JavaScript is disabled in your browser. Please enable JavaScript to view this website.
AB185550

Anti-Transferrin Receptor 2/TFR2 antibody [EPR15322]

1

(1 Review)

|

(5 Publications)

Rabbit Recombinant Monoclonal Transferrin Receptor 2/TFR2 antibody. Suitable for WB, IHC-P and reacts with Human samples. Cited in 5 publications.

View Alternative Names

Transferrin receptor protein 2, TfR2, TFR2

4 Images
Western blot - Anti-Transferrin Receptor 2/TFR2 antibody [EPR15322] (AB185550)
  • WB

Supplier Data

Western blot - Anti-Transferrin Receptor 2/TFR2 antibody [EPR15322] (AB185550)

All lanes:

Western blot - Anti-Transferrin Receptor 2/TFR2 antibody [EPR15322] (ab185550) at 1/20000 dilution

All lanes:

Human fetal liver lysate at 20 µg

Secondary

All lanes:

Goat Anti-Rabbit IgG, (H+L), Peroxidase conjugate at 1/1000 dilution

Predicted band size: 89 kDa

false

Western blot - Anti-Transferrin Receptor 2/TFR2 antibody [EPR15322] (AB185550)
  • WB

Supplier Data

Western blot - Anti-Transferrin Receptor 2/TFR2 antibody [EPR15322] (AB185550)

All lanes:

Western blot - Anti-Transferrin Receptor 2/TFR2 antibody [EPR15322] (ab185550) at 1/5000 dilution

All lanes:

HepG2 cell lysate at 10 µg

Secondary

All lanes:

Goat Anti-Rabbit IgG, (H+L), Peroxidase conjugate at 1/1000 dilution

Predicted band size: 89 kDa

false

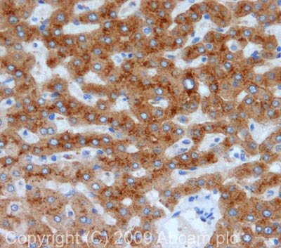
Immunohistochemistry (Formalin/PFA-fixed paraffin-embedded sections) - Anti-Transferrin Receptor 2/TFR2 antibody [EPR15322] (AB185550)
  • IHC-P

Supplier Data

Immunohistochemistry (Formalin/PFA-fixed paraffin-embedded sections) - Anti-Transferrin Receptor 2/TFR2 antibody [EPR15322] (AB185550)

Immunohistochemical analysis of paraffin-embedded Human liver tissue labeling Transferrin Receptor 2/TFR2 with ab185550 at 1/500 dilution followed by prediluted HRP Polymer for Rabbit IgG. Counter stained with Hematoxylin.

Perform heat mediated antigen retrieval with EDTA buffer pH 9 before commencing with IHC staining protocol.

Western blot - Anti-Transferrin Receptor 2/TFR2 antibody [EPR15322] (AB185550)
  • WB

Supplier Data

Western blot - Anti-Transferrin Receptor 2/TFR2 antibody [EPR15322] (AB185550)

All lanes:

Western blot - Anti-Transferrin Receptor 2/TFR2 antibody [EPR15322] (ab185550) at 1/5000 dilution

All lanes:

TF-1 cell lysate at 20 µg

Secondary

All lanes:

Goat Anti-Rabbit IgG, (H+L), Peroxidase conjugated at 1/1000 dilution

Predicted band size: 89 kDa

false

Key facts

Host species

Rabbit

Clonality

Monoclonal

Clone number

EPR15322

Isotype

IgG

Carrier free

No

Reacts with

Human

Applications

IHC-P, WB

applications

Immunogen

The exact immunogen used to generate this antibody is proprietary information.

