JavaScript is disabled in your browser. Please enable JavaScript to view this website.
AB110644

Anti-TRADD antibody [EPR3604]

Be the first to review this product! Submit a review

|

(11 Publications)

Rabbit Recombinant Monoclonal TRADD antibody. Suitable for IHC-P, WB, ICC/IF, Flow Cyt (Intra) and reacts with Human samples. Cited in 11 publications.

View Alternative Names

Tumor necrosis factor receptor type 1-associated DEATH domain protein, TNFR1-associated DEATH domain protein, TNFRSF1A-associated via death domain, TRADD

7 Images
Immunocytochemistry/ Immunofluorescence - Anti-TRADD antibody [EPR3604] (AB110644)
  • ICC/IF

Unknown

Immunocytochemistry/ Immunofluorescence - Anti-TRADD antibody [EPR3604] (AB110644)

Unpurified ab110644, at 1/100, staining TRADD in HeLa cells by Immunofluorescence.

Immunohistochemistry (Formalin/PFA-fixed paraffin-embedded sections) - Anti-TRADD antibody [EPR3604] (AB110644)
  • IHC-P

Unknown

Immunohistochemistry (Formalin/PFA-fixed paraffin-embedded sections) - Anti-TRADD antibody [EPR3604] (AB110644)

Immunohistochemistry (Formalin/PFA-fixed paraffin-embedded sections) analysis of human breast carcinoma tissue sections labeling TRADD with purified ab110644 at 1/850 dilution (0.7 µg/ml). Perform heat mediated antigen retrieval using ab93684 (Tris/EDTA buffer, pH 9.0). ImmunoHistoProbe one step HRP Polymer (ready to use) was used as the secondary antibody. Negative control : PBS instead of the primary antibody. Hematoxylin was used as a counterstain.

Flow Cytometry (Intracellular) - Anti-TRADD antibody [EPR3604] (AB110644)
  • Flow Cyt (Intra)

Unknown

Flow Cytometry (Intracellular) - Anti-TRADD antibody [EPR3604] (AB110644)

Intracellular Flow Cytometry analysis of HeLa (Human cervix adenocarcinoma epithelial cell) cells labeling TRADD with purified ab110644 at 1/600 dilution (1 μg/ml) (Red). Cells were fixed with 4% Paraformaldehyde and permeabilised with 90% Methanol. A Goat anti rabbit IgG (Alexa Fluor® 488, ab150077) secondary antibody was used at 1/2000. Isotype control - Rabbit monoclonal IgG (Black). Unlabeled control - Cell without incubation with primary antibody and secondary antibody (Blue).

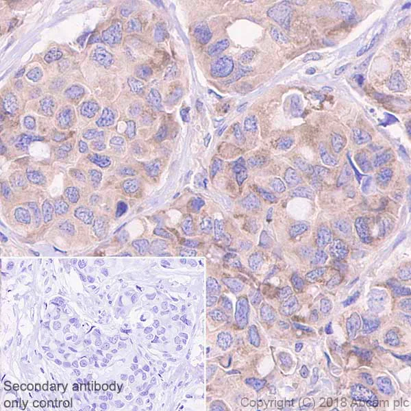
Immunohistochemistry (Formalin/PFA-fixed paraffin-embedded sections) - Anti-TRADD antibody [EPR3604] (AB110644)
  • IHC-P

Unknown

Immunohistochemistry (Formalin/PFA-fixed paraffin-embedded sections) - Anti-TRADD antibody [EPR3604] (AB110644)

Unpurified ab110644, at 1/100, staining TRADD in paraffin-embedded human breast carcinoma tissue by Immunohistochemistry.

Perform heat mediated antigen retrieval with citrate buffer pH 6 before commencing with IHC staining protocol.

Immunocytochemistry/ Immunofluorescence - Anti-TRADD antibody [EPR3604] (AB110644)
  • ICC/IF

Unknown

Immunocytochemistry/ Immunofluorescence - Anti-TRADD antibody [EPR3604] (AB110644)

Immunocytochemistry/ Immunofluorescence analysis of MCF7(Human breast adenocarcinoma epithelial cell) cells labeling TRADD with purified ab110644 at 1/100 dilution (6 µg/ml). Cells were fixed in 4% Paraformaldehyde and permeabilized with 0.1% tritonX-100. Cells were counterstained with ab195889 Anti-alpha Tubulin antibody [DM1A] - Microtubule Marker (Alexa Fluor® 594) 1/200 (2.5 µg/ml). Goat anti rabbit IgG (Alexa Fluor® 488, ab150077) was used as the secondary antibody at 1/1000 (2 µg/ml) dilution. DAPI (blue) was used as nuclear counterstain. PBS instead of the primary antibody was used as the secondary antibody only control.

