JavaScript is disabled in your browser. Please enable JavaScript to view this website.
AB218575

Anti-TRAF6 antibody [EP591Y] - BSA and Azide free

Be the first to review this product! Submit a review

|

(14 Publications)

Rabbit Recombinant Monoclonal TRAF6 antibody. Carrier free. Suitable for IHC-P, WB, Flow Cyt (Intra) and reacts with Human, Mouse, Rat samples. Cited in 14 publications.

View Alternative Names

RNF85, TRAF6, TNF receptor-associated factor 6, E3 ubiquitin-protein ligase TRAF6, Interleukin-1 signal transducer, RING finger protein 85, RING-type E3 ubiquitin transferase TRAF6

7 Images
Flow Cytometry (Intracellular) - Anti-TRAF6 antibody [EP591Y] - BSA and Azide free (AB218575)
  • Flow Cyt (Intra)

Unknown

Flow Cytometry (Intracellular) - Anti-TRAF6 antibody [EP591Y] - BSA and Azide free (AB218575)

Overlay histogram showing HAP1 wildtype (green line) and HAP1-TRAF6 knockout cells (red line) stained with ab33915. The cells were fixed with 4% formaldehyde (10 min) and then permeabilized with 0.1% PBS-Triton X-100 for 15 min. The cells were then incubated in 1x PBS / 10% normal goat serum to block non-specific protein-protein interactions followed by the antibody (ab33915, 0.1μg/ml) for 30 min at 22°C. The secondary antibody used was Alexa Fluor® 488 goat anti-rabbit IgG (H&L) preadsorbed (ab150081) at 1/2000 dilution for 30 min at 22°C. A rabbit IgG isotype control antibody (ab172730) was used at the same concentration and conditions as the primary antibody (HAP1 wildtype - black line, HAP1-TRAF6 knockout - grey line). Unlabelled sample was also used as a control (this line is not shown for the purpose of simplicity). Acquisition of >5,000 events were collected using a 50 mW Blue laser (488nm) and 530/30 bandpass filter.

This data was developed using the same antibody clone in a different buffer formulation containing PBS, BSA, glycerol, and sodium azide (ab33915).

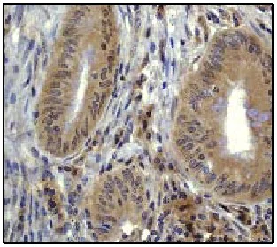
Immunohistochemistry (Formalin/PFA-fixed paraffin-embedded sections) - Anti-TRAF6 antibody [EP591Y] - BSA and Azide free (AB218575)
  • IHC-P

Unknown

Immunohistochemistry (Formalin/PFA-fixed paraffin-embedded sections) - Anti-TRAF6 antibody [EP591Y] - BSA and Azide free (AB218575)

This IHC data was generated using the same anti-TRAF6 antibody clone, EP591Y, in a different buffer formulation (cat# ab33915).

Immunohistochemical analysis of paraffin-embedded human colon adenocarcinoma using anti-TRAF6 (ab33915)

Perform heat mediated antigen retrieval with citrate buffer pH 6 before commencing with IHC staining protocol.

Flow Cytometry (Intracellular) - Anti-TRAF6 antibody [EP591Y] - BSA and Azide free (AB218575)
  • Flow Cyt (Intra)

AbReview22245****

Flow Cytometry (Intracellular) - Anti-TRAF6 antibody [EP591Y] - BSA and Azide free (AB218575)

ab33915 staining TRAF6 in Human platelet cells by intracellular flow cytometry.Cells were fixed in paraformaldehyde and permeabilized using 0.1% Triton-X-100 in 2% BSA for 15 minutes. Primary antibody used at a 1/200 dilution and incubated for 16 hours at 4°C. The secondary antibody used was an Alexa Fluor®488 conjugated chicken anti-rabbit IgG (H+L) at a 1/500 dilution.

P : permeabilized US : Unstained (Red Peak) IGG RB : IgG Rabbit (Blue Peak) TRAF6 Ab (Green Peak)This data was developed using the same antibody clone in a different buffer formulation containing PBS, BSA, glycerol, and sodium azide (ab33915).

This image is courtesy of an anonymous Abreview.

