JavaScript is disabled in your browser. Please enable JavaScript to view this website.
AB243452

Anti-Transcription factor Sp4 antibody

Be the first to review this product! Submit a review

|

(1 Publication)

Rabbit Polyclonal Transcription factor Sp4 antibody. Suitable for IHC-P, ICC/IF and reacts with Human samples. Cited in 1 publication. Immunogen corresponding to Recombinant Fragment Protein within Human Transcription factor Sp4 aa 50-150.

View Alternative Names

Transcription factor Sp4, SPR-1, SP4

2 Images
Immunocytochemistry/ Immunofluorescence - Anti-Transcription factor Sp4 antibody (AB243452)
  • ICC/IF

Supplier Data

Immunocytochemistry/ Immunofluorescence - Anti-Transcription factor Sp4 antibody (AB243452)

PFA fixed, Triton X-100 permeabilized U-2251 MG (Human brain glioma cell line) cells labeling Transcription factor Sp4 using ab243452 at 4 μg/ml (green) in ICC/IF. Microtubules in red.

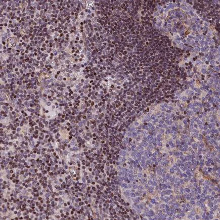
Immunohistochemistry (Formalin/PFA-fixed paraffin-embedded sections) - Anti-Transcription factor Sp4 antibody (AB243452)
  • IHC-P

Supplier Data

Immunohistochemistry (Formalin/PFA-fixed paraffin-embedded sections) - Anti-Transcription factor Sp4 antibody (AB243452)

Formalin-fixed, paraffin-embedded human lymph node tissue stained for Transcription factor Sp4 with ab243452 at 1/50 dilution in immunohistochemical analysis.

Key facts

Host species

Rabbit

Clonality

Polyclonal

Isotype

IgG

Carrier free

No

Reacts with

Human

Applications

IHC-P, ICC/IF

applications

Immunogen

Recombinant Fragment Protein within Human Transcription factor Sp4 aa 50-150. The exact immunogen used to generate this antibody is proprietary information.

Q02446

Reactivity data

{ "title": "Reactivity Data", "filters": { "stats": ["", "Species", "Dilution Info", "Notes"], "tabs": { "all-applications": {"fullname" : "All Applications", "shortname": "All Applications"}, "IHCP" : {"fullname" : "Immunohistochemistry (Formalin/PFA-fixed paraffin-embedded sections)", "shortname":"IHC-P"}, "ICCIF" : {"fullname" : "Immunocytochemistry/ Immunofluorescence", "shortname":"ICC/IF"} }, "product-promise": { "all": "all", "testedAndGuaranteed": "tested", "guaranteed": "expected", "predicted": "predicted", "notRecommended": "not-recommended" } }, "values": { "Human": { "IHCP-species-checked": "testedAndGuaranteed", "IHCP-species-dilution-info": "1/50 - 1/200", "IHCP-species-notes": "<p></p> Perform heat-mediated antigen retrieval with citrate buffer pH 6 before commencing with IHC staining protocol.", "ICCIF-species-checked": "testedAndGuaranteed", "ICCIF-species-dilution-info": "0.25-2 µg/mL", "ICCIF-species-notes": "<p>Fixation/Permeabilization: PFA/Triton X-100.</p>" }, "Mouse": { "IHCP-species-checked": "predicted", "IHCP-species-dilution-info": "", "IHCP-species-notes": "", "ICCIF-species-checked": "predicted", "ICCIF-species-dilution-info": "", "ICCIF-species-notes": "" } } }

Properties and storage information

Form
Liquid
Purification technique
Affinity purification Immunogen
Storage buffer
pH: 7.2 Preservative: 0.02% Sodium azide Constituents: PBS, 40% Glycerol (glycerin, glycerine)
Shipped at conditions
Blue Ice
Appropriate short-term storage duration
1-2 weeks
Appropriate short-term storage conditions
+4°C
Appropriate long-term storage conditions
-20°C
Aliquoting information
Upon delivery aliquot
Storage information
Avoid freeze / thaw cycle

Supplementary information

This supplementary information is collated from multiple sources and compiled automatically.

Transcription factor Sp4 also recognized as specificity protein 4 plays a pivotal role in regulating gene expression. Its molecular mass is approximately 80 kDa. This transcription factor belongs to the Sp family of zinc-finger DNA-binding proteins and can be found in various tissues with pronounced expression in the central nervous system. Sp4 binds to GC-rich motifs within promoter regions to regulate the transcription of specific target genes influencing cellular processes that contribute to development and function.
Biological function summary

The transcription factor influences the regulation of neuronal and neural-precursor development. Sp4 does not function as part of a stable complex but interacts dynamically with other transcriptional regulators enabling flexibility in gene expression control. Its activity affects the expression of genes critical for neuronal differentiation and synaptic plasticity mediating cellular responses fundamental to brain development and functioning.

Pathways

Sp4 participates significantly in the signaling associated with neurogenesis and synaptic transmission. It interacts within the Wnt signaling and cAMP response element-binding protein (CREB) pathways mediating cross-talk that underpins neuronal differentiation and survival. In these pathways Sp4 associates with related proteins such as Sp1 and Sp3 collectively modulating gene expression that drives neuronal processes.

Transcription factor Sp4 has been linked to psychiatric disorders and neurodegenerative diseases. Dysregulation of Sp4 expression is associated with schizophrenia and bipolar disorder where altered neuronal gene expression contributes to symptom development. In the context of these conditions Sp4 interacts with proteins such as BDNF (brain-derived neurotrophic factor) and GSK-3β (glycogen synthase kinase 3 beta) relating the transcription factor's role to pathways that are disrupted in mental health disorders.

Product protocols

For this product, it's our understanding that no specific protocols are required. You can visit:

Target data

Binds to GT and GC boxes promoters elements. Probable transcriptional activator.
See full target information Transcription factor Sp4

Publications (1)

Recent publications for all applications. Explore the full list and refine your search

Journal of cellular and molecular medicine 28:e18215 PubMed38509755

2024

CCDC157 is essential for sperm differentiation and shows oligoasthenoteratozoospermia-related mutations in men.

Applications

Unspecified application

Species

Unspecified reactive species

Huimei Zheng,Chenjia Gong,Jingping Li,Jiaru Hou,Xinhan Gong,Xinhai Zhu,Huan Deng,Haoyue Wu,Fengbin Zhang,Qinghua Shi,Jianteng Zhou,Baolu Shi,Xiaohang Yang,Yongmei Xi
View all publications

Product promise

We are committed to supporting your work with high-quality reagents, and we're here for you every step of the way. In the unlikely event that one of our products does not perform as expected, you're protected by our Product Promise.
For full details, please see our Terms & Conditions

Please note: All products are 'FOR RESEARCH USE ONLY. NOT FOR USE IN DIAGNOSTIC OR THERAPEUTIC PROCEDURES'.

For licensing inquiries, please contact partnerships@abcam.com