JavaScript is disabled in your browser. Please enable JavaScript to view this website.
AB268121

Anti-TRAF1 antibody [TRAF1/2770]

Be the first to review this product! Submit a review

|

(1 Publication)

Mouse Monoclonal TRAF1 antibody. Suitable for Protein Array, IHC-P and reacts with Human samples. Cited in 1 publication. Immunogen corresponding to Recombinant Fragment Protein within Human TRAF1 aa 50-250.

View Alternative Names

EBI6, TRAF1, TNF receptor-associated factor 1, Epstein-Barr virus-induced protein 6

3 Images
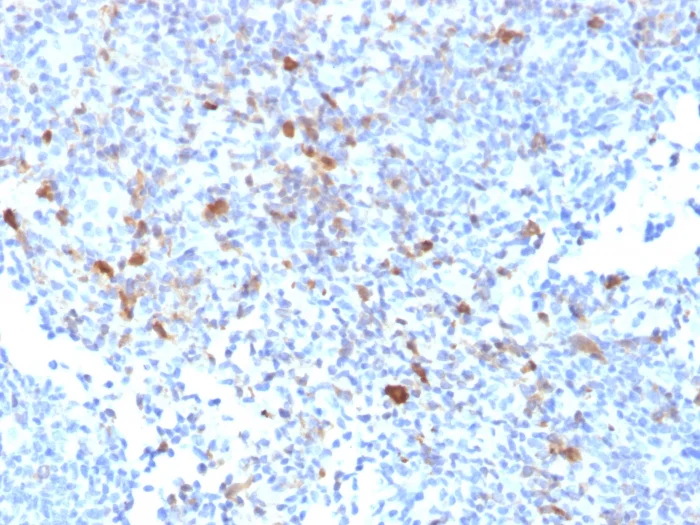
Immunohistochemistry (Formalin/PFA-fixed paraffin-embedded sections) - Anti-TRAF1 antibody [TRAF1/2770] (AB268121)
  • IHC-P

Unknown

Immunohistochemistry (Formalin/PFA-fixed paraffin-embedded sections) - Anti-TRAF1 antibody [TRAF1/2770] (AB268121)

Formalin-fixed, paraffin-embedded human spleen tissue stained for TRAF1 using ab268121 at 2 μg/ml in immunohistochemical analysis.

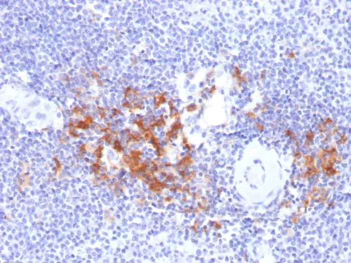
Immunohistochemistry (Formalin/PFA-fixed paraffin-embedded sections) - Anti-TRAF1 antibody [TRAF1/2770] (AB268121)
  • IHC-P

Unknown

Immunohistochemistry (Formalin/PFA-fixed paraffin-embedded sections) - Anti-TRAF1 antibody [TRAF1/2770] (AB268121)

Formalin-fixed, paraffin-embedded human lymph node tissue stained for TRAF1 using ab268121 at 2 μg/ml in immunohistochemical analysis.

Protein Array - Anti-TRAF1 antibody [TRAF1/2770] (AB268121)
  • Protein Array

Supplier Data

Protein Array - Anti-TRAF1 antibody [TRAF1/2770] (AB268121)

Protein Array containing more than 19,000 full-length human proteins using ab268121.

Z- and S- Score : The Z-score represents the strength of a signal that a monoclonal antibody (Monoclonal Antibody) (in combination with a fluorescently-tagged anti-IgG secondary antibody) produces when binding to a particular protein on the HuProtTM array. Z-scores are described in units of standard deviations (SD's) above the mean value of all signals generated on that array. If targets on HuProtTM are arranged in descending order of the Z-score, the S-score is the difference (also in units of SD's) between the Z-score. S-score therefore represents the relative target specificity of a Monoclonal Antibody to its intended target. A Monoclonal Antibody is considered to specific to its intended target, if the Monoclonal Antibody has an S-score of at least 2.5. For example, if a Monoclonal Antibody binds to protein X with a Z-score of 43 and to protein Y with a Z-score of 14, then the S-score for the binding of that Monoclonal Antibody to protein X is equal to 29.

Key facts

Host species

Mouse

Clonality

Monoclonal

Clone number

TRAF1/2770

Isotype

IgG1

Light chain type

kappa

Carrier free

No

Reacts with

Human

Applications

Protein Array, IHC-P

applications

Immunogen

Recombinant Fragment Protein within Human TRAF1 aa 50-250. The exact immunogen used to generate this antibody is proprietary information.

