JavaScript is disabled in your browser. Please enable JavaScript to view this website.
AB227560

Anti-TRAF6 antibody [EP592Y] - BSA and Azide free

Be the first to review this product! Submit a review

|

(14 Publications)

Rabbit Recombinant Monoclonal TRAF6 antibody. Carrier free. Suitable for WB, ICC/IF, IHC-P and reacts with Mouse, Rat, Human samples. Cited in 14 publications.

View Alternative Names

RNF85, TRAF6, TNF receptor-associated factor 6, E3 ubiquitin-protein ligase TRAF6, Interleukin-1 signal transducer, RING finger protein 85, RING-type E3 ubiquitin transferase TRAF6

6 Images
Immunocytochemistry/ Immunofluorescence - Anti-TRAF6 antibody [EP592Y] - BSA and Azide free (AB227560)
  • ICC/IF

Unknown

Immunocytochemistry/ Immunofluorescence - Anti-TRAF6 antibody [EP592Y] - BSA and Azide free (AB227560)

Immunocytochemistry/Immunofluorescence analysis of HeLa cells labelling TRAF6 with unpurified ab40675 at 1/250.

This data was developed using the same antibody clone in a different buffer formulation containing PBS, BSA, glycerol, and sodium azide (ab40675).

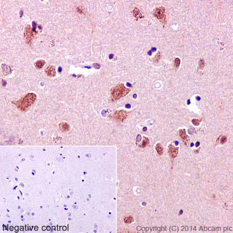
Immunohistochemistry (Formalin/PFA-fixed paraffin-embedded sections) - Anti-TRAF6 antibody [EP592Y] - BSA and Azide free (AB227560)
  • IHC-P

Unknown

Immunohistochemistry (Formalin/PFA-fixed paraffin-embedded sections) - Anti-TRAF6 antibody [EP592Y] - BSA and Azide free (AB227560)

This IHC data was generated using the same anti-TRAF6 antibody clone, EP592Y, in a different buffer formulation (cat# ab40675).

Immunohistochemistry (Formalin/PFA-fixed paraffin-embedded sections) analysis of human cerebral cortex tissue labelling TRAF6 with purified ab40675 at 1/50. Heat mediated antigen retrieval was performed using Tris/EDTA buffer pH 9. ab97051, a HRP-conjugated goat anti-rabbit IgG (H+L) was used as the secondary antibody (1/500). Negative control using PBS instead of primary antibody. Counterstained with hematoxylin.

Immunocytochemistry/ Immunofluorescence - Anti-TRAF6 antibody [EP592Y] - BSA and Azide free (AB227560)
  • ICC/IF

Unknown

Immunocytochemistry/ Immunofluorescence - Anti-TRAF6 antibody [EP592Y] - BSA and Azide free (AB227560)

Immunocytochemistry/Immunofluorescence analysis of HeLa cells labelling TRAF6 with purified ab40675 at 1/50. Cells were fixed with 4% paraformaldehyde and permeabilized with 0.1% Triton X-100. ab150077, an Alexa Fluor® 488-conjugated goat anti-rabbit IgG (1/500) was used as the secondary antibody. DAPI (blue) was used as the nuclear counterstain.

Control : primary antibody (1/50) and secondary antibody, ab150120, an Alexa Fluor® 594-conjugated goat anti-mouse IgG (1/500).

This data was developed using the same antibody clone in a different buffer formulation containing PBS, BSA, glycerol, and sodium azide (ab40675).

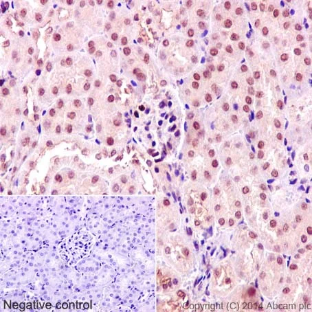
Immunohistochemistry (Formalin/PFA-fixed paraffin-embedded sections) - Anti-TRAF6 antibody [EP592Y] - BSA and Azide free (AB227560)
  • IHC-P

Unknown

Immunohistochemistry (Formalin/PFA-fixed paraffin-embedded sections) - Anti-TRAF6 antibody [EP592Y] - BSA and Azide free (AB227560)

Immunohistochemistry (Formalin/PFA-fixed paraffin-embedded sections) analysis of mouse kidney tissue labelling TRAF6 with purified ab40675 at 1/50. Heat mediated antigen retrieval was performed using Tris/EDTA buffer pH 9. ab97051, a HRP-conjugated goat anti-rabbit IgG (H+L) was used as the secondary antibody (1/500). Negative control using PBS instead of primary antibody. Counterstained with hematoxylin.

