JavaScript is disabled in your browser. Please enable JavaScript to view this website.
AB300076

Anti-TRAF1 antibody [EPR26204-112] (BSA and Azide free)

Be the first to review this product! Submit a review

|

(1 Publication)

Rabbit Recombinant Monoclonal TRAF1 antibody. Carrier free. Suitable for WB, IP, IHC-P and reacts with Human, Rat, Mouse samples. Cited in 1 publication.

View Alternative Names

EBI6, TRAF1, TNF receptor-associated factor 1, Epstein-Barr virus-induced protein 6

20 Images
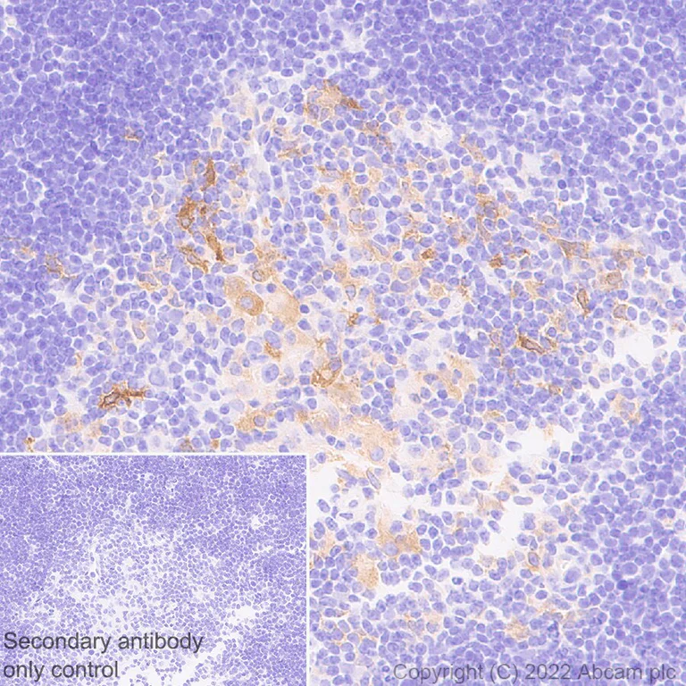
Immunohistochemistry (Formalin/PFA-fixed paraffin-embedded sections) - Anti-TRAF1 antibody [EPR26204-112] (BSA and Azide free) (AB300076)
  • IHC-P

Supplier Data

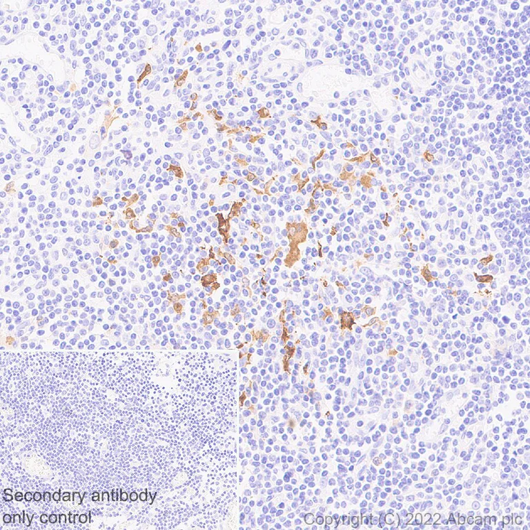
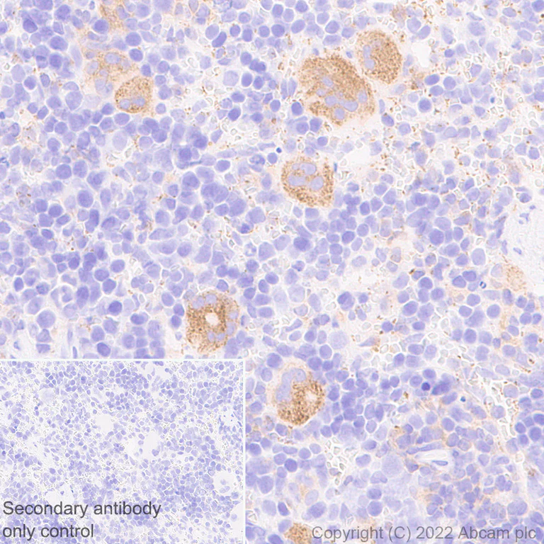
Immunohistochemistry (Formalin/PFA-fixed paraffin-embedded sections) - Anti-TRAF1 antibody [EPR26204-112] (BSA and Azide free) (AB300076)

This data was developed using ab300075, the same antibody clone in a different buffer formulation.

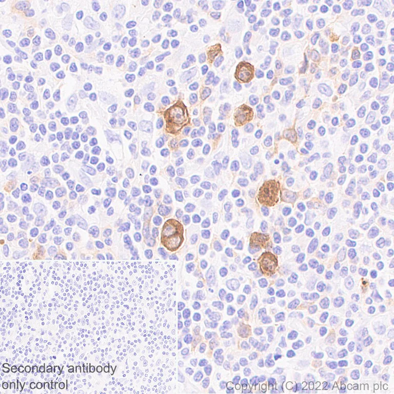
Immunohistochemical analysis of paraffin-embedded Human thymus tissue labelling TRAF1 with ab300075 at 1/1000 (0.564 μg/ml) followed by a ready to use Leica DS9800 (BOND™ Polymer Refine Detection) kit. Cytoplasmic staining on human thymus (PMID : 11046039). The section was incubated with ab300075 for 30 mins at room temperature. The immunostaining was performed on a Leica Biosystems BOND® RX instrument Counterstained with Hematoxylin.

