JavaScript is disabled in your browser. Please enable JavaScript to view this website.
AB283702

Anti-Trans-Golgi network integral membrane protein 1 antibody [EPR24831-36] - BSA and Azide free

Be the first to review this product! Submit a review

|

(0 Publication)

Rabbit Recombinant Monoclonal Trans-Golgi network integral membrane protein 1 antibody. Carrier free. Suitable for ICC/IF, WB, IHC-P, Flow Cyt (Intra), IP and reacts with Mouse samples.

View Alternative Names

Ttgn1, Tgoln1, Trans-Golgi network integral membrane protein 1, TGN38A

10 Images
Immunocytochemistry/ Immunofluorescence - Anti-Trans-Golgi network integral membrane protein 1 antibody [EPR24831-36] - BSA and Azide free (AB283702)
  • ICC/IF

Supplier Data

Immunocytochemistry/ Immunofluorescence - Anti-Trans-Golgi network integral membrane protein 1 antibody [EPR24831-36] - BSA and Azide free (AB283702)

This data was developed using ab283678, the same antibody clone in a different buffer formulation.

Immunofluorescent analysis of 100% methanol-fixed, 0.1% TritonX-100 permeabilized C2C12 cells labelling TGN38 with ab283678 at 1/50 (11.38 ug/ml) dilution, followed by ab150081 Goat Anti-Rabbit IgG H&L (Alexa Fluor® 488) preadsorbed antibody at 1/1000 (2 ug/ml) dilution (Green). Confocal image showing co-locolization positive staining with Golgi marker in C2C12 cells is observed. ab169276 Anti-GM130 mouse polyclonal antibody - cis-Golgi Marker was used to counterstain tubulin at 1/200 5ug/ml dilution (Red). The Nuclear counterstain was DAPI (Blue).

Secondary antibody only control : Secondary antibody is ab150081 Goat Anti-Rabbit IgG H&L (Alexa Fluor® 488) preadsorbed at 1/1000 (2 ug/ml) dilution.

Immunocytochemistry/ Immunofluorescence - Anti-Trans-Golgi network integral membrane protein 1 antibody [EPR24831-36] - BSA and Azide free (AB283702)
  • ICC/IF

Supplier Data

Immunocytochemistry/ Immunofluorescence - Anti-Trans-Golgi network integral membrane protein 1 antibody [EPR24831-36] - BSA and Azide free (AB283702)

This data was developed using ab283678, the same antibody clone in a different buffer formulation.

Immunofluorescent analysis of 100% methanol-fixed, 0.1% TritonX-100 permeabilized NIH/3T3 cells labelling TGN38 with ab283678 at 1/50 (11.38 ug/ml) dilution, followed by ab150081 Goat Anti-Rabbit IgG H&L (Alexa Fluor® 488) preadsorbed antibody at 1/1000 (2 ug/ml) dilution (Green). Confocal image showing co-locolization positive staining with Golgi marker in NIH/3T3 cells is observed. ab169276 Anti-GM130 mouse polyclonal antibody - cis-Golgi Marker was used to counterstain tubulin at 1/200 5ug/ml dilution (Red). The Nuclear counterstain was DAPI (Blue).

Secondary antibody only control : Secondary antibody is ab150081 Goat Anti-Rabbit IgG H&L (Alexa Fluor® 488) preadsorbed at 1/1000 (2 ug/ml) dilution.

Immunohistochemistry (Formalin/PFA-fixed paraffin-embedded sections) - Anti-Trans-Golgi network integral membrane protein 1 antibody [EPR24831-36] - BSA and Azide free (AB283702)
  • IHC-P

Supplier Data

Immunohistochemistry (Formalin/PFA-fixed paraffin-embedded sections) - Anti-Trans-Golgi network integral membrane protein 1 antibody [EPR24831-36] - BSA and Azide free (AB283702)

This data was developed using ab283678, the same antibody clone in a different buffer formulation.

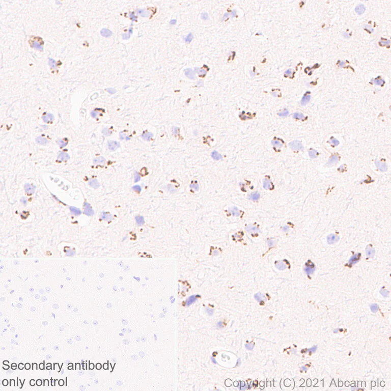
Immunohistochemical analysis of paraffin-embedded Mouse cerebrum tissue labelling TGN38 with ab283678 at 1/2000 (0.285 ug/ml) followed by a ready to use LeicaDS9800 (Bond™ Polymer Refine Detection). Granular cytoplasmic staining in mouse cerebrum. The section was incubated with ab283678 for 30 mins at room temperature. The immunostaining was performed on a Leica Biosystems BOND® RX instrument Counterstained with Hematoxylin.

