JavaScript is disabled in your browser. Please enable JavaScript to view this website.
AB316295

Anti-Transferrin antibody [RM1092] - Serum Loading Control

  • BOND RX™ Validated
  • Recombinant
  • Lab Essentials
  • 20ul selling size
  • RabMAb
  • What is this?

Be the first to review this product! Submit a review

|

(0 Publication)

Rabbit Recombinant Multiclonal Transferrin antibody. Suitable for WB, IHC-P, Flow Cyt (Intra), IP, ICC/IF and reacts with Human samples.

View Alternative Names

PRO1400, TF, Serotransferrin, Transferrin, Beta-1 metal-binding globulin, Siderophilin

7 Images
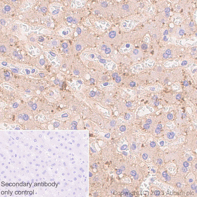
Immunohistochemistry (Formalin/PFA-fixed paraffin-embedded sections) - Anti-Transferrin antibody [RM1092] - Serum Loading Control (AB316295)
  • IHC-P

Supplier Data

Immunohistochemistry (Formalin/PFA-fixed paraffin-embedded sections) - Anti-Transferrin antibody [RM1092] - Serum Loading Control (AB316295)

Immunohistochemical analysis of paraffin-embedded Human liver tissue labeling Transferrin with ab316295 at 1/100 (4.93 ug/ml) dilution, followed by a ready to use LeicaDS9800 (Bond™ Polymer Refine Detection).

Positive staining on human liver.
The section was incubated with ab316295 for 30 mins at room temperature.
The immunostaining was performed on a Leica Biosystems BOND® RX instrument

Counterstained with Hematoxylin.

Secondary antibody only control : Secondary antibody is a ready to use LeicaDS9800 (Bond™ Polymer Refine Detection).

Heat mediated antigen retrieval was performed with Tris-EDTA buffer (pH 9.0, Epitope Retrieval Solution2) for 20 mins

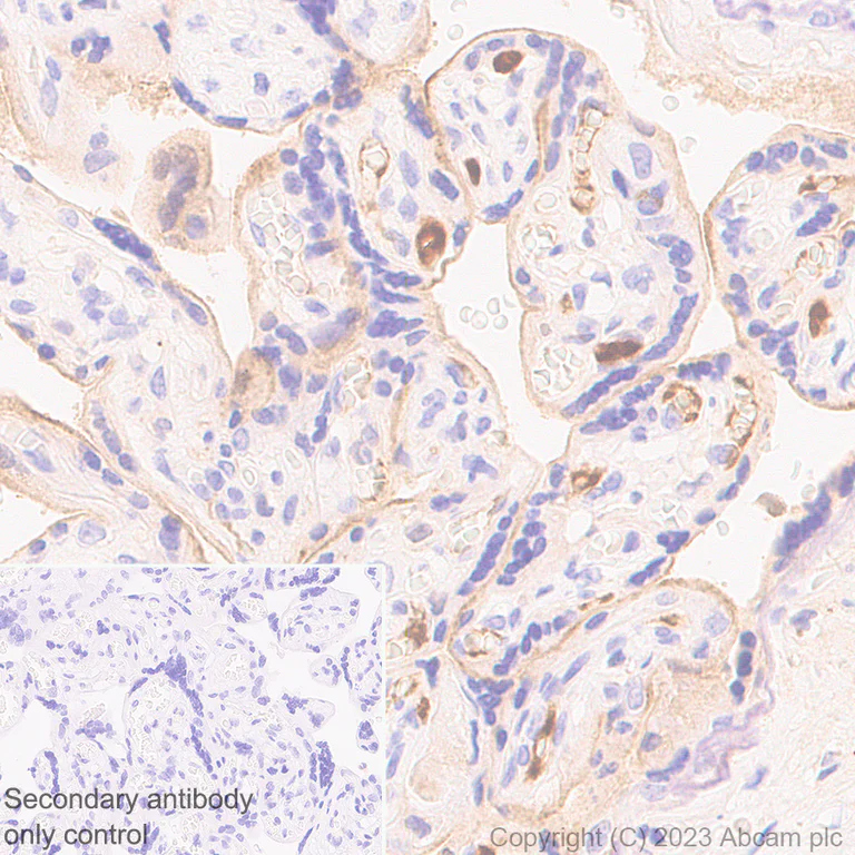
Immunohistochemistry (Formalin/PFA-fixed paraffin-embedded sections) - Anti-Transferrin antibody [RM1092] - Serum Loading Control (AB316295)
  • IHC-P

