JavaScript is disabled in your browser. Please enable JavaScript to view this website.
AB239980

Anti-Transferrin antibody [EPR2932(2)] - BSA and Azide free

Be the first to review this product! Submit a review

|

(1 Publication)

Rabbit Recombinant Monoclonal Transferrin antibody. Carrier free. Suitable for IHC-P, WB, Flow Cyt (Intra) and reacts with Human samples. Cited in 1 publication.

View Alternative Names

PRO1400, TF, Serotransferrin, Transferrin, Beta-1 metal-binding globulin, Siderophilin

3 Images
Immunohistochemistry (Formalin/PFA-fixed paraffin-embedded sections) - Anti-Transferrin antibody [EPR2932(2)] - BSA and Azide free (AB239980)
  • IHC-P

Unknown

Immunohistochemistry (Formalin/PFA-fixed paraffin-embedded sections) - Anti-Transferrin antibody [EPR2932(2)] - BSA and Azide free (AB239980)

Immunohistochemical analysis of Transferrin expression in formalin-fixed, paraffin-embedded Human liver tissue, using unpurified ab109503 at 1/250 dilution.

This data was developed using the same antibody clone in a different buffer formulation containing PBS, BSA, glycerol, and sodium azide (ab109503).

Perform heat mediated antigen retrieval via the pressure cooker method before commencing with IHC staining protocol.

Flow Cytometry (Intracellular) - Anti-Transferrin antibody [EPR2932(2)] - BSA and Azide free (AB239980)
  • Flow Cyt (Intra)

Lab

Flow Cytometry (Intracellular) - Anti-Transferrin antibody [EPR2932(2)] - BSA and Azide free (AB239980)

This data was developed using ab109503, the same antibody clone in a different buffer formulation.

Intracellular flow cytometric analysis of 4% paraformaldehyde fixed 90% methanol permeabilized HepG2 (Human hepatocellular carcinoma epithelial cell) cells labelling Transferrin with ab109503 at 1/50 dilution (1μg) (Red) compared with a Rabbit monoclonal IgG (ab172730) (Black) isotype control and an unlabelled control (cells without incubation with primary antibody and secondary antibody) (Blue). A Goat anti rabbit IgG (Alexa Fluor® 488, ab150077) at 1/2000 dilution was used as the secondary antibody.

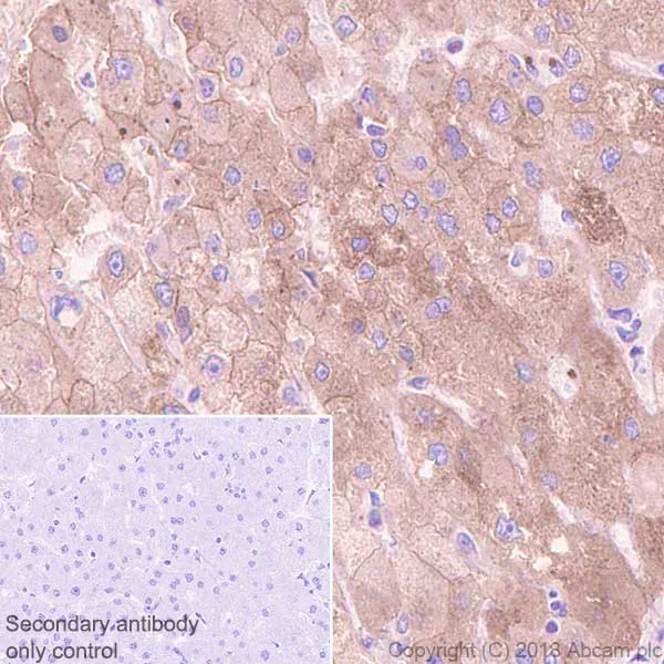
Immunohistochemistry (Formalin/PFA-fixed paraffin-embedded sections) - Anti-Transferrin antibody [EPR2932(2)] - BSA and Azide free (AB239980)
  • IHC-P

Unknown

Immunohistochemistry (Formalin/PFA-fixed paraffin-embedded sections) - Anti-Transferrin antibody [EPR2932(2)] - BSA and Azide free (AB239980)

