JavaScript is disabled in your browser. Please enable JavaScript to view this website.
AB217033

Anti-TRAF3 antibody

5

(1 Review)

|

(4 Publications)

Rabbit Polyclonal TRAF3 antibody. Suitable for IHC-P, Flow Cyt (Intra) and reacts with Mouse, Human samples. Cited in 4 publications. Immunogen corresponding to Synthetic Peptide within Human TRAF3 aa 100-200 conjugated to Keyhole Limpet Haemocyanin.

View Alternative Names

CAP-1, CRAF1, TRAFAMN, TRAF3, TNF receptor-associated factor 3, CD40 receptor-associated factor 1, CD40-binding protein, LMP1-associated protein 1, RING-type E3 ubiquitin transferase TRAF3, CD40BP, LAP1

3 Images
Flow Cytometry (Intracellular) - Anti-TRAF3 antibody (AB217033)
  • Flow Cyt (Intra)

Supplier Data

Flow Cytometry (Intracellular) - Anti-TRAF3 antibody (AB217033)

Intracellular flow cytometric analysis of Jurkat cellslabeling TRAF3 with ab217033 at 0.2μg for 30 minutes followed by incubation with a PE Conjugated secondary for 30 minutes (green), compared to control cells (blue), secondary only (light blue) and isotype control (orange).

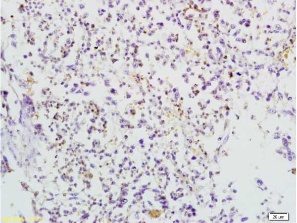
Immunohistochemistry (Formalin/PFA-fixed paraffin-embedded sections) - Anti-TRAF3 antibody (AB217033)
  • IHC-P

Supplier Data

Immunohistochemistry (Formalin/PFA-fixed paraffin-embedded sections) - Anti-TRAF3 antibody (AB217033)

Immunohistochemical analysis of formalin-fixed, paraffin-embedded human gastric carcinoma tissue labeling TRAF3 with ab217033 at 1/200 dilution, followed by secondary antibody detection and DAB staining.

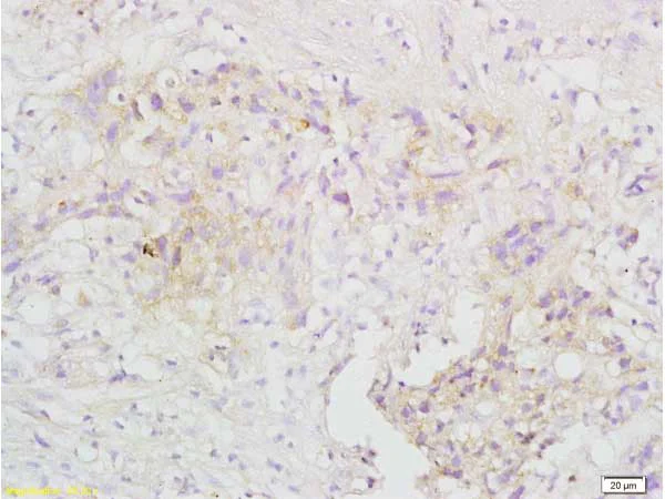
Immunohistochemistry (Formalin/PFA-fixed paraffin-embedded sections) - Anti-TRAF3 antibody (AB217033)
  • IHC-P

Supplier Data

Immunohistochemistry (Formalin/PFA-fixed paraffin-embedded sections) - Anti-TRAF3 antibody (AB217033)

Immunohistochemical analysis of formalin-fixed, paraffin-embedded mouse lymphoma tissue labeling TRAF3 with ab217033 at 1/200 dilution, followed by secondary antibody detection and DAB staining.

Key facts

Host species

Rabbit

Clonality

Polyclonal

Isotype

IgG

Carrier free

No

Reacts with

Mouse, Human

Applications

IHC-P, Flow Cyt (Intra)

applications

Immunogen

Synthetic Peptide within Human TRAF3 aa 100-200 conjugated to Keyhole Limpet Haemocyanin. The exact immunogen used to generate this antibody is proprietary information.