Reactivity data

{ "title": "Reactivity Data", "filters": { "stats": ["", "Species", "Dilution Info", "Notes"], "tabs": { "all-applications": {"fullname" : "All Applications", "shortname": "All Applications"}, "WB" : {"fullname" : "Western blot", "shortname":"WB"}, "IHCP" : {"fullname" : "Immunohistochemistry (Formalin/PFA-fixed paraffin-embedded sections)", "shortname":"IHC-P"} }, "product-promise": { "all": "all", "testedAndGuaranteed": "tested", "guaranteed": "expected", "predicted": "predicted", "notRecommended": "not-recommended" } }, "values": { "Human": { "WB-species-checked": "testedAndGuaranteed", "WB-species-dilution-info": "1/1000 - 1/10000", "WB-species-notes": "<p></p>", "IHCP-species-checked": "testedAndGuaranteed", "IHCP-species-dilution-info": "1/500", "IHCP-species-notes": "<p></p>" } } }

Product details

Patented technology
Our RabMAb® technology is a patented hybridoma-based technology for making rabbit monoclonal antibodies. For details on our patents, please refer to RabMAb® patents.

What are the advantages of a recombinant monoclonal antibody?
This product is a recombinant monoclonal antibody, which offers several advantages including:

  • - High batch-to-batch consistency and reproducibility
  • - Improved sensitivity and specificity
  • - Long-term security of supply
  • - Animal-free batch production

For more information, read more on recombinant antibodies.

Properties and storage information

Form
Liquid
Purification technique
Affinity purification Protein A
Storage buffer
pH: 7.2 - 7.4 Preservative: 0.01% Sodium azide Constituents: PBS, 40% Glycerol (glycerin, glycerine), 0.05% BSA
Shipped at conditions
Blue Ice
Appropriate short-term storage duration
1-2 weeks
Appropriate short-term storage conditions
+4°C
Appropriate long-term storage conditions
-20°C
Aliquoting information
Upon delivery aliquot
Storage information
Avoid freeze / thaw cycle

Supplementary information

This supplementary information is collated from multiple sources and compiled automatically.

Transferrin Receptor 2 (TFR2) is a protein that facilitates iron uptake by binding to transferrin which is an iron-carrier protein in the blood. Also known as TFRC2 or CD71L2 it is a transmembrane glycoprotein with a molecular mass around 90 kDa. TFR2 is mainly expressed in the liver and erythroid cell precursors. It plays an important role in maintaining cellular iron homeostasis by mediating the endocytosis of transferrin-bound iron. Its expression can vary depending on the body’s iron levels and cellular type.
Biological function summary

TFR2 operates as an iron sensor and regulator influencing hepcidin expression a hormone critical for iron homeostasis. TFR2 is not part of any specific complex but interacts with several proteins such as HFE and TFR1 in iron sensing. It helps communicate the body’s iron status to the liver for the modulation of hepcidin levels. This balance ensures the regulation of systemic iron uptake and release which is essential for various physiological processes like erythropoiesis.

Pathways

TFR2 is involved prominently in the iron homeostasis pathway and the erythropoiesis pathway. In the iron homeostasis pathway it works alongside hepcidin to monitor and regulate iron levels in the body. The role it plays in erythropoiesis relates to its interaction with other iron-related proteins like TFR1 where it contributes to iron delivery necessary for red blood cell production. These pathways illustrate TFR2's importance in not only iron uptake but also the overall iron regulatory processes that sustain body function.

Defects or mutations in TFR2 are connected to hereditary hemochromatosis which causes iron overload in tissues. Aberrant TFR2 function can disrupt the normal regulation of hepcidin leading to this iron accumulation. It also plays a role in anemia of chronic disease due to its influence on erythropoiesis through interactions with HFE and TFR1. These associations highlight the critical importance of TFR2 in both maintaining iron equilibrium and implicating it in iron-related pathologies.

Product protocols

For this product, it's our understanding that no specific protocols are required. You can visit:

Target data

Mediates cellular uptake of transferrin-bound iron in a non-iron dependent manner. May be involved in iron metabolism, hepatocyte function and erythrocyte differentiation.
See full target information TFR2

Publications (5)

Recent publications for all applications. Explore the full list and refine your search

Histology and histopathology 40:1985-2009 PubMed40959856

2025

Differential expression of ferroptosis markers, circadian regulators, KLOTHO, and classical tumor suppressors in colorectal cancer according to tumor stage: Influence of age, anatomical location, and correlation patterns.