Immunohistochemistry (Formalin/PFA-fixed paraffin-embedded sections) analysis of human liver tissue sections labeling Transferrin with Purified ab109503 at 1 : 300 dilution (2.19 µg/ml). Perform heat mediated antigen retrieval using ab93684 (Tris/EDTA buffer, pH 9.0). Purified)ImmunoHistoProbe one step HRP Polymer (ready to use) was used for detection. Negative control : PBS instead of the primary antibody. Hematoxylin was used as a counterstain.
This data was developed using the same antibody clone in a different buffer formulation containing PBS, BSA, glycerol, and sodium azide (ab109503)

  • Unconjugated

    Anti-Transferrin antibody [EPR2932(2)] - Serum Loading Control

  • HRP

    HRP Anti-Transferrin antibody [EPR2932(2)] - Serum Loading Control

Key facts

Host species

Rabbit

Clonality

Monoclonal

Clone number

EPR2932(2)

Isotype

IgG

Carrier free

Yes

Reacts with

Human

Applications

IHC-P, WB, Flow Cyt (Intra)

applications

Immunogen

The exact immunogen used to generate this antibody is proprietary information.

Reactivity data

{ "title": "Reactivity Data", "filters": { "stats": ["", "Species", "Dilution Info", "Notes"], "tabs": { "all-applications": {"fullname" : "All Applications", "shortname": "All Applications"}, "IHCP" : {"fullname" : "Immunohistochemistry (Formalin/PFA-fixed paraffin-embedded sections)", "shortname":"IHC-P"}, "IP" : {"fullname" : "Immunoprecipitation", "shortname":"IP"}, "WB" : {"fullname" : "Western blot", "shortname":"WB"}, "FlowCytIntra" : {"fullname" : "Flow Cytometry (Intracellular)", "shortname":"Flow Cyt (Intra)"} }, "product-promise": { "all": "all", "testedAndGuaranteed": "tested", "guaranteed": "expected", "predicted": "predicted", "notRecommended": "not-recommended" } }, "values": { "Human": { "IHCP-species-checked": "testedAndGuaranteed", "IHCP-species-dilution-info": "", "IHCP-species-notes": "<p>(heat to 98 degrees C, allow to cool for 10-20 minutes)</p>", "IP-species-checked": "notRecommended", "IP-species-dilution-info": "", "IP-species-notes": "<p></p>", "WB-species-checked": "testedAndGuaranteed", "WB-species-dilution-info": "", "WB-species-notes": "<p></p>", "FlowCytIntra-species-checked": "testedAndGuaranteed", "FlowCytIntra-species-dilution-info": "", "FlowCytIntra-species-notes": "<p></p>" } } }

Product details

ab239980 is the carrier-free version of ab109503.

Species reactivity
Mouse, Rat: We have preliminary internal testing data to indicate this antibody may not react with these species.
Please contact us for more information.

Patented technology
Our RabMAb® technology is a patented hybridoma-based technology for making rabbit monoclonal antibodies. For details on our patents, please refer to RabMAb® patents.

What are the advantages of a recombinant monoclonal antibody?
This product is a recombinant monoclonal antibody, which offers several advantages including:

  • - High batch-to-batch consistency and reproducibility
  • - Improved sensitivity and specificity
  • - Long-term security of supply
  • - Animal-free batch production

For more information, read more on recombinant antibodies.

Conjugation ready
Our carrier-free antibodies are typically supplied in a PBS-only formulation, purified and free of BSA, sodium azide and glycerol. This conjugation-ready format is designed for use with fluorochromes, metal isotopes, oligonucleotides, and enzymes, which makes them ideal for antibody labelling, functional and cell-based assays, flow-based assays (e.g. mass cytometry) and Multiplex Imaging applications.

Use our conjugation kits for antibody conjugates that are ready-to-use in as little as 20 minutes with 1 minute hands-on-time and 100% antibody recovery: available for fluorescent dyes, HRP, biotin and gold.

Compatibility
This product is compatible with the Maxpar® Antibody Labeling Kit from Fluidigm, without the need for antibody preparation. Maxpar® is a trademark of Fluidigm Canada Inc.

