JavaScript is disabled in your browser. Please enable JavaScript to view this website.
AB108311

Anti-Transcription factor AP-2-alpha antibody [EPR2688(2)]

  • BOND RX™ Validated
  • Advanced Validation
  • RabMAb
  • Recombinant
  • KO Validated
  • 20ul selling size
  • What is this?

5

(2 Reviews)

|

(37 Publications)

Anti-Transcription factor AP-2-alpha antibody [EPR2688(2)] (ab108311) is a rabbit monoclonal antibody detecting Transcription factor AP-2-alpha in Western Blot, Flow Cytometry (Intra), Flow Cytometry, IP, IHC-P, ICC/IF, ChIC/CUT&RUN sequencing. Suitable for Human, Mouse, Rat.

- KO validated for confirmed specificity
- Biophysical QC for unrivalled batch-batch consistency
- Over 20 publications

View Alternative Names

AP2TF, TFAP2, TFAP2A, Transcription factor AP-2-alpha, AP2-alpha, AP-2 transcription factor, Activating enhancer-binding protein 2-alpha, Activator protein 2, AP-2

12 Images
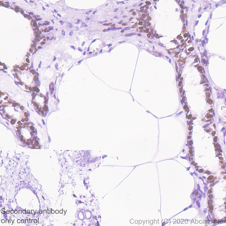
Immunohistochemistry (Formalin/PFA-fixed paraffin-embedded sections) - Anti-Transcription factor AP-2-alpha antibody [EPR2688(2)] (AB108311)
  • IHC-P

Lab

Immunohistochemistry (Formalin/PFA-fixed paraffin-embedded sections) - Anti-Transcription factor AP-2-alpha antibody [EPR2688(2)] (AB108311)

Immunohistochemistry (Formalin/PFA-fixed paraffin-embedded sections) analysis of human breast carcinoma tissue sections labeling Transcription factor AP-2-alpha with Purified ab108311 at 1/100 dilution (1.07 µg/mL). Heat mediated antigen retrieval using Bond™ Epitope Retrieval Solution 2 (pH 9.0). Rabbit specific IHC polymer detection kit HRP/DAB (ab209101) was used as the secondary antibody. Negative control : PBS instead of the primary antibody. Hematoxylin was used as a counterstain.

Flow Cytometry (Intracellular) - Anti-Transcription factor AP-2-alpha antibody [EPR2688(2)] (AB108311)
  • Flow Cyt (Intra)

Lab

Flow Cytometry (Intracellular) - Anti-Transcription factor AP-2-alpha antibody [EPR2688(2)] (AB108311)

Intracellular Flow Cytometry analysis of JAR (Human placenta choriocarcinoma epithelial cell) cells labeling Transcription factor AP-2-alpha with Purified ab108311 at 1/20 dilution (10 μg/mL) (Red). Cells were fixed with 4% Paraformaldehyde and permeabilised with 90% Methanol. A Goat anti rabbit IgG (Alexa Fluor® 488, ab150077) secondary antibody was used at 1/2000. Isotype control - Rabbit monoclonal IgG (Black). Unlabeled control - Cell without incubation with primary antibody and secondary antibody (Blue).

Immunocytochemistry/ Immunofluorescence - Anti-Transcription factor AP-2-alpha antibody [EPR2688(2)] (AB108311)
  • ICC/IF

Lab

Immunocytochemistry/ Immunofluorescence - Anti-Transcription factor AP-2-alpha antibody [EPR2688(2)] (AB108311)

Immunocytochemistry analysis of JAR (Human placenta choriocarcinoma epithelial cell) cells labeling Transcription factor AP-2-alpha with Purified ab108311 at 1/50 dilution (3.4 µg/mL). Cells were fixed in 4% Paraformaldehyde and permeabilized with 0.1% tritonX-100. Cells were counterstained with ab195889 Anti-alpha Tubulin antibody [DM1A] - Microtubule Marker (Alexa Fluor® 594) 1/200 dilution (2.5 µg/mL). Goat anti rabbit IgG (Alexa Fluor® 488, ab150077) was used as the secondary antibody at 1/1000 dilution (2 µg/mL). DAPI (blue) was used as nuclear counterstain. PBS instead of the primary antibody was used as the secondary antibody only control.

