JavaScript is disabled in your browser. Please enable JavaScript to view this website.
AB249405

Anti-TRAF2 antibody [EPR7064] - BSA and Azide free

Be the first to review this product! Submit a review

|

(0 Publication)

Rabbit Recombinant Monoclonal TRAF2 antibody. Carrier free. Suitable for IHC-P, ICC/IF, WB and reacts with Human samples.

View Alternative Names

TRAP3, TRAF2, TNF receptor-associated factor 2, E3 ubiquitin-protein ligase TRAF2, RING-type E3 ubiquitin transferase TRAF2, Tumor necrosis factor type 2 receptor-associated protein 3

5 Images
Immunocytochemistry/ Immunofluorescence - Anti-TRAF2 antibody [EPR7064] - BSA and Azide free (AB249405)
  • ICC/IF

Unknown

Immunocytochemistry/ Immunofluorescence - Anti-TRAF2 antibody [EPR7064] - BSA and Azide free (AB249405)

This data was developed using ab167163, the same antibody clone in a different buffer formulation.Immunofluorescent analysis of HeLa cells labeling TRAF2 with ab167163 at 1/100 dilution.

Immunohistochemistry (Formalin/PFA-fixed paraffin-embedded sections) - Anti-TRAF2 antibody [EPR7064] - BSA and Azide free (AB249405)
  • IHC-P

Unknown

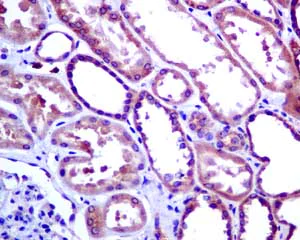
Immunohistochemistry (Formalin/PFA-fixed paraffin-embedded sections) - Anti-TRAF2 antibody [EPR7064] - BSA and Azide free (AB249405)

This data was developed using ab167163, the same antibody clone in a different buffer formulation.

Immunohistochemical analysis of paraffin-embedded Human kidney tissue labeling TRAF2 with ab167163 at 1/50 dilution.

Perform heat mediated antigen retrieval with citrate buffer pH 6 before commencing with IHC staining protocol.

Western blot - Anti-TRAF2 antibody [EPR7064] - BSA and Azide free (AB249405)
  • WB

Lab

Western blot - Anti-TRAF2 antibody [EPR7064] - BSA and Azide free (AB249405)

This data was developed using ab167163, the same antibody clone in a different buffer formulation.

Lane 1 : Wild-type HAP1 cell lysate (20 μg)

Lane 2 : TRAF2 knockout HAP1 cell lysate (20 μg)

Lane 3 : Human skeletal muscle tissue lysate (20 μg)

Lane 4 : U20S cell lysate (20 μg)

Lanes 1 and 2 : Merged signal (red and green). Green - ab167163 observed at 58 kDa. Red - loading control, ab8245, observed at 37 kDa.

ab167163 was shown to recognize TRAF2 when TRAF2 knockout samples were used, along with additional cross-reactive bands. Wild-type and TRAF2 knockout samples were subjected to SDS-PAGE. ab167163 and ab8245 (loading control to GAPDH) were diluted 1/1000 and 1/2000 respectively and incubated overnight at 4°C. Blots were developed with Goat anti-Rabbit IgG H&L (IRDye® 800CW) preadsorbed ab216773 and Goat anti-Mouse IgG H&L (IRDye® 680RD) preadsorbed ab216776 secondary antibodies at 1/10000 dilution for 1 hour at room temperature before imaging.

All lanes:

Western blot - Anti-TRAF2 antibody [EPR7064] (<a href='/en-us/products/primary-antibodies/traf2-antibody-epr7064-ab167163'>ab167163</a>)

Predicted band size: 55 kDa

false

Western blot - Anti-TRAF2 antibody [EPR7064] - BSA and Azide free (AB249405)
  • WB

Unknown

Western blot - Anti-TRAF2 antibody [EPR7064] - BSA and Azide free (AB249405)

This data was developed using ab167163, the same antibody clone in a different buffer formulation.

