JavaScript is disabled in your browser. Please enable JavaScript to view this website.
AB232376

Anti-Transferrin Receptor antibody [EPR20584] - BSA and Azide free

Be the first to review this product! Submit a review

|

(1 Publication)

Rabbit Recombinant Monoclonal Transferrin Receptor antibody. Carrier free. Suitable for IP, WB, ICC/IF, IHC-P and reacts with Human, Mouse, Rat samples. Cited in 1 publication.

View Alternative Names

CD71, Transferrin receptor protein 1, TR, TfR, TfR1, Trfr, T9, p90, TFRC

13 Images
Immunocytochemistry/ Immunofluorescence - Anti-Transferrin Receptor antibody [EPR20584] - BSA and Azide free (AB232376)
  • ICC/IF

Supplier Data

Immunocytochemistry/ Immunofluorescence - Anti-Transferrin Receptor antibody [EPR20584] - BSA and Azide free (AB232376)

Immunofluorescent analysis of 100% methanol-fixed K562 (human chronic myelogenous leukemia cell line from bone marrow) cells labeling Transferrin Receptor with ab214039  at 1/100 dilution, followed by Goat Anti-Rabbit IgG H&L (Alexa Fluor® 488) (ab150077) secondary antibody at 1/1000 dilution (green). Confocal image showing positive staining on K562 cells.

The nuclear counter stain is DAPI (blue). Tubulin is detected with Anti-alpha Tubulin antibody [DM1A] - Microtubule Marker (Alexa Fluor® 594) (ab195889) (red) at 1/200 dilution.

Secondary antibody only control : Used PBS instead of primary antibody, secondary antibody is Goat Anti-Rabbit IgG H&L (Alexa Fluor® 488) (ab150077) secondary antibody at 1/1000 dilution.

This data was developed using the same antibody clone in a different buffer formulation containing PBS, BSA, glycerol, and sodium azide (ab214039).

Immunohistochemistry (Formalin/PFA-fixed paraffin-embedded sections) - Anti-Transferrin Receptor antibody [EPR20584] - BSA and Azide free (AB232376)
  • IHC-P

Supplier Data

Immunohistochemistry (Formalin/PFA-fixed paraffin-embedded sections) - Anti-Transferrin Receptor antibody [EPR20584] - BSA and Azide free (AB232376)

Immunohistochemical analysis of paraffin-embedded human cerebrum tissue labeling Transferrin Receptor with ab214039 at 1/500 dilution, followed by Goat Anti-Rabbit IgG H&L (HRP) Ready to use. Positive staining on capillaries of human cerebrum (PMID : 6095085). Counter stained with Hematoxylin.

Secondary antibody only control : Used PBS instead of primary antibody, secondary antibody is Goat Anti-Rabbit IgG H&L (HRP) Ready to use.

This data was developed using the same antibody clone in a different buffer formulation containing PBS, BSA, glycerol, and sodium azide (ab214039).

Heat mediated antigen retrieval was performed with Tris/EDTA buffer pH 9.0 before commencing with IHC staining protocol.

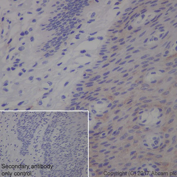
Immunohistochemistry (Formalin/PFA-fixed paraffin-embedded sections) - Anti-Transferrin Receptor antibody [EPR20584] - BSA and Azide free (AB232376)
  • IHC-P

Supplier Data

Immunohistochemistry (Formalin/PFA-fixed paraffin-embedded sections) - Anti-Transferrin Receptor antibody [EPR20584] - BSA and Azide free (AB232376)

Immunohistochemical analysis of paraffin-embedded human esophagus tissue labeling Transferrin Receptor with ab214039 at 1/500 dilution, followed by Goat Anti-Rabbit IgG H&L (HRP) Ready to use. Weakly cytoplasmic staining on human paracarcinoma esophagus. The staining intensity of human paracarcinoma esophagus was weaker than the human esophageal cancer tissue. Both paracarcinoma and human esophageal cancer tissues have been taken from the same patient (PMID : 24435655). Counter stained with Hematoxylin.

