JavaScript is disabled in your browser. Please enable JavaScript to view this website.
AB277635

Anti-Transferrin antibody [EPR20149-224] - Serum Loading Control

  • BOND RX™ Validated
  • RabMAb
  • Recombinant
  • Lab Essentials
  • What is this?

Be the first to review this product! Submit a review

|

(9 Publications)

Rabbit Recombinant Monoclonal Transferrin antibody. Suitable for ICC/IF, IP, WB, Flow Cyt (Intra), IHC-P and reacts with Human samples. Cited in 9 publications.

View Alternative Names

PRO1400, TF, Serotransferrin, Transferrin, Beta-1 metal-binding globulin, Siderophilin

8 Images
Immunohistochemistry (Formalin/PFA-fixed paraffin-embedded sections) - Anti-Transferrin antibody [EPR20149-224] - Serum Loading Control (AB277635)
  • IHC-P

Supplier Data

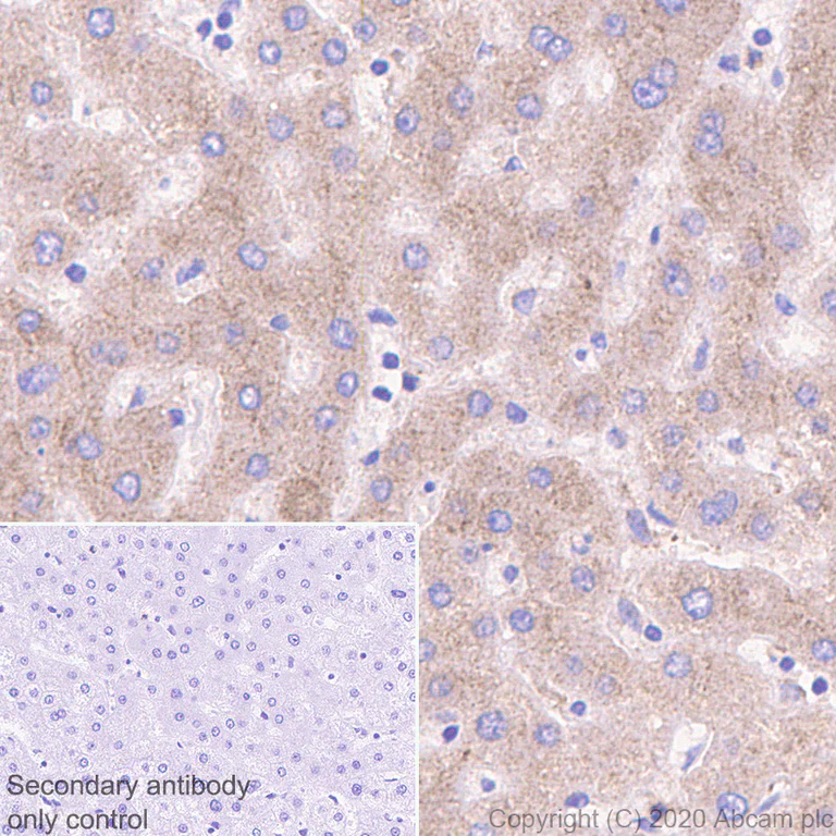
Immunohistochemistry (Formalin/PFA-fixed paraffin-embedded sections) - Anti-Transferrin antibody [EPR20149-224] - Serum Loading Control (AB277635)

Immunohistochemical analysis of paraffin-embedded Human liver tissue labeling Transferrin with ab277635 at 1/100 (5.04 ug/ml) followed by a ready to use Rabbit specific IHC polymer detection kit HRP/DAB (ab209101). Cytoplasmic staining on human liver. The section was incubated with ab277635 for 30 mins at room temperature. The immunostaining was performed on a Leica Biosystems BOND® RX instrument. Counterstained with Hematoxylin.

Secondary antibody only control : Secondary antibody is a ready to use Rabbit specific IHC polymer detection kit HRP/DAB (ab209101).

Heat mediated antigen retrieval with Tris-EDTA buffer (pH 9.0, epitope retrieval solution2) for 20 mins.