Immunoprecipitation - Anti-Transcription factor AP-2-alpha antibody [EPR2688(2)] (AB108311)
  • IP

Lab

Immunoprecipitation - Anti-Transcription factor AP-2-alpha antibody [EPR2688(2)] (AB108311)

Purified ab108311 at 1/20 dilution (0.5µg) immunoprecipitating Transcription factor AP-2-alpha in HeLa whole cell lysate.
Lane 1 (input) : HeLa (Human cervix adenocarcinoma epithelial cell) whole cell lysate 10µg
Lane 2 (+) : ab108311 + HeLa whole cell lysate.
Lane 3 (-) : Rabbit monoclonal IgG (ab172730) instead of ab108311 in HeLa whole cell lysate.
VeriBlot for IP Detection Reagent (HRP) (ab131366) (1/10,000 dilution) was used for Western blotting.
Blocking Buffer and concentration : 5% NFDM/TBST.
Diluting buffer and concentration : 5% NFDM/TBST.
Observed band size : 48 kDa

All lanes:

Immunoprecipitation - Anti-Transcription factor AP-2-alpha antibody [EPR2688(2)] (ab108311)

Predicted band size: 48 kDa

false

Immunohistochemistry (Formalin/PFA-fixed paraffin-embedded sections) - Anti-Transcription factor AP-2-alpha antibody [EPR2688(2)] (AB108311)
  • IHC-P

Lab

Immunohistochemistry (Formalin/PFA-fixed paraffin-embedded sections) - Anti-Transcription factor AP-2-alpha antibody [EPR2688(2)] (AB108311)

Immunohistochemistry (Formalin/PFA-fixed paraffin-embedded sections) analysis of mouse breast tissue sections labeling Transcription factor AP-2-alpha with Purified ab108311 at 1/100 dilution (1.07 µg/mL). Heat mediated antigen retrieval using Bond™ Epitope Retrieval Solution 2 (pH 9.0). Rabbit specific IHC polymer detection kit HRP/DAB (ab209101) was used as the secondary antibody. Negative control : PBS instead of the primary antibody. Hematoxylin was used as a counterstain.

Immunohistochemistry (Formalin/PFA-fixed paraffin-embedded sections) - Anti-Transcription factor AP-2-alpha antibody [EPR2688(2)] (AB108311)
  • IHC-P

Lab

Immunohistochemistry (Formalin/PFA-fixed paraffin-embedded sections) - Anti-Transcription factor AP-2-alpha antibody [EPR2688(2)] (AB108311)

Immunohistochemistry (Formalin/PFA-fixed paraffin-embedded sections) analysis of rat breast tissue sections labeling Transcription factor AP-2-alpha with Purified ab108311 at 1/100 dilution (1.07 µg/mL). Heat mediated antigen retrieval using Bond™ Epitope Retrieval Solution 2 (pH 9.0). Rabbit specific IHC polymer detection kit HRP/DAB (ab209101) was used as the secondary antibody. Negative control : PBS instead of the primary antibody. Hematoxylin was used as a counterstain.