All lanes:

Western blot - Anti-TRAF2 antibody [EPR7064] (<a href='/en-us/products/primary-antibodies/traf2-antibody-epr7064-ab167163'>ab167163</a>) at 1/1000 dilution

Lane 1:

Molt-4 cell lysate at 10 µg

Lane 2:

293T (Human embryonic kidney epithelial cell) cell lysate at 10 µg

Lane 3:

Raji cell lysate at 10 µg

Lane 4:

HeLa cell lysate at 10 µg

Secondary

All lanes:

HRP labeled goat anti-rabbit at 1/2000 dilution

Predicted band size: 55 kDa

false

Western blot - Anti-TRAF2 antibody [EPR7064] - BSA and Azide free (AB249405)
  • WB

Lab

Western blot - Anti-TRAF2 antibody [EPR7064] - BSA and Azide free (AB249405)

This data was developed using the same antibody clone in a different buffer formulation (ab167163).

Lanes 1- 2 : Merged signal (red and green). Green - ab167163 observed at 55 kDa. Red - Anti-GAPDH antibody [6C5] - Loading Control (ab8245) observed at 37 kDa.

ab167163 was shown to react with TRAF2 in wild-type HEK-293T cells in western blot. Loss of signal was observed when knockout cell line ab266060 (knockout cell lysate ab257759) was used. Wild-type HEK-293T and TRAF2 knockout HEK-293T cell lysates were subjected to SDS-PAGE. Membrane was blocked for 1 hour at room temperature in 0.1% TBST with 3% non-fat dried milk. ab167163 and Anti-GAPDH antibody [6C5] - Loading Control (ab8245) overnight at 4°C at a 1 in 1000 dilution and a 1 in 20000 dilution respectively. Blots were developed with Goat anti-Rabbit IgG H&L (IRDye®800CW) preadsorbed (ab216773) and Goat anti-Mouse IgG H&L (IRDye®680RD) preadsorbed (ab216776) secondary antibodies at 1 in 20000 dilution for 1 hour at room temperature before imaging.

All lanes:

Western blot - Anti-TRAF2 antibody [EPR7064] (<a href='/en-us/products/primary-antibodies/traf2-antibody-epr7064-ab167163'>ab167163</a>) at 1/1000 dilution

Lane 1:

Wild-type HEK-293T cell lysate at 20 µg

Lane 2:

TRAF2 knockout HEK-293T cell lysate at 20 µg

Lane 2:

Western blot - Human TRAF2 knockout HEK-293T cell line (<a href='/en-us/products/cell-lines/human-traf2-knockout-hek-293t-cell-line-ab266060'>ab266060</a>)

Predicted band size: 55 kDa

Observed band size: 55 kDa

false

Key facts

Host species

Rabbit

Clonality

Monoclonal

Clone number

EPR7064

Isotype

IgG

Carrier free

Yes

Reacts with

Human

Applications

IHC-P, ICC/IF, WB

applications

Immunogen

The exact immunogen used to generate this antibody is proprietary information.

Reactivity data

{ "title": "Reactivity Data", "filters": { "stats": ["", "Species", "Dilution Info", "Notes"], "tabs": { "all-applications": {"fullname" : "All Applications", "shortname": "All Applications"}, "IHCP" : {"fullname" : "Immunohistochemistry (Formalin/PFA-fixed paraffin-embedded sections)", "shortname":"IHC-P"}, "ICCIF" : {"fullname" : "Immunocytochemistry/ Immunofluorescence", "shortname":"ICC/IF"}, "WB" : {"fullname" : "Western blot", "shortname":"WB"} }, "product-promise": { "all": "all", "testedAndGuaranteed": "tested", "guaranteed": "expected", "predicted": "predicted", "notRecommended": "not-recommended" } }, "values": { "Human": { "IHCP-species-checked": "testedAndGuaranteed", "IHCP-species-dilution-info": "", "IHCP-species-notes": "<p></p>", "ICCIF-species-checked": "testedAndGuaranteed", "ICCIF-species-dilution-info": "", "ICCIF-species-notes": "<p></p>", "WB-species-checked": "testedAndGuaranteed", "WB-species-dilution-info": "", "WB-species-notes": "<p></p>" } } }

Product details

ab249405 is the carrier-free version of ab167163.

Patented technology
Our RabMAb® technology is a patented hybridoma-based technology for making rabbit monoclonal antibodies. For details on our patents, please refer to RabMAb® patents.

What are the advantages of a recombinant monoclonal antibody?
This product is a recombinant monoclonal antibody, which offers several advantages including:

  • - High batch-to-batch consistency and reproducibility
  • - Improved sensitivity and specificity
  • - Long-term security of supply
  • - Animal-free batch production

For more information, read more on recombinant antibodies.

