JavaScript is disabled in your browser. Please enable JavaScript to view this website.
AB42121

Anti-TRAIL antibody

1

(1 Review)

|

(11 Publications)

Rabbit Polyclonal TRAIL antibody. Suitable for IHC-P, WB and reacts with Human samples. Cited in 11 publications.

View Alternative Names

CD253, APO2L, TRAIL, TNFSF10, Tumor necrosis factor ligand superfamily member 10, Apo-2 ligand, TNF-related apoptosis-inducing ligand, Apo-2L, Protein TRAIL

3 Images
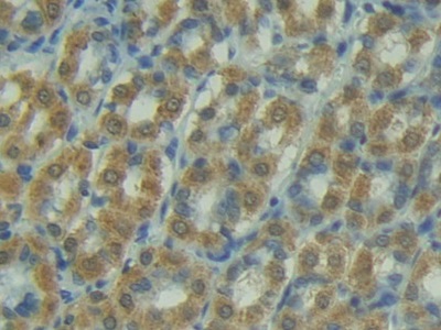
Immunohistochemistry (Formalin/PFA-fixed paraffin-embedded sections) - Anti-TRAIL antibody (AB42121)
  • IHC-P

Unknown

Immunohistochemistry (Formalin/PFA-fixed paraffin-embedded sections) - Anti-TRAIL antibody (AB42121)

IHC image of TRAIL staining in Human normal lung formalin fixed paraffin embedded tissue section, performed on a Leica BondTM system using the standard protocol F. The section was pre-treated using heat mediated antigen retrieval with sodium citrate buffer (pH6, epitope retrieval solution 1) for 20 mins. The section was then incubated with ab42121, 1μg/ml, for 15 mins at room temperature and detected using an HRP conjugated compact polymer system. DAB was used as the chromogen. The section was then counterstained with haematoxylin and mounted with DPX.

For other IHC staining systems (automated and non-automated) customers should optimize variable parameters such as antigen retrieval conditions, primary antibody concentration and antibody incubation times.

Immunohistochemistry (Formalin/PFA-fixed paraffin-embedded sections) - Anti-TRAIL antibody (AB42121)
  • IHC-P

Unknown

Immunohistochemistry (Formalin/PFA-fixed paraffin-embedded sections) - Anti-TRAIL antibody (AB42121)

IHC image of TRAIL staining in human hippocampus FFPE section, performed on a BondTM system using the standard protocol F. The section was pre-treated using heat mediated antigen retrieval with sodium citrate buffer (pH6, epitope retrieval solution 1) for 20 mins. The section was then incubated with ab42121, 1ug/ml, for 15 mins at room temperature and detected using an HRP conjugated compact polymer system. DAB was used as the chromogen. The section was then counterstained with haematoxylin and mounted with DPX.

Western blot - Anti-TRAIL antibody (AB42121)
  • WB

Project3037****

Western blot - Anti-TRAIL antibody (AB42121)

All lanes:

Western blot - Anti-TRAIL antibody (ab42121) at 1 µg/mL

All lanes:

Western blot - A549 whole cell lysate (<a href='/en-us/products/cell-lysates/a549-whole-cell-lysate-ab7910'>ab7910</a>) at 10 µg

Secondary

All lanes:

IRDye 680 Conjugated Goat Anti-Rabbit IgG (H+L) at 1/10000 dilution

Predicted band size: 32 kDa

Observed band size: 34 kDa

false

Key facts

Host species

Rabbit

Clonality

Polyclonal

Isotype

IgG

Carrier free

No

Reacts with

Human

Applications

WB, IHC-P

applications

Immunogen

The exact immunogen used to generate this antibody is proprietary information.