Secondary antibody only control : Used PBS instead of primary antibody, secondary antibody is Goat Anti-Rabbit IgG H&L (HRP) Ready to use.

This data was developed using the same antibody clone in a different buffer formulation containing PBS, BSA, glycerol, and sodium azide (ab214039).

Heat mediated antigen retrieval was performed with Tris/EDTA buffer pH 9.0 before commencing with IHC staining protocol.

Immunohistochemistry (Formalin/PFA-fixed paraffin-embedded sections) - Anti-Transferrin Receptor antibody [EPR20584] - BSA and Azide free (AB232376)
  • IHC-P

Supplier Data

Immunohistochemistry (Formalin/PFA-fixed paraffin-embedded sections) - Anti-Transferrin Receptor antibody [EPR20584] - BSA and Azide free (AB232376)

Immunohistochemical analysis of paraffin-embedded human placenta tissue labeling Transferrin Receptor with ab214039 at 1/500 dilution, followed by Goat Anti-Rabbit IgG H&L (HRP) Ready to use. Positive staining on human placenta (PMID : 27483296). Counter stained with Hematoxylin.

Secondary antibody only control : Used PBS instead of primary antibody, secondary antibody is Goat Anti-Rabbit IgG H&L (HRP) Ready to use.

This data was developed using the same antibody clone in a different buffer formulation containing PBS, BSA, glycerol, and sodium azide (ab214039).

Heat mediated antigen retrieval was performed with Tris/EDTA buffer pH 9.0 before commencing with IHC staining protocol.

Immunohistochemistry (Formalin/PFA-fixed paraffin-embedded sections) - Anti-Transferrin Receptor antibody [EPR20584] - BSA and Azide free (AB232376)
  • IHC-P

Lab

Immunohistochemistry (Formalin/PFA-fixed paraffin-embedded sections) - Anti-Transferrin Receptor antibody [EPR20584] - BSA and Azide free (AB232376)

This data was developed using ab214039, the same antibody clone in a different buffer formulation.

Immunohistochemical analysis of formalin fixed paraffin embedded human placenta labelling Transferrin Receptor with ab214039 at a concentration of 0.5µg/ml. The immunostaining was performed on a Ventana DISCOVERY ULTRA (Roche Tissue Diagnostics) instrument with a OptiView DAB IHC Detection Kit. Heat mediated antigen retrieval was performed with DISCOVERY cell conditioning solution (CC1) 100°C, pH8.5 for 32mins.

Anti-Transferrin Receptor antibody [EPR20584] ab214039 was incubated for 16mins at 37°C. Sections were counterstained with Hematoxylin II. Image inset shows absence of staining in secondary antibody only control.

Customers are encouraged to optimise antigen retrieval conditions, antibody concentration, incubation times and temperature for best results in their own IHC assay workflow (automated and manual).

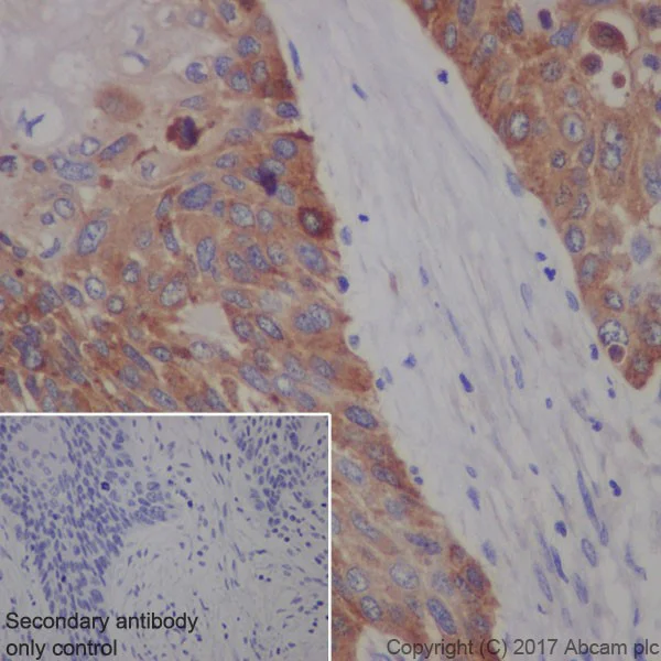
Immunohistochemistry (Formalin/PFA-fixed paraffin-embedded sections) - Anti-Transferrin Receptor antibody [EPR20584] - BSA and Azide free (AB232376)
  • IHC-P

