JavaScript is disabled in your browser. Please enable JavaScript to view this website.
AB218020

Anti-Transferrin antibody [1F10]

Be the first to review this product! Submit a review

|

(1 Publication)

Mouse Monoclonal Transferrin antibody. Suitable for IHC-P and reacts with Human samples. Cited in 1 publication. Immunogen corresponding to Native Full Length Protein corresponding to Human TF.

View Alternative Names

PRO1400, TF, Serotransferrin, Transferrin, Beta-1 metal-binding globulin, Siderophilin

2 Images
Immunohistochemistry (Formalin/PFA-fixed paraffin-embedded sections) - Anti-Transferrin antibody [1F10] (AB218020)
  • IHC-P

Supplier Data

Immunohistochemistry (Formalin/PFA-fixed paraffin-embedded sections) - Anti-Transferrin antibody [1F10] (AB218020)

Immunohistochemical analysis of paraformaldehyde fixed, paraffin embedded Human kidney tissue labeling Transferrin with ab218020 at 1/400 followed by a conjugated secondary antibody and DAB staining. Antigen retrieval was by boiling in sodium citrate buffer (pH 6.0) for 15 minutes; block endogenous peroxidase by 3% hydrogen peroxide for 20 minutes; blocking buffer (normal goat serum) at 37°C for 30 minutes.

Immunohistochemistry (Formalin/PFA-fixed paraffin-embedded sections) - Anti-Transferrin antibody [1F10] (AB218020)
  • IHC-P

Supplier Data

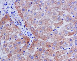
Immunohistochemistry (Formalin/PFA-fixed paraffin-embedded sections) - Anti-Transferrin antibody [1F10] (AB218020)

Immunohistochemical analysis of paraformaldehyde fixed, paraffin embedded Human liver cancer tissue labeling Transferrin with ab218020 at 1/400 dilution, followed by a conjugated secondary antibody and DAB staining. Antigen retrieval was by boiling in sodium citrate buffer (pH 6.0) for 15 minutes; block endogenous peroxidase by 3% hydrogen peroxide for 20 minutes; blocking buffer (normal goat serum) at 37°C for 30 minutes.

Key facts

Host species

Mouse

Clonality

Monoclonal

Clone number

1F10

Isotype

IgG

Carrier free

No

Reacts with

Human

Applications

IHC-P

applications

Immunogen

Native Full Length Protein corresponding to Human TF.

P02787

Reactivity data

{ "title": "Reactivity Data", "filters": { "stats": ["", "Species", "Dilution Info", "Notes"], "tabs": { "all-applications": {"fullname" : "All Applications", "shortname": "All Applications"}, "IHCP" : {"fullname" : "Immunohistochemistry (Formalin/PFA-fixed paraffin-embedded sections)", "shortname":"IHC-P"} }, "product-promise": { "all": "all", "testedAndGuaranteed": "tested", "guaranteed": "expected", "predicted": "predicted", "notRecommended": "not-recommended" } }, "values": { "Human": { "IHCP-species-checked": "testedAndGuaranteed", "IHCP-species-dilution-info": "1/100 - 1/500", "IHCP-species-notes": "<p></p> Perform heat-mediated antigen retrieval with citrate buffer pH 6 before commencing with IHC staining protocol." } } }

Properties and storage information

Form
Liquid
Purification technique
Affinity purification Protein G
Storage buffer
pH: 7.4 Preservative: 0.02% Proclin 300 Constituents: 50% Glycerol (glycerin, glycerine), 48.98% TBS, 1X, 1% BSA
Shipped at conditions
Blue Ice
Appropriate short-term storage duration
1-2 weeks
Appropriate short-term storage conditions
+4°C
Appropriate long-term storage conditions
-20°C
Aliquoting information
Upon delivery aliquot
Storage information
Avoid freeze / thaw cycle

Supplementary information

This supplementary information is collated from multiple sources and compiled automatically.

Transferrin also known as serotransferrin or siderophilin is a glycoprotein with a mass of approximately 80 kDa. It is primarily synthesized in the liver and subsequently secreted into the bloodstream. Transferrin has an important role in iron transport and maintains iron homeostasis by binding and delivering iron to various tissues throughout the body. It can bind two ferric ions (Fe3+) in association with an anion usually bicarbonate. In biological fluids transferrin exists in serum plasma and other extracellular fluids.
Biological function summary

Transferrin facilitates the transportation of iron ions. It delivers iron to cells by binding to transferrin receptors on cell surfaces forming a complex that gets internalized via receptor-mediated endocytosis. Inside the endosomes acidic conditions cause iron to release from transferrin enabling its utilization in cellular processes like DNA synthesis and electron transport. Transferrin itself acts independently and does not form part of a larger protein complex. Variants of transferrin include mouse transferrin bovine transferrin and biotinylated transferrin each with similar function across different species.

Pathways

Transferrin operates centrally in iron metabolism and homeostasis pathways. It functions in coordination with the transferrin receptor 1 (TfR1) which facilitates cellular uptake of the transferrin-iron complex. Additionally transferrin plays a role in the hepcidin regulatory pathway. Hepcidin modulates iron homeostasis by decreasing iron absorption in the intestine and controlling iron release from macrophages and hepatocytes. Transferrin's ability to bind iron connects it to other iron-containing proteins such as ferritin which stores excess iron in cells.

Several iron-related conditions can impact transferrin function including anemia and hemochromatosis. Anemia often occurs when there is insufficient iron delivery leading to inadequate hemoglobin synthesis and reduced oxygen transport. Aberrant transferrin receptor activity affects iron uptake in such conditions. Hemochromatosis characterized by iron overload can occur due to mutations in genes like HFE leading to changes in hepcidin regulation and increased intestinal iron absorption. Transferrin levels and saturation are clinical indicators used to assess iron status in such diseases.

Product protocols

For this product, it's our understanding that no specific protocols are required. You can visit:

Target data

Transferrins are iron binding transport proteins which can bind two Fe(3+) ions in association with the binding of an anion, usually bicarbonate. It is responsible for the transport of iron from sites of absorption and heme degradation to those of storage and utilization. Serum transferrin may also have a further role in stimulating cell proliferation.. (Microbial infection) Serves as an iron source for Neisseria species, which capture the protein and extract its iron for their own use.. (Microbial infection) Serves as an iron source for parasite T.brucei (strain 427), which capture TF via its own transferrin receptor ESAG6 : ESAG7 and extract its iron for its own use.
See full target information TF

Publications (1)

Recent publications for all applications. Explore the full list and refine your search

Journal of gastrointestinal oncology 15:1035-1049 PubMed38989423

2024

B7-H3 enhances colorectal cancer progression by regulating HB-EGF via HIF-1α.

Applications

Unspecified application

Species

Unspecified reactive species

Chenrui Hu,Shengjia Wang,Jin Wang,Xiaokang Ruan,Linwei Wu,Zhe Zhang,Xuefeng Wang,Jianglei Zhang,Yonghao Liu,Yao Li,Xin Zhao
View all publications

Product promise

We are committed to supporting your work with high-quality reagents, and we're here for you every step of the way. In the unlikely event that one of our products does not perform as expected, you're protected by our Product Promise.
For full details, please see our Terms & Conditions

Please note: All products are 'FOR RESEARCH USE ONLY. NOT FOR USE IN DIAGNOSTIC OR THERAPEUTIC PROCEDURES'.

For licensing inquiries, please contact partnerships@abcam.com