JavaScript is disabled in your browser. Please enable JavaScript to view this website.
AB310334

Anti-Transglutaminase 2 antibody [EPR28142-86] - BSA and Azide free

  • BOND RX™ Validated
  • KO Validated
  • RabMAb
  • Recombinant
  • What is this?

Be the first to review this product! Submit a review

|

(0 Publication)

Knockout Tested Rabbit Recombinant Monoclonal Transglutaminase 2 antibody. Carrier free. Suitable for ICC/IF, WB, IHC-P and reacts with Human samples.

View Alternative Names

Protein-glutamine gamma-glutamyltransferase 2, Erythrocyte transglutaminase, Heart G alpha(h), Isopeptidase TGM2, Protein G alpha(h), Protein-glutamine deamidase TGM2, Protein-glutamine dopaminyltransferase TGM2, Protein-glutamine histaminyltransferase TGM2, Protein-glutamine noradrenalinyltransferase TGM2, Protein-glutamine serotonyltransferase TGM2, Tissue transglutaminase, Transglutaminase C, Transglutaminase H, Transglutaminase II, Transglutaminase-2, hhG alpha(h), G(h), tTG, tTgase, TG(C), TGC, TGase C, TGase H, TGase II, TG2, TGase-2, hTG2, TGM2

8 Images
Immunocytochemistry/ Immunofluorescence - Anti-Transglutaminase 2 antibody [EPR28142-86] - BSA and Azide free (AB310334)
  • ICC/IF

Lab

Immunocytochemistry/ Immunofluorescence - Anti-Transglutaminase 2 antibody [EPR28142-86] - BSA and Azide free (AB310334)

This data was developed using ab310333, the same antibody clone in a different buffer formulation.

ab310333 was shown to react with TGM2 in wild-type A549 cells in immunocytochemistry with loss of signal observed in TGM2 knockout cell line ab261876. Wild-type and knockout cells were mixed and pelleted at a 1 : 1 ratio on coverslips. The cells were fixed with 4% paraformaldehyde (15 min) then permeabilized with 0.1% Triton X-100 (10min) and then blocked with 1x PBS, 0.01% Triton X-100, 5% BSA, 5% NGS. The cells were then incubated with ab310333 at 1/500 dilution overnight at 4°C followed by a further incubation at room temperature for 1h with a goat anti-rabbit secondary antibody to (Alexa Fluor® 555) at 0.5 µg/ml. Acquisition of the green (wild-type), red (antibody staining) and far-red (knockout) channels was performed. Representative grayscale images of the red channel are shown. Wild-type and knockout cells are outlined with yellow and magenta dashed line, respectively. Schematic representation of the mosaic strategy used is shown on the bottom-right panel. Image was acquired with a Zeiss(LSM-880).

These data were provided by YCharOS Inc., an open science company with the mission of characterizing commercially available antibody reagents for all human proteins. Abcam and YCharOS are working together to help address the reproducibility crisis by enabling the life science community to better evaluate commercially available antibodies.

Immunohistochemistry (Formalin/PFA-fixed paraffin-embedded sections) - Anti-Transglutaminase 2 antibody [EPR28142-86] - BSA and Azide free (AB310334)
  • IHC-P