Supplier Data

Immunohistochemistry (Formalin/PFA-fixed paraffin-embedded sections) - Anti-Transferrin Receptor antibody [EPR20584] - BSA and Azide free (AB232376)

Immunohistochemical analysis of paraffin-embedded human esophageal cancer tissue labeling Transferrin Receptor with ab214039 at 1/500 dilution, followed by Goat Anti-Rabbit IgG H&L (HRP) Ready to use. Cytoplasmic staining on human esophageal cancer. The staining intensity of human esophageal cancer tissue was stronger than the human paracarcinoma esophagus tissue. Both paracarcinoma and human esophageal cancer tissues have been taken from the same patient (PMID : 24435655). Counter stained with Hematoxylin.

Secondary antibody only control : Used PBS instead of primary antibody, secondary antibody is Goat Anti-Rabbit IgG H&L (HRP) Ready to use.

This data was developed using the same antibody clone in a different buffer formulation containing PBS, BSA, glycerol, and sodium azide (ab214039).

Heat mediated antigen retrieval was performed with Tris/EDTA buffer pH 9.0 before commencing with IHC staining protocol.

Immunoprecipitation - Anti-Transferrin Receptor antibody [EPR20584] - BSA and Azide free (AB232376)
  • IP

Supplier Data

Immunoprecipitation - Anti-Transferrin Receptor antibody [EPR20584] - BSA and Azide free (AB232376)

Transferrin Receptor was immunoprecipitated from 0.35 mg of K562 (human chronic myelogenous leukemia cell line from bone marrow) lysate with ab214039 at 1/30 dilution. Western blot was performed from the immunoprecipitate using ab214039 at 1/1000 dilution. VeriBlot for IP Detection Reagent (HRP) (ab131366), was used for detection at 1/10000 dilution.

Lane 1 : K562 whole cell lysate 10 μg (Input).

Lane 2 : ab214039 IP in K562 whole cell lysate.

Lane 3 : Rabbit monoclonal IgG (ab172730) instead of ab214039 in K562 whole cell lysate.

Blocking and dilution buffer and concentration : 5% NFDM/TBST.

Exposure time : 1 second.

This data was developed using the same antibody clone in a different buffer formulation containing PBS, BSA, glycerol, and sodium azide (ab214039).

All lanes:

Immunoprecipitation - Anti-Transferrin Receptor antibody [EPR20584] (<a href='/en-us/products/primary-antibodies/transferrin-receptor-antibody-epr20584-ab214039'>ab214039</a>)

Predicted band size: 84 kDa

false

Immunocytochemistry/ Immunofluorescence - Anti-Transferrin Receptor antibody [EPR20584] - BSA and Azide free (AB232376)
  • ICC/IF

Supplier Data

Immunocytochemistry/ Immunofluorescence - Anti-Transferrin Receptor antibody [EPR20584] - BSA and Azide free (AB232376)

Immunofluorescent analysis of 100% methanol-fixed RAW 264.7 (mouse macrophage cell line transformed with Abelson murine leukemia virus) cells labeling Transferrin Receptor with ab214039 at 1/100 dilution, followed by Goat Anti-Rabbit IgG H&L (Alexa Fluor® 488) (ab150077) secondary antibody at 1/1000 dilution (green). Confocal image showing positive staining on RAW 264.7 cells.

