JavaScript is disabled in your browser. Please enable JavaScript to view this website.
AB218326

Anti-Transferrin Receptor antibody [TFRC/1818] - Extracellular domain

Be the first to review this product! Submit a review

|

(2 Publications)

Mouse Monoclonal Transferrin Receptor antibody. Extracellular domain. Suitable for IHC-P and reacts with Human samples. Cited in 2 publications. Immunogen corresponding to Recombinant Fragment Protein within Human TFRC aa 50-250.

View Alternative Names

CD71, Transferrin receptor protein 1, TR, TfR, TfR1, Trfr, T9, p90, TFRC

2 Images
Immunohistochemistry (Formalin/PFA-fixed paraffin-embedded sections) - Anti-Transferrin Receptor antibody [TFRC/1818] - Extracellular domain (AB218326)
  • IHC-P

Supplier Data

Immunohistochemistry (Formalin/PFA-fixed paraffin-embedded sections) - Anti-Transferrin Receptor antibody [TFRC/1818] - Extracellular domain (AB218326)

Immunohistochemistry (Formalin/PFA-fixed paraffin-embedded sections) analysis of Human bone marrow labeling Transferrin Receptor with ab218326.

Immunohistochemistry (Formalin/PFA-fixed paraffin-embedded sections) - Anti-Transferrin Receptor antibody [TFRC/1818] - Extracellular domain (AB218326)
  • IHC-P

Supplier Data

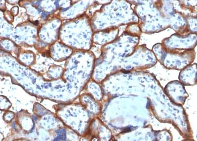
Immunohistochemistry (Formalin/PFA-fixed paraffin-embedded sections) - Anti-Transferrin Receptor antibody [TFRC/1818] - Extracellular domain (AB218326)

Immunohistochemical analysis of formalin-fixed paraffin-embedded human placenta tissue labeling Transferrin Receptor with ab218326 at 2 μg/ml.

Key facts

Host species

Mouse

Clonality

Monoclonal

Clone number

TFRC/1818

Isotype

IgG2b

Light chain type

kappa

Carrier free

No

Reacts with

Human

Applications

IHC-P

applications

Immunogen

Recombinant Fragment Protein within Human TFRC aa 50-250. The exact immunogen used to generate this antibody is proprietary information.

P02786

Reactivity data

{ "title": "Reactivity Data", "filters": { "stats": ["", "Species", "Dilution Info", "Notes"], "tabs": { "all-applications": {"fullname" : "All Applications", "shortname": "All Applications"}, "IHCP" : {"fullname" : "Immunohistochemistry (Formalin/PFA-fixed paraffin-embedded sections)", "shortname":"IHC-P"} }, "product-promise": { "all": "all", "testedAndGuaranteed": "tested", "guaranteed": "expected", "predicted": "predicted", "notRecommended": "not-recommended" } }, "values": { "Human": { "IHCP-species-checked": "testedAndGuaranteed", "IHCP-species-dilution-info": "1-2 µg/mL", "IHCP-species-notes": "<p>(Primary incubation for 30 minutes at RT).</p>" } } }

Product details

Anti-Transferrin Receptor antibody [TFRC/1818] ab218326 is directed against Extracellular domain.

Properties and storage information

Form
Liquid
Purification technique
Affinity purification Protein A
Purification notes
ab218326 was purified from Bioreactor Concentrate by Protein A/G.
Storage buffer
pH: 7.2 - 7.4 Preservative: 0.05% Sodium azide Constituents: 99% PBS, 0.05% BSA
Shipped at conditions
Blue Ice
Appropriate short-term storage duration
1-2 weeks
Appropriate short-term storage conditions
+4°C
Appropriate long-term storage conditions
-20°C
Aliquoting information
Upon delivery aliquot
Storage information
Avoid freeze / thaw cycle

Supplementary information

This supplementary information is collated from multiple sources and compiled automatically.