Secondary antibody only control : Secondary antibody is a ready to use LeicaDS9800 (Bond™ Polymer Refine Detection).

Heat mediated antigen retrieval with Tris-EDTA buffer (pH 9.0, epitope retrieval solution2) for 20 mins

Flow Cytometry (Intracellular) - Anti-Trans-Golgi network integral membrane protein 1 antibody [EPR24831-36] - BSA and Azide free (AB283702)
  • Flow Cyt (Intra)

Supplier Data

Flow Cytometry (Intracellular) - Anti-Trans-Golgi network integral membrane protein 1 antibody [EPR24831-36] - BSA and Azide free (AB283702)

This data was developed using ab283678, the same antibody clone in a different buffer formulation.

Flow cytometric analysis of 4% paraformaldehyde fixed 90% methanol permeabilized NIH/3T3 (Mouse embryonic fibroblast) cells labelling TGN38 with ab283678 at 1/500 dilution (0.1ug) (Red) compared with a Rabbit monoclonal IgG (ab172730) (Black) isotype control and an unlabelled control (cells without incubation with primary antibody and secondary antibody) (Blue). A Goat F(ab')2 Anti-Rabbit IgG (DyLight® 488, ab98507) at 1/500 dilution was used as the secondary antibody.

Immunohistochemistry (Formalin/PFA-fixed paraffin-embedded sections) - Anti-Trans-Golgi network integral membrane protein 1 antibody [EPR24831-36] - BSA and Azide free (AB283702)
  • IHC-P

Supplier Data

Immunohistochemistry (Formalin/PFA-fixed paraffin-embedded sections) - Anti-Trans-Golgi network integral membrane protein 1 antibody [EPR24831-36] - BSA and Azide free (AB283702)

This data was developed using ab283678, the same antibody clone in a different buffer formulation.

Immunohistochemical analysis of paraffin-embedded Mouse liver tissue labelling TGN38 with ab283678 at 1/2000 (0.285 ug/ml) followed by a ready to use LeicaDS9800 (Bond™ Polymer Refine Detection). Granular cytoplasmic staining in mouse liver. The section was incubated with ab283678 for 30 mins at room temperature. The immunostaining was performed on a Leica Biosystems BOND® RX instrument Counterstained with Hematoxylin.

Secondary antibody only control : Secondary antibody is a ready to use LeicaDS9800 (Bond™ Polymer Refine Detection).

Heat mediated antigen retrieval with Tris-EDTA buffer (pH 9.0, epitope retrieval solution2) for 20 mins

Immunohistochemistry (Formalin/PFA-fixed paraffin-embedded sections) - Anti-Trans-Golgi network integral membrane protein 1 antibody [EPR24831-36] - BSA and Azide free (AB283702)
  • IHC-P

Supplier Data

Immunohistochemistry (Formalin/PFA-fixed paraffin-embedded sections) - Anti-Trans-Golgi network integral membrane protein 1 antibody [EPR24831-36] - BSA and Azide free (AB283702)

This data was developed using ab283678, the same antibody clone in a different buffer formulation.

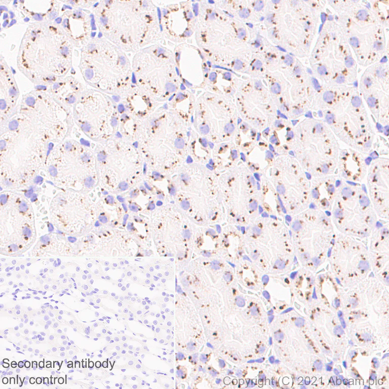
Immunohistochemical analysis of paraffin-embedded Mouse kidney tissue labelling TGN38 with ab283678 at 1/2000 (0.285 ug/ml) followed by a ready to use LeicaDS9800 (Bond™ Polymer Refine Detection). Granular cytoplasmic staining in mouse kidney. The section was incubated with ab283678 for 30 mins at room temperature. The immunostaining was performed on a Leica Biosystems BOND® RX instrument Counterstained with Hematoxylin.

Secondary antibody only control : Secondary antibody is a ready to use LeicaDS9800 (Bond™ Polymer Refine Detection).