Reactivity data

{ "title": "Reactivity Data", "filters": { "stats": ["", "Species", "Dilution Info", "Notes"], "tabs": { "all-applications": {"fullname" : "All Applications", "shortname": "All Applications"}, "IHCP" : {"fullname" : "Immunohistochemistry (Formalin/PFA-fixed paraffin-embedded sections)", "shortname":"IHC-P"}, "WB" : {"fullname" : "Western blot", "shortname":"WB"} }, "product-promise": { "all": "all", "testedAndGuaranteed": "tested", "guaranteed": "expected", "predicted": "predicted", "notRecommended": "not-recommended" } }, "values": { "Human": { "IHCP-species-checked": "testedAndGuaranteed", "IHCP-species-dilution-info": "1 µg/mL", "IHCP-species-notes": "<p></p>", "WB-species-checked": "testedAndGuaranteed", "WB-species-dilution-info": "1 µg/mL", "WB-species-notes": "<p></p>" } } }

Properties and storage information

Form
Liquid
Purification technique
Affinity purification Immunogen
Storage buffer
pH: 7.4 Preservative: 0.02% Sodium azide Constituents: PBS, 1% BSA
Shipped at conditions
Blue Ice
Appropriate short-term storage duration
1-2 weeks
Appropriate short-term storage conditions
+4°C
Appropriate long-term storage conditions
-20°C
Aliquoting information
Upon delivery aliquot
Storage information
Avoid freeze / thaw cycle

Supplementary information

This supplementary information is collated from multiple sources and compiled automatically.

TRAIL also known as TNF-related apoptosis-inducing ligand plays an important role in inducing apoptosis. This protein has a mass of around 32 kDa and is expressed across various tissues including immune cells. TRAIL interacts with specific receptors on the cell surface to initiate a signaling cascade that results in programmed cell death. It is an attractive therapeutic target because of its selective ability to induce apoptosis in cancer cells while sparing most normal cells.
Biological function summary

TRAIL's function extends beyond inducing cell death. It is an important member of the tumor necrosis factor (TNF) superfamily which regulates immune responses and inflammation. TRAIL can form a homotrimeric complex allowing it to bind effectively to death receptors on target cells specifically DR4 and DR5 triggering a series of downstream signaling events. This interaction is significant in modulating immune surveillance and tumor suppression.

Pathways

TRAIL is integral to both intrinsic and extrinsic apoptosis pathways. Through these pathways TRAIL is closely related to FADD and caspase-8 which are important for apoptosis induction. The extrinsic pathway involves binding to TRAIL death receptors leading to DISC formation while the intrinsic pathway involves mitochondrial events mediated by members of the Bcl-2 protein family.

TRAIL has a significant connection with cancer and autoimmune diseases. TRAIL plays a dual role in cancer where it acts as a tumor suppressor but can also promote tumor progression if cancer cells become resistant to its effects. In cancer TRAIL’s interaction with proteins like FLIP can alter the apoptotic potential of the cells. In autoimmune diseases TRAIL's dysregulation can contribute to tissue damage due to increased immune activity highlighting its complex role in maintaining immune balance.

Product protocols

For this product, it's our understanding that no specific protocols are required. You can visit:

Target data

Cytokine that binds to TNFRSF10A/TRAILR1, TNFRSF10B/TRAILR2, TNFRSF10C/TRAILR3, TNFRSF10D/TRAILR4 and possibly also to TNFRSF11B/OPG (PubMed : 10549288, PubMed : 26457518). Induces apoptosis. Its activity may be modulated by binding to the decoy receptors TNFRSF10C/TRAILR3, TNFRSF10D/TRAILR4 and TNFRSF11B/OPG that cannot induce apoptosis.
See full target information TNFSF10

Publications (11)

Recent publications for all applications. Explore the full list and refine your search

American journal of translational research 17:6103-6112 PubMed40950323

2025

TRAIL-mediated armA upregulation enhances the drug resistance of by activating the PI3K/AKT/mTOR signaling pathway.

Applications

Unspecified application

Species

Unspecified reactive species

Bu Wang,Wei Zhang,Jianhua Liu,Hongxia Zhang,Maochen Li,Xiaocui Peng,Zhihua Zhang,Ning Song

Stem cells translational medicine 11:297-309 PubMed35267023

2022

Site-Specific Integration of TRAIL in iPSC-Derived Mesenchymal Stem Cells for Targeted Cancer Therapy.