The transferrin receptor commonly referred to as TfR or CD71 is an integral membrane protein that facilitates the uptake of transferrin-bound iron into cells. This receptor has a molecular weight of around 95 kDa and often exists as a homodimer on the cell surface. It is widely expressed in many tissues especially in erythroid precursors and rapidly dividing cells. Alternate names for this receptor include TfR1 and TfR2 though they have distinct roles and distributions. Other transmembrane proteins like OX26 and MEM have been studied in relation to the transferrin receptor due to their involvement in drug delivery.
Biological function summary

TfR plays a critical role in iron homeostasis by mediating the internalization of transferrin and release of iron in the endosomes. It operates as part of the transferrin-transferrin receptor complex facilitating iron assimilation necessary for DNA synthesis and cell growth. Iron release involves acidifying endosomes allowing transferrin to bind with specific cellular receptors including alternate forms like beta 2 transferrin. The process subsequently contributes to erythropoiesis and various metabolic processes by regulating essential cellular iron levels.

Pathways

The transferrin receptor is central to iron metabolism and the receptor-mediated endocytosis pathway. It tightly interacts with transferrin and intracellular pathways process the iron released from transferrin within endosomes. The receptor's role in this pathway involves a dynamic with other proteins such as HFE and hepcidin. These interactions help control systemic iron levels linking closely to the maintenance of erythroid cell health and proliferation.

Disruptions in transferrin receptor function correlate with anemia and neurodegenerative disorders. In anemia related to iron deficiency impaired TfR activity reduces iron uptake culminating in insufficient erythropoiesis. Altered receptor expression or function also connects to neurological diseases like Alzheimer's where iron dysregulation is a concern. Here the transferrin receptor interacts with proteins like Amyloid precursor protein contributing to disease pathology through improper metal homeostasis.

Product protocols

For this product, it's our understanding that no specific protocols are required. You can visit:

Target data

The protein expressed by the gene TFRC is involved in the cellular uptake of iron via receptor-mediated endocytosis, where the transferrin receptor, bound to its ligand, is internalized into specialized endosomes. Following endosomal acidification, iron is released, and the apotransferrin-receptor complex is recycled to the cell surface, where a return to neutral pH results in the loss of apotransferrin's affinity for its receptor. The hereditary hemochromatosis protein HFE competes with transferrin for binding at an overlapping C-terminal site. TFRC positively regulates T and B cell proliferation through iron uptake. It functions as a lipid sensor influencing mitochondrial fusion by modulating the JNK pathway activity. Low dietary levels of stearate promote JNK pathway activation, leading to HUWE1-mediated ubiquitination and degradation of the mitofusin MFN2, inhibiting mitochondrial fusion. High dietary stearate levels result in TFRC stearoylation, which inhibits JNK pathway activation and MFN2 degradation. Additionally, TFRC acts as a receptor for new-world arenaviruses, including Guanarito, Junin, and Machupo viruses. This supplementary information is collated from multiple sources and compiled automatically.
See full target information TFRC

Publications (2)

Recent publications for all applications. Explore the full list and refine your search

Cell reports methods 4:100858 PubMed39255791

2024

Fully defined NGN2 neuron protocol reveals diverse signatures of neuronal maturation.

Applications

Unspecified application

Species

Unspecified reactive species

Xiwei Shan,Ai Zhang,Mitchell G Rezzonico,Ming-Chi Tsai,Carlos Sanchez-Priego,Yingjie Zhang,Michelle B Chen,Meena Choi,José Miguel Andrade López,Lilian Phu,Amber L Cramer,Qiao Zhang,Jillian M Pattison,Christopher M Rose,Casper C Hoogenraad,Claire G Jeong

Autophagy 19:1551-1561 PubMed36286616

2022

LC3-dependent EV loading and secretion (LDELS) promotes TFRC (transferrin receptor) secretion via extracellular vesicles.

Applications

Unspecified application

Species

Unspecified reactive species

Jackson O Gardner,Andrew M Leidal,Tan A Nguyen,Jayanta Debnath
View all publications

Product promise

We are committed to supporting your work with high-quality reagents, and we're here for you every step of the way. In the unlikely event that one of our products does not perform as expected, you're protected by our Product Promise.
For full details, please see our Terms & Conditions

Please note: All products are 'FOR RESEARCH USE ONLY. NOT FOR USE IN DIAGNOSTIC OR THERAPEUTIC PROCEDURES'.

For licensing inquiries, please contact partnerships@abcam.com