Secondary antibody only control : Secondary antibody is a ready to use Leica DS9800 (BOND™ Polymer Refine Detection) kit.

Heat mediated antigen retrieval with Tris-EDTA buffer (pH 9.0, epitope retrieval solution 2) for 20 mins

Immunohistochemistry (Formalin/PFA-fixed paraffin-embedded sections) - Anti-TRAF1 antibody [EPR26204-112] (BSA and Azide free) (AB300076)
  • IHC-P

Supplier Data

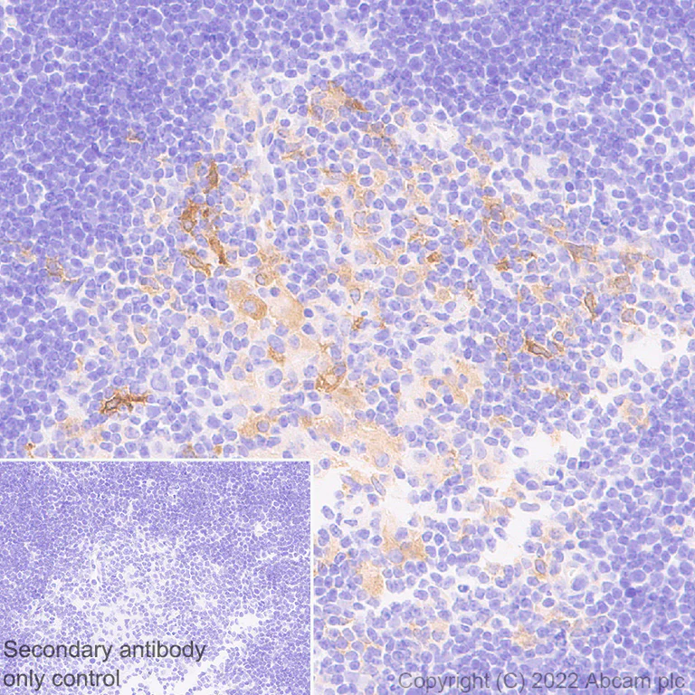
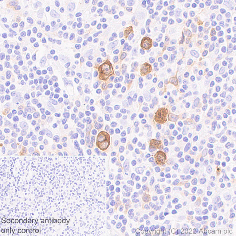
Immunohistochemistry (Formalin/PFA-fixed paraffin-embedded sections) - Anti-TRAF1 antibody [EPR26204-112] (BSA and Azide free) (AB300076)

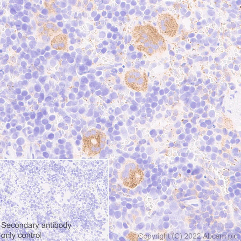
This data was developed using ab300075, the same antibody clone in a different buffer formulation. Immunohistochemical analysis of paraffin-embedded Human Hodgkin's lymphoma tissue labelling TRAF1 with ab300075 at 1/1000 (0.564 µg/ml) followed by a ready to use Leica DS9800 (BOND™ Polymer Refine Detection) was used. Cytoplasmic staining on Reed-Sternberg cells in human Hodgkin's lymphoma (PMID : 12502848). The section was incubated with ab300075 for 30 mins at room temperature. The immunostaining was performed on a Leica Biosystems BOND® RX instrument Counterstained with Hematoxylin. Secondary antibody only control : Secondary antibody is a ready to use Leica DS9800 (BOND™ Polymer Refine Detection) kit. Heat mediated antigen retrieval with Tris-EDTA buffer (pH 9.0, epitope retrieval solution 2) for 20 mins

Immunohistochemistry (Formalin/PFA-fixed paraffin-embedded sections) - Anti-TRAF1 antibody [EPR26204-112] (BSA and Azide free) (AB300076)
  • IHC-P

Supplier Data

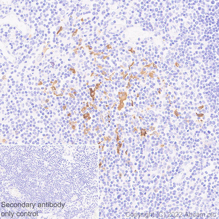
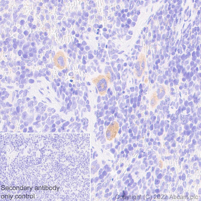
Immunohistochemistry (Formalin/PFA-fixed paraffin-embedded sections) - Anti-TRAF1 antibody [EPR26204-112] (BSA and Azide free) (AB300076)

This data was developed using ab300075, the same antibody clone in a different buffer formulation. Immunohistochemical analysis of paraffin-embedded Human thymus tissue labelling TRAF1 with ab300075 at 1/1000 (0.564 µg/ml) followed by a ready to use Leica DS9800 (BOND™ Polymer Refine Detection) kit. Cytoplasmic staining on human thymus (PMID : 11046039). The section was incubated with ab300075 for 30 mins at room temperature. The immunostaining was performed on a Leica Biosystems BOND® RX instrument Counterstained with Hematoxylin. Secondary antibody only control : Secondary antibody is a ready to use Leica DS9800 (BOND™ Polymer Refine Detection) kit. Heat mediated antigen retrieval with Tris-EDTA buffer (pH 9.0, epitope retrieval solution 2) for 20 mins

Immunohistochemistry (Formalin/PFA-fixed paraffin-embedded sections) - Anti-TRAF1 antibody [EPR26204-112] (BSA and Azide free) (AB300076)
  • IHC-P