Supplier Data

Immunohistochemistry (Formalin/PFA-fixed paraffin-embedded sections) - Anti-Transferrin antibody [RM1092] - Serum Loading Control (AB316295)

Immunohistochemical analysis of paraffin-embedded Human placenta tissue labeling Transferrin with ab316295 at 1/100 (4.93 ug/ml) dilution, followed by a ready to use LeicaDS9800 (Bond™ Polymer Refine Detection).

Positive staining on human placenta.
The section was incubated with ab316295 for 30 mins at room temperature.
The immunostaining was performed on a Leica Biosystems BOND® RX instrument

Counterstained with Hematoxylin.

Secondary antibody only control : Secondary antibody is a ready to use LeicaDS9800 (Bond™ Polymer Refine Detection).

Heat mediated antigen retrieval was performed with Tris-EDTA buffer (pH 9.0, Epitope Retrieval Solution2) for 20 mins

Immunocytochemistry/ Immunofluorescence - Anti-Transferrin antibody [RM1092] - Serum Loading Control (AB316295)
  • ICC/IF

Supplier Data

Immunocytochemistry/ Immunofluorescence - Anti-Transferrin antibody [RM1092] - Serum Loading Control (AB316295)

Immunofluorescent analysis of 4% Paraformaldehyde-fixed, 0.1% TritonX-100 permeabilized HepG2 (human hepatocellular carcinoma epithelial cell) cells labelling Transferrin with ab316295 at 1/500 (0.98 ug/ml) dilution, followed by ab150081 Goat Anti-Rabbit IgG H&L (Alexa Fluor® 488) preadsorbed antibody at 1/1000 (2 ug/ml) dilution (Green).

Confocal image showing cytoplasmic staining in HepG2 cell line.
Negative control : K-562
Image was taken with a confocal microscope(Leica-Microsystems, TCS SP8).

ab195889 Anti-alpha Tubulin mouse monoclonal antibody - Microtubule Marker (Alexa Fluor® 594) was used to counterstain tubulin at 1/200 (2.5ug/ml) dilution (Magenta). The Nuclear counterstain was DAPI (Blue).

Secondary antibody only control : Secondary antibody is ab150081 Goat Anti-Rabbit IgG H&L (Alexa Fluor® 488) preadsorbed at 1/1000 (2 ug/ml) dilution.

Flow Cytometry (Intracellular) - Anti-Transferrin antibody [RM1092] - Serum Loading Control (AB316295)
  • Flow Cyt (Intra)

Supplier Data

Flow Cytometry (Intracellular) - Anti-Transferrin antibody [RM1092] - Serum Loading Control (AB316295)

Flow cytometric analysis of 4% paraformaldehyde fixed 90% methanol permeabilized K-562 (human chronic myelogenous leukemia lymphoblast, Left) / HepG2 (human hepatocellular carcinoma epithelial cell, Right) cells labelling Transferrin with ab316295 at 1/5000 dilution (0.01 ug)/Red compared with a Rabbit monoclonal IgG (ab172730) (Black) isotype control and an unlabelled control (cells without incubation with primary antibody and secondary antibody) (Blue).

Goat Anti-Rabbit IgG (Alexa Fluor® 488, ab150081) at 1/5000 dilution was used as the secondary antibody.