Immunohistochemistry (Formalin/PFA-fixed paraffin-embedded sections) - Anti-Transferrin antibody [EPR20149-224] - Serum Loading Control (AB277635)
  • IHC-P

Supplier Data

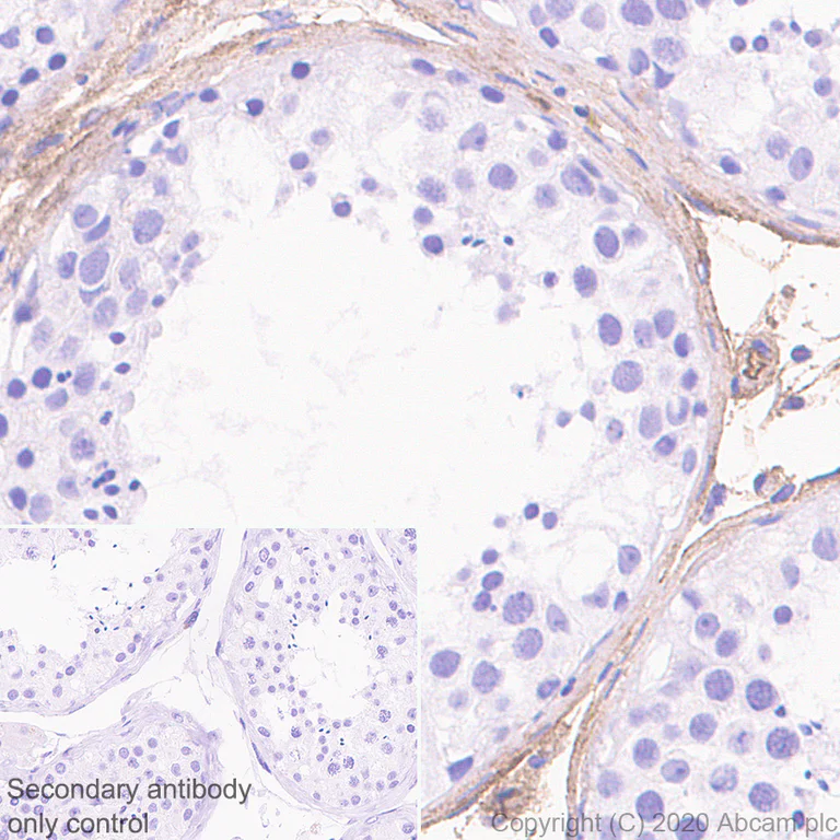
Immunohistochemistry (Formalin/PFA-fixed paraffin-embedded sections) - Anti-Transferrin antibody [EPR20149-224] - Serum Loading Control (AB277635)

Immunohistochemical analysis of paraffin-embedded Human testis tissue labeling Transferrin with ab277635 at 1/100 (5.04 ug/ml) followed by a ready to use Rabbit specific IHC polymer detection kit HRP/DAB (ab209101). Positive staining on stromal cells of human testis. The section was incubated with ab277635 for 30 mins at room temperature. The immunostaining was performed on a Leica Biosystems BOND® RX instrument. Counterstained with Hematoxylin.

Secondary antibody only control : Secondary antibody is a ready to use Rabbit specific IHC polymer detection kit HRP/DAB (ab209101).

Heat mediated antigen retrieval with Tris-EDTA buffer (pH 9.0, epitope retrieval solution2) for 20 mins.

Immunocytochemistry/ Immunofluorescence - Anti-Transferrin antibody [EPR20149-224] - Serum Loading Control (AB277635)
  • ICC/IF

Supplier Data

Immunocytochemistry/ Immunofluorescence - Anti-Transferrin antibody [EPR20149-224] - Serum Loading Control (AB277635)

Immunofluorescent analysis of 4% Paraformaldehyde-fixed, 0.1% Triton X-100 permeabilized HepG2 cells labelling Transferrin with ab277635 at 1/100 (5.04 ug/ml) dilution, followed by ab150077 Goat Anti-Rabbit IgG H&L (Alexa Fluor® 488) antibody at 1/1000 dilution (Green). Confocal image showing cytoplasmic staining in HepG2 cell line. ab195889 Anti-alpha Tubulin mouse monoclonal antibody - Microtubule Marker (Alexa Fluo® 594) was used to counterstain tubulin at 1/200 dilution (Red). The Nuclear counterstain was DAPI (Blue).

Secondary antibody only control : Secondary antibody is ab150077 Goat Anti-Rabbit IgG H&L (Alexa Fluor® 488) at 1/1000 dilution.