Supplier Data

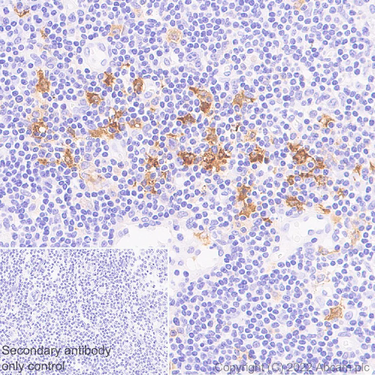
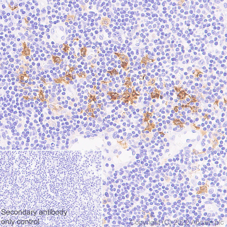
Immunohistochemistry (Formalin/PFA-fixed paraffin-embedded sections) - Anti-TRAF1 antibody [EPR26204-112] (BSA and Azide free) (AB300076)

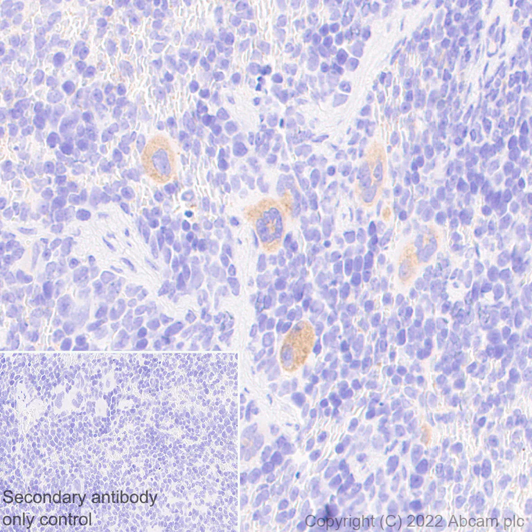
This data was developed using ab300075, the same antibody clone in a different buffer formulation. Immunohistochemical analysis of paraffin-embedded Human lymph node hyperplasia tissue labelling TRAF1 with ab300075 at 1/1000 (0.564 µg/ml) followed by a ready to use Leica DS9800 (BOND™ Polymer Refine Detection) kit. Cytoplasmic staining on human lymph node hyperplasia (PMID : 11046039). The section was incubated with ab300075 for 30 mins at room temperature. The immunostaining was performed on a Leica Biosystems BOND® RX instrument Counterstained with Hematoxylin. Secondary antibody only control : Secondary antibody is a ready to use Leica DS9800 (BOND™ Polymer Refine Detection) was used. Heat mediated antigen retrieval with Tris-EDTA buffer (pH 9.0, epitope retrieval solution 2) for 20 mins

Immunohistochemistry (Formalin/PFA-fixed paraffin-embedded sections) - Anti-TRAF1 antibody [EPR26204-112] (BSA and Azide free) (AB300076)
  • IHC-P

Supplier Data

Immunohistochemistry (Formalin/PFA-fixed paraffin-embedded sections) - Anti-TRAF1 antibody [EPR26204-112] (BSA and Azide free) (AB300076)

This data was developed using ab300075, the same antibody clone in a different buffer formulation.

Immunohistochemical analysis of paraffin-embedded Human Hodgkin's lymphoma tissue labelling TRAF1 with ab300075 at 1/1000 (0.564 μg/ml) followed by a ready to use Leica DS9800 (BOND™ Polymer Refine Detection) was used. Cytoplasmic staining on Reed-Sternberg cells in human Hodgkin's lymphoma (PMID : 12502848). The section was incubated with ab300075 for 30 mins at room temperature. The immunostaining was performed on a Leica Biosystems BOND® RX instrument Counterstained with Hematoxylin.

Secondary antibody only control : Secondary antibody is a ready to use Leica DS9800 (BOND™ Polymer Refine Detection) kit.

Heat mediated antigen retrieval with Tris-EDTA buffer (pH 9.0, epitope retrieval solution 2) for 20 mins

Immunohistochemistry (Formalin/PFA-fixed paraffin-embedded sections) - Anti-TRAF1 antibody [EPR26204-112] (BSA and Azide free) (AB300076)
  • IHC-P

Supplier Data

Immunohistochemistry (Formalin/PFA-fixed paraffin-embedded sections) - Anti-TRAF1 antibody [EPR26204-112] (BSA and Azide free) (AB300076)

This data was developed using ab300075, the same antibody clone in a different buffer formulation.

Immunohistochemical analysis of paraffin-embedded Human lymph node hyperplasia tissue labelling TRAF1 with ab300075 at 1/1000 (0.564 μg/ml) followed by a ready to use Leica DS9800 (BOND™ Polymer Refine Detection) kit. Cytoplasmic staining on human lymph node hyperplasia (PMID : 11046039). The section was incubated with ab300075 for 30 mins at room temperature. The immunostaining was performed on a Leica Biosystems BOND® RX instrument Counterstained with Hematoxylin.

Secondary antibody only control : Secondary antibody is a ready to use Leica DS9800 (BOND™ Polymer Refine Detection) was used.