Western blot - Anti-TRADD antibody [EPR3604] (AB110644)
  • WB

Unknown

Western blot - Anti-TRADD antibody [EPR3604] (AB110644)

All lanes:

Western blot - Anti-TRADD antibody [EPR3604] (ab110644) at 1/500 dilution

Lane 1:

Jurkat cell lysate

Lane 2:

MCF7 cell lysate

Lane 3:

HeLa cell lysate

Lane 4:

K562 cell lysate

Secondary

All lanes:

Goat anti-rabbit HRP conjugated antibody at 1/2000 dilution

Predicted band size: 34 kDa

Observed band size: 34 kDa

false

Western blot - Anti-TRADD antibody [EPR3604] (AB110644)
  • WB

Lab

Western blot - Anti-TRADD antibody [EPR3604] (AB110644)

All lanes:

Western blot - Anti-TRADD antibody [EPR3604] (ab110644) at 1/1000 dilution

Lane 1:

Jurkat (Human T cell leukemia T lymphocyte) whole cell lysates at 15 µg

Lane 2:

Human liver lysates at 15 µg

Lane 3:

Humanf fetal spleen lysates at 15 µg

Secondary

All lanes:

Western blot - Goat Anti-Rabbit IgG H&L (HRP) (<a href='/en-us/products/secondary-antibodies/goat-rabbit-igg-h-l-hrp-ab97051'>ab97051</a>) at 1/20000 dilution

Predicted band size: 34 kDa

Observed band size: 34 kDa

false

Key facts

Host species

Rabbit

Clonality

Monoclonal

Clone number

EPR3604

Isotype

IgG

Carrier free

No

Reacts with

Human

Applications

IHC-P, Flow Cyt (Intra), WB, ICC/IF

applications

Immunogen

The exact immunogen used to generate this antibody is proprietary information.

Reactivity data

{ "title": "Reactivity Data", "filters": { "stats": ["", "Species", "Dilution Info", "Notes"], "tabs": { "all-applications": {"fullname" : "All Applications", "shortname": "All Applications"}, "IHCP" : {"fullname" : "Immunohistochemistry (Formalin/PFA-fixed paraffin-embedded sections)", "shortname":"IHC-P"}, "WB" : {"fullname" : "Western blot", "shortname":"WB"}, "ICCIF" : {"fullname" : "Immunocytochemistry/ Immunofluorescence", "shortname":"ICC/IF"}, "FlowCytIntra" : {"fullname" : "Flow Cytometry (Intracellular)", "shortname":"Flow Cyt (Intra)"} }, "product-promise": { "all": "all", "testedAndGuaranteed": "tested", "guaranteed": "expected", "predicted": "predicted", "notRecommended": "not-recommended" } }, "values": { "Human": { "IHCP-species-checked": "testedAndGuaranteed", "IHCP-species-dilution-info": "1/100 - 1/200", "IHCP-species-notes": "<p>Perform antigen retrieval before commencing with IHC staining protocol.</p>", "WB-species-checked": "testedAndGuaranteed", "WB-species-dilution-info": "1/500 - 1/1000", "WB-species-notes": "<p>For Mouse this antibody is recommended for WB only.</p>", "ICCIF-species-checked": "testedAndGuaranteed", "ICCIF-species-dilution-info": "1/50 - 1/100", "ICCIF-species-notes": "<p></p>", "FlowCytIntra-species-checked": "testedAndGuaranteed", "FlowCytIntra-species-dilution-info": "1/30", "FlowCytIntra-species-notes": "<p>For unpurified use at 1/600</p>" } } }

Product details

Patented technology
Our RabMAb® technology is a patented hybridoma-based technology for making rabbit monoclonal antibodies. For details on our patents, please refer to RabMAb® patents.