The nuclear counter stain is DAPI (blue). Tubulin is detected with Anti-alpha Tubulin antibody [DM1A] - Microtubule Marker (Alexa Fluor® 594) (ab195889) (red) at 1/200 dilution.

Secondary antibody only control : Used PBS instead of primary antibody, secondary antibody is Goat Anti-Rabbit IgG H&L (Alexa Fluor® 488) (ab150077) secondary antibody at 1/1000 dilution.

This data was developed using the same antibody clone in a different buffer formulation containing PBS, BSA, glycerol, and sodium azide (ab214039).

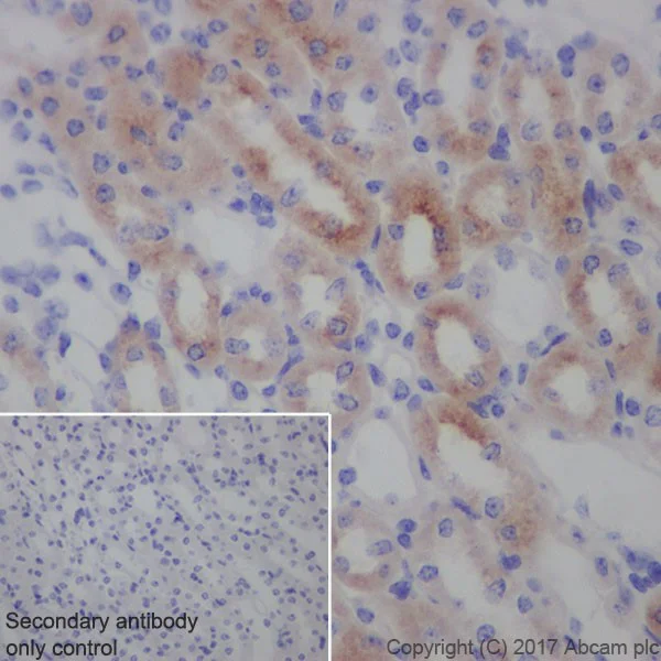
Immunohistochemistry (Formalin/PFA-fixed paraffin-embedded sections) - Anti-Transferrin Receptor antibody [EPR20584] - BSA and Azide free (AB232376)
  • IHC-P

Supplier Data

Immunohistochemistry (Formalin/PFA-fixed paraffin-embedded sections) - Anti-Transferrin Receptor antibody [EPR20584] - BSA and Azide free (AB232376)

Immunohistochemical analysis of paraffin-embedded mouse kidney tissue labeling Transferrin Receptor with ab214039 at 1/500 dilution, followed by Goat Anti-Rabbit IgG H&L (HRP) Ready to use. Cytoplasmic staining on renal tubules of mouse kidney (PMID : 12538733). Counter stained with Hematoxylin.

Secondary antibody only control : Used PBS instead of primary antibody, secondary antibody is Goat Anti-Rabbit IgG H&L (HRP) Ready to use.

This data was developed using the same antibody clone in a different buffer formulation containing PBS, BSA, glycerol, and sodium azide (ab214039).

Heat mediated antigen retrieval was performed with Tris/EDTA buffer pH 9.0 before commencing with IHC staining protocol.

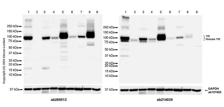
Western blot - Anti-Transferrin Receptor antibody [EPR20584] - BSA and Azide free (AB232376)
  • WB

Lab

Western blot - Anti-Transferrin Receptor antibody [EPR20584] - BSA and Azide free (AB232376)

This data was developed using the same antibody clone in a different buffer formulation containing PBS, BSA, glycerol, and sodium azide (ab214039).

Blocking and diluting beffer and concentration : 5% NFDM/TBST.

ab181602 was used as a GAPDH loading control at 1/200000 dilution.

The blot of ab269513 is applied with Peroxidase-Conjugated Goat anti-Mouse IgG (H+L) secondary antibody at 1/10000 dilution and the blot of ab214039 is applied with Goat Anti-Rabbit IgG, (H+L), Peroxidase conjugated (ab97051) secondary antibody at 1/100000 dilution.