This data was developed using the same antibody clone in a different buffer formulation containing PBS, BSA, glycerol, and sodium azide (ab40675).

Western blot - Anti-TRAF6 antibody [EP592Y] - BSA and Azide free (AB227560)
  • WB

Lab

Western blot - Anti-TRAF6 antibody [EP592Y] - BSA and Azide free (AB227560)

This data was developed using the same antibody clone in a different buffer formulation (ab40675).

Lanes 1- 4 : Merged signal (red and green). Green - ab40675 observed at 65 kDa. Red - Anti-GAPDH antibody [6C5] - Loading Control (ab8245) observed at 37 kDa.

ab40675 was shown to react with TRAF6 in wild-type HeLa cells in western blot. Loss of signal was observed when knockout cell line ab266009 (knockout cell lysate ab257760) was used. Wild-type HeLa and TRAF6 knockout HeLa cell lysates were subjected to SDS-PAGE. Membrane was blocked for 1 hour at room temperature in 0.1% TBST with 3% non-fat dried milk. ab40675 and Anti-GAPDH antibody [6C5] - Loading Control (ab8245) overnight at 4°C at a 1 in 500 dilution and a 1 in 20000 dilution respectively. Blots were developed with Goat anti-Rabbit IgG H&L (IRDye®800CW) preadsorbed (ab216773) and Goat anti-Mouse IgG H&L (IRDye®680RD) preadsorbed (ab216776) secondary antibodies at 1 in 20000 dilution for 1 hour at room temperature before imaging.

All lanes:

Western blot - Anti-TRAF6 antibody [EP592Y] (<a href='/en-us/products/primary-antibodies/traf6-antibody-ep592y-ab40675'>ab40675</a>) at 1/500 dilution

Lane 1:

Wild-type HeLa cell lysate at 20 µg

Lane 2:

TRAF6 knockout HeLa cell lysate at 20 µg

Lane 2:

Western blot - Human TRAF6 knockout HeLa cell line (<a href='/en-us/products/cell-lines/human-traf6-knockout-hela-cell-line-ab266009'>ab266009</a>)

Lane 3:

HAP1 cell lysate at 20 µg

Lane 4:

Daudi cell lysate at 20 µg

Predicted band size: 60 kDa

Observed band size: 65 kDa

false

Western blot - Anti-TRAF6 antibody [EP592Y] - BSA and Azide free (AB227560)
  • WB

Unknown

Western blot - Anti-TRAF6 antibody [EP592Y] - BSA and Azide free (AB227560)

This WB data was generated using the same anti-TRAF6 antibody clone, EP592Y, in a different buffer formulation (cat# ab40675).

Lane 1 : Wild type HAP1 whole cell lysate (20 μg)
Lane 2 : TRAF6 knockout HAP1 whole cell lysate (20 μg)
Lane 3 : HeLa whole cell lysate (20 μg)
Lane 4 : HEK293 whole cell lysate (20 μg)

Lanes 1 - 4 : Merged signal (red and green). Green - ab40675 observed at 65 kDa. Red - loading control, ab8245, observed at 37 kDa.

ab40675 was shown to specifically react with TRAF6 in wild-type cells, along with additional cross-reactive bands as signal was lost in TRAF6 knockout HAP1 cells. Wild-type and TRAF6 knockout samples were subjected to SDS-PAGE. ab40675 and ab8245 (Mouse anti GAPDH loading control) were incubated overnight at 4°C at 1/500 dilution and 1/10000 dilution respectively. Blots were developed with Goat anti-Rabbit IgG H&L (IRDye® 800CW) preabsorbed ab216773 and Goat anti-Mouse IgG H&L (IRDye® 680RD) preabsorbed ab216776 secondary antibodies at 1/10000 dilution for 1 hour at room temperature before imaging.

