JavaScript is disabled in your browser. Please enable JavaScript to view this website.
AB319030

Anti-TRADD antibody [EPR27061-75] - BSA and Azide free

Be the first to review this product! Submit a review

|

(0 Publication)

Rabbit Recombinant Monoclonal TRADD antibody. Carrier free. Suitable for WB and reacts with Mouse samples.

View Alternative Names

Tumor necrosis factor receptor type 1-associated DEATH domain protein, TNFR1-associated DEATH domain protein, TNFRSF1A-associated via death domain

2 Images
Western blot - Anti-TRADD antibody [EPR27061-75] - BSA and Azide free (AB319030)
  • WB

Supplier Data

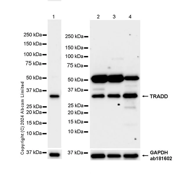
Western blot - Anti-TRADD antibody [EPR27061-75] - BSA and Azide free (AB319030)

This data was developed using ab319029, the same antibody clone in a different buffer formulation.

Blocking and diluting buffer and concentration : 5% NFDM/TBST.

The identity of the bands between 37 kDa and 50 kDa (in lanes 2-4) are unknown.

In Western blot, Anti-GAPDH antibody [EPR16891] - Loading Control (ab181602) staining at 1/200000 dilution.

All lanes:

Western blot - Anti-TRADD antibody [EPR27061-75] (<a href='/en-us/products/primary-antibodies/tradd-antibody-epr27061-75-ab319029'>ab319029</a>) at 1/1000 dilution

Lane 1:

Mouse kidney tissue lysate at 20 µg

Lane 2:

Mouse liver tissue lysate at 20 µg

Lane 3:

Mouse testis tissue lysate at 20 µg

Lane 4:

Mouse spleen tissue lysate at 20 µg

Secondary

All lanes:

Western blot - Goat Anti-Rabbit IgG H&L (HRP) (<a href='/en-us/products/secondary-antibodies/goat-rabbit-igg-h-l-hrp-ab97051'>ab97051</a>) at 1/20000 dilution

Observed band size: 35 kDa,36 kDa

false

Exposure time: 37s

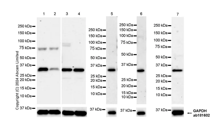
Western blot - Anti-TRADD antibody [EPR27061-75] - BSA and Azide free (AB319030)
  • WB

Supplier Data

Western blot - Anti-TRADD antibody [EPR27061-75] - BSA and Azide free (AB319030)

This data was developed using ab319029, the same antibody clone in a different buffer formulation.

Blocking and diluting buffer and concentration : 5% NFDM/TBST.

The identity of the higher MW bands at approximately 75 kDa (in lanes 1-2) and 90 kDa (in lane 3) are unknown.

In Western blot, Anti-GAPDH antibody [EPR16891] - Loading Control (ab181602) staining at 1/200000 dilution.

All lanes:

Western blot - Anti-TRADD antibody [EPR27061-75] (<a href='/en-us/products/primary-antibodies/tradd-antibody-epr27061-75-ab319029'>ab319029</a>) at 1/1000 dilution

Lane 1:

MEF (mouse embryo fibroblast) transfected with scrambled siRNA control whole cell lysate at 20 µg

Lane 2:

MEF transfected with siRNA specifically targeting TRADD whole cell lysate at 20 µg

Lane 3:

RAW 264.7 (mouse Abelson murine leukemia virus-induced tumor macrophage) whole cell lysate at 20 µg

Lane 4:

P815 (mouse mastocytoma mast Cell) whole cell lysate at 20 µg

Lane 5:

Neuro-2a (mouse neuroblastoma neuroblast) whole cell lysate at 20 µg

Lane 6:

4T1 (mouse mammary gland carcinoma epithelial cell) whole cell lysate at 20 µg

Lane 7:

C2C12 (mouse myoblast) whole cell lysate at 20 µg

Secondary

All lanes:

Western blot - Goat Anti-Rabbit IgG H&L (HRP) (<a href='/en-us/products/secondary-antibodies/goat-rabbit-igg-h-l-hrp-ab97051'>ab97051</a>) at 1/100000 dilution

Observed band size: 35 kDa,36 kDa

false

Exposure time: 180s

Key facts

Host species

Rabbit

Clonality

Monoclonal

Clone number

EPR27061-75

Isotype

IgG

Carrier free

Yes

Reacts with

Mouse

Applications

WB

applications

Immunogen

The exact immunogen used to generate this antibody is proprietary information.