Immunocytochemistry/ Immunofluorescence - Anti-Transferrin antibody [EPR20149-224] - Serum Loading Control (AB277635)
  • ICC/IF

Lab

Immunocytochemistry/ Immunofluorescence - Anti-Transferrin antibody [EPR20149-224] - Serum Loading Control (AB277635)

ab277635 staining Transferrin in HepG2 cells, with negative expression in K562 cells. The cells were fixed with 4% formaldehyde (10 min), permeabilised with 0.1% Triton x-100 for 5 minutes and then blocked with 1% BSA/10% normal goat serum/0.3M glycine in 0.1% PBS-Tween for 1h. The cells were then incubated overnight at +4°C with ab277635 at 1 μg/ml and ab7291, Mouse monoclonal [DM1A] to alpha Tubulin at 0.5 μg/ml. Cells were then incubated with ab150081, Goat polyclonal Secondary Antibody to Rabbit IgG - H&L (Alexa Fluor® 488), pre-adsorbed at 1/1000 dilution (shown in green) and ab150119, Goat polyclonal Secondary Antibody to Mouse IgG - H&L (Alexa Fluor® 647), pre-adsorbed at 1/1000 dilution (shown in red). Nuclear DNA was labelled with DAPI (shown in blue).

Image was acquired with a confocal microscope (Leica-Microsystems TCS SP8) and a single confocal section is shown.

This product also work with 100% methanol (5 min) fixation under the same testing conditions.

Flow Cytometry (Intracellular) - Anti-Transferrin antibody [EPR20149-224] - Serum Loading Control (AB277635)
  • Flow Cyt (Intra)

Supplier Data

Flow Cytometry (Intracellular) - Anti-Transferrin antibody [EPR20149-224] - Serum Loading Control (AB277635)

Intracellular flow cytometric analysis of 4% paraformaldehyde-fixed, 90% methanol-permeabilized HepG2 (human hepatocellular carcinoma epithelial cell) cells labelling Transferrin with ab277635 at 1/500 dilution (0.1ug) (Red) compared with a Rabbit monoclonal IgG (ab172730) isotype control (Black) and an unlabelled control (cells without incubation with primary antibody and secondary antibody) (Blue).

A Goat anti rabbit IgG (Alexa Fluor® 488, ab150077) at 1/2000 dilution was used as the secondary antibody.

Immunoprecipitation - Anti-Transferrin antibody [EPR20149-224] - Serum Loading Control (AB277635)
  • IP

Supplier Data

Immunoprecipitation - Anti-Transferrin antibody [EPR20149-224] - Serum Loading Control (AB277635)

Transferrin was immunoprecipitated from 0.35 mg Human liver tissue lysate with ab277635 at 1/30 dilution (2ug in 0.35mg lysates). Western blot was performed on the immunoprecipitate using ab277635 at 1/1000 dilution. VeriBlot for IP Detection Reagent (HRP)(ab131366) was used at 1/5000 dilution.

Lane 1 : Human liver tissue lysate 10 ug

Lane 2 : ab277635 IP in Human liver tissue lysate

Lane 3 : Rabbit monoclonal IgG (ab172730) instead of ab277635 in Human liver tissue lysate

Blocking and dilution buffer and concentration : 5% NFDM/TBST.

Exposure time : 3 minutes.

All lanes:

Immunoprecipitation - Anti-Transferrin antibody [EPR20149-224] - Serum Loading Control (ab277635)

Predicted band size: 77 kDa

Observed band size: 77 kDa

false

Western blot - Anti-Transferrin antibody [EPR20149-224] - Serum Loading Control (AB277635)
  • WB

Lab

Western blot - Anti-Transferrin antibody [EPR20149-224] - Serum Loading Control (AB277635)

Blocking and diluting buffer and concentration : 5% NFDM/TBST.

This blot was developed using a higher sensitivity ECL substrate.

Exposure time : 3 minutes.

All lanes:

Western blot - Anti-Transferrin antibody [EPR20149-224] - Serum Loading Control (ab277635) at 1/1000 dilution

All lanes:

HepG2 (human hepatocellular carcinoma epithelial cell), whole cell lysate at 20 µg

Secondary

All lanes:

Goat Anti-Rabbit IgG, (H+L), Peroxidase conjugated (<a href='/en-us/products/secondary-antibodies/goat-rabbit-igg-h-l-hrp-ab97051'>ab97051</a>) at 1/100000 dilution

Predicted band size: 77 kDa

Observed band size: 77 kDa

false

Western blot - Anti-Transferrin antibody [EPR20149-224] - Serum Loading Control (AB277635)
  • WB

Lab

Western blot - Anti-Transferrin antibody [EPR20149-224] - Serum Loading Control (AB277635)

Blocking and diluting buffer and concentration : 5% NFDM/TBST. Exposure times : Lane 1-4 : 3.25 seconds Lane 5 : 15 seconds.