All lanes:

Western blot - Anti-TRAF6 antibody [EP592Y] - BSA and Azide free (ab227560)

Predicted band size: 60 kDa

false

Key facts

Host species

Rabbit

Clonality

Monoclonal

Clone number

EP592Y

Isotype

IgG

Carrier free

Yes

Reacts with

Mouse, Rat, Human

Applications

WB, ICC/IF, IHC-P

applications

Immunogen

The exact immunogen used to generate this antibody is proprietary information.

Specificity

This antibody is unsuitable for detecting tissue lysates in WB application.

Reactivity data

{ "title": "Reactivity Data", "filters": { "stats": ["", "Species", "Dilution Info", "Notes"], "tabs": { "all-applications": {"fullname" : "All Applications", "shortname": "All Applications"}, "WB" : {"fullname" : "Western blot", "shortname":"WB"}, "ICCIF" : {"fullname" : "Immunocytochemistry/ Immunofluorescence", "shortname":"ICC/IF"}, "IHCP" : {"fullname" : "Immunohistochemistry (Formalin/PFA-fixed paraffin-embedded sections)", "shortname":"IHC-P"} }, "product-promise": { "all": "all", "testedAndGuaranteed": "tested", "guaranteed": "expected", "predicted": "predicted", "notRecommended": "not-recommended" } }, "values": { "Human": { "WB-species-checked": "testedAndGuaranteed", "WB-species-dilution-info": "", "WB-species-notes": "<p></p>", "ICCIF-species-checked": "testedAndGuaranteed", "ICCIF-species-dilution-info": "", "ICCIF-species-notes": "<p></p>", "IHCP-species-checked": "guaranteed", "IHCP-species-dilution-info": "", "IHCP-species-notes": "" }, "Mouse": { "WB-species-checked": "testedAndGuaranteed", "WB-species-dilution-info": "", "WB-species-notes": "<p></p>", "ICCIF-species-checked": "guaranteed", "ICCIF-species-dilution-info": "", "ICCIF-species-notes": "", "IHCP-species-checked": "testedAndGuaranteed", "IHCP-species-dilution-info": "", "IHCP-species-notes": "<p></p>" }, "Rat": { "WB-species-checked": "testedAndGuaranteed", "WB-species-dilution-info": "", "WB-species-notes": "<p></p>", "ICCIF-species-checked": "guaranteed", "ICCIF-species-dilution-info": "", "ICCIF-species-notes": "", "IHCP-species-checked": "guaranteed", "IHCP-species-dilution-info": "", "IHCP-species-notes": "" } } }

Product details

ab227560 is the carrier-free version of ab40675.

Conjugation ready
Our carrier-free antibodies are typically supplied in a PBS-only formulation, purified and free of BSA, sodium azide and glycerol. This conjugation-ready format is designed for use with fluorochromes, metal isotopes, oligonucleotides, and enzymes, which makes them ideal for antibody labelling, functional and cell-based assays, flow-based assays (e.g. mass cytometry) and Multiplex Imaging applications.

Use our conjugation kits for antibody conjugates that are ready-to-use in as little as 20 minutes with 1 minute hands-on-time and 100% antibody recovery: available for fluorescent dyes, HRP, biotin and gold.

Compatibility
This product is compatible with the Maxpar® Antibody Labeling Kit from Fluidigm, without the need for antibody preparation. Maxpar® is a trademark of Fluidigm Canada Inc.

Properties and storage information

Form
Liquid
Purification technique
Affinity purification Protein A
Storage buffer
pH: 7.2 - 7.4 Constituents: PBS
Shipped at conditions
Blue Ice
Appropriate short-term storage conditions
+4°C
Appropriate long-term storage conditions
+4°C
Storage information
Do Not Freeze

Supplementary information

This supplementary information is collated from multiple sources and compiled automatically.