Heat mediated antigen retrieval with Tris-EDTA buffer (pH 9.0, epitope retrieval solution2) for 20 mins

Flow Cytometry (Intracellular) - Anti-Trans-Golgi network integral membrane protein 1 antibody [EPR24831-36] - BSA and Azide free (AB283702)
  • Flow Cyt (Intra)

Supplier Data

Flow Cytometry (Intracellular) - Anti-Trans-Golgi network integral membrane protein 1 antibody [EPR24831-36] - BSA and Azide free (AB283702)

This data was developed using ab283678, the same antibody clone in a different buffer formulation.

Flow cytometric analysis of 4% paraformaldehyde fixed 90% methanol permeabilized C2C12 (Mouse myoblasts myoblast) cells labelling TGN38 with ab283678 at 1/500 dilution (0.1ug) (Red) compared with a Rabbit monoclonal IgG (ab172730) (Black) isotype control and an unlabelled control (cells without incubation with primary antibody and secondary antibody) (Blue). A Goat F(ab')2 Anti-Rabbit IgG (DyLight® 488, ab98507) at 1/500 dilution was used as the secondary antibody.

Immunoprecipitation - Anti-Trans-Golgi network integral membrane protein 1 antibody [EPR24831-36] - BSA and Azide free (AB283702)
  • IP

Supplier Data

Immunoprecipitation - Anti-Trans-Golgi network integral membrane protein 1 antibody [EPR24831-36] - BSA and Azide free (AB283702)

This data was developed using ab283678, the same antibody clone in a different buffer formulation.

TGN38 was immunoprecipitated from 0.35 mg C2C12 (mouse myoblasts myoblast), whole cell lysate 10 ug with ab283678 at 1/30 dilution (2ug in 0.35mg lysates). Western blot was performed on the immunoprecipitate using ab283678 at 1/1000 dilution. VeriBlot for IP secondary antibody(HRP)(ab131366) was used at 1/5000 dilution.

Lane 1 : C2C12 (mouse myoblasts myoblast), whole cell lysate 10 ug

Lane 2 : ab283678 IP in C2C12 whole cell lysate

Lane 3 : Rabbit monoclonal IgG (ab172730) instead of ab283678 in C2C12 whole cell lysate

Blocking and dilution buffer and concentration : 5% NFDM/TBST.

Exposure time : 49 seconds

This blot was developed using a higher sensitivity ECL substrate.

All lanes:

Immunoprecipitation - Anti-Trans-Golgi network integral membrane protein 1 antibody [EPR24831-36] (<a href='/en-us/products/primary-antibodies/trans-golgi-network-integral-membrane-protein-1-antibody-epr24831-36-ab283678'>ab283678</a>)

Predicted band size: 38 kDa

Observed band size: 75 kDa

false

Western blot - Anti-Trans-Golgi network integral membrane protein 1 antibody [EPR24831-36] - BSA and Azide free (AB283702)
  • WB

Lab

Western blot - Anti-Trans-Golgi network integral membrane protein 1 antibody [EPR24831-36] - BSA and Azide free (AB283702)

This data was developed using ab283678, the same antibody clone in a different buffer formulation.

Blocking and diluting buffer and concentration : 5% NFDM/TBST

This antibody has cross-reaction with mouse TGN38B.

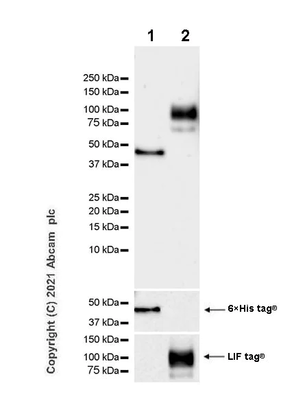
The recombinant proteins TGN38B and TGN38 were made in-house.

The sample loaded onto lane 1 was purified TGN38B recombinant protein expressed from an E.coli expression system.

The sample loaded onto lanes 2 was purified TGN38 recombinant protein expressed from a mammalian - HEK-293 expression system.