Negative control : K-562. For ab316295, positive staining occurred in HepG2 cells and no staining in K-562 cells. The control batch (ab82411) showed similar staining pattern. In addition, ab316295 showed stronger staining than ab82411 in HepG2 cells.

Immunoprecipitation - Anti-Transferrin antibody [RM1092] - Serum Loading Control (AB316295)
  • IP

Supplier Data

Immunoprecipitation - Anti-Transferrin antibody [RM1092] - Serum Loading Control (AB316295)

Transferrin was immunoprecipitated from 0.35 mg HepG2 (human hepatocellular carcinoma epithelial cell) whole cell lysate with ab316295 at 1/30 dilution (2ug in 0.35mg lysates). Western blot was performed on the immunoprecipitate using ab316295 at 1/1000 dilution. VeriBlot for IP secondary antibody(HRP)(ab131366) was used at 1/5000 dilution.

Lane 1 : HepG2 (human hepatocellular carcinoma epithelial cell) whole cell lysate
Lane 2 : ab316295 IP in HepG2 (human hepatocellular carcinoma epithelial cell) whole cell lysate
Lane 3 : Rabbit monoclonal IgG (ab172730) instead of ab316295 in HepG2 whole cell lysate

All lanes:

Immunoprecipitation - Anti-Transferrin antibody [RM1092] - Serum Loading Control (ab316295) at 1/30 dilution

All lanes:

HepG2 (human hepatocellular carcinoma epithelial cell) whole cell lysate

Secondary

All lanes:

Immunoprecipitation - VeriBlot for IP Detection Reagent (HRP) (<a href='/en-us/products/reagents/veriblot-for-ip-detection-reagent-hrp-ab131366'>ab131366</a>) at 1/5000 dilution

false

Exposure time: 180s

Western blot - Anti-Transferrin antibody [RM1092] - Serum Loading Control (AB316295)
  • WB

Supplier Data

Western blot - Anti-Transferrin antibody [RM1092] - Serum Loading Control (AB316295)

Negative control : K-562.

The lysates were freshly made and used for Western Blotting immediately to minimize protein degradation.

In Western blot, Anti-GAPDH antibody [EPR16891] - Loading Control (ab181602) staining at 1/200000 dilution.

All lanes:

Western blot - Anti-Transferrin antibody [RM1092] - Serum Loading Control (ab316295) at 1/1000 dilution

Lane 1:

HepG2(human hepatocellar carcinoma epithelial cell) whole cell lysate at 40 µg

Lane 2:

K-562 (human chronic myelogenous leukemia lymphoblast) whole cell lysate at 40 µg

Secondary

All lanes:

Goat Anti-Rabbit IgG (HRP) with minimal cross-reactivity with human IgG at 1/2000 dilution

Observed band size: 77 kDa,36 kDa

false

Exposure time: 15s

Western blot - Anti-Transferrin antibody [RM1092] - Serum Loading Control (AB316295)
  • WB

Supplier Data

Western blot - Anti-Transferrin antibody [RM1092] - Serum Loading Control (AB316295)

Transferrin might be easily degraded. The expression molecular weight observed is consistent with what has been described in the literature (PMID : 15271890).

All lanes:

Western blot - Anti-Transferrin antibody [RM1092] - Serum Loading Control (ab316295) at 1/1000 dilution

Lane 1:

Human plasma tissue lysate at 20 µg

Lane 2:

Human testis tissue lysate at 20 µg

Lane 3:

Human liver tissue lysate at 20 µg

Lane 4:

Human skeletal muscle tissue lysate at 20 µg

Secondary

All lanes:

Western blot - Goat Anti-Rabbit IgG H&L (HRP) (<a href='/en-us/products/secondary-antibodies/goat-rabbit-igg-h-l-hrp-ab97051'>ab97051</a>) at 1/100000 dilution

Observed band size: 77 kDa

false

Exposure time: 26s

  • Carrier free

    Anti-Transferrin antibody [RM1092] - BSA and Azide free

Key facts

Host species

Rabbit

Clonality

Multiclonal

Clone number

RM1092

Isotype

IgG

Carrier free

No

Reacts with

Human

Applications

Flow Cyt (Intra), IP, WB, ICC/IF, IHC-P

applications

Immunogen

The exact immunogen used to generate this antibody is proprietary information.