Heat mediated antigen retrieval with Tris-EDTA buffer (pH 9.0, epitope retrieval solution 2) for 20 mins

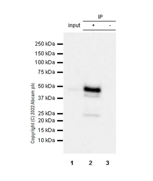
Immunoprecipitation - Anti-TRAF1 antibody [EPR26204-112] (BSA and Azide free) (AB300076)
  • IP

Supplier Data

Immunoprecipitation - Anti-TRAF1 antibody [EPR26204-112] (BSA and Azide free) (AB300076)

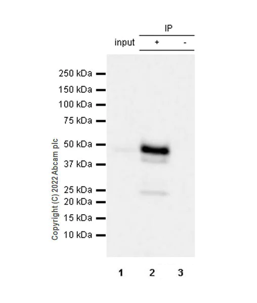
This data was developed using ab300075, the same antibody clone in a different buffer formulation. TRAF1 was immunoprecipitated from 0.35 mg Raji (human Burkitt's lymphoma B lymphocyte) whole cell lysate 10 µg with ab300075 at 1/30 dilution (2µg in 0.35mg lysates). Western blot was performed on the immunoprecipitate using ab300075 at 1/1000 dilution. VeriBlot for IP secondary antibody (HRP)(ab131366) was used at 1/5000 dilution. Lane 1 : Raji (human Burkitt's lymphoma B lymphocyte) whole cell lysate 10 µg Lane 2 : ab300075 in Raji whole cell lysate Lane 3 : Rabbit monoclonal IgG (ab172730) instead of ab300075 in Raji whole cell lysate Blocking and dilution buffer and concentration : 5% NFDM/TBST. Exposure time : 10 seconds

All lanes:

Immunoprecipitation - Anti-TRAF1 antibody [EPR26204-112] (<a href='/en-us/products/primary-antibodies/traf1-antibody-epr26204-112-ab300075'>ab300075</a>) at 1/1000 dilution

All lanes:

Raji (human Burkitt's lymphoma B lymphocyte) whole cell lysate

Secondary

All lanes:

Immunoprecipitation - VeriBlot for IP Detection Reagent (HRP) (<a href='/en-us/products/reagents/veriblot-for-ip-detection-reagent-hrp-ab131366'>ab131366</a>) at 1/5000 dilution

Predicted band size: 46 kDa

Observed band size: 50 kDa

false

Exposure time: 10s

Immunoprecipitation - Anti-TRAF1 antibody [EPR26204-112] (BSA and Azide free) (AB300076)
  • IP

Supplier Data

Immunoprecipitation - Anti-TRAF1 antibody [EPR26204-112] (BSA and Azide free) (AB300076)

This data was developed using ab300075, the same antibody clone in a different buffer formulation.

TRAF1 was immunoprecipitated from 0.35 mg Raji (human Burkitt's lymphoma B lymphocyte) whole cell lysate 10 μg with ab300075 at 1/30 dilution (2μg in 0.35mg lysates). Western blot was performed on the immunoprecipitate using ab300075 at 1/1000 dilution. VeriBlot for IP secondary antibody (HRP)(ab131366) was used at 1/5000 dilution.

Lane 1 : Raji (human Burkitt's lymphoma B lymphocyte) whole cell lysate 10 μg

Lane 2 : ab300075 in Raji whole cell lysate

Lane 3 : Rabbit monoclonal IgG (ab172730) instead of ab300075 in Raji whole cell lysate

Blocking and dilution buffer and concentration : 5% NFDM/TBST.

Exposure time : 10 seconds

All lanes:

Immunoprecipitation - Anti-TRAF1 antibody [EPR26204-112] (<a href='/en-us/products/primary-antibodies/traf1-antibody-epr26204-112-ab300075'>ab300075</a>)

Predicted band size: 46 kDa

Observed band size: 50 kDa

false

Immunohistochemistry (Formalin/PFA-fixed paraffin-embedded sections) - Anti-TRAF1 antibody [EPR26204-112] (BSA and Azide free) (AB300076)
  • IHC-P

Supplier Data

Immunohistochemistry (Formalin/PFA-fixed paraffin-embedded sections) - Anti-TRAF1 antibody [EPR26204-112] (BSA and Azide free) (AB300076)

This data was developed using ab300075, the same antibody clone in a different buffer formulation.

Immunohistochemical analysis of paraffin-embedded Rat spleen tissue labelling TRAF1 with ab300075 at 1/100 (5.64 μg/ml) followed by a ready to use Leica DS9800 (BOND™ Polymer Refine Detection) kit. Cytoplasmic staining on megakaryocytes in rat spleen (PMID : 11046039). The section was incubated with ab300075 for 30 mins at room temperature. The immunostaining was performed on a Leica Biosystems BOND® RX instrument Counterstained with Hematoxylin.

Secondary antibody only control : Secondary antibody is a ready to use LeicaDS9800 (BOND™ Polymer Refine Detection) kit.

Heat mediated antigen retrieval with Tris-EDTA buffer (pH 9.0, epitope retrieval solution 2) for 20 mins

Secondary antibody only control : Secondary antibody is a ready to use LeicaDS9800 (BOND™ Polymer Refine Detection) was used.

Heat mediated antigen retrieval with Tris-EDTA buffer (pH 9.0, epitope retrieval solution2) for 20 mins

Immunohistochemistry (Formalin/PFA-fixed paraffin-embedded sections) - Anti-TRAF1 antibody [EPR26204-112] (BSA and Azide free) (AB300076)
  • IHC-P

Supplier Data

Immunohistochemistry (Formalin/PFA-fixed paraffin-embedded sections) - Anti-TRAF1 antibody [EPR26204-112] (BSA and Azide free) (AB300076)

This data was developed using ab300075, the same antibody clone in a different buffer formulation.

Immunohistochemical analysis of paraffin-embedded Mouse spleen tissue labelling TRAF1 with ab300075 at 1/100 (5.64 μg/ml) followed by a ready to use Leica DS9800 (BOND™ Polymer Refine Detection) kit. Cytoplasmic staining on megakaryocytes in mouse spleen (PMID : 11046039). The section was incubated with ab300075 for 30 mins at room temperature.The immunostaining was performed on a Leica Biosystems BOND® RX instrument Counterstained with Hematoxylin.

