JavaScript is disabled in your browser. Please enable JavaScript to view this website.
AB190986

Anti-TRAF4 antibody - C-terminal

Be the first to review this product! Submit a review

|

(3 Publications)

Rabbit Polyclonal TRAF4 antibody. C-terminal. Suitable for IHC-P, WB and reacts with Rat, Human samples. Cited in 3 publications. Immunogen corresponding to Synthetic Peptide within Human TRAF4 aa 400 to C-terminus.

View Alternative Names

CART1, MLN62, RNF83, TRAF4, TNF receptor-associated factor 4, Cysteine-rich domain associated with RING and Traf domains protein 1, Metastatic lymph node gene 62 protein, RING finger protein 83, MLN 62

3 Images
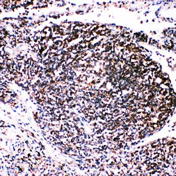
Immunohistochemistry (Formalin/PFA-fixed paraffin-embedded sections) - Anti-TRAF4 antibody - C-terminal (AB190986)
  • IHC-P

Supplier Data

Immunohistochemistry (Formalin/PFA-fixed paraffin-embedded sections) - Anti-TRAF4 antibody - C-terminal (AB190986)

Immunohistochemical analysis of formalin fixed paraffin embedded rat lymphonodus tissue labeling TRAF4 with ab190986 at 1 μg/ml.

Western blot - Anti-TRAF4 antibody - C-terminal (AB190986)
  • WB

Supplier Data

Western blot - Anti-TRAF4 antibody - C-terminal (AB190986)

All lanes:

Western blot - Anti-TRAF4 antibody - C-terminal (ab190986) at 0.5 µg/mL

Lane 1:

Rat thymus lysate

Lane 2:

HeLa lysate

Lane 3:

Jurkat lysate

Lane 4:

Hepa lysate

Predicted band size: 54 kDa

false

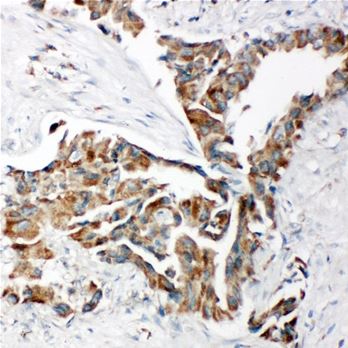
Immunohistochemistry (Formalin/PFA-fixed paraffin-embedded sections) - Anti-TRAF4 antibody - C-terminal (AB190986)
  • IHC-P

Supplier Data

Immunohistochemistry (Formalin/PFA-fixed paraffin-embedded sections) - Anti-TRAF4 antibody - C-terminal (AB190986)

Immunohistochemical analysis of formalin fixed paraffin embedded human lung cancer tissue labeling TRAF4 with ab190986 at 1 μg/ml.

Key facts

Host species

Rabbit

Clonality

Polyclonal

Isotype

IgG

Carrier free

No

Reacts with

Rat, Human

Applications

WB, IHC-P

applications

Immunogen

Synthetic Peptide within Human TRAF4 aa 400 to C-terminus. The exact immunogen used to generate this antibody is proprietary information.

Q9BUZ4

Reactivity data

{ "title": "Reactivity Data", "filters": { "stats": ["", "Species", "Dilution Info", "Notes"], "tabs": { "all-applications": {"fullname" : "All Applications", "shortname": "All Applications"}, "IHCP" : {"fullname" : "Immunohistochemistry (Formalin/PFA-fixed paraffin-embedded sections)", "shortname":"IHC-P"}, "WB" : {"fullname" : "Western blot", "shortname":"WB"} }, "product-promise": { "all": "all", "testedAndGuaranteed": "tested", "guaranteed": "expected", "predicted": "predicted", "notRecommended": "not-recommended" } }, "values": { "Human": { "IHCP-species-checked": "testedAndGuaranteed", "IHCP-species-dilution-info": "0.5-1 µg/mL", "IHCP-species-notes": "<p></p> Perform heat-mediated antigen retrieval before commencing with IHC staining protocol.", "WB-species-checked": "guaranteed", "WB-species-dilution-info": "", "WB-species-notes": "" }, "Mouse": { "IHCP-species-checked": "predicted", "IHCP-species-dilution-info": "", "IHCP-species-notes": "", "WB-species-checked": "predicted", "WB-species-dilution-info": "", "WB-species-notes": "" }, "Rat": { "IHCP-species-checked": "testedAndGuaranteed", "IHCP-species-dilution-info": "0.5-1 µg/mL", "IHCP-species-notes": "<p></p> Perform heat-mediated antigen retrieval before commencing with IHC staining protocol.", "WB-species-checked": "testedAndGuaranteed", "WB-species-dilution-info": "0.1-0.5 µg/mL", "WB-species-notes": "<p></p>" } } }

Properties and storage information

Form
Liquid
Purification technique
Affinity purification Immunogen
Storage buffer
Preservative: 0.025% Sodium azide, 0.025% Thimerosal (merthiolate) Constituents: 2.5% BSA, 0.45% Sodium chloride, 0.1% Disodium hydrogenorthophosphate
Shipped at conditions
Blue Ice
Appropriate short-term storage duration
1-2 weeks
Appropriate short-term storage conditions
+4°C
Appropriate long-term storage conditions
-20°C
Aliquoting information
Upon delivery aliquot
Storage information
Avoid freeze / thaw cycle

Supplementary information

This supplementary information is collated from multiple sources and compiled automatically.