Flow Cytometry (Intracellular) - Anti-TRAF6 antibody [EP591Y] - BSA and Azide free (AB218575)
  • Flow Cyt (Intra)

Unknown

Flow Cytometry (Intracellular) - Anti-TRAF6 antibody [EP591Y] - BSA and Azide free (AB218575)

Intracellular Flow Cytometry analysis of Jurkat (human acute T cell leukemia) cells labeling TRAF6 with purified ab33915 at 1/240 dilution (10ug/ml) (red). Cells were fixed with 4% paraformaldehyde and permeabilised with 90% methanol. A Goat anti rabbit IgG (Alexa Fluor® 488) (1/2000 dilution) was used as the secondary antibody. Rabbit monoclonal IgG (Black) was used as the isotype control, cells without incubation with primary antibody and secondary antibody (Blue) was used as the unlabeled control.

This data was developed using the same antibody clone in a different buffer formulation containing PBS, BSA, glycerol, and sodium azide (ab33915).

Western blot - Anti-TRAF6 antibody [EP591Y] - BSA and Azide free (AB218575)
  • WB

Lab

Western blot - Anti-TRAF6 antibody [EP591Y] - BSA and Azide free (AB218575)

This data was developed using the same antibody clone in a different buffer formulation (ab33915).

Lanes 1- 4 : Merged signal (red and green). Green - ab33915 observed at 65 kDa. Red - Anti-GAPDH antibody [6C5] - Loading Control (ab8245) observed at 37 kDa.

ab33915 was shown to react with TRAF6 in wild-type HeLa cells in western blot. Loss of signal was observed when knockout cell line ab266009 (knockout cell lysate ab257760) was used. Wild-type HeLa and TRAF6 knockout HeLa cell lysates were subjected to SDS-PAGE. Membrane was blocked for 1 hour at room temperature in 0.1% TBST with 3% non-fat dried milk. ab33915 and Anti-GAPDH antibody [6C5] - Loading Control (ab8245) overnight at 4°C at a 1 in 2000 dilution and a 1 in 20000 dilution respectively. Blots were developed with Goat anti-Rabbit IgG H&L (IRDye®800CW) preadsorbed (ab216773) and Goat anti-Mouse IgG H&L (IRDye®680RD) preadsorbed (ab216776) secondary antibodies at 1 in 20000 dilution for 1 hour at room temperature before imaging.

All lanes:

Western blot - Anti-TRAF6 antibody [EP591Y] (<a href='/en-us/products/primary-antibodies/traf6-antibody-ep591y-ab33915'>ab33915</a>) at 1/2000 dilution

Lane 1:

Wild-type HeLa cell lysate at 20 µg

Lane 2:

TRAF6 knockout HeLa cell lysate at 20 µg

Lane 2:

Western blot - Human TRAF6 knockout HeLa cell line (<a href='/en-us/products/cell-lines/human-traf6-knockout-hela-cell-line-ab266009'>ab266009</a>)

Lane 3:

HAP1 cell lysate at 20 µg

Lane 4:

Daudi cell lysate at 20 µg

Predicted band size: 60 kDa

Observed band size: 65 kDa

false

Western blot - Anti-TRAF6 antibody [EP591Y] - BSA and Azide free (AB218575)
  • WB

Unknown

Western blot - Anti-TRAF6 antibody [EP591Y] - BSA and Azide free (AB218575)

This WB data was generated using the same anti-TRAF6 antibody clone, EP591Y, in a different buffer formulation (cat# ab33915).

Lane 1 : Wild type HAP1 whole cell lysate (20 μg)
Lane 2 : TRAF6 knockout HAP1 whole cell lysate (20 μg)
Lane 3 : HeLa whole cell lysate (20 μg)
Lane 4 : HEK293 whole cell lysate (20 μg)

Lanes 1 - 4 : Merged signal (red and green). Green - ab33915 observed at 65 kDa. Red - loading control, ab8245, observed at 37 kDa.