Q13114

Reactivity data

{ "title": "Reactivity Data", "filters": { "stats": ["", "Species", "Dilution Info", "Notes"], "tabs": { "all-applications": {"fullname" : "All Applications", "shortname": "All Applications"}, "IHCP" : {"fullname" : "Immunohistochemistry (Formalin/PFA-fixed paraffin-embedded sections)", "shortname":"IHC-P"}, "FlowCytIntra" : {"fullname" : "Flow Cytometry (Intracellular)", "shortname":"Flow Cyt (Intra)"} }, "product-promise": { "all": "all", "testedAndGuaranteed": "tested", "guaranteed": "expected", "predicted": "predicted", "notRecommended": "not-recommended" } }, "values": { "Human": { "IHCP-species-checked": "testedAndGuaranteed", "IHCP-species-dilution-info": "1/100 - 1/500", "IHCP-species-notes": "<p></p>", "FlowCytIntra-species-checked": "testedAndGuaranteed", "FlowCytIntra-species-dilution-info": "", "FlowCytIntra-species-notes": "<p></p>" }, "Mouse": { "IHCP-species-checked": "testedAndGuaranteed", "IHCP-species-dilution-info": "1/100 - 1/500", "IHCP-species-notes": "<p></p>", "FlowCytIntra-species-checked": "guaranteed", "FlowCytIntra-species-dilution-info": "", "FlowCytIntra-species-notes": "" }, "Rat": { "IHCP-species-checked": "predicted", "IHCP-species-dilution-info": "", "IHCP-species-notes": "", "FlowCytIntra-species-checked": "predicted", "FlowCytIntra-species-dilution-info": "", "FlowCytIntra-species-notes": "" } } }

Properties and storage information

Form
Liquid
Purification technique
Affinity purification Protein A
Storage buffer
pH: 7.4 Preservative: 0.02% Proclin 300 Constituents: 50% Glycerol (glycerin, glycerine), 48.98% TBS, 1X, 1% BSA
Shipped at conditions
Blue Ice
Appropriate short-term storage duration
1-2 weeks
Appropriate short-term storage conditions
+4°C
Appropriate long-term storage conditions
-20°C
Aliquoting information
Upon delivery aliquot
Storage information
Avoid freeze / thaw cycle

Supplementary information

This supplementary information is collated from multiple sources and compiled automatically.

TRAF3 also known as TNF receptor-associated factor 3 weighs approximately 63 kDa. This adaptor protein is expressed in many tissues including lymphoid organs and the spleen. Mechanically TRAF3 interacts with the tumor necrosis factor receptor (TNFR) superfamily serving as a pivotal mediator in transducing signals. The protein engages directly with cytoplasmic domains of receptors relaying information downstream to influence cellular responses.
Biological function summary

The protein TRAF3 influences immune response regulation and lymphocyte activation by being part of signaling complexes. It binds with other TRAF family members forming multimeric structures for modulating NF-kB and MAPK pathways. TRAF3 plays a role in both adaptive and innate immune mechanisms controlling cell survival signals and apoptosis. Its activity impacts B-cell and T-cell functions further emphasizing its role in immune cell dynamics.

Pathways

TRAF3 significantly impacts NF-kB activation and MAP kinase signaling. It cooperates with other proteins like TRAF2 and NIK to modulate these pathways. The NF-kB pathway important for immune and inflammatory responses involves TRAF3 in negatively regulating this pathway by targeting NIK for degradation. Similarly in the MAPK signaling TRAF3 influences response to environmental stresses.

TRAF3 connects to conditions such as autoimmune diseases and lymphoma. In autoimmune diseases the improper function of TRAF3 affects immune tolerance leading to abnormal B-cell activity. In lymphomas TRAF3 mutations can result in loss of function contributing to the development of B-cell malignancies. Interactions with proteins like TRAF2 in these disorders illustrate its significance in pathology and potential targeting in therapeutic interventions.