Exposure time : 81 seconds

All lanes:

Western blot - Anti-Trans-Golgi network integral membrane protein 1 antibody [EPR24831-36] (<a href='/en-us/products/primary-antibodies/trans-golgi-network-integral-membrane-protein-1-antibody-epr24831-36-ab283678'>ab283678</a>) at 1/1000 dilution

Lane 1:

His-tagged mouse TGN38B recombinant protein at 0.01 µg

Lane 2:

LIF-tagged mouse TGN38 recombinant protein at 0.01 µg

Secondary

Lane 1:

Western blot - Goat Anti-Rabbit IgG H&L (HRP) (<a href='/en-us/products/secondary-antibodies/goat-rabbit-igg-h-l-hrp-ab97051'>ab97051</a>) at 1/100000 dilution

Lane 2:

Goat Anti-Rabbit IgG, (H+L), Peroxidase conjugated (<a href='/en-us/products/secondary-antibodies/goat-rabbit-igg-h-l-hrp-ab97051'>ab97051</a>) at 1/100000 dilution

Predicted band size: 38 kDa

Observed band size: 50 kDa,65-100 kDa

false

Western blot - Anti-Trans-Golgi network integral membrane protein 1 antibody [EPR24831-36] - BSA and Azide free (AB283702)
  • WB

Lab

Western blot - Anti-Trans-Golgi network integral membrane protein 1 antibody [EPR24831-36] - BSA and Azide free (AB283702)

This data was developed using ab283678, the same antibody clone in a different buffer formulation.

Blocking and diluting buffer and concentration : 5% NFDM/TBST

Lane 1 of this blot was developed using a higher sensitivity ECL substrate.

The expression profiles/observed MW are consistent with what has been described in the literature (PMID : 12494998).

Exposure time : 3 minutes

All lanes:

Western blot - Anti-Trans-Golgi network integral membrane protein 1 antibody [EPR24831-36] (<a href='/en-us/products/primary-antibodies/trans-golgi-network-integral-membrane-protein-1-antibody-epr24831-36-ab283678'>ab283678</a>) at 1/1000 dilution

Lane 1:

NIH/3T3 (mouse embryonic fibroblast), whole cell lysate at 20 µg

Lane 2:

C2C12 (mouse myoblasts myoblast), whole cell lysate at 20 µg

Secondary

All lanes:

Western blot - Goat Anti-Rabbit IgG H&L (HRP) (<a href='/en-us/products/secondary-antibodies/goat-rabbit-igg-h-l-hrp-ab97051'>ab97051</a>) at 1/100000 dilution

Predicted band size: 38 kDa

Observed band size: 85 kDa

false

  • Unconjugated

    Anti-Trans-Golgi network integral membrane protein 1 antibody [EPR24831-36]

Key facts

Host species

Rabbit

Clonality

Monoclonal

Clone number

EPR24831-36

Isotype

IgG

Carrier free

Yes

Reacts with

Mouse

Applications

IHC-P, WB, ICC/IF, IP, Flow Cyt (Intra)

applications

Immunogen

The exact immunogen used to generate this antibody is proprietary information.

Reactivity data

{ "title": "Reactivity Data", "filters": { "stats": ["", "Species", "Dilution Info", "Notes"], "tabs": { "all-applications": {"fullname" : "All Applications", "shortname": "All Applications"}, "ICCIF" : {"fullname" : "Immunocytochemistry/ Immunofluorescence", "shortname":"ICC/IF"}, "WB" : {"fullname" : "Western blot", "shortname":"WB"}, "IHCP" : {"fullname" : "Immunohistochemistry (Formalin/PFA-fixed paraffin-embedded sections)", "shortname":"IHC-P"}, "FlowCytIntra" : {"fullname" : "Flow Cytometry (Intracellular)", "shortname":"Flow Cyt (Intra)"}, "IP" : {"fullname" : "Immunoprecipitation", "shortname":"IP"} }, "product-promise": { "all": "all", "testedAndGuaranteed": "tested", "guaranteed": "expected", "predicted": "predicted", "notRecommended": "not-recommended" } }, "values": { "Human": { "ICCIF-species-checked": "notRecommended", "ICCIF-species-dilution-info": "", "ICCIF-species-notes": "", "WB-species-checked": "notRecommended", "WB-species-dilution-info": "", "WB-species-notes": "<p></p>", "IHCP-species-checked": "notRecommended", "IHCP-species-dilution-info": "", "IHCP-species-notes": "<p></p> Perform heat-mediated antigen retrieval with Tris/EDTA buffer pH 9.0 before commencing with IHC staining protocol.", "FlowCytIntra-species-checked": "notRecommended", "FlowCytIntra-species-dilution-info": "", "FlowCytIntra-species-notes": "", "IP-species-checked": "notRecommended", "IP-species-dilution-info": "", "IP-species-notes": "" }, "Mouse": { "ICCIF-species-checked": "testedAndGuaranteed", "ICCIF-species-dilution-info": "", "ICCIF-species-notes": "<p></p>", "WB-species-checked": "testedAndGuaranteed", "WB-species-dilution-info": "", "WB-species-notes": "<p></p>", "IHCP-species-checked": "testedAndGuaranteed", "IHCP-species-dilution-info": "", "IHCP-species-notes": "<p></p> Perform heat-mediated antigen retrieval with Tris/EDTA buffer pH 9.0 before commencing with IHC staining protocol.", "FlowCytIntra-species-checked": "testedAndGuaranteed", "FlowCytIntra-species-dilution-info": "", "FlowCytIntra-species-notes": "<p></p>", "IP-species-checked": "testedAndGuaranteed", "IP-species-dilution-info": "", "IP-species-notes": "<p></p>" }, "Rat": { "ICCIF-species-checked": "notRecommended", "ICCIF-species-dilution-info": "", "ICCIF-species-notes": "<p></p>", "WB-species-checked": "notRecommended", "WB-species-dilution-info": "", "WB-species-notes": "<p></p>", "IHCP-species-checked": "notRecommended", "IHCP-species-dilution-info": "", "IHCP-species-notes": "<p></p> Perform heat-mediated antigen retrieval with Tris/EDTA buffer pH 9.0 before commencing with IHC staining protocol.", "FlowCytIntra-species-checked": "notRecommended", "FlowCytIntra-species-dilution-info": "", "FlowCytIntra-species-notes": "<p></p>", "IP-species-checked": "notRecommended", "IP-species-dilution-info": "", "IP-species-notes": "<p></p>" } } }