TRAF6 also known as TNF receptor-associated factor 6 is an E3 ubiquitin ligase that is part of the TRAF family. It has a molecular mass of approximately 60 kDa. TRAF6 is ubiquitously expressed in many types of tissues and cells including immune cells like macrophages and dendritic cells. Its primary role is to mediate signal transduction from members of the TNF receptor and Toll-like receptor (TLR) families which it achieves through polyubiquitination of target proteins. This process facilitates the recruitment of downstream signaling components necessary for cellular responses.
Biological function summary

TRAF6 plays a critical role in regulating immune and inflammatory responses. It acts within a complex often associating with other signaling proteins such as IRAK1 and TAK1 to activate downstream kinases like IKK and JNK. These signaling pathways lead to the activation of transcription factors such as NF-kB and AP-1 which regulate the expression of genes involved in inflammation and immune responses. TRAF6 is an important modulator of adaptive and innate immunity influencing both the maturation of immune cells and the body's response to infection.

Pathways

TRAF6 significantly contributes to the NF-kB and MAPK signaling pathways. In the NF-kB pathway TRAF6 mediates signal transduction following TLR engagement interacting with proteins such as MyD88 and RIP1 to drive inflammatory cytokine production. In the MAPK pathway it associates predominantly with TAK1 to facilitate the phosphorylation and activation of downstream kinases. These pathways are essential for transmitting signals from cell surface receptors to the nucleus controlling the magnitude of immune signaling and cellular stress responses.

TRAF6 has a significant association with autoimmune diseases and certain cancers. In autoimmune disorders aberrant activation of TRAF6 can lead to prolonged inflammation and detrimental immune responses. For cancers TRAF6 is linked to tumor progression and metastasis acting alongside proteins like IRAK1 and RIP1 which can further promote malignancy through chronic inflammation and immune evasion. Understanding TRAF6's role in these diseases provides insights that could lead to targeted therapeutic strategies.

Product protocols

For this product, it's our understanding that no specific protocols are required. You can visit:

Target data

E3 ubiquitin ligase that, together with UBE2N and UBE2V1, mediates the synthesis of 'Lys-63'-linked-polyubiquitin chains conjugated to proteins, such as ECSIT, IKBKG, IRAK1, AKT1 and AKT2 (PubMed : 11057907, PubMed : 18347055, PubMed : 19465916, PubMed : 19713527, PubMed : 31620128). Also mediates ubiquitination of free/unanchored polyubiquitin chain that leads to MAP3K7 activation (PubMed : 19675569). Leads to the activation of NF-kappa-B and JUN (PubMed : 16378096, PubMed : 17135271, PubMed : 17703191). Seems to also play a role in dendritic cells (DCs) maturation and/or activation (By similarity). Represses c-Myb-mediated transactivation, in B-lymphocytes (PubMed : 18093978, PubMed : 18758450). Adapter protein that seems to play a role in signal transduction initiated via TNF receptor, IL-1 receptor and IL-17 receptor (PubMed : 12140561, PubMed : 19825828, PubMed : 8837778). Regulates osteoclast differentiation by mediating the activation of adapter protein complex 1 (AP-1) and NF-kappa-B, in response to RANK-L stimulation (By similarity). Together with MAP3K8, mediates CD40 signals that activate ERK in B-cells and macrophages, and thus may play a role in the regulation of immunoglobulin production (By similarity). Participates also in the TCR signaling by ubiquitinating LAT (PubMed : 23514740, PubMed : 25907557).
See full target information TRAF6

Publications (14)

Recent publications for all applications. Explore the full list and refine your search

Nutrients 15: PubMed36771450

2023

Extract Alleviates Bone Loss in Ovariectomized Rats-The Involvement of ROS and Its Associated Signalings.

Applications

Unspecified application

Species

Unspecified reactive species

Geum-Hwa Lee,The-Hiep Hoang,Hwa-Young Lee,Young-Je Lim,Ji-Hyun Kim,Su-Jin Jung,Soo-Wan Chae,Mohammad Mamun Ur Rashid,Han-Jung Chae,Sun-Jung Yoon

Environmental toxicology 38:253-265 PubMed36350155

2022

Apigenin attenuates inflammatory response in allergic rhinitis mice by inhibiting the TLR4/MyD88/NF-κB signaling pathway.

Applications

Unspecified application

Species

Unspecified reactive species

Huajing Li,Hongmei Zhang,Hua Zhao

Experimental and therapeutic medicine 22:1373 PubMed34659519

2021

MicroRNA-602 prevents the development of inflammatory bowel diseases in a microbiota-dependent manner.