What are the advantages of a recombinant monoclonal antibody?
This product is a recombinant monoclonal antibody, which offers several advantages including:

  • - High batch-to-batch consistency and reproducibility
  • - Improved sensitivity and specificity
  • - Long-term security of supply
  • - Animal-free batch production

For more information, read more on recombinant antibodies.

Properties and storage information

Form
Liquid
Purification technique
Affinity purification Protein A
Storage buffer
pH: 7.2 - 7.4 Preservative: 0.01% Sodium azide Constituents: PBS, 40% Glycerol (glycerin, glycerine), 0.05% BSA
Shipped at conditions
Blue Ice
Appropriate short-term storage conditions
+4°C
Appropriate long-term storage conditions
-20°C
Storage information
Stable for 12 months at -20°C

Supplementary information

This supplementary information is collated from multiple sources and compiled automatically.

TRADD also known as TNFRSF1A-associated via death domain acts mechanically as an adaptor protein that interacts with tumor necrosis factor receptor 1 (TNFR1) and other signaling molecules. It has a mass of approximately 34 kDa. TRADD is expressed in various tissues including the spleen thymus and liver. It contributes to cellular responses by serving as an important component in TNF receptor signaling.
Biological function summary

The adaptor protein TRADD facilitates the transmission of death and survival signals from TNFR1. It forms part of a signaling complex that contributes to the activation of downstream pathways involved in apoptosis and inflammation. By interacting with other adaptor proteins like RIPK1 and FADD TRADD plays a role in assembling signaling complexes that govern cell fate decisions.

Pathways

TRADD is a pivotal player in both the TNF signaling and NF-kB pathways. In the TNF signaling pathway TRADD recruits RIPK1 and FADD leading to downstream activation of caspases and the apoptotic response. In the NF-kB pathway TRADD facilitates the activation of transcription factors that control genes involved in inflammatory responses. These interactions enable TRADD to mediate signals that influence cell survival proliferation and immune responses.

Dysfunction or overexpression of TRADD has connections to various conditions particularly cancer and autoimmune diseases. In cancer aberrant TNF signaling involving TRADD may promote survival and accumulation of malignant cells with overlapping involvement of NF-kB. Autoimmune diseases may arise when altered TRADD function affects inflammatory responses through interactions with TNFR1 and downstream NF-kB mediators. Understanding TRADD's role provides opportunities for therapeutic targeting in these health issues.

Product protocols

For this product, it's our understanding that no specific protocols are required. You can visit:

Target data

Adapter molecule for TNFRSF1A/TNFR1 that specifically associates with the cytoplasmic domain of activated TNFRSF1A/TNFR1 mediating its interaction with FADD (PubMed : 23955153, PubMed : 7758105, PubMed : 8612133). Overexpression of TRADD leads to two major TNF-induced responses, apoptosis and activation of NF-kappa-B (PubMed : 7758105, PubMed : 8612133). The nuclear form acts as a tumor suppressor by preventing ubiquitination and degradation of isoform p19ARF/ARF of CDKN2A by TRIP12 : acts by interacting with TRIP12, leading to disrupt interaction between TRIP12 and isoform p19ARF/ARF of CDKN2A (By similarity).
See full target information TRADD

Publications (11)

Recent publications for all applications. Explore the full list and refine your search

Cellular and molecular life sciences : CMLS 81:39 PubMed38214751

2024

Overexpressing lipid raft protein STOML2 modulates the tumor microenvironment via NF-κB signaling in colorectal cancer.

Applications

Unspecified application

Species

Unspecified reactive species

Hui Gong,Shaojing Chen,Shuguang Liu,Qianying Hu,Yixuan Li,Yifan Li,Guiqiu Li,Kaimeng Huang,Riqing Li,Lishan Fang

Cell death discovery 9:109 PubMed37002200

2023

Inhibition of TRADD ameliorates chondrocyte necroptosis and osteoarthritis by blocking RIPK1-TAK1 pathway and restoring autophagy.

Applications

Unspecified application

Species

Unspecified reactive species

Kai Sun,Zhou Guo,Jinming Zhang,Liangcai Hou,Shuang Liang,Fan Lu,Genchun Wang,Jingting Xu,Xiong Zhang,Fengjing Guo,Wentao Zhu

Journal of orthopaedic translation 36:132-144 PubMed36185580

2022

Triptolide attenuates inhibition of ankylosing spondylitis-derived mesenchymal stem cells on the osteoclastogenesis through modulating exosomal transfer of circ-0110634.