Reactivity data

{ "title": "Reactivity Data", "filters": { "stats": ["", "Species", "Dilution Info", "Notes"], "tabs": { "all-applications": {"fullname" : "All Applications", "shortname": "All Applications"}, "WB" : {"fullname" : "Western blot", "shortname":"WB"}, "IHCP" : {"fullname" : "Immunohistochemistry (Formalin/PFA-fixed paraffin-embedded sections)", "shortname":"IHC-P"}, "FlowCytIntra" : {"fullname" : "Flow Cytometry (Intracellular)", "shortname":"Flow Cyt (Intra)"}, "IP" : {"fullname" : "Immunoprecipitation", "shortname":"IP"}, "ICCIF" : {"fullname" : "Immunocytochemistry/ Immunofluorescence", "shortname":"ICC/IF"} }, "product-promise": { "all": "all", "testedAndGuaranteed": "tested", "guaranteed": "expected", "predicted": "predicted", "notRecommended": "not-recommended" } }, "values": { "Human": { "WB-species-checked": "testedAndGuaranteed", "WB-species-dilution-info": "1/1000", "WB-species-notes": "<p></p>", "IHCP-species-checked": "testedAndGuaranteed", "IHCP-species-dilution-info": "1/100", "IHCP-species-notes": "<p></p>", "FlowCytIntra-species-checked": "testedAndGuaranteed", "FlowCytIntra-species-dilution-info": "1/5000", "FlowCytIntra-species-notes": "<p></p>", "IP-species-checked": "testedAndGuaranteed", "IP-species-dilution-info": "1/30", "IP-species-notes": "<p></p>", "ICCIF-species-checked": "testedAndGuaranteed", "ICCIF-species-dilution-info": "1/500", "ICCIF-species-notes": "<p></p>" }, "Mouse": { "WB-species-checked": "notRecommended", "WB-species-dilution-info": "", "WB-species-notes": "<p></p>", "IHCP-species-checked": "notRecommended", "IHCP-species-dilution-info": "", "IHCP-species-notes": "<p></p>", "FlowCytIntra-species-checked": "notRecommended", "FlowCytIntra-species-dilution-info": "", "FlowCytIntra-species-notes": "", "IP-species-checked": "notRecommended", "IP-species-dilution-info": "", "IP-species-notes": "", "ICCIF-species-checked": "notRecommended", "ICCIF-species-dilution-info": "", "ICCIF-species-notes": "" }, "Rat": { "WB-species-checked": "notRecommended", "WB-species-dilution-info": "", "WB-species-notes": "<p></p>", "IHCP-species-checked": "notRecommended", "IHCP-species-dilution-info": "", "IHCP-species-notes": "<p></p>", "FlowCytIntra-species-checked": "notRecommended", "FlowCytIntra-species-dilution-info": "", "FlowCytIntra-species-notes": "", "IP-species-checked": "notRecommended", "IP-species-dilution-info": "", "IP-species-notes": "", "ICCIF-species-checked": "notRecommended", "ICCIF-species-dilution-info": "", "ICCIF-species-notes": "" } } }

Product details

What are recombinant multiclonals?
Recombinant multiclonals are a mixture of recombinant antibodies co-expressed from a library of heavy and light chains. They offer several advantages including:

  • - The sensitivity of polyclonal antibodies by recognising multiple epitopes
  • - High batch-to-batch consistency and reproducibility
  • - Improved sensitivity and specificity
  • - Long-term security of supply
  • - Animal-free batch production

View our range of recombinant multiclonal antibodies.

