JavaScript is disabled in your browser. Please enable JavaScript to view this website.
AB171082

Anti-TRA2B/SFRS10 antibody [EPR11831]

Be the first to review this product! Submit a review

|

(1 Publication)

Rabbit Recombinant Monoclonal TRA2B/SFRS10 antibody. Suitable for IHC-P, WB, ICC/IF and reacts with Human samples. Cited in 1 publication.

View Alternative Names

SFRS10, TRA2B, Transformer-2 protein homolog beta, TRA-2 beta, TRA2-beta, hTRA2-beta, Transformer-2 protein homolog B

4 Images
Immunocytochemistry/ Immunofluorescence - Anti-TRA2B/SFRS10 antibody [EPR11831] (AB171082)
  • ICC/IF

Supplier Data

Immunocytochemistry/ Immunofluorescence - Anti-TRA2B/SFRS10 antibody [EPR11831] (AB171082)

Immunofluorescent analysis of A431 cells labeling TRA2B/SFRS10 with ab171082 at 1/50 dilution.

Immunohistochemistry (Formalin/PFA-fixed paraffin-embedded sections) - Anti-TRA2B/SFRS10 antibody [EPR11831] (AB171082)
  • IHC-P

Supplier Data

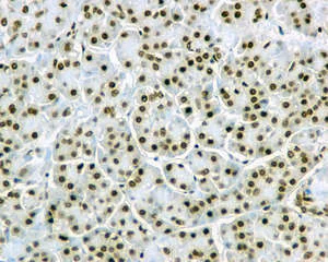
Immunohistochemistry (Formalin/PFA-fixed paraffin-embedded sections) - Anti-TRA2B/SFRS10 antibody [EPR11831] (AB171082)

Immunohistochemical analysis of paraffin-embedded Human pancreas tissue labeling TRA2B/SFRS10 with ab171082 at 1/100 dilution.

Perform heat mediated antigen retrieval with citrate buffer pH 6 before commencing with IHC staining protocol.

Immunohistochemistry (Formalin/PFA-fixed paraffin-embedded sections) - Anti-TRA2B/SFRS10 antibody [EPR11831] (AB171082)
  • IHC-P

Supplier Data

Immunohistochemistry (Formalin/PFA-fixed paraffin-embedded sections) - Anti-TRA2B/SFRS10 antibody [EPR11831] (AB171082)

Immunohistochemical analysis of paraffin-embedded Human heart tissue labeling TRA2B/SFRS10 with ab171082 at 1/100 dilution.

Perform heat mediated antigen retrieval with citrate buffer pH 6 before commencing with IHC staining protocol.

Western blot - Anti-TRA2B/SFRS10 antibody [EPR11831] (AB171082)
  • WB

Supplier Data

Western blot - Anti-TRA2B/SFRS10 antibody [EPR11831] (AB171082)

All lanes:

Western blot - Anti-TRA2B/SFRS10 antibody [EPR11831] (ab171082) at 1/1000 dilution

Lane 1:

Jurkat cell lysate at 10 µg

Lane 2:

A431 cell lysate at 10 µg

Lane 3:

HeLa cell lysate at 10 µg

Predicted band size: 33 kDa

false

Key facts

Host species

Rabbit

Clonality

Monoclonal

Clone number

EPR11831

Isotype

IgG

Carrier free

No

Reacts with

Human

Applications

IHC-P, WB, ICC/IF

applications

Immunogen

The exact immunogen used to generate this antibody is proprietary information.

Reactivity data

{ "title": "Reactivity Data", "filters": { "stats": ["", "Species", "Dilution Info", "Notes"], "tabs": { "all-applications": {"fullname" : "All Applications", "shortname": "All Applications"}, "IHCP" : {"fullname" : "Immunohistochemistry (Formalin/PFA-fixed paraffin-embedded sections)", "shortname":"IHC-P"}, "IP" : {"fullname" : "Immunoprecipitation", "shortname":"IP"}, "FlowCyt" : {"fullname" : "Flow Cytometry", "shortname":"Flow Cyt"}, "WB" : {"fullname" : "Western blot", "shortname":"WB"}, "ICCIF" : {"fullname" : "Immunocytochemistry/ Immunofluorescence", "shortname":"ICC/IF"} }, "product-promise": { "all": "all", "testedAndGuaranteed": "tested", "guaranteed": "expected", "predicted": "predicted", "notRecommended": "not-recommended" } }, "values": { "Human": { "IHCP-species-checked": "testedAndGuaranteed", "IHCP-species-dilution-info": "1/100 - 1/250", "IHCP-species-notes": "<p></p>", "IP-species-checked": "notRecommended", "IP-species-dilution-info": "", "IP-species-notes": "<p></p>", "FlowCyt-species-checked": "notRecommended", "FlowCyt-species-dilution-info": "", "FlowCyt-species-notes": "<p></p>", "WB-species-checked": "testedAndGuaranteed", "WB-species-dilution-info": "1/1000 - 1/5000", "WB-species-notes": "<p></p>", "ICCIF-species-checked": "testedAndGuaranteed", "ICCIF-species-dilution-info": "1/50 - 1/100", "ICCIF-species-notes": "<p></p>" }, "Mouse": { "IHCP-species-checked": "predicted", "IHCP-species-dilution-info": "", "IHCP-species-notes": "", "IP-species-checked": "notRecommended", "IP-species-dilution-info": "", "IP-species-notes": "", "FlowCyt-species-checked": "notRecommended", "FlowCyt-species-dilution-info": "", "FlowCyt-species-notes": "", "WB-species-checked": "predicted", "WB-species-dilution-info": "", "WB-species-notes": "", "ICCIF-species-checked": "predicted", "ICCIF-species-dilution-info": "", "ICCIF-species-notes": "" }, "Rat": { "IHCP-species-checked": "predicted", "IHCP-species-dilution-info": "", "IHCP-species-notes": "", "IP-species-checked": "notRecommended", "IP-species-dilution-info": "", "IP-species-notes": "", "FlowCyt-species-checked": "notRecommended", "FlowCyt-species-dilution-info": "", "FlowCyt-species-notes": "", "WB-species-checked": "predicted", "WB-species-dilution-info": "", "WB-species-notes": "", "ICCIF-species-checked": "predicted", "ICCIF-species-dilution-info": "", "ICCIF-species-notes": "" } } }