Applications

Unspecified application

Species

Unspecified reactive species

Song Zhao,Lei Zhu,Wan Feng,Lu Zhang,Dan-Dan Chen,Yu-Cui Hu,Hong Shen

Folia neuropathologica 59:50-66 PubMed33969677

2021

Inhibition of ASC enhances the protective role of salvianolic acid A in traumatic brain injury via inhibition of inflammation and recovery of mitochondrial function.

Applications

Unspecified application

Species

Unspecified reactive species

Jing Wang,Chao Xu,Kunhu Zhang,Jianjun Shi,Zhenyang Liu,Xinxing Wang,Min Guo,Jiannan Lv,Xinmin Ding

Experimental and therapeutic medicine 21:152 PubMed33456519

2021

MicroRNA-490-3p inhibits inflammatory responses in LPS-induced acute lung injury of neonatal rats by suppressing the IRAK1/TRAF6 pathway.

Applications

Unspecified application

Species

Unspecified reactive species

Guang Yang,Yuan Zhao

Aging 12:21706-21729 PubMed33176281

2020

Puerarin alleviates osteoporosis in the ovariectomy-induced mice by suppressing osteoclastogenesis via inhibition of TRAF6/ROS-dependent MAPK/NF-κB signaling pathways.

Applications

Unspecified application

Species

Unspecified reactive species

Long Xiao,Mengdan Zhong,Yu Huang,Jie Zhu,Wenkai Tang,Danyong Li,Jiandong Shi,Aiqing Lu,Huilin Yang,Dechun Geng,Hong Li,Zhirong Wang

Journal of cellular and molecular medicine 24:12341-12354 PubMed33047847

2020

Long non-coding RNA MEG3 inhibits M2 macrophage polarization by activating TRAF6 via microRNA-223 down-regulation in viral myocarditis.

Applications

Unspecified application

Species

Unspecified reactive species

Yu-Long Xue,Sheng-Xiao Zhang,Chao-Feng Zheng,Yu-Feng Li,Li-Hui Zhang,Qin-Yi Su,Yu-Fei Hao,Shu Wang,Xue-Wen Li

Stroke :STROKEAHA120029951 PubMed32933418

2020

Inhibition of EZH2 (Enhancer of Zeste Homolog 2) Attenuates Neuroinflammation via H3k27me3/SOCS3/TRAF6/NF-κB (Trimethylation of Histone 3 Lysine 27/Suppressor of Cytokine Signaling 3/Tumor Necrosis Factor Receptor Family 6/Nuclear Factor-κB) in a Rat Model of Subarachnoid Hemorrhage.

Applications

Unspecified application

Species

Unspecified reactive species

Yujie Luo,Yuanjian Fang,Ruiqing Kang,Cameron Lenahan,Marcin Gamdzyk,Zeyu Zhang,Takeshi Okada,Jiping Tang,Sheng Chen,John H Zhang

Journal of cellular and molecular medicine 24:10677-10692 PubMed32757377

2020

Danshen (Salvia miltiorrhiza) restricts MD2/TLR4-MyD88 complex formation and signalling in acute myocardial infarction-induced heart failure.

Applications

Unspecified application

Species

Unspecified reactive species

Xiaoping Wang,Dongqing Guo,Weili Li,Qian Zhang,Yanyan Jiang,Qiyan Wang,Chun Li,Qi Qiu,Yong Wang

Food & function 11:5513-5524 PubMed32514515

2020

Asiatic acid ameliorates obesity-related osteoarthritis by inhibiting myeloid differentiation protein-2.

Applications

Unspecified application

Species

Unspecified reactive species

Xingfang Yu,Gang Zheng,Zhichao Hu,Shangkun Tang,Jianchen Xu,Ping Shang,Qian Tang,Haixiao Liu
View all publications

Product promise

We are committed to supporting your work with high-quality reagents, and we're here for you every step of the way. In the unlikely event that one of our products does not perform as expected, you're protected by our Product Promise.
For full details, please see our Terms & Conditions

Please note: All products are 'FOR RESEARCH USE ONLY. NOT FOR USE IN DIAGNOSTIC OR THERAPEUTIC PROCEDURES'.

For licensing inquiries, please contact partnerships@abcam.com