All lanes:

Western blot - Anti-Transferrin antibody [EPR20149-224] - Serum Loading Control (ab277635) at 1/1000 dilution

Lane 1:

Human plasma at 20 µL

Lane 2:

Human breast tissue lysate at 20 µg

Lane 3:

Human kidney tissue lysate at 20 µg

Lane 4:

Human testis tissue lysate at 20 µg

Lane 5:

Human liver tissue lysate at 20 µg

Secondary

Lane 1:

Goat Anti-Rabbit IgG (HRP) with minimal cross-reactivity with human IgG at 1/2000 dilution

Lanes 2 - 5:

VeriBlot for IP secondary antibody(HRP)(<a href='/en-us/products/reagents/veriblot-for-ip-detection-reagent-hrp-ab131366'>ab131366</a>) at 1/1000 dilution

Predicted band size: 77 kDa

Observed band size: 77 kDa

false

  • Carrier free

    Anti-Transferrin antibody [EPR20149-224] - BSA and Azide free

Key facts

Host species

Rabbit

Clonality

Monoclonal

Clone number

EPR20149-224

Isotype

IgG

Carrier free

No

Reacts with

Human

Applications

IP, IHC-P, WB, ICC/IF, Flow Cyt (Intra)

applications

Immunogen

The exact immunogen used to generate this antibody is proprietary information.

Reactivity data

{ "title": "Reactivity Data", "filters": { "stats": ["", "Species", "Dilution Info", "Notes"], "tabs": { "all-applications": {"fullname" : "All Applications", "shortname": "All Applications"}, "ICCIF" : {"fullname" : "Immunocytochemistry/ Immunofluorescence", "shortname":"ICC/IF"}, "IP" : {"fullname" : "Immunoprecipitation", "shortname":"IP"}, "WB" : {"fullname" : "Western blot", "shortname":"WB"}, "FlowCytIntra" : {"fullname" : "Flow Cytometry (Intracellular)", "shortname":"Flow Cyt (Intra)"}, "IHCP" : {"fullname" : "Immunohistochemistry (Formalin/PFA-fixed paraffin-embedded sections)", "shortname":"IHC-P"} }, "product-promise": { "all": "all", "testedAndGuaranteed": "tested", "guaranteed": "expected", "predicted": "predicted", "notRecommended": "not-recommended" } }, "values": { "Human": { "ICCIF-species-checked": "testedAndGuaranteed", "ICCIF-species-dilution-info": "1/100", "ICCIF-species-notes": "<p></p>", "IP-species-checked": "testedAndGuaranteed", "IP-species-dilution-info": "1/30", "IP-species-notes": "<p></p>", "WB-species-checked": "testedAndGuaranteed", "WB-species-dilution-info": "1/1000", "WB-species-notes": "<p></p>", "FlowCytIntra-species-checked": "testedAndGuaranteed", "FlowCytIntra-species-dilution-info": "1/500", "FlowCytIntra-species-notes": "<p></p>", "IHCP-species-checked": "testedAndGuaranteed", "IHCP-species-dilution-info": "1/100", "IHCP-species-notes": "<p></p>" }, "Mouse": { "ICCIF-species-checked": "notRecommended", "ICCIF-species-dilution-info": "", "ICCIF-species-notes": "", "IP-species-checked": "notRecommended", "IP-species-dilution-info": "1/30", "IP-species-notes": "<p></p>", "WB-species-checked": "notRecommended", "WB-species-dilution-info": "1/1000", "WB-species-notes": "<p></p>", "FlowCytIntra-species-checked": "notRecommended", "FlowCytIntra-species-dilution-info": "", "FlowCytIntra-species-notes": "", "IHCP-species-checked": "notRecommended", "IHCP-species-dilution-info": "1/100", "IHCP-species-notes": "<p></p>" }, "Rat": { "ICCIF-species-checked": "notRecommended", "ICCIF-species-dilution-info": "", "ICCIF-species-notes": "", "IP-species-checked": "notRecommended", "IP-species-dilution-info": "", "IP-species-notes": "", "WB-species-checked": "notRecommended", "WB-species-dilution-info": "1/1000", "WB-species-notes": "<p></p>", "FlowCytIntra-species-checked": "notRecommended", "FlowCytIntra-species-dilution-info": "", "FlowCytIntra-species-notes": "", "IHCP-species-checked": "notRecommended", "IHCP-species-dilution-info": "1/100", "IHCP-species-notes": "<p></p>" } } }

