JavaScript is disabled in your browser. Please enable JavaScript to view this website.
AB190982

Anti-TRAM1/TRAM antibody - C-terminal

Be the first to review this product! Submit a review

|

(2 Publications)

Rabbit Polyclonal TRAM1/TRAM antibody. C-terminal. Suitable for IHC-P, ICC, WB, IHC-Fr and reacts with Rat, Human samples. Cited in 2 publications. Immunogen corresponding to Synthetic Peptide within Human TRAM1 aa 300-350.

View Alternative Names

TRAM, TRAM1, Translocating chain-associated membrane protein 1, Protein TRAM1

6 Images
Immunohistochemistry (Formalin/PFA-fixed paraffin-embedded sections) - Anti-TRAM1/TRAM antibody - C-terminal (AB190982)
  • IHC-P

Supplier Data

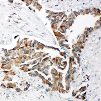
Immunohistochemistry (Formalin/PFA-fixed paraffin-embedded sections) - Anti-TRAM1/TRAM antibody - C-terminal (AB190982)

Immunohistochemical analysis of paraffin-embedded Human lung cancer tissue labeling TRAM1 with ab190982 at 1 μg/ml.

Immunohistochemistry (Frozen sections) - Anti-TRAM1/TRAM antibody - C-terminal (AB190982)
  • IHC-Fr

Supplier Data

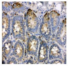
Immunohistochemistry (Frozen sections) - Anti-TRAM1/TRAM antibody - C-terminal (AB190982)

Immunohistochemical analysis of frozen sections of rat instestine tissues staining TRAM1 with ab190982 at 1μg/ml. Heat mediated antigen retrieval was performed in citrate buffer (pH6, epitope retrieval solution) for 20 mins. The tissue section was blocked with 10% goat serum. Antibody incubation was carried out overnight. Biotinylated goat anti-rabbit IgG was used as secondary antibody and incubated for 30 minutes at 37°C. The tissue section was developed using Strepavidin-Biotin-Complex with DAB as the chromogen.

Immunohistochemistry (Frozen sections) - Anti-TRAM1/TRAM antibody - C-terminal (AB190982)
  • IHC-Fr

Supplier Data

Immunohistochemistry (Frozen sections) - Anti-TRAM1/TRAM antibody - C-terminal (AB190982)

TRAM1 was detected in frozen section of rat brain tissues. The tissue section was blocked with 10% goat serum. The tissue section was then incubated with 1μg/ml ab190982 overnight at 4°C. Biotinylated goat anti-rabbit IgG was used as secondary antibody and incubated for 30 minutes at 37°C. The tissue section was developed using Strepavidin-Biotin-Complex with DAB as the chromogen.

Immunohistochemistry (Formalin/PFA-fixed paraffin-embedded sections) - Anti-TRAM1/TRAM antibody - C-terminal (AB190982)
  • IHC-P

Supplier Data

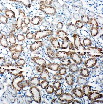
Immunohistochemistry (Formalin/PFA-fixed paraffin-embedded sections) - Anti-TRAM1/TRAM antibody - C-terminal (AB190982)

Immunohistochemical analysis of paraffin-embedded Rat kidney tissue labeling TRAM1 with ab190982 at 1 μg/ml.

Immunocytochemistry - Anti-TRAM1/TRAM antibody - C-terminal (AB190982)
  • ICC

Supplier Data

Immunocytochemistry - Anti-TRAM1/TRAM antibody - C-terminal (AB190982)

Immunocytochemical analysis of HeLa cells labeling TRAM1 with ab190982 at 1 μg/ml.

Western blot - Anti-TRAM1/TRAM antibody - C-terminal (AB190982)
  • WB

Lab

Western blot - Anti-TRAM1/TRAM antibody - C-terminal (AB190982)

All lanes:

Western blot - Anti-TRAM1/TRAM antibody - C-terminal (ab190982)

Lane 1:

Rat brain tissue lysate

Lane 2:

Rat kidney tissue lysate

Lane 3:

293T cell lysate

Lane 4:

RAJI cell lysate

Lane 5:

Jurkat cell lysate

Lane 6:

HeLa cell lysate

Predicted band size: 43 kDa

false

Key facts

Host species

Rabbit

Clonality

Polyclonal

Isotype

IgG

Carrier free

No

Reacts with

Rat, Human

Applications

WB, IHC-P, IHC-Fr, ICC

applications

Immunogen

Synthetic Peptide within Human TRAM1 aa 300-350. The exact immunogen used to generate this antibody is proprietary information.