Reactivity data

{ "title": "Reactivity Data", "filters": { "stats": ["", "Species", "Dilution Info", "Notes"], "tabs": { "all-applications": {"fullname" : "All Applications", "shortname": "All Applications"}, "WB" : {"fullname" : "Western blot", "shortname":"WB"}, "FlowCytIntra" : {"fullname" : "Flow Cytometry (Intracellular)", "shortname":"Flow Cyt (Intra)"}, "IHCP" : {"fullname" : "Immunohistochemistry (Formalin/PFA-fixed paraffin-embedded sections)", "shortname":"IHC-P"}, "ICCIF" : {"fullname" : "Immunocytochemistry/ Immunofluorescence", "shortname":"ICC/IF"} }, "product-promise": { "all": "all", "testedAndGuaranteed": "tested", "guaranteed": "expected", "predicted": "predicted", "notRecommended": "not-recommended" } }, "values": { "Mouse": { "WB-species-checked": "testedAndGuaranteed", "WB-species-dilution-info": "", "WB-species-notes": "<p></p>", "FlowCytIntra-species-checked": "notRecommended", "FlowCytIntra-species-dilution-info": "", "FlowCytIntra-species-notes": "<p></p>", "IHCP-species-checked": "notRecommended", "IHCP-species-dilution-info": "", "IHCP-species-notes": "<p></p>", "ICCIF-species-checked": "notRecommended", "ICCIF-species-dilution-info": "", "ICCIF-species-notes": "<p></p>" }, "Rat": { "WB-species-checked": "notRecommended", "WB-species-dilution-info": "", "WB-species-notes": "<p></p>", "FlowCytIntra-species-checked": "notRecommended", "FlowCytIntra-species-dilution-info": "", "FlowCytIntra-species-notes": "", "IHCP-species-checked": "notRecommended", "IHCP-species-dilution-info": "", "IHCP-species-notes": "<p></p>", "ICCIF-species-checked": "notRecommended", "ICCIF-species-dilution-info": "", "ICCIF-species-notes": "<p></p>" } } }

Product details

ab319030 is the carrier-free version of ab319029.

Patented technology
Our RabMAb® technology is a patented hybridoma-based technology for making rabbit monoclonal antibodies. For details on our patents, please refer to RabMAb® patents.

What are the advantages of a recombinant monoclonal antibody?
This product is a recombinant monoclonal antibody, which offers several advantages including:

  • - High batch-to-batch consistency and reproducibility
  • - Improved sensitivity and specificity
  • - Long-term security of supply
  • - Animal-free batch production

For more information, read more on recombinant antibodies.

Conjugation ready
Our carrier-free antibodies are typically supplied in a PBS-only formulation, purified and free of BSA, sodium azide and glycerol. This conjugation-ready format is designed for use with fluorochromes, metal isotopes, oligonucleotides, and enzymes, which makes them ideal for antibody labelling, functional and cell-based assays, flow-based assays (e.g. mass cytometry) and Multiplex Imaging applications.

Use our conjugation kits for antibody conjugates that are ready-to-use in as little as 20 minutes with 1 minute hands-on-time and 100% antibody recovery: available for fluorescent dyes, HRP, biotin and gold.

Compatibility
This product is compatible with the Maxpar® Antibody Labeling Kit from Fluidigm, without the need for antibody preparation. Maxpar® is a trademark of Fluidigm Canada Inc.

Properties and storage information

Form
Liquid
Purification technique
Affinity purification Protein A
Storage buffer
pH: 7.2 - 7.4 Constituents: PBS
Shipped at conditions
Blue Ice
Appropriate short-term storage conditions
+4°C
Appropriate long-term storage conditions
+4°C

Supplementary information

This supplementary information is collated from multiple sources and compiled automatically.

TRADD also known as TNFRSF1A-associated via death domain acts mechanically as an adaptor protein that interacts with tumor necrosis factor receptor 1 (TNFR1) and other signaling molecules. It has a mass of approximately 34 kDa. TRADD is expressed in various tissues including the spleen thymus and liver. It contributes to cellular responses by serving as an important component in TNF receptor signaling.
Biological function summary

The adaptor protein TRADD facilitates the transmission of death and survival signals from TNFR1. It forms part of a signaling complex that contributes to the activation of downstream pathways involved in apoptosis and inflammation. By interacting with other adaptor proteins like RIPK1 and FADD TRADD plays a role in assembling signaling complexes that govern cell fate decisions.

Pathways

TRADD is a pivotal player in both the TNF signaling and NF-kB pathways. In the TNF signaling pathway TRADD recruits RIPK1 and FADD leading to downstream activation of caspases and the apoptotic response. In the NF-kB pathway TRADD facilitates the activation of transcription factors that control genes involved in inflammatory responses. These interactions enable TRADD to mediate signals that influence cell survival proliferation and immune responses.

Dysfunction or overexpression of TRADD has connections to various conditions particularly cancer and autoimmune diseases. In cancer aberrant TNF signaling involving TRADD may promote survival and accumulation of malignant cells with overlapping involvement of NF-kB. Autoimmune diseases may arise when altered TRADD function affects inflammatory responses through interactions with TNFR1 and downstream NF-kB mediators. Understanding TRADD's role provides opportunities for therapeutic targeting in these health issues.

Product protocols

For this product, it's our understanding that no specific protocols are required. You can visit:

Target data

Adapter molecule for TNFRSF1A/TNFR1 that specifically associates with the cytoplasmic domain of activated TNFRSF1A/TNFR1 mediating its interaction with FADD (By similarity). Overexpression of TRADD leads to two major TNF-induced responses, apoptosis and activation of NF-kappa-B (By similarity). The nuclear form acts as a tumor suppressor by preventing ubiquitination and degradation of isoform p19ARF/ARF of CDKN2A by TRIP12 : acts by interacting with TRIP12, leading to disrupt interaction between TRIP12 and isoform p19ARF/ARF of CDKN2A (PubMed : 22561347).
See full target information Tradd

Product promise

We are committed to supporting your work with high-quality reagents, and we're here for you every step of the way. In the unlikely event that one of our products does not perform as expected, you're protected by our Product Promise.
For full details, please see our Terms & Conditions

Please note: All products are 'FOR RESEARCH USE ONLY. NOT FOR USE IN DIAGNOSTIC OR THERAPEUTIC PROCEDURES'.

For licensing inquiries, please contact partnerships@abcam.com