Lanes 1 - 9:

Western blot - Anti-Transferrin Receptor antibody [EPR20584] (<a href='/en-us/products/primary-antibodies/transferrin-receptor-antibody-epr20584-ab214039'>ab214039</a>) at 1/1000 dilution

Lanes 1 - 9:

Western blot - Anti-Transferrin Receptor antibody [H68.4] (<a href='/en-us/products/primary-antibodies/transferrin-receptor-antibody-h684-ab269513'>ab269513</a>) at 1/1000 dilution

Lane 1:

Human placenta tissue lysate at 20 µg

Lane 2:

Human small intestine tissue lysate at 20 µg

Lane 3:

HT-29 (human colorectal adenocarcinoma epithelial cell) whole cell lysate at 20 µg

Lane 4:

LoVo (human colorectal adenocarcinoma epithelial cell)whole cell lysate at 20 µg

Lane 5:

Mouse placenta tissue lysate at 20 µg

Lane 6:

Mouse kidney tissue lysate at 20 µg

Lane 7:

Mouse heart tissue lysate at 20 µg

Lane 8:

Rat placenta tissue lysate at 20 µg

Lane 9:

Rat kidney tissue lysate at 20 µg

Predicted band size: 84 kDa

Observed band size: 90 kDa

false

Exposure time: 26s

Western blot - Anti-Transferrin Receptor antibody [EPR20584] - BSA and Azide free (AB232376)
  • WB

Lab

Western blot - Anti-Transferrin Receptor antibody [EPR20584] - BSA and Azide free (AB232376)

This data was developed using the same antibody clone in a different buffer formulation containing PBS, BSA, glycerol, and sodium azide (ab214039). False colour image of Western blot : Anti-Transferrin Receptor antibody [EPR20584] staining at 1/1000 dilution, shown in green; Mouse anti-GAPDH antibody [6C5] (ab8245) loading control staining at 1/20000 dilution, shown in red. In Western blot, ab214039 was shown to bind specifically to Transferrin Receptor. First, samples were run on an SDS-PAGE gel then transferred onto a nitrocellulose membrane. Membranes were blocked in 3 % milk in TBS-0.1 % Tween® 20 (TBS-T) before incubation with primary antibodies overnight at 4 °C. Blots were washed four times in TBS-T, incubated with secondary antibodies for 1 h at room temperature, washed again four times then imaged. Secondary antibodies used were Goat anti-Rabbit IgG H&L 800CW and Goat anti-Mouse IgG H&L 680RD at 1/20000 dilution.

All lanes:

Western blot - Anti-Transferrin Receptor antibody [EPR20584] (<a href='/en-us/products/primary-antibodies/transferrin-receptor-antibody-epr20584-ab214039'>ab214039</a>) at 1/1000 dilution

Lane 1:

HDLM-2 cell lysate at 20 µg

Lane 2:

SH-SY5Y cell lysate at 20 µg

Predicted band size: 84 kDa

Observed band size: 90 kDa

false

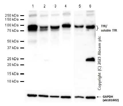
Western blot - Anti-Transferrin Receptor antibody [EPR20584] - BSA and Azide free (AB232376)
  • WB

Lab

Western blot - Anti-Transferrin Receptor antibody [EPR20584] - BSA and Azide free (AB232376)

Blocking buffer and concentration : 5% NFDM/TBST  Diluting buffer and concentration : 5% NFDM/TBST Exposure Time : Lane 1-4 : 3 seconds, Lane 5-6 : 20 seconds. Anti-GAPDH antibody [EPR16891] - Loading Control (ab181602) used. Soluble transferrin receptor (sTfR) is cleaved from whole TfR at Arg 100. (PMID : 9575164, PMID : 23390091). This data was developed using the same antibody clone in a different buffer formulation containing PBS, BSA, glycerol, and sodium azide (ab214039).