Q15629

Reactivity data

{ "title": "Reactivity Data", "filters": { "stats": ["", "Species", "Dilution Info", "Notes"], "tabs": { "all-applications": {"fullname" : "All Applications", "shortname": "All Applications"}, "IHCP" : {"fullname" : "Immunohistochemistry (Formalin/PFA-fixed paraffin-embedded sections)", "shortname":"IHC-P"}, "ICC" : {"fullname" : "Immunocytochemistry", "shortname":"ICC"}, "WB" : {"fullname" : "Western blot", "shortname":"WB"}, "IHCFr" : {"fullname" : "Immunohistochemistry (Frozen sections)", "shortname":"IHC-Fr"} }, "product-promise": { "all": "all", "testedAndGuaranteed": "tested", "guaranteed": "expected", "predicted": "predicted", "notRecommended": "not-recommended" } }, "values": { "Human": { "IHCP-species-checked": "testedAndGuaranteed", "IHCP-species-dilution-info": "0.5-1 µg/mL", "IHCP-species-notes": "<p></p> Perform heat-mediated antigen retrieval with citrate buffer pH 6 before commencing with IHC staining protocol.", "ICC-species-checked": "testedAndGuaranteed", "ICC-species-dilution-info": "0.5-1 µg/mL", "ICC-species-notes": "<p></p>", "WB-species-checked": "guaranteed", "WB-species-dilution-info": "", "WB-species-notes": "", "IHCFr-species-checked": "guaranteed", "IHCFr-species-dilution-info": "", "IHCFr-species-notes": "" }, "Mouse": { "IHCP-species-checked": "predicted", "IHCP-species-dilution-info": "", "IHCP-species-notes": "", "ICC-species-checked": "predicted", "ICC-species-dilution-info": "", "ICC-species-notes": "", "WB-species-checked": "predicted", "WB-species-dilution-info": "", "WB-species-notes": "", "IHCFr-species-checked": "predicted", "IHCFr-species-dilution-info": "", "IHCFr-species-notes": "" }, "Rat": { "IHCP-species-checked": "testedAndGuaranteed", "IHCP-species-dilution-info": "0.5-1 µg/mL", "IHCP-species-notes": "<p></p> Perform heat-mediated antigen retrieval with citrate buffer pH 6 before commencing with IHC staining protocol.", "ICC-species-checked": "guaranteed", "ICC-species-dilution-info": "", "ICC-species-notes": "", "WB-species-checked": "testedAndGuaranteed", "WB-species-dilution-info": "0.1-0.5 µg/mL", "WB-species-notes": "<p>The detection limit for TRAM1 is approximately 1ng/lane under reducing conditions.</p>", "IHCFr-species-checked": "testedAndGuaranteed", "IHCFr-species-dilution-info": "0.5-1 µg/mL", "IHCFr-species-notes": "<p></p>" }, "Cow": { "IHCP-species-checked": "predicted", "IHCP-species-dilution-info": "", "IHCP-species-notes": "", "ICC-species-checked": "predicted", "ICC-species-dilution-info": "", "ICC-species-notes": "", "WB-species-checked": "predicted", "WB-species-dilution-info": "", "WB-species-notes": "", "IHCFr-species-checked": "predicted", "IHCFr-species-dilution-info": "", "IHCFr-species-notes": "" }, "Dog": { "IHCP-species-checked": "predicted", "IHCP-species-dilution-info": "", "IHCP-species-notes": "", "ICC-species-checked": "predicted", "ICC-species-dilution-info": "", "ICC-species-notes": "", "WB-species-checked": "predicted", "WB-species-dilution-info": "", "WB-species-notes": "", "IHCFr-species-checked": "predicted", "IHCFr-species-dilution-info": "", "IHCFr-species-notes": "" }, "Orangutan": { "IHCP-species-checked": "predicted", "IHCP-species-dilution-info": "", "IHCP-species-notes": "", "ICC-species-checked": "predicted", "ICC-species-dilution-info": "", "ICC-species-notes": "", "WB-species-checked": "predicted", "WB-species-dilution-info": "", "WB-species-notes": "", "IHCFr-species-checked": "predicted", "IHCFr-species-dilution-info": "", "IHCFr-species-notes": "" } } }

Properties and storage information

Form
Liquid
Purification technique
Affinity purification Immunogen
Storage buffer
Preservative: 0.025% Sodium azide, 0.025% Thimerosal (merthiolate) Constituents: 2.5% BSA, 0.45% Sodium chloride, 0.1% Disodium hydrogenorthophosphate
Shipped at conditions
Blue Ice
Appropriate short-term storage duration
1-2 weeks
Appropriate short-term storage conditions
+4°C
Appropriate long-term storage conditions
-20°C
Aliquoting information
Upon delivery aliquot
Storage information
Avoid freeze / thaw cycle

Supplementary information

This supplementary information is collated from multiple sources and compiled automatically.