Secondary antibody only control : Secondary antibody is a ready to use Leica DS9800 (BOND™ Polymer Refine Detection) kit.

Heat mediated antigen retrieval with Tris-EDTA buffer (pH 9.0, epitope retrieval solution 2) for 20 mins

Immunohistochemistry - Anti-TRAF1 antibody [EPR26204-112] (BSA and Azide free) (AB300076)
  • IHC

Supplier Data

Immunohistochemistry - Anti-TRAF1 antibody [EPR26204-112] (BSA and Azide free) (AB300076)

This data was developed using ab300075, the same antibody clone in a different buffer formulation. Immunohistochemical analysis of paraffin-embedded Mouse spleen tissue labelling TRAF1 with ab300075 at 1/100 (5.64 µg/ml) followed by a ready to use Leica DS9800 (BOND™ Polymer Refine Detection) kit. Cytoplasmic staining on megakaryocytes in mouse spleen (PMID : 11046039). The section was incubated with ab300075 for 30 mins at room temperature. The immunostaining was performed on a Leica Biosystems BOND® RX instrument Counterstained with Hematoxylin. Secondary antibody only control : Secondary antibody is a ready to use Leica DS9800 (BOND™ Polymer Refine Detection) kit. Heat mediated antigen retrieval with Tris-EDTA buffer (pH 9.0, epitope retrieval solution 2) for 20 mins

Immunohistochemistry (Formalin/PFA-fixed paraffin-embedded sections) - Anti-TRAF1 antibody [EPR26204-112] (BSA and Azide free) (AB300076)
  • IHC-P

Supplier Data

Immunohistochemistry (Formalin/PFA-fixed paraffin-embedded sections) - Anti-TRAF1 antibody [EPR26204-112] (BSA and Azide free) (AB300076)

This data was developed using ab300075, the same antibody clone in a different buffer formulation. Immunohistochemical analysis of paraffin-embedded Rat spleen tissue labelling TRAF1 with ab300075 at 1/100 (5.64 µg/ml) followed by a ready to use Leica DS9800 (BOND™ Polymer Refine Detection) kit. Cytoplasmic staining on megakaryocytes in rat spleen (PMID : 11046039). The section was incubated with ab300075 for 30 mins at room temperature. The immunostaining was performed on a Leica Biosystems BOND® RX instrument Counterstained with Hematoxylin. Secondary antibody only control : Secondary antibody is a ready to use LeicaDS9800 (BOND™ Polymer Refine Detection) kit. Heat mediated antigen retrieval with Tris-EDTA buffer (pH 9.0, epitope retrieval solution 2) for 20 mins

Immunohistochemistry (Formalin/PFA-fixed paraffin-embedded sections) - Anti-TRAF1 antibody [EPR26204-112] (BSA and Azide free) (AB300076)
  • IHC-P

Supplier Data

Immunohistochemistry (Formalin/PFA-fixed paraffin-embedded sections) - Anti-TRAF1 antibody [EPR26204-112] (BSA and Azide free) (AB300076)

This data was developed using ab300075, the same antibody clone in a different buffer formulation. Immunohistochemical analysis of paraffin-embedded Mouse thymus tissue labelling TRAF1 with ab300075 at 1/100 (5.64 µg/ml) followed by a ready to use Leica DS9800 (BOND™ Polymer Refine Detection) kit. Cytoplasmic staining on mouse thymus medulla (PMID : 11046039). The section was incubated with ab300075 for 30 mins at room temperature. The immunostaining was performed on a Leica Biosystems BOND® RX instrument Counterstained with Hematoxylin. Secondary antibody only control : Secondary antibody is a ready to use Leica DS9800 (BOND™ Polymer Refine Detection) kit. Heat mediated antigen retrieval with Tris-EDTA buffer (pH 9.0, epitope retrieval solution 2) for 20 mins

Immunohistochemistry (Formalin/PFA-fixed paraffin-embedded sections) - Anti-TRAF1 antibody [EPR26204-112] (BSA and Azide free) (AB300076)
  • IHC-P

Supplier Data

Immunohistochemistry (Formalin/PFA-fixed paraffin-embedded sections) - Anti-TRAF1 antibody [EPR26204-112] (BSA and Azide free) (AB300076)

This data was developed using ab300075, the same antibody clone in a different buffer formulation.

Immunohistochemical analysis of paraffin-embedded Mouse thymus tissue labelling TRAF1 with ab300075 at 1/100 (5.64 μg/ml) followed by a ready to use Leica DS9800 (BOND™ Polymer Refine Detection) kit. Cytoplasmic staining on mouse thymus medulla (PMID : 11046039). The section was incubated with ab300075 for 30 mins at room temperature. The immunostaining was performed on a Leica Biosystems BOND® RX instrument Counterstained with Hematoxylin.

Secondary antibody only control : Secondary antibody is a ready to use Leica DS9800 (BOND™ Polymer Refine Detection) kit.

Heat mediated antigen retrieval with Tris-EDTA buffer (pH 9.0, epitope retrieval solution 2) for 20 mins

Western blot - Anti-TRAF1 antibody [EPR26204-112] (BSA and Azide free) (AB300076)
  • WB

Supplier Data

Western blot - Anti-TRAF1 antibody [EPR26204-112] (BSA and Azide free) (AB300076)

This data was developed using ab300075, the same antibody clone in a different buffer formulation.

5% NFDM/TBST was used as blocking and iluting buffer.