All lanes:

Western blot - Anti-Transferrin Receptor antibody [EPR20584] (<a href='/en-us/products/primary-antibodies/transferrin-receptor-antibody-epr20584-ab214039'>ab214039</a>) at 1/1000 dilution

Lane 1:

HeLa (Human cervix adenocarcinoma epithelial cell) whole cell lysate at 20 µg

Lane 2:

HUVEC (Human umbilical vein endothelial cell) whole cell lysate at 20 µg

Lane 3:

293T (Human embryonic kidney epithelial cell) whole cell lysate at 20 µg

Lane 4:

Raw 264.7 (Mouse Abelson murine leukemia virus-induced tumor macrophage) whole cell lysate at 20 µg

Lane 5:

Mouse lung tissue lysate at 20 µg

Lane 6:

Mouse brain tissue lysate at 20 µg

Secondary

All lanes:

Western blot at 1/20000 dilution

Predicted band size: 85 kDa

Observed band size: 75 kDa,85 kDa

false

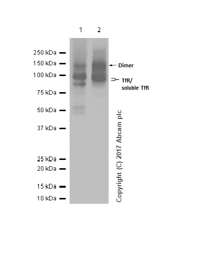
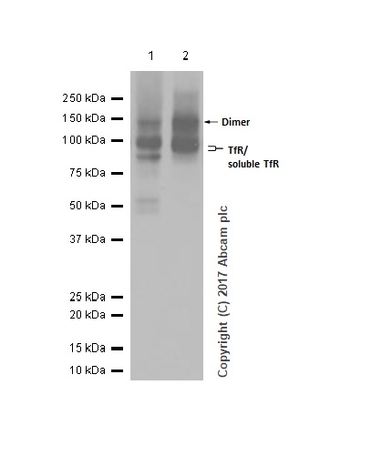
Western blot - Anti-Transferrin Receptor antibody [EPR20584] - BSA and Azide free (AB232376)
  • WB

Lab

Western blot - Anti-Transferrin Receptor antibody [EPR20584] - BSA and Azide free (AB232376)

Soluble transferrin receptor (sTfR) is cleaved from whole TfR at Arg 100. (PMID : 9575164, PMID : 23390091) TfR is found as a dimer linked by disulfide bonds in cell, so sometimes we could see dimer in a few kinds of lysates. (PMID : 2507316, PMID : 3582362). This dimer was also be detected by ab108985. Blocking buffer : 5% NFDM/TBST.

All lanes:

Western blot - Anti-Transferrin Receptor antibody [EPR20584] (<a href='/en-us/products/primary-antibodies/transferrin-receptor-antibody-epr20584-ab214039'>ab214039</a>) at 1/1000 dilution

Lane 1:

Daudi (Human Burkitt's lymphoma lymphoblast) whole cell lysate at 20 µg

Lane 2:

K-562 (Human chronic myelogenous leukemia lymphoblast) whole cell lysate at 20 µg

Secondary

All lanes:

Western blot - Goat Anti-Rabbit IgG H&L (HRP) (<a href='/en-us/products/secondary-antibodies/goat-rabbit-igg-h-l-hrp-ab97051'>ab97051</a>) at 1/20000 dilution

false

Exposure time: 3s

  • Unconjugated

    Anti-Transferrin Receptor antibody [EPR20584]

  • 519 Alexa Fluor® 488

    Alexa Fluor® 488 Anti-Transferrin Receptor antibody [EPR20584]

Key facts

Host species

Rabbit

Clonality

Monoclonal

Clone number

EPR20584

Isotype

IgG

Carrier free

Yes

Reacts with

Mouse, Human, Rat

Applications

IP, WB, IHC-P, ICC/IF

applications

Immunogen

The exact immunogen used to generate this antibody is proprietary information.