Product details

Patented technology
Our RabMAb® technology is a patented hybridoma-based technology for making rabbit monoclonal antibodies. For details on our patents, please refer to RabMAb® patents.

What are the advantages of a recombinant monoclonal antibody?
This product is a recombinant monoclonal antibody, which offers several advantages including:

  • - High batch-to-batch consistency and reproducibility
  • - Improved sensitivity and specificity
  • - Long-term security of supply
  • - Animal-free batch production

For more information, read more on recombinant antibodies.

Properties and storage information

Form
Liquid
Purification technique
Affinity purification Protein A
Storage buffer
Preservative: 0.01% Sodium azide Constituents: PBS, 40% Glycerol (glycerin, glycerine), 0.05% BSA
Shipped at conditions
Blue Ice
Appropriate short-term storage duration
1-2 weeks
Appropriate short-term storage conditions
+4°C
Appropriate long-term storage conditions
-20°C
Aliquoting information
Upon delivery aliquot
Storage information
Avoid freeze / thaw cycle

Supplementary information

This supplementary information is collated from multiple sources and compiled automatically.

Transferrin also known as serotransferrin or siderophilin is a glycoprotein with a mass of approximately 80 kDa. It is primarily synthesized in the liver and subsequently secreted into the bloodstream. Transferrin has an important role in iron transport and maintains iron homeostasis by binding and delivering iron to various tissues throughout the body. It can bind two ferric ions (Fe3+) in association with an anion usually bicarbonate. In biological fluids transferrin exists in serum plasma and other extracellular fluids.
Biological function summary

Transferrin facilitates the transportation of iron ions. It delivers iron to cells by binding to transferrin receptors on cell surfaces forming a complex that gets internalized via receptor-mediated endocytosis. Inside the endosomes acidic conditions cause iron to release from transferrin enabling its utilization in cellular processes like DNA synthesis and electron transport. Transferrin itself acts independently and does not form part of a larger protein complex. Variants of transferrin include mouse transferrin bovine transferrin and biotinylated transferrin each with similar function across different species.

Pathways

Transferrin operates centrally in iron metabolism and homeostasis pathways. It functions in coordination with the transferrin receptor 1 (TfR1) which facilitates cellular uptake of the transferrin-iron complex. Additionally transferrin plays a role in the hepcidin regulatory pathway. Hepcidin modulates iron homeostasis by decreasing iron absorption in the intestine and controlling iron release from macrophages and hepatocytes. Transferrin's ability to bind iron connects it to other iron-containing proteins such as ferritin which stores excess iron in cells.

Several iron-related conditions can impact transferrin function including anemia and hemochromatosis. Anemia often occurs when there is insufficient iron delivery leading to inadequate hemoglobin synthesis and reduced oxygen transport. Aberrant transferrin receptor activity affects iron uptake in such conditions. Hemochromatosis characterized by iron overload can occur due to mutations in genes like HFE leading to changes in hepcidin regulation and increased intestinal iron absorption. Transferrin levels and saturation are clinical indicators used to assess iron status in such diseases.

Product protocols

For this product, it's our understanding that no specific protocols are required. You can visit:

Target data

Transferrins are iron binding transport proteins which can bind two Fe(3+) ions in association with the binding of an anion, usually bicarbonate. It is responsible for the transport of iron from sites of absorption and heme degradation to those of storage and utilization. Serum transferrin may also have a further role in stimulating cell proliferation.. (Microbial infection) Serves as an iron source for Neisseria species, which capture the protein and extract its iron for their own use.. (Microbial infection) Serves as an iron source for parasite T.brucei (strain 427), which capture TF via its own transferrin receptor ESAG6 : ESAG7 and extract its iron for its own use.
See full target information TF

Publications (9)

Recent publications for all applications. Explore the full list and refine your search

Cancer immunology, immunotherapy : CII 74:43 PubMed39751915

2025

Transferrin receptor uptakes iron from tumor-associated neutrophils to regulate invasion patterns of OSCC.