Western blot - Anti-Transcription factor AP-2-alpha antibody [EPR2688(2)] (AB108311)
  • WB

Lab

Western blot - Anti-Transcription factor AP-2-alpha antibody [EPR2688(2)] (AB108311)

Lanes 1- 2 : Merged signal (red and green). Green - ab108311 observed at 48 kDa. Red - Anti-GAPDH antibody [6C5] - Loading Control (ab8245) observed at 37 kDa.

ab108311 was shown to react with Transcription factor AP-2-alpha in wild-type HeLa cells in western blot. Loss of signal was observed when knockout cell line ab265122 (knockout cell lysate ab257736) was used. Wild-type HeLa and TFAP2A knockout HeLa cell lysates were subjected to SDS-PAGE. ab108311 and Anti-GAPDH antibody [6C5] - Loading Control (ab8245) were incubated overnight at 4°C at a 1 in 1000 Dilution and a 1 in 20000 dilution respectively. Blots were developed with Goat anti-Rabbit IgG H&L (IRDye®800CW) preadsorbed (ab216773) and Goat anti-Mouse IgG H&L (IRDye®680RD) preadsorbed (ab216776) secondary antibodies at 1 in 20000 dilution for 1 hour at room temperature before imaging.

All lanes:

Western blot - Anti-Transcription factor AP-2-alpha antibody [EPR2688(2)] (ab108311) at 1/1000 dilution

Lane 1:

Wild-type HeLa cell lysate at 20 µg

Lane 2:

TFAP2A knockout HeLa cell lysate at 20 µg

Lane 2:

Western blot - Human TFAP2A (Transcription factor AP-2-alpha) knockout HeLa cell line (<a href='/en-us/products/cell-lines/human-tfap2a-transcription-factor-ap-2-alpha-knockout-hela-cell-line-ab265122'>ab265122</a>)

Predicted band size: 122 kDa,125 kDa,32 kDa,39 kDa,40 kDa,41 kDa,42 kDa,45 kDa,48 kDa,74 kDa,77 kDa,83 kDa,97 kDa

Observed band size: 100 kDa,120 kDa,125 kDa,150 kDa,31 kDa,40 kDa,41 kDa,42 kDa,45 kDa,48 kDa,50 kDa,70 kDa,74 kDa,75 kDa,77 kDa,95 kDa

false

Western blot - Anti-Transcription factor AP-2-alpha antibody [EPR2688(2)] (AB108311)
  • WB

Lab

Western blot - Anti-Transcription factor AP-2-alpha antibody [EPR2688(2)] (AB108311)

Lanes 1 - 2 : Merged signal (red and green). Green - ab108311 observed at 48 kDa. Red - loading control, ab9484, observed at 37 kDa.

ab108311 was shown to recognize Transcription factor AP-2-alpha in wild-type HAP1 cells as signal was lost at the expected MW in TFAP2A (Transcription factor AP-2-alpha) knockout cells. Additional cross-reactive bands were observed in the wild-type and knockout cells. Wild-type and TFAP2A (Transcription factor AP-2-alpha) knockout samples were subjected to SDS-PAGE. ab108311 and ab9484 (Mouse anti-GAPDH loading control) were incubated overnight at 4°C at 1/1000 dilution and 1/20000 dilution respectively. Blots were developed with Goat anti-Rabbit IgG H&L (IRDye® 800CW) preabsorbed ab216773 and Goat anti-Mouse IgG H&L (IRDye® 680RD) preabsorbed ab216776 secondary antibodies at 1/20000 dilution for 1 hour at room temperature before imaging.

All lanes:

Western blot - Anti-Transcription factor AP-2-alpha antibody [EPR2688(2)] (ab108311) at 1/1000 dilution

Lane 1:

Wild-type HAP1 whole cell lysate at 20 µg

Lane 2:

TFAP2A (Transcription factor AP-2-alpha) knockout HAP1 whole cell lysate at 20 µg

Predicted band size: 44 kDa,48 kDa

Observed band size: 44 kDa

false

Western blot - Anti-Transcription factor AP-2-alpha antibody [EPR2688(2)] (AB108311)
  • WB

Unknown

Western blot - Anti-Transcription factor AP-2-alpha antibody [EPR2688(2)] (AB108311)

All lanes:

Western blot - Anti-Transcription factor AP-2-alpha antibody [EPR2688(2)] (ab108311) at 1/10000 dilution

Lane 1:

HeLa (Human cervix adenocarcinoma epithelial cell) whole cell lysate at 15 µg

Lane 2:

C6 (Rat glial tumor glial cell) whole cell lysate at 15 µg

Lane 3:

Mouse skin lysate at 15 µg

Secondary

All lanes:

Western blot - Goat Anti-Rabbit IgG H&L (HRP) (<a href='/en-us/products/secondary-antibodies/goat-rabbit-igg-h-l-hrp-ab97051'>ab97051</a>) at 1/20000 dilution

Predicted band size: 48 kDa

false

ChIC/CUT&RUN sequencing - Anti-Transcription factor AP-2-alpha antibody [EPR2688(2)] (AB108311)
  • ChIC/CUT&RUN-seq

Lab

ChIC/CUT&RUN sequencing - Anti-Transcription factor AP-2-alpha antibody [EPR2688(2)] (AB108311)

ChIC/CUT&RUN was performed using a pAG-MNase at a final concentration of 700 ng/mL, 2.5 x 10^5 SK-MEL-28 (human malignant melanoma) cells and 5 µg of ab108311 [EPR2688(2)]. The resulting DNA was sequenced on the Illumina NovaSeq 6000 to a depth of 10 million reads. The negative IgG control ab172730 is also shown.
The University of Geneva owns patents relevant to ChIC (Chromatin Immuno-Cleavage) methods.

ChIC/CUT&RUN sequencing - Anti-Transcription factor AP-2-alpha antibody [EPR2688(2)] (AB108311)
  • ChIC/CUT&RUN-seq

Lab

ChIC/CUT&RUN sequencing - Anti-Transcription factor AP-2-alpha antibody [EPR2688(2)] (AB108311)

ChIC/CUT&RUN was performed using a pAG-MNase at a final concentration of 700 ng/mL, 2.5 x 10^5 SK-MEL-28 (human malignant melanoma) cells and 5 µg of ab108311 [EPR2688(2)]. The resulting DNA was sequenced on the Illumina NovaSeq 6000 to a depth of 10 million reads. The negative IgG control ab172730 is also shown.
The University of Geneva owns patents relevant to ChIC (Chromatin Immuno-Cleavage) methods.

ChIC/CUT&RUN sequencing - Anti-Transcription factor AP-2-alpha antibody [EPR2688(2)] (AB108311)
  • ChIC/CUT&RUN-seq

Lab

ChIC/CUT&RUN sequencing - Anti-Transcription factor AP-2-alpha antibody [EPR2688(2)] (AB108311)

ChIC/CUT&RUN was performed using a pAG-MNase at a final concentration of 700 ng/mL, 2.5 x 10^5 SK-MEL-28 (human malignant melanoma) cells and 5 µg of ab108311 [EPR2688(2)]. The resulting DNA was sequenced on the Illumina NovaSeq 6000 to a depth of 10 million reads. The negative IgG control ab172730 is also shown.
The University of Geneva owns patents relevant to ChIC (Chromatin Immuno-Cleavage) methods.

  • 660 APC

    APC Anti-Transcription factor AP-2-alpha antibody [EPR2688(2)]

  • HRP

    HRP Anti-Transcription factor AP-2-alpha antibody [EPR2688(2)]

  • Alkaline Phosphatase

    Alkaline Phosphatase Anti-Transcription factor AP-2-alpha antibody [EPR2688(2)]

  • 617 Alexa Fluor® 594

    Alexa Fluor® 594 Anti-Transcription factor AP-2-alpha antibody [EPR2688(2)]

  • 665 Alexa Fluor® 647

    Alexa Fluor® 647 Anti-Transcription factor AP-2-alpha antibody [EPR2688(2)]

  • 565 Alexa Fluor® 555

    Alexa Fluor® 555 Anti-Transcription factor AP-2-alpha antibody [EPR2688(2)]