Exposure time :

Lane 1-2 : 92 seconds
Lane3 : 3 minutes

Left-hand blot (lanes 1 & 2) was developed using a high sensitivity ECL substrate.
Lane 3 : Lysates were freshly made and used in WB test immediately to minimize protein degradation.
The expression profile/molecular weight observed is consistent with that described in the literature (PMID : 25321474, 25996949).

All lanes:

Western blot - Anti-TRAF1 antibody [EPR26204-112] (<a href='/en-us/products/primary-antibodies/traf1-antibody-epr26204-112-ab300075'>ab300075</a>) at 1/1000 dilution

Lane 1:

Ramos (human Burkitt's lymphoma B lymphocyte) whole cell lysate at 20 µg

Lane 2:

Daudi (human Burkitt's lymphoma lymphoblast) whole cell lysate at 20 µg

Lane 3:

Daudi whole cell fresh lysate at 20 µg

Secondary

All lanes:

Western blot - Goat Anti-Rabbit IgG H&L (HRP) (<a href='/en-us/products/secondary-antibodies/goat-rabbit-igg-h-l-hrp-ab97051'>ab97051</a>) at 1/100000 dilution

Predicted band size: 46 kDa

Observed band size: 50 kDa

false

Western blot - Anti-TRAF1 antibody [EPR26204-112] (BSA and Azide free) (AB300076)
  • WB

Supplier Data

Western blot - Anti-TRAF1 antibody [EPR26204-112] (BSA and Azide free) (AB300076)

This data was developed using ab300075, the same antibody clone in a different buffer formulation.  5% NFDM/TBST was used as blocking and iluting buffer.  Lysates were freshly made and used in WB test immediately to minimize protein degradation. The expression profile/molecular weight observed is consistent with that described in the literature (PMID : 25321474, 25996949). Negative control : HEK-293 (PMID : 12502848)

All lanes:

Western blot - Anti-TRAF1 antibody [EPR26204-112] (<a href='/en-us/products/primary-antibodies/traf1-antibody-epr26204-112-ab300075'>ab300075</a>) at 1/1000 dilution

Lane 1:

Raji (human Burkitt's lymphoma B lymphocyte) whole cell fresh lysate at 20 µg

Lane 2:

HEK-293 (human embryonic kidney epithelial cell) whole cell fresh lysate at 20 µg

Secondary

All lanes:

Western blot - Goat Anti-Rabbit IgG H&L (HRP) (<a href='/en-us/products/secondary-antibodies/goat-rabbit-igg-h-l-hrp-ab97051'>ab97051</a>) at 1/100000 dilution

Predicted band size: 46 kDa

Observed band size: 50 kDa

false

Exposure time: 15s

Western blot - Anti-TRAF1 antibody [EPR26204-112] (BSA and Azide free) (AB300076)
  • WB

Supplier Data

Western blot - Anti-TRAF1 antibody [EPR26204-112] (BSA and Azide free) (AB300076)

This data was developed using ab300075, the same antibody clone in a different buffer formulation.

5% NFDM/TBST was used as blocking and iluting buffer.

Lysates were freshly made and used in WB test immediately to minimize protein degradation.
The expression profile/molecular weight observed is consistent with that described in the literature (PMID : 25321474, 25996949).
Negative control : HEK-293 (PMID : 12502848)

All lanes:

Western blot - Anti-TRAF1 antibody [EPR26204-112] (<a href='/en-us/products/primary-antibodies/traf1-antibody-epr26204-112-ab300075'>ab300075</a>) at 1/1000 dilution

Lane 1:

Raji (human Burkitt's lymphoma B lymphocyte) whole cell fresh lysate at 20 µg

Lane 2:

HEK-293 (human embryonic kidney epithelial cell) whole cell fresh lysate at 20 µg

Secondary

All lanes:

Western blot - Goat Anti-Rabbit IgG H&L (HRP) (<a href='/en-us/products/secondary-antibodies/goat-rabbit-igg-h-l-hrp-ab97051'>ab97051</a>) at 1/100000 dilution

Predicted band size: 46 kDa

Observed band size: 50 kDa

false

Exposure time: 15s

Western blot - Anti-TRAF1 antibody [EPR26204-112] (BSA and Azide free) (AB300076)
  • WB

Supplier Data

Western blot - Anti-TRAF1 antibody [EPR26204-112] (BSA and Azide free) (AB300076)

This data was developed using ab300075, the same antibody clone in a different buffer formulation.

Blocking and diluting buffer and concentration : 5% NFDM/TBST.

This blot was developed using a high sensitivity ECL substrate. The high-sensitivity ECL substrate used allows for the detection of proteins in the mid-femtogram range.

The expression profile/molecular weight observed is consistent with that described in the literature (PMID : 25321474, 25996949).

All lanes:

Western blot - Anti-TRAF1 antibody [EPR26204-112] (<a href='/en-us/products/primary-antibodies/traf1-antibody-epr26204-112-ab300075'>ab300075</a>) at 1/1000 dilution

Lane 1:

Human tonsil tissue lysate at 20 µg

Lane 2:

Human lymphoma tissue lysate at 20 µg

Secondary

All lanes:

Western blot - Goat Anti-Rabbit IgG H&L (HRP) (<a href='/en-us/products/secondary-antibodies/goat-rabbit-igg-h-l-hrp-ab97051'>ab97051</a>) at 1/100000 dilution

Predicted band size: 46 kDa

Observed band size: 50 kDa

true

Exposure time: 92s

Western blot - Anti-TRAF1 antibody [EPR26204-112] (BSA and Azide free) (AB300076)
  • WB

Supplier Data

Western blot - Anti-TRAF1 antibody [EPR26204-112] (BSA and Azide free) (AB300076)

This data was developed using ab300075, the same antibody clone in a different buffer formulation.