Applications

Unspecified application

Species

Unspecified reactive species

Wei Ji,Yueyang Lu,Zhuoyi Ma,Ke Gan,Yan Liu,Yue Cheng,Junliang Xu,Shijia Liu,Yunke Guo,Shanhang Han,Zengyan Zhao,Hanmei Xu,Weiyan Qi

Experimental and therapeutic medicine 21:630 PubMed33936286

2021

miR-1184 regulates inflammatory responses and cell apoptosis by targeting TRADD in an LPS-induced cell model of sepsis.

Applications

Unspecified application

Species

Unspecified reactive species

Ping Ling,Rong Tang,Huazhu Wang,Xiuqin Deng,Jianli Chen

Annals of translational medicine 9:148 PubMed33569450

2021

Tumor necrosis factor receptor type 1-associated death domain (TRADD) regulates epithelial-mesenchymal transition (EMT), M1/M2 macrophage polarization and ectopic endometrial cysts formation in endometriosis.

Applications

Unspecified application

Species

Unspecified reactive species

Chang Lu,Yong Liu,Xiaodan Wang,Haili Jiang,Zhaohui Liu

Protein & cell 12:858-876 PubMed33389663

2021

RIP1-dependent linear and nonlinear recruitments of caspase-8 and RIP3 respectively to necrosome specify distinct cell death outcomes.

Applications

Unspecified application

Species

Unspecified reactive species

Xiang Li,Chuan-Qi Zhong,Rui Wu,Xiaozheng Xu,Zhang-Hua Yang,Shaowei Cai,Xiurong Wu,Xin Chen,Zhiyong Yin,Qingzu He,Dianjie Li,Fei Xu,Yihua Yan,Hong Qi,Changchuan Xie,Jianwei Shuai,Jiahuai Han

EMBO reports 22:e50163 PubMed33369872

2020

USP22 controls necroptosis by regulating receptor-interacting protein kinase 3 ubiquitination.

Applications

Unspecified application

Species

Unspecified reactive species

Jens Roedig,Lisa Kowald,Thomas Juretschke,Rebekka Karlowitz,Behnaz Ahangarian Abhari,Heiko Roedig,Simone Fulda,Petra Beli,Sjoerd Jl van Wijk

Oxidative medicine and cellular longevity 2020:1359164 PubMed32411316

2020

Copper Induces Oxidative Stress and Apoptosis in the Mouse Liver.

Applications

Unspecified application

Species

Unspecified reactive species

Huan Liu,Hongrui Guo,Zhijie Jian,Hengmin Cui,Jing Fang,Zhicai Zuo,Junliang Deng,Yinglun Li,Xun Wang,Ling Zhao

Mediators of inflammation 2019:2945083 PubMed31885495

2019

Tumor Necrosis Factor (TNF) Receptor Expression Determines Keratinocyte Fate upon Stimulation with TNF-Like Weak Inducer of Apoptosis.

Applications

Unspecified application

Species

Unspecified reactive species

Xuening Wang,Dan Cheng,Guanglei Hu,Lili Liang,Fei Tan,Tong Xiao,Shengxiang Xiao,Yumin Xia

World journal of gastroenterology 25:2071-2085 PubMed31114134

2019

Herbs-partitioned moxibustion alleviates aberrant intestinal epithelial cell apoptosis by upregulating A20 expression in a mouse model of Crohn's disease.

Applications

Unspecified application

Species

Unspecified reactive species

Jing Zhou,Lu-Yi Wu,Liu Chen,Ya-Jing Guo,Yi Sun,Tao Li,Ji-Meng Zhao,Chun-Hui Bao,Huan-Gan Wu,Yin Shi
View all publications

Product promise

We are committed to supporting your work with high-quality reagents, and we're here for you every step of the way. In the unlikely event that one of our products does not perform as expected, you're protected by our Product Promise.
For full details, please see our Terms & Conditions

Please note: All products are 'FOR RESEARCH USE ONLY. NOT FOR USE IN DIAGNOSTIC OR THERAPEUTIC PROCEDURES'.

For licensing inquiries, please contact partnerships@abcam.com