  • Carrier free

    Anti-Transcription factor AP-2-alpha antibody [EPR2688(2)] - BSA and Azide free

  • 578 PE

    PE Anti-Transcription factor AP-2-alpha antibody [EPR2688(2)]

  • 519 Alexa Fluor® 488

    Alexa Fluor® 488 Anti-Transcription factor AP-2-alpha antibody [EPR2688(2)]

  • 603 Alexa Fluor® 568

    Alexa Fluor® 568 Anti-Transcription factor AP-2-alpha antibody [EPR2688(2)]

  • 775 Alexa Fluor® 750

    Alexa Fluor® 750 Anti-Transcription factor AP-2-alpha antibody [EPR2688(2)]

Key facts

Host species

Rabbit

Clonality

Monoclonal

Clone number

EPR2688(2)

Isotype

IgG

Carrier free

No

Reacts with

Mouse, Rat, Human

Applications

ICC/IF, WB, IP, IHC-P, ChIC/CUT&RUN-seq, Flow Cyt (Intra)

applications

Immunogen

The exact immunogen used to generate this antibody is proprietary information.

Reactivity data

{ "title": "Reactivity Data", "filters": { "stats": ["", "Species", "Dilution Info", "Notes"], "tabs": { "all-applications": {"fullname" : "All Applications", "shortname": "All Applications"}, "IHCP" : {"fullname" : "Immunohistochemistry (Formalin/PFA-fixed paraffin-embedded sections)", "shortname":"IHC-P"}, "IP" : {"fullname" : "Immunoprecipitation", "shortname":"IP"}, "WB" : {"fullname" : "Western blot", "shortname":"WB"}, "ICCIF" : {"fullname" : "Immunocytochemistry/ Immunofluorescence", "shortname":"ICC/IF"}, "FlowCytIntra" : {"fullname" : "Flow Cytometry (Intracellular)", "shortname":"Flow Cyt (Intra)"}, "ChICCUTRUNseq" : {"fullname" : "ChIC/CUT&RUN sequencing", "shortname":"ChIC/CUT&RUN-seq"} }, "product-promise": { "all": "all", "testedAndGuaranteed": "tested", "guaranteed": "expected", "predicted": "predicted", "notRecommended": "not-recommended" } }, "values": { "Human": { "IHCP-species-checked": "testedAndGuaranteed", "IHCP-species-dilution-info": "1/100 - 1/250", "IHCP-species-notes": "<p></p> Perform heat-mediated antigen retrieval via the pressure cooker method before commencing with IHC staining protocol.", "IP-species-checked": "testedAndGuaranteed", "IP-species-dilution-info": "1/20", "IP-species-notes": "<p></p>", "WB-species-checked": "testedAndGuaranteed", "WB-species-dilution-info": "1/1000 - 1/10000", "WB-species-notes": "<p></p>", "ICCIF-species-checked": "testedAndGuaranteed", "ICCIF-species-dilution-info": "1/50", "ICCIF-species-notes": "<p></p>", "FlowCytIntra-species-checked": "testedAndGuaranteed", "FlowCytIntra-species-dilution-info": "1/20", "FlowCytIntra-species-notes": "<p></p>", "ChICCUTRUNseq-species-checked": "testedAndGuaranteed", "ChICCUTRUNseq-species-dilution-info": "", "ChICCUTRUNseq-species-notes": "<p></p>" }, "Mouse": { "IHCP-species-checked": "testedAndGuaranteed", "IHCP-species-dilution-info": "1/100 - 1/250", "IHCP-species-notes": "<p></p> Perform heat-mediated antigen retrieval via the pressure cooker method before commencing with IHC staining protocol.", "IP-species-checked": "guaranteed", "IP-species-dilution-info": "", "IP-species-notes": "", "WB-species-checked": "guaranteed", "WB-species-dilution-info": "", "WB-species-notes": "", "ICCIF-species-checked": "guaranteed", "ICCIF-species-dilution-info": "", "ICCIF-species-notes": "", "FlowCytIntra-species-checked": "guaranteed", "FlowCytIntra-species-dilution-info": "", "FlowCytIntra-species-notes": "", "ChICCUTRUNseq-species-checked": "guaranteed", "ChICCUTRUNseq-species-dilution-info": "", "ChICCUTRUNseq-species-notes": "" }, "Rat": { "IHCP-species-checked": "testedAndGuaranteed", "IHCP-species-dilution-info": "1/100 - 1/250", "IHCP-species-notes": "<p></p> Perform heat-mediated antigen retrieval via the pressure cooker method before commencing with IHC staining protocol.", "IP-species-checked": "guaranteed", "IP-species-dilution-info": "", "IP-species-notes": "", "WB-species-checked": "guaranteed", "WB-species-dilution-info": "", "WB-species-notes": "", "ICCIF-species-checked": "guaranteed", "ICCIF-species-dilution-info": "", "ICCIF-species-notes": "", "FlowCytIntra-species-checked": "guaranteed", "FlowCytIntra-species-dilution-info": "", "FlowCytIntra-species-notes": "", "ChICCUTRUNseq-species-checked": "guaranteed", "ChICCUTRUNseq-species-dilution-info": "", "ChICCUTRUNseq-species-notes": "" } } }