5% NFDM/TBST was used as blocking and diluting buffer.

This blot was developed using a high sensitivity ECL substrate.
The expression profile/molecular weight observed is consistent with that described in the literature (PMID : 25321474, 25996949).

All lanes:

Western blot - Anti-TRAF1 antibody [EPR26204-112] (<a href='/en-us/products/primary-antibodies/traf1-antibody-epr26204-112-ab300075'>ab300075</a>) at 1/1000 dilution

Lane 1:

Human tonsil tissue lysate at 20 µg

Lane 2:

Human lymphoma tissue lysate at 20 µg

Secondary

All lanes:

Western blot - Goat Anti-Rabbit IgG H&L (HRP) (<a href='/en-us/products/secondary-antibodies/goat-rabbit-igg-h-l-hrp-ab97051'>ab97051</a>) at 1/100000 dilution

Predicted band size: 46 kDa

Observed band size: 50 kDa

false

Exposure time: 92s

Western blot - Anti-TRAF1 antibody [EPR26204-112] (BSA and Azide free) (AB300076)
  • WB

Supplier Data

Western blot - Anti-TRAF1 antibody [EPR26204-112] (BSA and Azide free) (AB300076)

This data was developed using ab300075, the same antibody clone in a different buffer formulation.  5% NFDM/TBST was used as blocking and diluting buffer.  Exposure time : Lane 1-2 : 92 seconds Lane3 : 3 minutes Left-hand blot (lanes 1 & 2) was developed using a high sensitivity ECL substrate. Lane 3 : Lysates were freshly made and used in WB test immediately to minimize protein degradation. The expression profile/molecular weight observed is consistent with that described in the literature (PMID : 25321474, 25996949).

All lanes:

Western blot - Anti-TRAF1 antibody [EPR26204-112] (<a href='/en-us/products/primary-antibodies/traf1-antibody-epr26204-112-ab300075'>ab300075</a>) at 1/1000 dilution

Lane 1:

Ramos (human Burkitt's lymphoma B lymphocyte) whole cell lysate, at 20 µg

Lane 2:

Daudi (human Burkitt's lymphoma lymphoblast) whole cell lysate at 20 µg

Lane 3:

Daudi whole cell fresh lysate at 20 µg

Secondary

All lanes:

Western blot - Goat Anti-Rabbit IgG H&L (HRP) (<a href='/en-us/products/secondary-antibodies/goat-rabbit-igg-h-l-hrp-ab97051'>ab97051</a>) at 1/100000 dilution

Predicted band size: 46 kDa

Observed band size: 50 kDa

false

Key facts

Host species

Rabbit

Clonality

Monoclonal

Clone number

EPR26204-112

Isotype

IgG

Carrier free

Yes

Reacts with

Human, Mouse, Rat

Applications

WB, IP, IHC-P

applications

Immunogen

The exact immunogen used to generate this antibody is proprietary information.

Reactivity data

{ "title": "Reactivity Data", "filters": { "stats": ["", "Species", "Dilution Info", "Notes"], "tabs": { "all-applications": {"fullname" : "All Applications", "shortname": "All Applications"}, "WB" : {"fullname" : "Western blot", "shortname":"WB"}, "ICCIF" : {"fullname" : "Immunocytochemistry/ Immunofluorescence", "shortname":"ICC/IF"}, "FlowCyt" : {"fullname" : "Flow Cytometry", "shortname":"Flow Cyt"}, "IP" : {"fullname" : "Immunoprecipitation", "shortname":"IP"}, "IHCP" : {"fullname" : "Immunohistochemistry (Formalin/PFA-fixed paraffin-embedded sections)", "shortname":"IHC-P"} }, "product-promise": { "all": "all", "testedAndGuaranteed": "tested", "guaranteed": "expected", "predicted": "predicted", "notRecommended": "not-recommended" } }, "values": { "Human": { "WB-species-checked": "testedAndGuaranteed", "WB-species-dilution-info": "", "WB-species-notes": "<p></p>", "ICCIF-species-checked": "notRecommended", "ICCIF-species-dilution-info": "", "ICCIF-species-notes": "<p></p>", "FlowCyt-species-checked": "notRecommended", "FlowCyt-species-dilution-info": "", "FlowCyt-species-notes": "<p></p>", "IP-species-checked": "testedAndGuaranteed", "IP-species-dilution-info": "", "IP-species-notes": "<p></p>", "IHCP-species-checked": "testedAndGuaranteed", "IHCP-species-dilution-info": "", "IHCP-species-notes": "<p></p>" }, "Mouse": { "WB-species-checked": "guaranteed", "WB-species-dilution-info": "", "WB-species-notes": "", "ICCIF-species-checked": "notRecommended", "ICCIF-species-dilution-info": "", "ICCIF-species-notes": "", "FlowCyt-species-checked": "notRecommended", "FlowCyt-species-dilution-info": "", "FlowCyt-species-notes": "", "IP-species-checked": "guaranteed", "IP-species-dilution-info": "", "IP-species-notes": "", "IHCP-species-checked": "testedAndGuaranteed", "IHCP-species-dilution-info": "", "IHCP-species-notes": "<p></p>" }, "Rat": { "WB-species-checked": "guaranteed", "WB-species-dilution-info": "", "WB-species-notes": "", "ICCIF-species-checked": "notRecommended", "ICCIF-species-dilution-info": "", "ICCIF-species-notes": "", "FlowCyt-species-checked": "notRecommended", "FlowCyt-species-dilution-info": "", "FlowCyt-species-notes": "", "IP-species-checked": "guaranteed", "IP-species-dilution-info": "", "IP-species-notes": "", "IHCP-species-checked": "testedAndGuaranteed", "IHCP-species-dilution-info": "", "IHCP-species-notes": "<p></p>" } } }

Product details

Conjugation ready
Our carrier-free antibodies are typically supplied in a PBS-only formulation, purified and free of BSA, sodium azide and glycerol. This conjugation-ready format is designed for use with fluorochromes, metal isotopes, oligonucleotides, and enzymes, which makes them ideal for antibody labelling, functional and cell-based assays, flow-based assays (e.g. mass cytometry) and Multiplex Imaging applications.