Product details

Patented technology
Our RabMAb® technology is a patented hybridoma-based technology for making rabbit monoclonal antibodies. For details on our patents, please refer to RabMAb® patents.

What are the advantages of a recombinant monoclonal antibody?
This product is a recombinant monoclonal antibody, which offers several advantages including:

  • - High batch-to-batch consistency and reproducibility
  • - Improved sensitivity and specificity
  • - Long-term security of supply
  • - Animal-free batch production

For more information, read more on recombinant antibodies.

Properties and storage information

Form
Liquid
Purification technique
Affinity purification Protein A
Storage buffer
pH: 7.2 - 7.4 Preservative: 0.01% Sodium azide Constituents: BSA, Glycerol (glycerin, glycerine)
Shipped at conditions
Blue Ice
Appropriate short-term storage duration
1-2 weeks
Appropriate short-term storage conditions
+4°C
Appropriate long-term storage conditions
-20°C
Aliquoting information
Upon delivery aliquot
Storage information
Avoid freeze / thaw cycle

Supplementary information

This supplementary information is collated from multiple sources and compiled automatically.

TRA2B also known as SFRS10 is an RNA-binding protein involved in pre-mRNA splicing. This protein is part of the serine/arginine-rich family of splicing factors and is approximately 35 kDa in mass. TRA2B is expressed in various tissues with prominent expression in the brain testes and embryonic tissues. It plays a mechanical role by influencing splice site selection during the process of RNA splicing affecting the diversity of transcripts produced.
Biological function summary

TRA2B is important in the regulation of alternative splicing a process that impacts gene expression by allowing multiple protein isoforms from the same gene. TRA2B interacts with other components of the spliceosome complex such as the SR family of proteins to modulate splicing. It ensures the correct assembly of the spliceosome on pre-mRNA contributing to the generation of variant mRNA transcripts which is key for cellular differentiation and adaptation.

Pathways

TRA2B plays a significant role in the alternative splicing pathway impacting the cellular transcriptome. It is particularly linked with the mRNA processing pathway interacting with proteins such as TRA2A and ASF/SF2. These interactions facilitate the splicing of specific mRNA precursors coordinating their processing and translation which can impact key cellular processes like cell cycle regulation and apoptosis.

TRA2B has been associated with cancer and neurodegenerative diseases. Abnormal splicing events involving TRA2B can lead to misregulation of genes critical for cell proliferation therefore contributing to oncogenesis. In neurodegenerative conditions TRA2B-related splicing alterations impact neuronal gene expression. For instance disruption in TRA2B activity may influence the expression of tau proteins linking it to Alzheimer's disease pathology.

Product protocols

For this product, it's our understanding that no specific protocols are required. You can visit:

Target data

Sequence-specific RNA-binding protein which participates in the control of pre-mRNA splicing. Can either activate or suppress exon inclusion. Acts additively with RBMX to promote exon 7 inclusion of the survival motor neuron SMN2. Activates the splicing of MAPT/Tau exon 10. Alters pre-mRNA splicing patterns by antagonizing the effects of splicing regulators, like RBMX. Binds to the AG-rich SE2 domain in the SMN exon 7 RNA. Binds to pre-mRNA.
See full target information TRA2B

Publications (1)

Recent publications for all applications. Explore the full list and refine your search

Frontiers in immunology 15:1457163 PubMed39575241

2024

The role of S100A8 and S100A9 in external auditory canal cholesteatoma.

Applications

Unspecified application

Species

Unspecified reactive species

Guanwen He,Weijing Han,Zhongshou Zhu,Rifu Wei,Chang Lin
View all publications

Product promise

We are committed to supporting your work with high-quality reagents, and we're here for you every step of the way. In the unlikely event that one of our products does not perform as expected, you're protected by our Product Promise.
For full details, please see our Terms & Conditions

Please note: All products are 'FOR RESEARCH USE ONLY. NOT FOR USE IN DIAGNOSTIC OR THERAPEUTIC PROCEDURES'.

For licensing inquiries, please contact partnerships@abcam.com