ab33915 was shown to specifically react with TRAF6 in wild-type cells as signal was lost in TRAF6 knockout HAP1 cells. Wild-type and TRAF6 knockout samples were subjected to SDS-PAGE. ab33915 and ab8245 (Mouse anti GAPDH loading control) were incubated overnight at 4°C at 2000 dilution and 1/10000 dilution respectively. Blots were developed with Goat anti-Rabbit IgG H&L (IRDye® 800CW) preabsorbed ab216773 and Goat anti-Mouse IgG H&L (IRDye® 680RD) preabsorbed ab216776 secondary antibodies at 1/10000 dilution for 1 hour at room temperature before imaging

All lanes:

Western blot - Anti-TRAF6 antibody [EP591Y] (<a href='/en-us/products/primary-antibodies/traf6-antibody-ep591y-ab33915'>ab33915</a>)

Predicted band size: 60 kDa

false

Western blot - Anti-TRAF6 antibody [EP591Y] - BSA and Azide free (AB218575)
  • WB

CiteAb

Western blot - Anti-TRAF6 antibody [EP591Y] - BSA and Azide free (AB218575)

TRAF6 western blot using anti-TRAF6 antibody [EP591Y] - BSA and Azide free ab218575. Publication image and figure legend from Casella, C. R. & Mitchell, T. C., 2013, PLoS One, PubMed 23638128.

ab218575 was used in this publication in western blot. This may not be the same as the application(s) guaranteed by Abcam. For a full list of applications guaranteed by Abcam for ab218575 please see the product overview.

Reduced MyD88-associated signaling by sMLA.Mouse BMDC were treated with 100 ng/ml sMLA or sDLA for the indicated times, lysed and either immunoblots (A,C) or immunoprecipitation (B) were performed on the lysates. A) Immunoblots were probed for IRAK1 and β-actin. A representative gel is depicted with a graph that shows the mean +/- SEM from 5 experiments in which IRAK1 levels were normalized to β-actin levels and vehicle control (VC, measured at 15 min.). B) Lysates were immunoprecipitated with IRAK1 antibodies and immunoblotted with antibodies for TRAF6 and IRAK1. The graph shows mean +/- SEM from 8 experiments with at least 5 data points per time point. TRAF6 levels were normalized based on IRAK1 levels and VC (5 min. time point). C) Left, Immunoblots were probed for phosphoERK 1/2 (Thr202/Tyr204), stripped and re-probed for ERK total, then β-actin. Shown are the mean +/- SEM from 5 experiments with levels of pERK1/2 normalized to ERK total and VC (15 min. time point). Right, immunoblots were probed for IκBα stripped and probed for β-actin. Shown are the mean +/- SEM from 4 experiments with levels of IκBα normalized to β-actin and VC (5 min. time point). Two way ANOVAs with Sidak's multiple comparisons were performed for A and C and two tailed paired T test for B. Asterisks indicate a significant differences between sMLA and sDLA at the indicated time points with * p<0.05, ** p<0.01 and, **** p<0.001, respectively.

false

Key facts

Host species

Rabbit

Clonality

Monoclonal

Clone number

EP591Y

Isotype

IgG

Carrier free

Yes

Reacts with

Mouse, Rat, Human

Applications

Flow Cyt (Intra), IHC-P, WB

applications

Immunogen

The exact immunogen used to generate this antibody is proprietary information.

Specificity

This antibody is unsuitable for detecting TRAF6 in tissue lysates.

