JavaScript is disabled in your browser. Please enable JavaScript to view this website.
AB252875

Anti-TRAF1 antibody [1F3]

Be the first to review this product! Submit a review

|

(2 Publications)

Rat Recombinant Monoclonal TRAF1 antibody. Suitable for WB and reacts with Human samples. Cited in 2 publications.

View Alternative Names

EBI6, TRAF1, TNF receptor-associated factor 1, Epstein-Barr virus-induced protein 6

1 Images
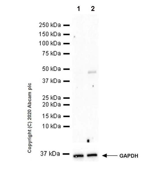
Western blot - Anti-TRAF1 antibody [1F3] (AB252875)
  • WB

Lab

Western blot - Anti-TRAF1 antibody [1F3] (AB252875)

Blocking/Dilution buffer : 5% NFDM/TBST.

All lanes:

Western blot - Anti-TRAF1 antibody [1F3] (ab252875) at 1/1000 dilution

Lane 1:

THP-1 (human monocytic leukemia monocyte), whole cell lysate at 20 µg

Lane 2:

THP-1 treated with 5ng/ml TNF-alpha for 6h, whole cell lysate at 20 µg

Secondary

All lanes:

Western blot - Goat Anti-Rat IgG H&L (HRP) (<a href='/en-us/products/secondary-antibodies/goat-rat-igg-h-l-hrp-ab205720'>ab205720</a>) at 1/5000 dilution

Predicted band size: 46 kDa

Observed band size: 50 kDa

false

Exposure time: 3min

  • Carrier free

    Anti-TRAF1 antibody [1F3] - BSA and Azide free

Key facts

Host species

Rat

Clonality

Monoclonal

Clone number

1F3

Isotype

IgG2a

Light chain type

kappa

Carrier free

No

Reacts with

Human

Applications

WB

applications

Immunogen

The exact immunogen used to generate this antibody is proprietary information.

Reactivity data

{ "title": "Reactivity Data", "filters": { "stats": ["", "Species", "Dilution Info", "Notes"], "tabs": { "all-applications": {"fullname" : "All Applications", "shortname": "All Applications"}, "WB" : {"fullname" : "Western blot", "shortname":"WB"} }, "product-promise": { "all": "all", "testedAndGuaranteed": "tested", "guaranteed": "expected", "predicted": "predicted", "notRecommended": "not-recommended" } }, "values": { "Human": { "WB-species-checked": "testedAndGuaranteed", "WB-species-dilution-info": "1/1000", "WB-species-notes": "<p></p>" }, "Mouse": { "WB-species-checked": "notRecommended", "WB-species-dilution-info": "1/1000", "WB-species-notes": "<p></p>" }, "Rat": { "WB-species-checked": "notRecommended", "WB-species-dilution-info": "1/1000", "WB-species-notes": "<p></p>" } } }

Product details

What are the advantages of a recombinant monoclonal antibody?
This product is a recombinant monoclonal antibody, which offers several advantages including:

  • - High batch-to-batch consistency and reproducibility
  • - Improved sensitivity and specificity
  • - Long-term security of supply
  • - Animal-free batch production

For more information, read more on recombinant antibodies.

Want a custom formulation?
This antibody clone is manufactured by Abcam. If you require a custom buffer formulation or conjugation for your experiments, please contact orders@abcam.com

Properties and storage information

Form
Liquid
Purification technique
Ion exchange chromatography
Storage buffer
pH: 7.2 - 7.4 Preservative: 0.01% Sodium azide Constituents: PBS, 40% Glycerol (glycerin, glycerine), 0.05% BSA
Shipped at conditions
Blue Ice
Appropriate short-term storage duration
1-2 weeks
Appropriate short-term storage conditions
+4°C
Appropriate long-term storage conditions
-20°C
Aliquoting information
Upon delivery aliquot
Storage information
Avoid freeze / thaw cycle

Supplementary information

This supplementary information is collated from multiple sources and compiled automatically.

TRAF1 or TNF Receptor Associated Factor 1 is a protein involved in signal transduction from various receptors including TNFR2 (tumor necrosis factor receptor 2). TRAF1 has a molecular mass of approximately 50 kDa. This protein is found mostly in the cytoplasm and functions as an adapter molecule. It helps to mediate signal transduction by interacting with receptor-associated signaling complexes. It does not have an intrinsic catalytic domain. TRAF1 expression is most prevalent in immune cells such as lymphocytes.
Biological function summary

TRAF1 plays a role in immune response regulation functioning as part of a larger TRAF protein complex that includes TRAF2 and TRAF3. This complex is significant for propagating signaling cascades important for immune system development and homeostasis. TRAF1 impacts the transcriptional activity that modulates inflammatory responses. It achieves this by interacting with other proteins to transmit signals from the cell surface to the nucleus subsequently affecting gene expression.

Pathways

TRAF1 is involved in the NF-κB and JNK signaling pathways which are important for immune cell activation and apoptosis regulation. In the NF-κB pathway TRAF1 works closely with TRAF2 facilitating the recruitment and activation of IKK (IκB kinase) which leads to the release and nuclear translocation of NF-κB. In the JNK pathway TRAF1 indirectly influences MAP kinase signaling cascades affecting cytokine production and cell death. These roles in signal transduction highlight TRAF1's function in maintaining immune cell function and integrity.

TRAF1 has connections to autoimmune diseases such as rheumatoid arthritis and certain cancers. In rheumatoid arthritis elevated TRAF1 expression correlates with inflammatory cell survival potentially exacerbating the disease. TRAF1 interaction with TNFR2 is significant in cancer aiding in tumor cell survival and proliferation. Its involvement with proteins like TRAF2 and cytokines like TNF-alpha highlights its impact on disease progression and potential as a therapeutic target.

Product protocols

For this product, it's our understanding that no specific protocols are required. You can visit:

Target data

Adapter molecule that regulates the activation of NF-kappa-B and JNK. Plays a role in the regulation of cell survival and apoptosis. The heterotrimer formed by TRAF1 and TRAF2 is part of a E3 ubiquitin-protein ligase complex that promotes ubiquitination of target proteins, such as MAP3K14. The TRAF1/TRAF2 complex recruits the antiapoptotic E3 protein-ubiquitin ligases BIRC2 and BIRC3 to TNFRSF1B/TNFR2.
See full target information TRAF1

Publications (2)

Recent publications for all applications. Explore the full list and refine your search

Cell death and differentiation 29:206-217 PubMed34465890

2021

Mechanosensitive turnover of phosphoribosyl pyrophosphate synthetases regulates nucleotide metabolism.

Applications

Unspecified application

Species

Unspecified reactive species

Jingyi Li,Jichun Shao,Zhijun Zeng,Yumin He,Can Tang,Su Hwan Park,Jong-Ho Lee,Rui Liu

Molecular pathology : MP 56:156-61 PubMed12782762

2003

Epstein-Barr virus encoded latent membrane protein 1 (LMP1) and TNF receptor associated factors (TRAF): colocalisation of LMP1 and TRAF1 in primary EBV infection and in EBV associated Hodgkin lymphoma.

Applications

Unspecified application

Species

Unspecified reactive species

G Siegler,E Kremmer,R Gonnella,G Niedobitek
View all publications

Product promise

We are committed to supporting your work with high-quality reagents, and we're here for you every step of the way. In the unlikely event that one of our products does not perform as expected, you're protected by our Product Promise.
For full details, please see our Terms & Conditions

Please note: All products are 'FOR RESEARCH USE ONLY. NOT FOR USE IN DIAGNOSTIC OR THERAPEUTIC PROCEDURES'.

For licensing inquiries, please contact partnerships@abcam.com