Applications

Unspecified application

Species

Unspecified reactive species

Miguel A Saez,Cielo Garcia-Montero,Oscar Fraile-Martinez,Ana M Minaya-Bravo,Diego Liviu Boaru,Diego De Leon-Oliva,Patricia De Castro-Martinez,Majd N Michael Alhaddadin,Silvestra Barrena-Blázquez,Laura Lopez-Gonzalez,Luis G Guijarro,Natalio Garcia-Honduvilla,Víctor Roberto Baena Romero,Carlos Daniel Padilla Ansala,Mar Royuela,María Del Val Toledo Lobo,Leonel Pekarek,Roberto Fernández-Baillo Gallego de la Sacristana,Mauricio Hernández-Fernández,Montserrat Chao Crecente,Melchor Alvarez-Mon,Raul Diaz-Pedrero,Miguel A Ortega

Antioxidants (Basel, Switzerland) 13: PubMed38790696

2024

Oxidative Stress, Lipid Peroxidation and Ferroptosis Are Major Pathophysiological Signatures in the Placental Tissue of Women with Late-Onset Preeclampsia.

Applications

Unspecified application

Species

Unspecified reactive species

Miguel A Ortega,Luis M Garcia-Puente,Oscar Fraile-Martinez,Tatiana Pekarek,Cielo García-Montero,Julia Bujan,Leonel Pekarek,Silvestra Barrena-Blázquez,Raquel Gragera,Inmaculada C Rodríguez-Rojo,Patrocinio Rodríguez-Benitez,Laura López-González,Raul Díaz-Pedrero,Melchor Álvarez-Mon,Natalio García-Honduvilla,Juan A De León-Luis,Coral Bravo,Miguel A Saez

Journal of clinical and translational hepatology 12:227-235 PubMed38426189

2024

Serum Iron Overload Activates the SMAD Pathway and Hepcidin Expression of Hepatocytes via SMURF1.

Applications

Unspecified application

Species

Unspecified reactive species

Ning Zhang,Pengyao Yang,Yanmeng Li,Qin Ouyang,Fei Hou,Guixin Zhu,Bei Zhang,Jian Huang,Jidong Jia,Anjian Xu

Biomolecules 13: PubMed36671505

2023

The Placentas of Women Who Suffer an Episode of Psychosis during Pregnancy Have Increased Lipid Peroxidation with Evidence of Ferroptosis.

Applications

Unspecified application

Species

Unspecified reactive species

Miguel A Ortega,Oscar Fraile-Martinez,Cielo García-Montero,Rosa M Funes Moñux,Sonia Rodriguez-Martín,Coral Bravo,Juan A De Leon-Luis,Jose V Saz,Miguel A Saez,Luis G Guijarro,Guillermo Lahera,Fernando Mora,Sonia Fernandez-Rojo,Javier Quintero,Jorge Monserrat,Natalio García-Honduvilla,Julia Bujan,Melchor Alvarez-Mon,Miguel Angel Alvarez-Mon

Experimental and therapeutic medicine 16:1963-1967 PubMed30186425

2018

Reduced hepcidin level features osteoporosis.

Applications

Unspecified application

Species

Unspecified reactive species

Bin Liu,Caihua Liu,Weifeng Zhong,Min Song,Shouqin Du,Jianli Su
View all publications

Product promise

We are committed to supporting your work with high-quality reagents, and we're here for you every step of the way. In the unlikely event that one of our products does not perform as expected, you're protected by our Product Promise.
For full details, please see our Terms & Conditions

Please note: All products are 'FOR RESEARCH USE ONLY. NOT FOR USE IN DIAGNOSTIC OR THERAPEUTIC PROCEDURES'.

For licensing inquiries, please contact partnerships@abcam.com