Reactivity data

{ "title": "Reactivity Data", "filters": { "stats": ["", "Species", "Dilution Info", "Notes"], "tabs": { "all-applications": {"fullname" : "All Applications", "shortname": "All Applications"}, "IP" : {"fullname" : "Immunoprecipitation", "shortname":"IP"}, "WB" : {"fullname" : "Western blot", "shortname":"WB"}, "ICCIF" : {"fullname" : "Immunocytochemistry/ Immunofluorescence", "shortname":"ICC/IF"}, "IHCP" : {"fullname" : "Immunohistochemistry (Formalin/PFA-fixed paraffin-embedded sections)", "shortname":"IHC-P"} }, "product-promise": { "all": "all", "testedAndGuaranteed": "tested", "guaranteed": "expected", "predicted": "predicted", "notRecommended": "not-recommended" } }, "values": { "Human": { "IP-species-checked": "testedAndGuaranteed", "IP-species-dilution-info": "", "IP-species-notes": "<p></p>", "WB-species-checked": "testedAndGuaranteed", "WB-species-dilution-info": "", "WB-species-notes": "<p></p>", "ICCIF-species-checked": "guaranteed", "ICCIF-species-dilution-info": "", "ICCIF-species-notes": "", "IHCP-species-checked": "testedAndGuaranteed", "IHCP-species-dilution-info": "", "IHCP-species-notes": "<p></p>" }, "Mouse": { "IP-species-checked": "guaranteed", "IP-species-dilution-info": "", "IP-species-notes": "", "WB-species-checked": "testedAndGuaranteed", "WB-species-dilution-info": "", "WB-species-notes": "<p></p>", "ICCIF-species-checked": "testedAndGuaranteed", "ICCIF-species-dilution-info": "", "ICCIF-species-notes": "<p></p>", "IHCP-species-checked": "testedAndGuaranteed", "IHCP-species-dilution-info": "", "IHCP-species-notes": "<p></p>" }, "Rat": { "IP-species-checked": "guaranteed", "IP-species-dilution-info": "", "IP-species-notes": "", "WB-species-checked": "testedAndGuaranteed", "WB-species-dilution-info": "", "WB-species-notes": "<p></p>", "ICCIF-species-checked": "guaranteed", "ICCIF-species-dilution-info": "", "ICCIF-species-notes": "", "IHCP-species-checked": "guaranteed", "IHCP-species-dilution-info": "", "IHCP-species-notes": "" } } }

Product details

ab232376 is the carrier-free version of ab214039.

Patented technology
Our RabMAb® technology is a patented hybridoma-based technology for making rabbit monoclonal antibodies. For details on our patents, please refer to RabMAb® patents.

What are the advantages of a recombinant monoclonal antibody?
This product is a recombinant monoclonal antibody, which offers several advantages including:

  • - High batch-to-batch consistency and reproducibility
  • - Improved sensitivity and specificity
  • - Long-term security of supply
  • - Animal-free batch production

For more information, read more on recombinant antibodies.

Conjugation ready
Our carrier-free antibodies are typically supplied in a PBS-only formulation, purified and free of BSA, sodium azide and glycerol. This conjugation-ready format is designed for use with fluorochromes, metal isotopes, oligonucleotides, and enzymes, which makes them ideal for antibody labelling, functional and cell-based assays, flow-based assays (e.g. mass cytometry) and Multiplex Imaging applications.

Use our conjugation kits for antibody conjugates that are ready-to-use in as little as 20 minutes with 1 minute hands-on-time and 100% antibody recovery: available for fluorescent dyes, HRP, biotin and gold.

Compatibility
This product is compatible with the Maxpar® Antibody Labeling Kit from Fluidigm, without the need for antibody preparation. Maxpar® is a trademark of Fluidigm Canada Inc.

Properties and storage information

Form
Liquid
Purification technique
Affinity purification Protein A
Storage buffer
pH: 7.2 - 7.4 Constituents: PBS
Shipped at conditions
Blue Ice
Appropriate short-term storage conditions
+4°C
Appropriate long-term storage conditions
+4°C
Storage information
Do Not Freeze

Supplementary information

This supplementary information is collated from multiple sources and compiled automatically.

