'FOR RESEARCH USE ONLY. NOT FOR USE IN DIAGNOSTIC OR THERAPEUTIC PROCEDURES'.

For licensing inquiries, please contact partnerships@abcam.com