Reactivity data

{ "title": "Reactivity Data", "filters": { "stats": ["", "Species", "Dilution Info", "Notes"], "tabs": { "all-applications": {"fullname" : "All Applications", "shortname": "All Applications"}, "IHCP" : {"fullname" : "Immunohistochemistry (Formalin/PFA-fixed paraffin-embedded sections)", "shortname":"IHC-P"}, "IP" : {"fullname" : "Immunoprecipitation", "shortname":"IP"}, "WB" : {"fullname" : "Western blot", "shortname":"WB"}, "FlowCytIntra" : {"fullname" : "Flow Cytometry (Intracellular)", "shortname":"Flow Cyt (Intra)"} }, "product-promise": { "all": "all", "testedAndGuaranteed": "tested", "guaranteed": "expected", "predicted": "predicted", "notRecommended": "not-recommended" } }, "values": { "Human": { "IHCP-species-checked": "testedAndGuaranteed", "IHCP-species-dilution-info": "", "IHCP-species-notes": "<p></p>", "IP-species-checked": "notRecommended", "IP-species-dilution-info": "", "IP-species-notes": "<p></p>", "WB-species-checked": "testedAndGuaranteed", "WB-species-dilution-info": "", "WB-species-notes": "<p></p>", "FlowCytIntra-species-checked": "testedAndGuaranteed", "FlowCytIntra-species-dilution-info": "", "FlowCytIntra-species-notes": "<p><a href='/en-us/products/primary-antibodies/rabbit-igg-monoclonal-epr25a-isotype-control-low-endotoxin-azide-free-ab199376'>ab199376</a>- Rabbit monoclonal IgG, is suitable for use as an isotype control with this antibody.</p>" }, "Mouse": { "IHCP-species-checked": "guaranteed", "IHCP-species-dilution-info": "", "IHCP-species-notes": "", "IP-species-checked": "notRecommended", "IP-species-dilution-info": "", "IP-species-notes": "<p></p>", "WB-species-checked": "testedAndGuaranteed", "WB-species-dilution-info": "", "WB-species-notes": "<p></p>", "FlowCytIntra-species-checked": "guaranteed", "FlowCytIntra-species-dilution-info": "", "FlowCytIntra-species-notes": "" }, "Rat": { "IHCP-species-checked": "guaranteed", "IHCP-species-dilution-info": "", "IHCP-species-notes": "", "IP-species-checked": "notRecommended", "IP-species-dilution-info": "", "IP-species-notes": "<p></p>", "WB-species-checked": "testedAndGuaranteed", "WB-species-dilution-info": "", "WB-species-notes": "<p></p>", "FlowCytIntra-species-checked": "guaranteed", "FlowCytIntra-species-dilution-info": "", "FlowCytIntra-species-notes": "" }, "Zebrafish": { "IHCP-species-checked": "predicted", "IHCP-species-dilution-info": "", "IHCP-species-notes": "", "IP-species-checked": "notRecommended", "IP-species-dilution-info": "", "IP-species-notes": "", "WB-species-checked": "predicted", "WB-species-dilution-info": "", "WB-species-notes": "", "FlowCytIntra-species-checked": "predicted", "FlowCytIntra-species-dilution-info": "", "FlowCytIntra-species-notes": "" } } }

Product details

ab218575 is the carrier-free version of ab33915.

Patented technology
Our RabMAb® technology is a patented hybridoma-based technology for making rabbit monoclonal antibodies. For details on our patents, please refer to RabMAb® patents.

What are the advantages of a recombinant monoclonal antibody?
This product is a recombinant monoclonal antibody, which offers several advantages including:

  • - High batch-to-batch consistency and reproducibility
  • - Improved sensitivity and specificity
  • - Long-term security of supply
  • - Animal-free batch production

For more information, read more on recombinant antibodies.

Conjugation ready
Our carrier-free antibodies are typically supplied in a PBS-only formulation, purified and free of BSA, sodium azide and glycerol. This conjugation-ready format is designed for use with fluorochromes, metal isotopes, oligonucleotides, and enzymes, which makes them ideal for antibody labelling, functional and cell-based assays, flow-based assays (e.g. mass cytometry) and Multiplex Imaging applications.

Use our conjugation kits for antibody conjugates that are ready-to-use in as little as 20 minutes with 1 minute hands-on-time and 100% antibody recovery: available for fluorescent dyes, HRP, biotin and gold.

Compatibility
This product is compatible with the Maxpar® Antibody Labeling Kit from Fluidigm, without the need for antibody preparation. Maxpar® is a trademark of Fluidigm Canada Inc.

Properties and storage information

Form
Liquid
Purification technique
Affinity purification Protein A
Storage buffer
pH: 7.2 - 7.4 Constituents: PBS
Shipped at conditions
Blue Ice
Appropriate short-term storage conditions
+4°C
Appropriate long-term storage conditions
+4°C
Storage information
Do Not Freeze

Supplementary information

This supplementary information is collated from multiple sources and compiled automatically.