Product protocols

For this product, it's our understanding that no specific protocols are required. You can visit:

Target data

Cytoplasmic E3 ubiquitin ligase that regulates various signaling pathways, such as the NF-kappa-B, mitogen-activated protein kinase (MAPK) and interferon regulatory factor (IRF) pathways, and thus controls a lot of biological processes in both immune and non-immune cell types (PubMed : 33148796, PubMed : 33608556). In TLR and RLR signaling pathways, acts as an E3 ubiquitin ligase promoting the synthesis of 'Lys-63'-linked polyubiquitin chains on several substrates such as ASC that lead to the activation of the type I interferon response or the inflammasome (PubMed : 25847972, PubMed : 27980081). Following the activation of certain TLRs such as TLR4, acts as a negative NF-kappa-B regulator, possibly to avoid unregulated inflammatory response, and its degradation via 'Lys-48'-linked polyubiquitination is required for MAPK activation and production of inflammatory cytokines. Alternatively, when TLR4 orchestrates bacterial expulsion, TRAF3 undergoes 'Lys-33'-linked polyubiquitination and subsequently binds to RALGDS, mobilizing the exocyst complex to rapidly expel intracellular bacteria back for clearance (PubMed : 27438768). Also acts as a constitutive negative regulator of the alternative NF-kappa-B pathway, which controls B-cell survival and lymphoid organ development. Required for normal antibody isotype switching from IgM to IgG. Plays a role T-cell dependent immune responses. Down-regulates proteolytic processing of NFKB2, and thereby inhibits non-canonical activation of NF-kappa-B. Promotes ubiquitination and proteasomal degradation of MAP3K14.
See full target information TRAF3

Publications (4)

Recent publications for all applications. Explore the full list and refine your search

Journal of biochemical and molecular toxicology 38:e23654 PubMed38348712

2024

FZD3 regulates the viability, apoptosis, and extracellular matrix degradation of vaginal wall fibroblasts in pelvic organ prolapse via the Wnt signaling pathway.

Applications

Unspecified application

Species

Unspecified reactive species

Jie Li,Junqin Zhang,Zhaoping Chu,Hua Han,Yuan Zhang

General physiology and biophysics 41:151-158 PubMed35416178

2022

TRAF3 plays a role in lupus nephritis by regulating Th17 cell and Treg cell balance as well as NF-κB signaling pathway in mice.

Applications

Unspecified application

Species

Unspecified reactive species

Xue-Qian Sun,Wen-Si Liu,Hui-Ming Zhang,Chun-Yan Xuan,Yue Wang,Bing-Bing Fu

Hepatology (Baltimore, Md.) 77:395-410 PubMed34995376

2022

TNF receptor-related factor 3 inactivation promotes the development of intrahepatic cholangiocarcinoma through NF-κB-inducing kinase-mediated hepatocyte transdifferentiation.

Applications

Unspecified application

Species

Unspecified reactive species

Yuto Shiode,Takahiro Kodama,Satoshi Shigeno,Kazuhiro Murai,Satoshi Tanaka,Justin Y Newberg,Jumpei Kondo,Shogo Kobayashi,Ryoko Yamada,Hayato Hikita,Ryotaro Sakamori,Hiroshi Suemizu,Tomohide Tatsumi,Hidetoshi Eguchi,Nancy A Jenkins,Neal G Copeland,Tetsuo Takehara

The American journal of pathology 190:1701-1712 PubMed32416098

2020

Tumor Necrosis Factor Receptor Associated Factor 3 Modulates Cartilage Degradation through Suppression of Interleukin 17 Signaling.

Applications

Unspecified application

Species

Unspecified reactive species

Guoli Hu,Ning Zhang,Jiao Li,Jing Wang,Wen Wu,Jing Li,Wenxue Tong,Xiaoying Zhao,Liming Dai,Xiaoling Zhang
View all publications

Product promise

We are committed to supporting your work with high-quality reagents, and we're here for you every step of the way. In the unlikely event that one of our products does not perform as expected, you're protected by our Product Promise.
For full details, please see our Terms & Conditions

Please note: All products are 'FOR RESEARCH USE ONLY. NOT FOR USE IN DIAGNOSTIC OR THERAPEUTIC PROCEDURES'.

For licensing inquiries, please contact partnerships@abcam.com