Product details

What is this antibody validated in?
Anti-Transcription factor AP-2-alpha antibody [EPR2688(2)] (ab108311) is a rabbit recombinant monoclonal antibody and is validated for use in Western Blot (WB), Flow Cytometry (Intra), Flow Cytometry (Flow Cyt), Immunoprecipitation (IP), Immunohistochemistry (IHC-P), Immunocytochemistry/immunofluorescence (ICC/IF) and ChIC/CUT&RUN sequencing in Human, Mouse, Rat samples.

What is the molecular weight of Transcription factor AP-2-alpha?
Anti-Transcription factor AP-2-alpha [EPR2688(2)] (ab108311) specifically detects a band for Transcription factor AP-2-alpha (UniProt: P05549) at a molecular weight of 48kDa.

Trusted by the scientific community
Anti-Transcription factor AP-2-alpha [EPR2688(2)] (ab108311) was first used in a scientific publication in 2011 and has been cited over 20 times in peer-reviewed journals.

Trial sizes available!
Test your antibody or perform pre-screening before committing to a larger quantity. Sold in 20µl. Discover our selection of trial-size antibodies.

Specificity confirmed
The specificity of Anti-Transcription factor AP-2-alpha antibody [EPR2688(2)] (ab108311) has been confirmed by Western blot testing in TFAP2A Knockout HAP1 cell line, ab265122.

Other related products
We have a range of other formats of antibody clone [EPR2688(2)] also available for your convenience: ab108311, Carrier free - ab236043, PE - ab305403, APC - ab305404, HRP - ab305405, Alkaline Phosphatase - ab309016, Alexa Fluor® 488 - ab309663, Alexa Fluor® 647 - ab310026, Alexa Fluor® 594 - ab310404, Alexa Fluor® 555 - ab311931, Alexa Fluor® 568 - ab312402, Alexa Fluor® 750 - ab320892

Patented technology
Our RabMAb® technology is a patented hybridoma-based technology for making rabbit monoclonal antibodies. For details on our patents, please refer to RabMAb® patents.

What are the advantages of a recombinant monoclonal antibody?
This product is a recombinant monoclonal antibody, which offers several advantages including:

  • - High batch-to-batch consistency and reproducibility
  • - Improved sensitivity and specificity
  • - Long-term security of supply
  • - Animal-free batch production

For more information, read more on recombinant antibodies.

Properties and storage information

Form
Liquid
Purification technique
Affinity purification Protein A
Storage buffer
pH: 7.2 - 7.4 Preservative: 0.01% Sodium azide Constituents: PBS, 40% Glycerol (glycerin, glycerine), 0.05% BSA
Shipped at conditions
Blue Ice
Appropriate short-term storage conditions
+4°C
Appropriate long-term storage conditions
-20°C
Storage information
Stable for 12 months at -20°C

Supplementary information

This supplementary information is collated from multiple sources and compiled automatically.