Patented technology
Our RabMAb® technology is a patented hybridoma-based technology for making rabbit monoclonal antibodies. For details on our patents, please refer to RabMAb® patents.

Properties and storage information

Form
Liquid
Purification technique
Affinity purification Protein A
Storage buffer
pH: 7.2 - 7.4 Preservative: 0.01% Sodium azide Constituents: PBS, 40% Glycerol (glycerin, glycerine), 0.05% BSA
Shipped at conditions
Blue Ice
Appropriate short-term storage duration
1-2 weeks
Appropriate short-term storage conditions
+4°C
Appropriate long-term storage conditions
-20°C
Aliquoting information
Upon delivery aliquot
Storage information
Avoid freeze / thaw cycle

Supplementary information

This supplementary information is collated from multiple sources and compiled automatically.

Transferrin also known as serotransferrin or siderophilin is a glycoprotein with a mass of approximately 80 kDa. It is primarily synthesized in the liver and subsequently secreted into the bloodstream. Transferrin has an important role in iron transport and maintains iron homeostasis by binding and delivering iron to various tissues throughout the body. It can bind two ferric ions (Fe3+) in association with an anion usually bicarbonate. In biological fluids transferrin exists in serum plasma and other extracellular fluids.
Biological function summary

Transferrin facilitates the transportation of iron ions. It delivers iron to cells by binding to transferrin receptors on cell surfaces forming a complex that gets internalized via receptor-mediated endocytosis. Inside the endosomes acidic conditions cause iron to release from transferrin enabling its utilization in cellular processes like DNA synthesis and electron transport. Transferrin itself acts independently and does not form part of a larger protein complex. Variants of transferrin include mouse transferrin bovine transferrin and biotinylated transferrin each with similar function across different species.

Pathways

Transferrin operates centrally in iron metabolism and homeostasis pathways. It functions in coordination with the transferrin receptor 1 (TfR1) which facilitates cellular uptake of the transferrin-iron complex. Additionally transferrin plays a role in the hepcidin regulatory pathway. Hepcidin modulates iron homeostasis by decreasing iron absorption in the intestine and controlling iron release from macrophages and hepatocytes. Transferrin's ability to bind iron connects it to other iron-containing proteins such as ferritin which stores excess iron in cells.

Several iron-related conditions can impact transferrin function including anemia and hemochromatosis. Anemia often occurs when there is insufficient iron delivery leading to inadequate hemoglobin synthesis and reduced oxygen transport. Aberrant transferrin receptor activity affects iron uptake in such conditions. Hemochromatosis characterized by iron overload can occur due to mutations in genes like HFE leading to changes in hepcidin regulation and increased intestinal iron absorption. Transferrin levels and saturation are clinical indicators used to assess iron status in such diseases.

Product protocols

For this product, it's our understanding that no specific protocols are required. You can visit:

Target data

Transferrins are iron binding transport proteins which can bind two Fe(3+) ions in association with the binding of an anion, usually bicarbonate. It is responsible for the transport of iron from sites of absorption and heme degradation to those of storage and utilization. Serum transferrin may also have a further role in stimulating cell proliferation.. (Microbial infection) Serves as an iron source for Neisseria species, which capture the protein and extract its iron for their own use.. (Microbial infection) Serves as an iron source for parasite T.brucei (strain 427), which capture TF via its own transferrin receptor ESAG6 : ESAG7 and extract its iron for its own use.
See full target information TF

Product promise

We are committed to supporting your work with high-quality reagents, and we're here for you every step of the way. In the unlikely event that one of our products does not perform as expected, you're protected by our Product Promise.
For full details, please see our Terms & Conditions

Please note: All products are 'FOR RESEARCH USE ONLY. NOT FOR USE IN DIAGNOSTIC OR THERAPEUTIC PROCEDURES'.

For licensing inquiries, please contact partnerships@abcam.com