Use our conjugation kits for antibody conjugates that are ready-to-use in as little as 20 minutes with 1 minute hands-on-time and 100% antibody recovery: available for fluorescent dyes, HRP, biotin and gold.

Patented technology
Our RabMAb® technology is a patented hybridoma-based technology for making rabbit monoclonal antibodies. For details on our patents, please refer to RabMAb® patents.

Compatibility
This product is compatible with the Maxpar® Antibody Labeling Kit from Fluidigm, without the need for antibody preparation. Maxpar® is a trademark of Fluidigm Canada Inc.

What are the advantages of a recombinant monoclonal antibody?
This product is a recombinant monoclonal antibody, which offers several advantages including:

  • - High batch-to-batch consistency and reproducibility
  • - Improved sensitivity and specificity
  • - Long-term security of supply
  • - Animal-free batch production

For more information, read more on recombinant antibodies.

Properties and storage information

Form
Liquid
Purification technique
Affinity purification Protein A
Storage buffer
pH: 7.2 - 7.4 Constituents: PBS
Shipped at conditions
Blue Ice
Appropriate short-term storage conditions
+4°C
Appropriate long-term storage conditions
+4°C
Aliquoting information
Upon delivery aliquot

Supplementary information

This supplementary information is collated from multiple sources and compiled automatically.

TRAF1 or TNF Receptor Associated Factor 1 is a protein involved in signal transduction from various receptors including TNFR2 (tumor necrosis factor receptor 2). TRAF1 has a molecular mass of approximately 50 kDa. This protein is found mostly in the cytoplasm and functions as an adapter molecule. It helps to mediate signal transduction by interacting with receptor-associated signaling complexes. It does not have an intrinsic catalytic domain. TRAF1 expression is most prevalent in immune cells such as lymphocytes.
Biological function summary

TRAF1 plays a role in immune response regulation functioning as part of a larger TRAF protein complex that includes TRAF2 and TRAF3. This complex is significant for propagating signaling cascades important for immune system development and homeostasis. TRAF1 impacts the transcriptional activity that modulates inflammatory responses. It achieves this by interacting with other proteins to transmit signals from the cell surface to the nucleus subsequently affecting gene expression.

Pathways

TRAF1 is involved in the NF-κB and JNK signaling pathways which are important for immune cell activation and apoptosis regulation. In the NF-κB pathway TRAF1 works closely with TRAF2 facilitating the recruitment and activation of IKK (IκB kinase) which leads to the release and nuclear translocation of NF-κB. In the JNK pathway TRAF1 indirectly influences MAP kinase signaling cascades affecting cytokine production and cell death. These roles in signal transduction highlight TRAF1's function in maintaining immune cell function and integrity.

TRAF1 has connections to autoimmune diseases such as rheumatoid arthritis and certain cancers. In rheumatoid arthritis elevated TRAF1 expression correlates with inflammatory cell survival potentially exacerbating the disease. TRAF1 interaction with TNFR2 is significant in cancer aiding in tumor cell survival and proliferation. Its involvement with proteins like TRAF2 and cytokines like TNF-alpha highlights its impact on disease progression and potential as a therapeutic target.

Product protocols

For this product, it's our understanding that no specific protocols are required. You can visit:

Target data

Adapter molecule that regulates the activation of NF-kappa-B and JNK. Plays a role in the regulation of cell survival and apoptosis. The heterotrimer formed by TRAF1 and TRAF2 is part of a E3 ubiquitin-protein ligase complex that promotes ubiquitination of target proteins, such as MAP3K14. The TRAF1/TRAF2 complex recruits the antiapoptotic E3 protein-ubiquitin ligases BIRC2 and BIRC3 to TNFRSF1B/TNFR2.
See full target information TRAF1

Publications (1)

Recent publications for all applications. Explore the full list and refine your search

iScience 26:107601 PubMed37664606

2023

Elabela inhibits TRAF1/NF-κB induced oxidative DNA damage to promote diabetic foot ulcer wound healing.

Applications

Unspecified application

Species

Unspecified reactive species

Yinghui Hong,Jun Li,Yinsheng Zhong,Shujun Yang,Liying Pei,Zijie Huang,Xuxiang Chen,Hao Wu,Guanghui Zheng,Chaotao Zeng,Haidong Wu,Tong Wang
View all publications

Product promise

We are committed to supporting your work with high-quality reagents, and we're here for you every step of the way. In the unlikely event that one of our products does not perform as expected, you're protected by our Product Promise.
For full details, please see our Terms & Conditions

Please note: All products are 'FOR RESEARCH USE ONLY. NOT FOR USE IN DIAGNOSTIC OR THERAPEUTIC PROCEDURES'.

For licensing inquiries, please contact partnerships@abcam.com