Applications

Unspecified application

Species

Unspecified reactive species

Zujia Wang,Hongting Chen,Peiyun Wang,Miaojin Zhou,Guangxu Li,Zhiqing Hu,Qian Hu,Junya Zhao,Xionghao Liu,Lingqian Wu,Desheng Liang

Cells 10: PubMed34831070

2021

Iron Metabolism as a Potential Mechanism for Inducing TRAIL-Mediated Extrinsic Apoptosis Using Methylsulfonylmethane in Embryonic Cancer Stem Cells.

Applications

Unspecified application

Species

Unspecified reactive species

Nipin Sp,Dong Young Kang,Eun Seong Jo,Jin-Moo Lee,Kyoung-Jin Jang

Stem cell research & therapy 11:256 PubMed32586403

2020

Lung delivery of MSCs expressing anti-cancer protein TRAIL visualised with Zr-oxine PET-CT.

Applications

Unspecified application

Species

Unspecified reactive species

P Stephen Patrick,Krishna K Kolluri,May Zaw Thin,Adam Edwards,Elizabeth K Sage,Tom Sanderson,Benjamin D Weil,John C Dickson,Mark F Lythgoe,Mark Lowdell,Sam M Janes,Tammy L Kalber

European journal of pharmacology 862:172531 PubMed31301310

2019

MicroRNA Let-7f-1-3p attenuates smoke-induced apoptosis in bronchial and alveolar epithelial cells in vitro by targeting FOXO1.

Applications

Unspecified application

Species

Unspecified reactive species

Zhaofeng Han,Yimeng Zhu,Zhengjun Cui,Pengfei Guo,Aizhou Wei,Qingnan Meng

Frontiers in microbiology 10:130 PubMed30787914

2019

Transcriptome Sequencing Identifies Novel Immune Response Genes Highly Related to the Severity of Human Adenovirus Type 55 Infection.

Applications

Unspecified application

Species

Unspecified reactive species

Wen Xu,Zhe Xu,Lei Huang,En-Qiang Qin,Jie-Li Zhang,Peng Zhao,Bo Tu,Lei Shi,Wen-Gang Li,Wei-Wei Chen

Journal of cellular physiology 233:1146-1155 PubMed28444885

2017

Hypoxia-induced apoptosis of mouse spermatocytes is mediated by HIF-1α through a death receptor pathway and a mitochondrial pathway.

Applications

Unspecified application

Species

Unspecified reactive species

Jun Yin,Bing Ni,Wei-Gong Liao,Yu-Qi Gao

Journal of extracellular vesicles 6:1265291 PubMed28326166

2017

TRAIL delivery by MSC-derived extracellular vesicles is an effective anticancer therapy.

Applications

Unspecified application

Species

Unspecified reactive species

ZhengQiang Yuan,Krishna K Kolluri,Kate H C Gowers,Sam M Janes

Cytotherapy 17:885-96 PubMed25888191

2015

Mesenchymal stromal cell delivery of full-length tumor necrosis factor-related apoptosis-inducing ligand is superior to soluble type for cancer therapy.

Applications

WB

Species

Unspecified reactive species

ZhengQiang Yuan,Krishna K Kolluri,Elizabeth K Sage,Kate H C Gowers,Sam M Janes

International journal of cancer 137:978-90 PubMed25604186

2015

Engineered adenoviruses combine enhanced oncolysis with improved virus production by mesenchymal stromal carrier cells.

Applications

WB

Species

Unspecified reactive species

Katharina Hammer,Adam Kazcorowski,Li Liu,Michael Behr,Peter Schemmer,Ingrid Herr,Dirk M Nettelbeck
View all publications

Product promise

We are committed to supporting your work with high-quality reagents, and we're here for you every step of the way. In the unlikely event that one of our products does not perform as expected, you're protected by our Product Promise.
For full details, please see our Terms & Conditions

Please note: All products are 'FOR RESEARCH USE ONLY. NOT FOR USE IN DIAGNOSTIC OR THERAPEUTIC PROCEDURES'.

For licensing inquiries, please contact partnerships@abcam.com