TRAF4 also known as Tumor Necrosis Factor Receptor-Associated Factor 4 is a scaffold protein with a molecular weight of approximately 55 kDa. TRAF4 interacts with a variety of intracellular signaling molecules influencing signal transduction. It is expressed prominently in epithelial cells and the respiratory tract reflecting its involvement in tissue homeostasis and cell communication. The protein contains a conserved RING finger domain a novel zinc finger TRAF-type domain and a coiled-coil region which are essential for its function in protein-protein interactions.
Biological function summary

TRAF4 participates in the regulation of immune responses and development of epithelial tissues. This protein modulates signaling pathways by promoting or inhibiting the activation of transcription factors including NF-κB and AP-1 which are critical for the immune system's function. TRAF4 associates with various adapter proteins forming signaling complexes that influence cellular outcomes during immune responses. It also plays a role in the development and integrity of the respiratory epithelium highlighting its importance in maintaining epithelial barrier functions.

Pathways

TRAF4 integrates into the TNF receptor signaling pathway and the TGF-beta signaling pathway. In the TNF receptor pathway TRAF4 interacts with other TRAF family members mediating responses to inflammatory cytokines and regulating apoptosis. Within the TGF-beta pathway TRAF4 modulates signal transduction involving Smad proteins impacting cellular growth and differentiation. The protein's role within these pathways highlights its capacity to influence both immune responses and tissue homeostasis.

TRAF4 has associations with cancer progression and chronic inflammatory diseases. Altered expression levels of TRAF4 can contribute to tumorigenesis by affecting cell survival and proliferation involving interaction with proteins like NF-κB and TGF-beta receptors. In chronic inflammatory diseases TRAF4's dysregulation can exacerbate inflammation through pathways that involve interactions with cytokines and other TRAF family proteins. TRAF4 represents a potential target for therapeutic intervention aiming to modulate immune responses and ameliorate disease symptoms.

Product protocols

For this product, it's our understanding that no specific protocols are required. You can visit:

Target data

Adapter protein with E3 ligase activity that is involved in many diverse biological processes including cell proliferation, migration, differentiation, DNA repair, platelet activation or apoptosis (PubMed : 30352854, PubMed : 31076633, PubMed : 32268273, PubMed : 33991522). Promotes EGFR-mediated signaling by facilitating the dimerization of EGFR and downstream AKT activation thereby promoting cell proliferation (PubMed : 30352854). Ubiquitinates SMURF2 through 'Lys-48'-linked ubiquitin chain leading to SMURF2 degradation through the proteasome and subsequently osteogenic differentiation (PubMed : 31076633). Promotes 'Lys-63'-mediated ubiquitination of CHK1 which in turn activates cell cycle arrest and activation of DNA repair (PubMed : 32357935). In addition, promotes an atypical 'Lys-29'-linked ubiquitination at the C-terminal end of IRS1 which is crucial for insulin-like growth factor (IGF) signal transduction (PubMed : 33991522). Regulates activation of NF-kappa-B in response to signaling through Toll-like receptors. Required for normal skeleton development, and for normal development of the respiratory tract (By similarity). Required for activation of RPS6KB1 in response to TNF signaling. Modulates TRAF6 functions. Inhibits adipogenic differentiation by activating pyruvate kinase PKM activity and subsequently the beta-catenin signaling pathway (PubMed : 32268273).
See full target information TRAF4

Publications (3)

Recent publications for all applications. Explore the full list and refine your search

Cancer cell international 20:108 PubMed32280300

2020

YY1-induced lncRNA ZFPM2-AS1 facilitates cell proliferation and invasion in small cell lung cancer via upregulating of TRAF4.

Applications

Unspecified application

Species

Unspecified reactive species

Zhijun Yan,Qilian Yang,Min Xue,Sheng Wang,Weijun Hong,Xiwen Gao

International journal of oncology 53:286-296 PubMed29749456

2018

Role of the overexpression of TRAF4 in predicting the prognosis of intrahepatic cholangiocarcinoma.

Applications

Unspecified application

Species

Unspecified reactive species

Qiang Kang,Hao Zou,Lei Zhou,Li-Xin Liu,Jia-Bin Cai,Nan Xie,Wei-Hao Li,Chao Zhang,Wan-Hong Shi,Lian-Min Wang,Wei-Han Zhang,Hong Zhu,Shu-Fen Wang,Xiao-Wen Zhang

BMC cancer 16:882 PubMed27842582

2016

Leptin and insulin up-regulate miR-4443 to suppress NCOA1 and TRAF4, and decrease the invasiveness of human colon cancer cells.

Applications

WB

Species

Human

Ari Meerson,Hila Yehuda
View all publications

Product promise

We are committed to supporting your work with high-quality reagents, and we're here for you every step of the way. In the unlikely event that one of our products does not perform as expected, you're protected by our Product Promise.
For full details, please see our Terms & Conditions

Please note: All products are 'FOR RESEARCH USE ONLY. NOT FOR USE IN DIAGNOSTIC OR THERAPEUTIC PROCEDURES'.

For licensing inquiries, please contact partnerships@abcam.com