Properties and storage information

Form
Liquid
Purification technique
Affinity purification Protein A
Storage buffer
pH: 7.2 - 7.4 Constituents: PBS
Shipped at conditions
Blue Ice
Appropriate short-term storage conditions
+4°C
Appropriate long-term storage conditions
+4°C
Storage information
Do Not Freeze

Supplementary information

This supplementary information is collated from multiple sources and compiled automatically.

Transferrin also known as serotransferrin or siderophilin is a glycoprotein with a mass of approximately 80 kDa. It is primarily synthesized in the liver and subsequently secreted into the bloodstream. Transferrin has an important role in iron transport and maintains iron homeostasis by binding and delivering iron to various tissues throughout the body. It can bind two ferric ions (Fe3+) in association with an anion usually bicarbonate. In biological fluids transferrin exists in serum plasma and other extracellular fluids.
Biological function summary

Transferrin facilitates the transportation of iron ions. It delivers iron to cells by binding to transferrin receptors on cell surfaces forming a complex that gets internalized via receptor-mediated endocytosis. Inside the endosomes acidic conditions cause iron to release from transferrin enabling its utilization in cellular processes like DNA synthesis and electron transport. Transferrin itself acts independently and does not form part of a larger protein complex. Variants of transferrin include mouse transferrin bovine transferrin and biotinylated transferrin each with similar function across different species.

Pathways

Transferrin operates centrally in iron metabolism and homeostasis pathways. It functions in coordination with the transferrin receptor 1 (TfR1) which facilitates cellular uptake of the transferrin-iron complex. Additionally transferrin plays a role in the hepcidin regulatory pathway. Hepcidin modulates iron homeostasis by decreasing iron absorption in the intestine and controlling iron release from macrophages and hepatocytes. Transferrin's ability to bind iron connects it to other iron-containing proteins such as ferritin which stores excess iron in cells.

Several iron-related conditions can impact transferrin function including anemia and hemochromatosis. Anemia often occurs when there is insufficient iron delivery leading to inadequate hemoglobin synthesis and reduced oxygen transport. Aberrant transferrin receptor activity affects iron uptake in such conditions. Hemochromatosis characterized by iron overload can occur due to mutations in genes like HFE leading to changes in hepcidin regulation and increased intestinal iron absorption. Transferrin levels and saturation are clinical indicators used to assess iron status in such diseases.

Product protocols

For this product, it's our understanding that no specific protocols are required. You can visit:

Target data

Transferrins are iron binding transport proteins which can bind two Fe(3+) ions in association with the binding of an anion, usually bicarbonate. It is responsible for the transport of iron from sites of absorption and heme degradation to those of storage and utilization. Serum transferrin may also have a further role in stimulating cell proliferation.. (Microbial infection) Serves as an iron source for Neisseria species, which capture the protein and extract its iron for their own use.. (Microbial infection) Serves as an iron source for parasite T.brucei (strain 427), which capture TF via its own transferrin receptor ESAG6 : ESAG7 and extract its iron for its own use.
See full target information TF

Publications (1)

Recent publications for all applications. Explore the full list and refine your search

Alzheimer's research & therapy 17:47 PubMed39972387

2025

Cornuside alleviates cognitive impairments induced by Aβ through attenuating NLRP3-mediated neurotoxicity by promoting mitophagy.

Applications

Unspecified application

Species

Unspecified reactive species

Fulin Zhou,Wenwen Lian,Xiaotang Yuan,Zexing Wang,Congyuan Xia,Yu Yan,Wenping Wang,Zhuohang Tong,Yungchi Cheng,Jiekun Xu,Jun He,Weiku Zhang
View all publications

Product promise

We are committed to supporting your work with high-quality reagents, and we're here for you every step of the way. In the unlikely event that one of our products does not perform as expected, you're protected by our Product Promise.
For full details, please see our Terms & Conditions

Please note: All products are 'FOR RESEARCH USE ONLY. NOT FOR USE IN DIAGNOSTIC OR THERAPEUTIC PROCEDURES'.

For licensing inquiries, please contact partnerships@abcam.com