Conjugation ready
Our carrier-free antibodies are typically supplied in a PBS-only formulation, purified and free of BSA, sodium azide and glycerol. This conjugation-ready format is designed for use with fluorochromes, metal isotopes, oligonucleotides, and enzymes, which makes them ideal for antibody labelling, functional and cell-based assays, flow-based assays (e.g. mass cytometry) and Multiplex Imaging applications.

Use our conjugation kits for antibody conjugates that are ready-to-use in as little as 20 minutes with 1 minute hands-on-time and 100% antibody recovery: available for fluorescent dyes, HRP, biotin and gold.

Compatibility
This product is compatible with the Maxpar® Antibody Labeling Kit from Fluidigm, without the need for antibody preparation. Maxpar® is a trademark of Fluidigm Canada Inc.

Properties and storage information

Form
Liquid
Purification technique
Affinity purification Protein A
Storage buffer
pH: 7.2 - 7.4 Constituents: PBS
Shipped at conditions
Blue Ice
Appropriate short-term storage conditions
+4°C
Appropriate long-term storage conditions
+4°C
Storage information
Do Not Freeze

Supplementary information

This supplementary information is collated from multiple sources and compiled automatically.

TRAF2 known also as TNF Receptor-Associated Factor 2 is an adapter protein weighing approximately 56 kDa. It is expressed in many tissues such as lymph nodes spleen and thymus. This protein acts as a signal transducer playing an integral role in the activation of NF-kB and MAPK signaling pathways. TRAF2 interacts with TNF receptors and other proteins using its RING finger and zinc finger domains for ubiquitination processes.
Biological function summary

TRAF2 modulates immune responses by regulating cell survival proliferation and apoptosis. It often forms complexes with other TRAF family proteins to mediate signal transmission. These complexes control the balance between pro-apoptotic and anti-apoptotic signals impacting the regulation of immune and inflammatory responses. Its interactions are necessary for the proper function of NF-kB ensuring balanced immune activities.

Pathways

TRAF2 is a critical component within both NF-kB and JNK signaling pathways. In the NF-kB pathway TRAF2 intersects with proteins like IKK and NEMO facilitating the transcription of genes involved in immune and inflammatory responses. In JNK signaling TRAF2 influences cellular responses through regulation of apoptotic signals. By linking these pathways TRAF2 ensures a coordinated cellular response to extracellular stimuli.

TRAF2’s dysregulation is linked with autoimmune diseases and certain types of cancer. Overactivity can contribute to chronic inflammation highlighting its role in autoimmune disorders like rheumatoid arthritis. In cancer TRAF2’s involvement with TNF receptors can lead to uncontrolled cell proliferation. Proteins like cIAP1 and cIAP2 are often related to TRAF2 in these contexts influencing the progression and modulation of disease states.

Product protocols

For this product, it's our understanding that no specific protocols are required. You can visit:

Target data

Regulates activation of NF-kappa-B and JNK and plays a central role in the regulation of cell survival and apoptosis (PubMed : 22212761). Required for normal antibody isotype switching from IgM to IgG. Has E3 ubiquitin-protein ligase activity and promotes 'Lys-63'-linked ubiquitination of target proteins, such as BIRC3, RIPK1 and TICAM1. Is an essential constituent of several E3 ubiquitin-protein ligase complexes, where it promotes the ubiquitination of target proteins by bringing them into contact with other E3 ubiquitin ligases. Regulates BIRC2 and BIRC3 protein levels by inhibiting their autoubiquitination and subsequent degradation; this does not depend on the TRAF2 RING-type zinc finger domain. Plays a role in mediating activation of NF-kappa-B by EIF2AK2/PKR. In complex with BIRC2 or BIRC3, promotes ubiquitination of IKBKE.
See full target information TRAF2

Product promise

We are committed to supporting your work with high-quality reagents, and we're here for you every step of the way. In the unlikely event that one of our products does not perform as expected, you're protected by our Product Promise.
For full details, please see our Terms & Conditions

Please note: All products are 'FOR RESEARCH USE ONLY. NOT FOR USE IN DIAGNOSTIC OR THERAPEUTIC PROCEDURES'.

For licensing inquiries, please contact partnerships@abcam.com