The transferrin receptor commonly referred to as TfR or CD71 is an integral membrane protein that facilitates the uptake of transferrin-bound iron into cells. This receptor has a molecular weight of around 95 kDa and often exists as a homodimer on the cell surface. It is widely expressed in many tissues especially in erythroid precursors and rapidly dividing cells. Alternate names for this receptor include TfR1 and TfR2 though they have distinct roles and distributions. Other transmembrane proteins like OX26 and MEM have been studied in relation to the transferrin receptor due to their involvement in drug delivery.
Biological function summary

TfR plays a critical role in iron homeostasis by mediating the internalization of transferrin and release of iron in the endosomes. It operates as part of the transferrin-transferrin receptor complex facilitating iron assimilation necessary for DNA synthesis and cell growth. Iron release involves acidifying endosomes allowing transferrin to bind with specific cellular receptors including alternate forms like beta 2 transferrin. The process subsequently contributes to erythropoiesis and various metabolic processes by regulating essential cellular iron levels.

Pathways

The transferrin receptor is central to iron metabolism and the receptor-mediated endocytosis pathway. It tightly interacts with transferrin and intracellular pathways process the iron released from transferrin within endosomes. The receptor's role in this pathway involves a dynamic with other proteins such as HFE and hepcidin. These interactions help control systemic iron levels linking closely to the maintenance of erythroid cell health and proliferation.

Disruptions in transferrin receptor function correlate with anemia and neurodegenerative disorders. In anemia related to iron deficiency impaired TfR activity reduces iron uptake culminating in insufficient erythropoiesis. Altered receptor expression or function also connects to neurological diseases like Alzheimer's where iron dysregulation is a concern. Here the transferrin receptor interacts with proteins like Amyloid precursor protein contributing to disease pathology through improper metal homeostasis.

Product protocols

For this product, it's our understanding that no specific protocols are required. You can visit:

Target data

The protein expressed by the gene TFRC is involved in the cellular uptake of iron via receptor-mediated endocytosis, where the transferrin receptor, bound to its ligand, is internalized into specialized endosomes. Following endosomal acidification, iron is released, and the apotransferrin-receptor complex is recycled to the cell surface, where a return to neutral pH results in the loss of apotransferrin's affinity for its receptor. The hereditary hemochromatosis protein HFE competes with transferrin for binding at an overlapping C-terminal site. TFRC positively regulates T and B cell proliferation through iron uptake. It functions as a lipid sensor influencing mitochondrial fusion by modulating the JNK pathway activity. Low dietary levels of stearate promote JNK pathway activation, leading to HUWE1-mediated ubiquitination and degradation of the mitofusin MFN2, inhibiting mitochondrial fusion. High dietary stearate levels result in TFRC stearoylation, which inhibits JNK pathway activation and MFN2 degradation. Additionally, TFRC acts as a receptor for new-world arenaviruses, including Guanarito, Junin, and Machupo viruses. This supplementary information is collated from multiple sources and compiled automatically.
See full target information TFRC

Publications (1)

Recent publications for all applications. Explore the full list and refine your search

Journal of cellular and molecular medicine 25:5099-5112 PubMed33942481

2021

NR4A1 knockdown confers hepatoprotection against ischaemia-reperfusion injury by suppressing TGFβ1 via inhibition of CYR61/NF-κB in mouse hepatocytes.

Applications

Unspecified application

Species

Unspecified reactive species

Jun Cao,Ting Xu,Chengming Zhou,Shaochuang Wang,Baofei Jiang,Kun Wu,Long Ma
View all publications

Product promise

We are committed to supporting your work with high-quality reagents, and we're here for you every step of the way. In the unlikely event that one of our products does not perform as expected, you're protected by our Product Promise.
For full details, please see our Terms & Conditions

Please note: All products are 'FOR RESEARCH USE ONLY. NOT FOR USE IN DIAGNOSTIC OR THERAPEUTIC PROCEDURES'.

For licensing inquiries, please contact partnerships@abcam.com