Q13077

Reactivity data

{ "title": "Reactivity Data", "filters": { "stats": ["", "Species", "Dilution Info", "Notes"], "tabs": { "all-applications": {"fullname" : "All Applications", "shortname": "All Applications"}, "ProteinArray" : {"fullname" : "Protein Array", "shortname":"Protein Array"}, "IHCP" : {"fullname" : "Immunohistochemistry (Formalin/PFA-fixed paraffin-embedded sections)", "shortname":"IHC-P"} }, "product-promise": { "all": "all", "testedAndGuaranteed": "tested", "guaranteed": "expected", "predicted": "predicted", "notRecommended": "not-recommended" } }, "values": { "Human": { "ProteinArray-species-checked": "testedAndGuaranteed", "ProteinArray-species-dilution-info": "", "ProteinArray-species-notes": "<p></p>", "IHCP-species-checked": "testedAndGuaranteed", "IHCP-species-dilution-info": "1-2 µg/mL", "IHCP-species-notes": "<p></p> Perform heat-mediated antigen retrieval with Tris/EDTA buffer pH 9.0 before commencing with IHC staining protocol." } } }

Properties and storage information

Form
Liquid
Purification technique
Affinity purification Protein A/G
Purification notes
Purified from bioreactor concentrate.
Storage buffer
pH: 7.2 - 7.4 Preservative: 0.05% Sodium azide Constituents: PBS, 0.05% BSA
Shipped at conditions
Blue Ice
Appropriate short-term storage duration
1-2 weeks
Appropriate short-term storage conditions
+4°C
Appropriate long-term storage conditions
-20°C
Aliquoting information
Upon delivery aliquot
Storage information
Avoid freeze / thaw cycle

Supplementary information

This supplementary information is collated from multiple sources and compiled automatically.

TRAF1 or TNF Receptor Associated Factor 1 is a protein involved in signal transduction from various receptors including TNFR2 (tumor necrosis factor receptor 2). TRAF1 has a molecular mass of approximately 50 kDa. This protein is found mostly in the cytoplasm and functions as an adapter molecule. It helps to mediate signal transduction by interacting with receptor-associated signaling complexes. It does not have an intrinsic catalytic domain. TRAF1 expression is most prevalent in immune cells such as lymphocytes.
Biological function summary

TRAF1 plays a role in immune response regulation functioning as part of a larger TRAF protein complex that includes TRAF2 and TRAF3. This complex is significant for propagating signaling cascades important for immune system development and homeostasis. TRAF1 impacts the transcriptional activity that modulates inflammatory responses. It achieves this by interacting with other proteins to transmit signals from the cell surface to the nucleus subsequently affecting gene expression.

Pathways

TRAF1 is involved in the NF-κB and JNK signaling pathways which are important for immune cell activation and apoptosis regulation. In the NF-κB pathway TRAF1 works closely with TRAF2 facilitating the recruitment and activation of IKK (IκB kinase) which leads to the release and nuclear translocation of NF-κB. In the JNK pathway TRAF1 indirectly influences MAP kinase signaling cascades affecting cytokine production and cell death. These roles in signal transduction highlight TRAF1's function in maintaining immune cell function and integrity.

TRAF1 has connections to autoimmune diseases such as rheumatoid arthritis and certain cancers. In rheumatoid arthritis elevated TRAF1 expression correlates with inflammatory cell survival potentially exacerbating the disease. TRAF1 interaction with TNFR2 is significant in cancer aiding in tumor cell survival and proliferation. Its involvement with proteins like TRAF2 and cytokines like TNF-alpha highlights its impact on disease progression and potential as a therapeutic target.

Product protocols

For this product, it's our understanding that no specific protocols are required. You can visit:

Target data

Adapter molecule that regulates the activation of NF-kappa-B and JNK. Plays a role in the regulation of cell survival and apoptosis. The heterotrimer formed by TRAF1 and TRAF2 is part of a E3 ubiquitin-protein ligase complex that promotes ubiquitination of target proteins, such as MAP3K14. The TRAF1/TRAF2 complex recruits the antiapoptotic E3 protein-ubiquitin ligases BIRC2 and BIRC3 to TNFRSF1B/TNFR2.
See full target information TRAF1

Publications (1)

Recent publications for all applications. Explore the full list and refine your search

BMC nephrology 25:387 PubMed39478440

2024

The prognostic role of activation of the complement pathways in the progression of advanced IgA nephropathy to end-stage renal disease.

Applications

Unspecified application

Species

Unspecified reactive species

Ying Wang,Shimin Jiang,Dingxin Di,Guming Zou,Hongmei Gao,Shunlai Shang,Wenge Li
View all publications

Product promise

We are committed to supporting your work with high-quality reagents, and we're here for you every step of the way. In the unlikely event that one of our products does not perform as expected, you're protected by our Product Promise.
For full details, please see our Terms & Conditions

Please note: All products are 'FOR RESEARCH USE ONLY. NOT FOR USE IN DIAGNOSTIC OR THERAPEUTIC PROCEDURES'.

For licensing inquiries, please contact partnerships@abcam.com