TRAF6 also known as TNF receptor-associated factor 6 is an E3 ubiquitin ligase that is part of the TRAF family. It has a molecular mass of approximately 60 kDa. TRAF6 is ubiquitously expressed in many types of tissues and cells including immune cells like macrophages and dendritic cells. Its primary role is to mediate signal transduction from members of the TNF receptor and Toll-like receptor (TLR) families which it achieves through polyubiquitination of target proteins. This process facilitates the recruitment of downstream signaling components necessary for cellular responses.
Biological function summary

TRAF6 plays a critical role in regulating immune and inflammatory responses. It acts within a complex often associating with other signaling proteins such as IRAK1 and TAK1 to activate downstream kinases like IKK and JNK. These signaling pathways lead to the activation of transcription factors such as NF-kB and AP-1 which regulate the expression of genes involved in inflammation and immune responses. TRAF6 is an important modulator of adaptive and innate immunity influencing both the maturation of immune cells and the body's response to infection.

Pathways

TRAF6 significantly contributes to the NF-kB and MAPK signaling pathways. In the NF-kB pathway TRAF6 mediates signal transduction following TLR engagement interacting with proteins such as MyD88 and RIP1 to drive inflammatory cytokine production. In the MAPK pathway it associates predominantly with TAK1 to facilitate the phosphorylation and activation of downstream kinases. These pathways are essential for transmitting signals from cell surface receptors to the nucleus controlling the magnitude of immune signaling and cellular stress responses.

TRAF6 has a significant association with autoimmune diseases and certain cancers. In autoimmune disorders aberrant activation of TRAF6 can lead to prolonged inflammation and detrimental immune responses. For cancers TRAF6 is linked to tumor progression and metastasis acting alongside proteins like IRAK1 and RIP1 which can further promote malignancy through chronic inflammation and immune evasion. Understanding TRAF6's role in these diseases provides insights that could lead to targeted therapeutic strategies.

Product protocols

For this product, it's our understanding that no specific protocols are required. You can visit:

Target data

E3 ubiquitin ligase that, together with UBE2N and UBE2V1, mediates the synthesis of 'Lys-63'-linked-polyubiquitin chains conjugated to proteins, such as ECSIT, IKBKG, IRAK1, AKT1 and AKT2 (PubMed : 11057907, PubMed : 18347055, PubMed : 19465916, PubMed : 19713527, PubMed : 31620128). Also mediates ubiquitination of free/unanchored polyubiquitin chain that leads to MAP3K7 activation (PubMed : 19675569). Leads to the activation of NF-kappa-B and JUN (PubMed : 16378096, PubMed : 17135271, PubMed : 17703191). Seems to also play a role in dendritic cells (DCs) maturation and/or activation (By similarity). Represses c-Myb-mediated transactivation, in B-lymphocytes (PubMed : 18093978, PubMed : 18758450). Adapter protein that seems to play a role in signal transduction initiated via TNF receptor, IL-1 receptor and IL-17 receptor (PubMed : 12140561, PubMed : 19825828, PubMed : 8837778). Regulates osteoclast differentiation by mediating the activation of adapter protein complex 1 (AP-1) and NF-kappa-B, in response to RANK-L stimulation (By similarity). Together with MAP3K8, mediates CD40 signals that activate ERK in B-cells and macrophages, and thus may play a role in the regulation of immunoglobulin production (By similarity). Participates also in the TCR signaling by ubiquitinating LAT (PubMed : 23514740, PubMed : 25907557).
See full target information TRAF6

Publications (14)

Recent publications for all applications. Explore the full list and refine your search

Frontiers in pharmacology 12:709604 PubMed34489703

2021

Dehydrocorydaline Protects Against Sepsis-Induced Myocardial Injury Through Modulating the TRAF6/NF-κB Pathway.

Applications

Unspecified application

Species

Unspecified reactive species

Yadong Li,Li Zhang,Ping Zhang,Zhiying Hao

Cellular immunology 353:104115 PubMed32388054

2020

TAK1 lessens the activity of the paracaspase MALT1 during T cell receptor signaling.

Applications

Unspecified application

Species

Unspecified reactive species

Carolina Alves Nicolau,Julie Gavard,Nicolas Bidère

Nature communications 7:11292 PubMed27068814

2016

Alternative splicing of MALT1 controls signalling and activation of CD4(+) T cells.