Product details

Properties and storage information

Form
Liquid
Purification technique
Affinity purification Protein A
Storage buffer
pH: 7.2 - 7.4 Constituents: 100% PBS
Shipped at conditions
Blue Ice
Appropriate short-term storage conditions
+4°C
Appropriate long-term storage conditions
+4°C

Supplementary information

This supplementary information is collated from multiple sources and compiled automatically.

Trans-Golgi network integral membrane protein 1 also known by the acronym TGOLN2 or TGN46 is an integral membrane protein that plays a critical role in the sorting and trafficking of proteins. The protein has a molecular mass of about 46 kDa and resides primarily in the trans-Golgi network of eukaryotic cells. It is expressed in various tissues with prominent expression in cells featuring extensive secretory pathways such as liver and pancreatic cells. This positioning enables it to fulfill its role in mediating the transport of proteins from the Golgi apparatus to their specific cellular destinations.
Biological function summary

The protein is involved in maintaining the structure and function of the trans-Golgi network. TGOLN2 works as part of a complex network that includes multiple integral membrane proteins which regulate vesicular trafficking. Its ability to bind with other proteins facilitates the sorting and packaging of secretory proteins which are then dispatched through vesicles. By efficiently working with the cellular machinery TGOLN2 contributes to the proper processing and delivery of proteins essential for cellular function.

Pathways

TGOLN2 significantly integrates in the protein trafficking and glycosylation pathways within cells. It cooperates closely with Kinesin and Dynein motor proteins to move vesicles along cytoskeletal tracks to their correct location. TGOLN2 also interacts with adaptin protein complexes which are important for the selection of cargo proteins destined for delivery to specific compartments. This positioning in pathways makes TGOLN2 an essential factor in ensuring the precise cellular localization of proteins.

Dysregulation of TGOLN2 expression has been linked to certain neurodegenerative disorders and cancers. Altered functioning in TGOLN2 may contribute to diseases like Alzheimer's by influencing the abnormal accumulation of amyloid precursor protein which TGOLN2 is known to interact with. Additionally cancer cells often show altered protein trafficking mechanisms where the disruption of TGOLN2 can impact tumor progression and metastasis. Understanding TGOLN2's interactions may provide insights into the pathogenesis of these conditions offering potential therapeutic avenues.

Product protocols

For this product, it's our understanding that no specific protocols are required. You can visit:

Target data

May be involved in regulating membrane traffic to and from trans-Golgi network.
See full target information Tgoln1

Product promise

We are committed to supporting your work with high-quality reagents, and we're here for you every step of the way. In the unlikely event that one of our products does not perform as expected, you're protected by our Product Promise.
For full details, please see our Terms & Conditions

Please note: All products are 'FOR RESEARCH USE ONLY. NOT FOR USE IN DIAGNOSTIC OR THERAPEUTIC PROCEDURES'.

For licensing inquiries, please contact partnerships@abcam.com