Applications

Unspecified application

Species

Unspecified reactive species

Qian Si,Yuhan Wang,Wanqiu Lu,Zijian Liu,Yuxian Song,Sheng Chen,Shu Xia,Huiling Li,Pei Weng,Yue Jing,Qiuya Yu,Feng Zhu,Xiaoxin Zhang,Xiaofeng Huang,Yanhong Ni

Cell reports methods 4:100837 PubMed39127043

2024

Defining spatial nonuniformities of all ipRGC types using an improved Opn4 recombinase mouse line.

Applications

Unspecified application

Species

Unspecified reactive species

Brannen Dyer,Sue O Yu,R Lane Brown,Richard A Lang,Shane P D'Souza

International journal of molecular sciences 23: PubMed36293200

2022

Proteomic and miRNA Profiles of Exosomes Derived from Myometrial Tissue in Laboring Women.

Applications

Unspecified application

Species

Unspecified reactive species

Wenfeng Deng,Xiaodi Wang,Lina Chen,Bolun Wen,Yunshan Chen,Kaiyuan Ji,Huishu Liu

Pharmaceutical biology 60:1449-1457 PubMed35938505

2022

A novobiocin derivative, XN4, triggers ferroptosis in gastric cancer cells via the activation of NOX4.

Applications

Unspecified application

Species

Unspecified reactive species

Rongrong Li,Bin Yin,Deyu Zeng,Zhenyang Liu

Cell death & disease 13:673 PubMed35922412

2022

SOX15 transcriptionally increases the function of AOC1 to modulate ferroptosis and progression in prostate cancer.

Applications

Unspecified application

Species

Unspecified reactive species

Yinghui Ding,Yuankang Feng,Zhenlin Huang,Yu Zhang,Xiang Li,Ruoyang Liu,Hao Li,Tao Wang,Yafei Ding,Zhankui Jia,Jinjian Yang

Experimental and therapeutic medicine 23:394 PubMed35495610

2022

Oxaliplatin induces ferroptosis and oxidative stress in HT29 colorectal cancer cells by inhibiting the Nrf2 signaling pathway.

Applications

Unspecified application

Species

Unspecified reactive species

Ben Liu,Hui Wang

Frontiers in oncology 12:859621 PubMed35372041

2022

Sevoflurane Induces Ferroptosis of Glioma Cells Through Activating the ATF4-CHAC1 Pathway.

Applications

Unspecified application

Species

Unspecified reactive species

Yingyi Xu,Na Zhang,Cheng Chen,Xinke Xu,Ailing Luo,Yaping Yan,Yanhua Lu,Jianhua Liu,Xinxu Ou,Yonghong Tan,Yufeng Liang,Lihe Chen,Xingrong Song,Xiaoping Liu

Molecular medicine reports 25: PubMed35244190

2022

Lidocaine attenuates hypoxia/reoxygenation‑induced inflammation, apoptosis and ferroptosis in lung epithelial cells by regulating the p38 MAPK pathway.

Applications

Unspecified application

Species

Unspecified reactive species

Xiaojun Ma,Weihua Yan,Na He

Bioengineered 13:508-520 PubMed34969358

2022

Lipocalin-2 silencing suppresses inflammation and oxidative stress of acute respiratory distress syndrome by ferroptosis via inhibition of MAPK/ERK pathway in neonatal mice.

Applications

Unspecified application

Species

Unspecified reactive species

Xiaodong Wang,Chunhua Zhang,Na Zou,Qinghua Chen,Chaojun Wang,Xu Zhou,Li Luo,Haibin Qi,Junhua Li,Zhiyan Liu,Jinghong Yi,Jing Li,Wei Liu
View all publications

Product promise

We are committed to supporting your work with high-quality reagents, and we're here for you every step of the way. In the unlikely event that one of our products does not perform as expected, you're protected by our Product Promise.
For full details, please see our Terms & Conditions

Please note: All products are 'FOR RESEARCH USE ONLY. NOT FOR USE IN DIAGNOSTIC OR THERAPEUTIC PROCEDURES'.

For licensing inquiries, please contact partnerships@abcam.com