Applications

Unspecified application

Species

Mouse

Isabel Meininger,Richard A Griesbach,Desheng Hu,Torben Gehring,Thomas Seeholzer,Arianna Bertossi,Jan Kranich,Andrea Oeckinghaus,Andrea C Eitelhuber,Ute Greczmiel,Andreas Gewies,Marc Schmidt-Supprian,Jürgen Ruland,Thomas Brocker,Vigo Heissmeyer,Florian Heyd,Daniel Krappmann

Archives of biochemistry and biophysics 567:13-21 PubMed25575785

2015

Endurance training prevents TWEAK but not myostatin-mediated cardiac remodelling in cancer cachexia.

Applications

Unspecified application

Species

Unspecified reactive species

Ana Isabel Padrão,Daniel Moreira-Gonçalves,Paula A Oliveira,Catarina Teixeira,Ana I Faustino-Rocha,Luísa Helguero,Rui Vitorino,Lúcio Lara Santos,Francisco Amado,José Alberto Duarte,Rita Ferreira

PloS one 9:e104323 PubMed25116007

2014

Activation of nuclear factor kappa B in the hepatic stellate cells of mice with schistosomiasis japonica.

Applications

WB

Species

Mouse

Xing He,Guangbin Pu,Rui Tang,Dongmei Zhang,Weiqing Pan

Blood cancer journal 4:e183 PubMed24531446

2014

Activation of TAK1 by MYD88 L265P drives malignant B-cell Growth in non-Hodgkin lymphoma.

Applications

WB

Species

Human

S M Ansell,L S Hodge,F J Secreto,M Manske,E Braggio,T Price-Troska,S Ziesmer,Y Li,S H Johnson,S N Hart,J-P A Kocher,G Vasmatzis,A Chanan-Kahn,M Gertz,R Fonseca,A Dogan,J R Cerhan,A J Novak

PloS one 8:e62622 PubMed23638128

2013

Inefficient TLR4/MD-2 heterotetramerization by monophosphoryl lipid A.

Applications

WB

Species

Mouse

Carolyn R Casella,Thomas C Mitchell

The international journal of biochemistry & cell b 45:1399-409 PubMed23608519

2013

Bladder cancer-induced skeletal muscle wasting: disclosing the role of mitochondria plasticity.

Applications

Unspecified application

Species

Unspecified reactive species

Ana Isabel Padrão,Paula Oliveira,Rui Vitorino,Bruno Colaço,Maria João Pires,Marcela Márquez,Enrique Castellanos,Maria João Neuparth,Catarina Teixeira,Céu Costa,Daniel Moreira-Gonçalves,Sónia Cabral,José Alberto Duarte,Lúcio Lara Santos,Francisco Amado,Rita Ferreira

Nature immunology 13:981-90 PubMed22842344

2012

OX40 signaling favors the induction of T(H)9 cells and airway inflammation.

Applications

Unspecified application

Species

Unspecified reactive species

Xiang Xiao,Savithri Balasubramanian,Wentao Liu,Xiufeng Chu,Haibin Wang,Elizabeth J Taparowsky,Yang-Xin Fu,Yongwon Choi,Matthew C Walsh,Xian Chang Li

Biomaterials 33:6559-69 PubMed22704844

2012

Simultaneous induction of autophagy and toll-like receptor signaling pathways by graphene oxide.

Applications

Flow Cyt, ICC/IF

Species

Mouse, Mouse

Guan-Yu Chen,Hong-Jie Yang,Chia-Hsin Lu,Yu-Chan Chao,Shiaw-Min Hwang,Chiu-Ling Chen,Kai-Wei Lo,Li-Yu Sung,Wen-Yi Luo,Hsing-Yu Tuan,Yu-Chen Hu
View all publications

Product promise

We are committed to supporting your work with high-quality reagents, and we're here for you every step of the way. In the unlikely event that one of our products does not perform as expected, you're protected by our Product Promise.
For full details, please see our Terms & Conditions

Please note: All products are 'FOR RESEARCH USE ONLY. NOT FOR USE IN DIAGNOSTIC OR THERAPEUTIC PROCEDURES'.

For licensing inquiries, please contact partnerships@abcam.com