TRAM1 also known as TRAM is a translocation-associated membrane protein involved in the translation and insertion of nascent polypeptides into the endoplasmic reticulum (ER). This protein plays an important role in directing proteins into the ER membrane or lumen via the translocon complex. TRAM1 has a molecular mass of approximately 37 kDa and is widely expressed especially in tissues with high secretory activity such as the liver pancreas and intestine.
Biological function summary

TRAM1 interacts with ribosomes and assists in the co-translational translocation of polypeptides across the endoplasmic reticulum membrane. It forms part of the larger translocon complex which includes Sec61 and other associated proteins. These interactions are necessary for accurate protein targeting and membrane integration ensuring newly synthesized proteins reach their intended cellular compartments.

Pathways

TRAM1 is important for protein secretion and membrane protein biosynthesis pathways. It collaborates closely with Sec61 facilitating protein entry into the ER. It also interfaces with the signal recognition particle (SRP) pathway guiding ribosome-bound nascent chains to the ER membrane. These pathways are essential for proper protein folding processing and eventual function impacting cell signaling and homeostasis.

Mutations or dysfunctions in TRAM1 have potential links to disorders such as congenital disorders of glycosylation and certain liver diseases. Altered interactions with proteins like Sec61 can disrupt normal protein processing pathways contributing to cellular stress and pathology. TRAM1's role in the protein translocation process makes it an important subject of study for understanding the molecular basis of these conditions.

Product protocols

For this product, it's our understanding that no specific protocols are required. You can visit:

Target data

Involved in the translocation of nascent protein chains into or through the endoplasmic reticulum (ER) membrane by facilitating the proper chain positioning at the SEC61 channel (PubMed : 12475939, PubMed : 1315422, PubMed : 32013668, PubMed : 8616892, PubMed : 9506517). Regulates the exposure of nascent secretory protein chain to the cytosol during translocation into the ER (PubMed : 9506517). May affect the phospholipid bilayer in the vicinity of the lateral gate of the SEC61 channel, thereby facilitating ER protein transport (PubMed : 32013668). Intimately associates with transmembrane (TM) domain of nascent membrane proteins during the entire integration process into the ER membrane (PubMed : 8616892). Associates with the second TM domain of G-protein-coupled receptor opsin/OPSD nascent chain in the ER membrane, which may facilitate its integration into the membrane (PubMed : 12475939). Under conditions of ER stress, participates in the disposal of misfolded ER membrane proteins during the unfolded protein response (UPR), an integrated stress response (ISR) pathway, by selectively retrotranslocating misfolded ER-membrane proteins from the ER into the cytosol where they are ubiquitinated and degraded by the proteasome (PubMed : 20430023).. (Microbial infection) In case of cytomegalovirus infection, participates in US2- and US11-mediated ER-to-cytosol retrotranslocation and subsequent degradation of major histocompatibility complex (MHC) class I heavy chains, thereby decreasing the immune detection by cytotoxic T-cells.
See full target information TRAM1

Publications (2)

Recent publications for all applications. Explore the full list and refine your search

Science advances 11:eadq0334 PubMed40249802

2025

Targeting PGM3 abolishes SREBP-1 activation-hexosamine synthesis feedback regulation to effectively suppress brain tumor growth.

Applications

Unspecified application

Species

Unspecified reactive species

Huali Su,Yaogang Zhong,Liqing He,Feng Geng,Xinmin Yin,Yongjun Kou,Cheng-Yao Chiang,Xiaokui Mo,Yunzhou Fan,Yanwei Liu,Qiang Wang,Shino Magaki,Timothy F Cloughesy,Etienne Lefai,William H Yong,Arnab Chakravarti,Xiang Zhang,Deliang Guo

eLife 9: PubMed32820719

2020

An ER translocon for multi-pass membrane protein biogenesis.

Applications

Unspecified application

Species

Unspecified reactive species

Philip T McGilvray,S Andrei Anghel,Arunkumar Sundaram,Frank Zhong,Michael J Trnka,James R Fuller,Hong Hu,Alma L Burlingame,Robert J Keenan
View all publications

Product promise

We are committed to supporting your work with high-quality reagents, and we're here for you every step of the way. In the unlikely event that one of our products does not perform as expected, you're protected by our Product Promise.
For full details, please see our Terms & Conditions

Please note: All products are 'FOR RESEARCH USE ONLY. NOT FOR USE IN DIAGNOSTIC OR THERAPEUTIC PROCEDURES'.

For licensing inquiries, please contact partnerships@abcam.com