Transcription factor AP-2-alpha also known as TFAP2A or AP-2 is a protein acting as an important regulator in cellular processes. It weighs approximately 52 kDa. TFAP2A is known for its role in binding specific DNA sequences to regulate target gene transcription. It expresses highly in neural crest-derived tissues as well as in the placenta breast and skin. This transcription factor plays an essential role in embryonic development cell proliferation and differentiation.
Biological function summary

TFAP2A contributes significantly to the regulation of gene expression involved in essential developmental and cellular processes. It acts as part of a complex with other transcription factors allowing it to coordinate the expression of a variety of genes linked to cell growth and apoptosis. AP-2 also regulates genes involved in neural development and skin morphogenesis. Its interaction with other factors such as AP-2γ and AP-2B enhances its functionality indicating a complex mechanism of action.

Pathways

TFAP2A engages in critical signalling circuits such as the MAPK and Wnt pathways which are essential for cell cycle regulation and embryonic development. Within these pathways related proteins like AP-2γ and AP-594 interact with TFAP2A further illustrating its role in signal transduction. These relationships highlight the importance of TFAP2A in orchestrating cellular responses to growth signals and environmental cues.

TFAP2A has links to a range of pathological conditions including cancer and neural crest-related disorders. In melanoma for example TFAP2A's regulatory role affects genes associated with tumor growth and metastasis. The protein's interaction with other transcription factors like AP-647 may influence cancer progression and therapy response. Additionally the dysregulation of TFAP2A affects neural crest development potentially leading to congenital disorders. Understanding these interactions assists in unraveling the molecular basis of such diseases and informs therapeutic strategies.

Product protocols

For this product, it's our understanding that no specific protocols are required. You can visit:

Target data

Sequence-specific DNA-binding protein that interacts with inducible viral and cellular enhancer elements to regulate transcription of selected genes. AP-2 factors bind to the consensus sequence 5'-GCCNNNGGC-3' and activate genes involved in a large spectrum of important biological functions including proper eye, face, body wall, limb and neural tube development. They also suppress a number of genes including MCAM/MUC18, C/EBP alpha and MYC. AP-2-alpha is the only AP-2 protein required for early morphogenesis of the lens vesicle. Together with the CITED2 coactivator, stimulates the PITX2 P1 promoter transcription activation. Associates with chromatin to the PITX2 P1 promoter region.
See full target information TFAP2A

Publications (37)

Recent publications for all applications. Explore the full list and refine your search

Molecular biotechnology : PubMed40944775

2025

TFAP2A-mediated Transcriptional Activation of ELMO1 Inhibits Ferroptosis and Promotes Esophageal Squamous Cell Carcinoma Progression.

Applications

Unspecified application

Species

Unspecified reactive species

Zhensheng Deng,Jinghong Xu,Zhenguo Liu

Hereditas 162:156 PubMed40813717

2025

TFAP2A promotes NSCLC malignant progression by enhancing AOC1 transcription.

Applications

Unspecified application

Species

Unspecified reactive species

Xiang Miao,Hongzhen Zheng,Huimin Mo,Jing Chang,Qin Jia,Hai Zhou

iScience 28:113060 PubMed40727938

2025

TFAP2A enhances tumor stemness and promotes metastasis in pancreatic ductal adenocarcinoma.

Applications

Unspecified application

Species

Unspecified reactive species

Jiaxin Luo,Zezhi Ding,Dongjie Chen,Yongsheng Jiang,Yizhi Cao,Minmin Shi,Xiaomei Tang,Jia Liu,Meilin Xue,Zehui Zhang,Kexian Li,Yu Bao,Fangfang Ma,Ting Wang,Lingxi Jiang

Developmental dynamics : an official publication of the American Association of Anatomists 254:1160-1169 PubMed40047147

2025

Human stem cell model of neural crest cell differentiation reveals a requirement of SF3B4 in survival, maintenance, and differentiation.

Applications

Unspecified application

Species

Unspecified reactive species

Casey Griffin,Jean-Pierre Saint-Jeannet

Nature communications 15:5602 PubMed38961108

2024

KAT8-mediated H4K16ac is essential for sustaining trophoblast self-renewal and proliferation via regulating CDX2.

Applications

Unspecified application

Species

Unspecified reactive species

Shilei Bi,Lijun Huang,Yongjie Chen,Zhenhua Hu,Shanze Li,Yifan Wang,Baoying Huang,Lizi Zhang,Yuanyuan Huang,Beibei Dai,Lili Du,Zhaowei Tu,Yijing Wang,Dan Xu,Xiaotong Xu,Wen Sun,Julia Kzhyshkowska,Haibin Wang,Dunjin Chen,Fengchao Wang,Shuang Zhang

Breast cancer research : BCR 26:103 PubMed38890750

2024

TFAP2A downregulation mediates tumor-suppressive effect of miR-8072 in triple-negative breast cancer via inhibiting SNAI1 transcription.

Applications

Unspecified application

Species

Unspecified reactive species

Yujie Fang,Yali Wang,Hongning Ma,Yuqi Guo,Rongrong Xu,Xixi Chen,Xuehua Chen,Ye Lv,Pu Li,Yujing Gao

Advanced science (Weinheim, Baden-Wurttemberg, Germany) 11:e2306810 PubMed38647380

2024

HOXA-AS2 Epigenetically Inhibits HBV Transcription by Recruiting the MTA1-HDAC1/2 Deacetylase Complex to cccDNA Minichromosome.

Applications

Unspecified application

Species

Unspecified reactive species

YiPing Qin,JiHua Ren,HaiBo Yu,Xin He,ShengTao Cheng,WeiXian Chen,Zhen Yang,FengMing Sun,ChunDuo Wang,SiYu Yuan,Peng Chen,DaiQing Wu,Fang Ren,AiLong Huang,Juan Chen

Cell death discovery 9:187 PubMed37349285

2023

Syntabulin regulates neuronal excitation/inhibition balance and epileptic seizures by transporting syntaxin 1B.

Applications

Unspecified application

Species

Unspecified reactive species

Pingyang Ke,Juan Gu,Jing Liu,Yan Liu,Xin Tian,Yuanlin Ma,Yuan Meng,Fei Xiao

The Journal of biological chemistry 299:102945 PubMed36707053

2023

Transcription factor AP-2α activates RNA polymerase III-directed transcription and tumor cell proliferation by controlling expression of c-MYC and p53.

Applications

Unspecified application

Species

Unspecified reactive species

Juan Wang,Qiyue Chen,Feixia Peng,Shasha Zhao,Cheng Zhang,Xiaoye Song,Deen Yu,Zhongyu Wu,Jiannan Du,Hongwei Ni,Huan Deng,Wensheng Deng

International journal of molecular sciences 23: PubMed36430853

2022

Overexpression of Tfap2a in Mouse Oocytes Impaired Spindle and Chromosome Organization.

Applications

Unspecified application

Species

Unspecified reactive species

Juan Lin,Zhuqing Ji,Zhengyang Di,Yeqing Zhang,Chen Yan,Shenming Zeng
View all publications

Product promise

We are committed to supporting your work with high-quality reagents, and we're here for you every step of the way. In the unlikely event that one of our products does not perform as expected, you're protected by our Product Promise.
For full details, please see our Terms & Conditions

Please note: All products are 'FOR RESEARCH USE ONLY. NOT FOR USE IN DIAGNOSTIC OR THERAPEUTIC PROCEDURES'.

For licensing inquiries, please contact partnerships@abcam.com