Supplier Data

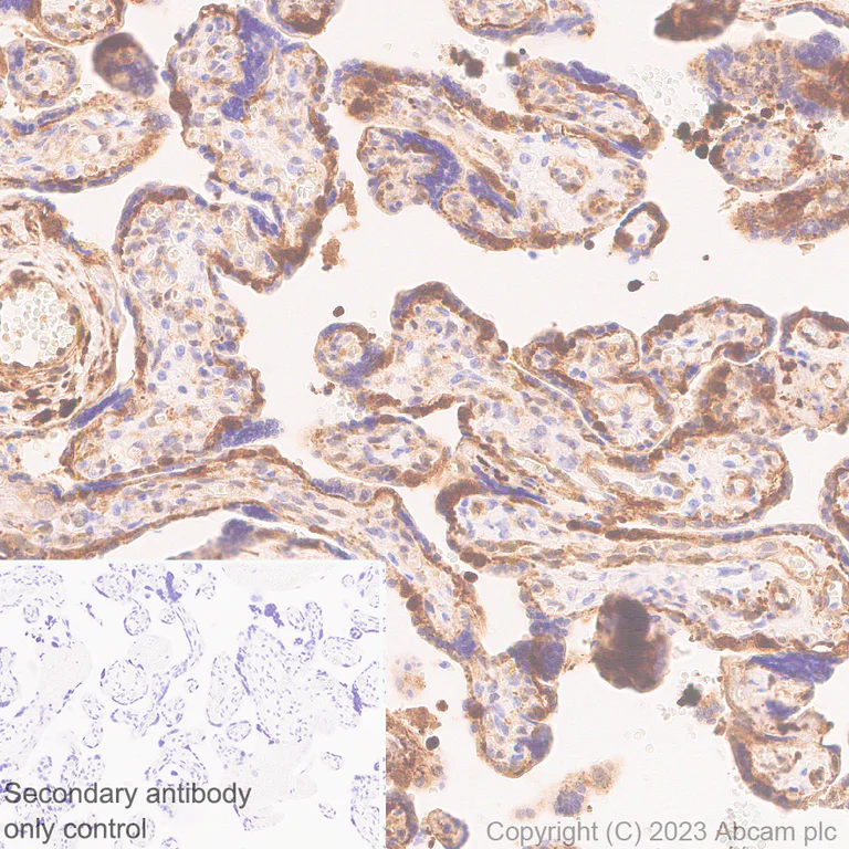
Immunohistochemistry (Formalin/PFA-fixed paraffin-embedded sections) - Anti-Transglutaminase 2 antibody [EPR28142-86] - BSA and Azide free (AB310334)

This data was developed using ab310333, the same antibody clone in a different buffer formulation. Immunohistochemical analysis of paraffin-embedded human placenta tissue labelling Transglutaminase 2 with ab310333 at 1/200 (2.485 ug/ml) followed by a ready to use LeicaDS9800 (Bond™ Polymer Refine Detection). Positive staining on human placenta. The section was incubated with ab310333 for 30 mins at room temperature. The immunostaining was performed on a Leica Biosystems BOND® RX instrument incubate slides with 3% Hydrogen Peroxide for 10 mins at room temperature after secondary antibody incubation to reduce the background. Counterstained with Hematoxylin. Secondary antibody only control : Secondary antibody is a ready to use LeicaDS9800 (Bond™ Polymer Refine Detection). Heat mediated antigen retrieval was performed with Tris-EDTA buffer (pH 9.0, Epitope Retrieval Solution2) for 20 mins.

Immunohistochemistry (Formalin/PFA-fixed paraffin-embedded sections) - Anti-Transglutaminase 2 antibody [EPR28142-86] - BSA and Azide free (AB310334)
  • IHC-P

Supplier Data

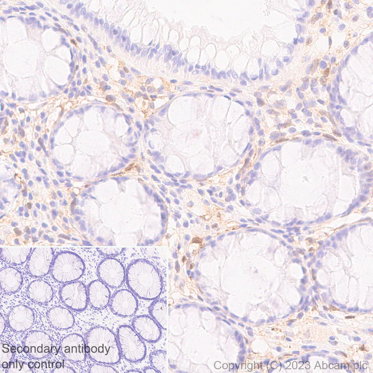
Immunohistochemistry (Formalin/PFA-fixed paraffin-embedded sections) - Anti-Transglutaminase 2 antibody [EPR28142-86] - BSA and Azide free (AB310334)

This data was developed using ab310333, the same antibody clone in a different buffer formulation. Immunohistochemical analysis of paraffin-embedded human colon tissue labelling Transglutaminase 2 with ab310333 at 1/200 (2.485 ug/ml) followed by a ready to use LeicaDS9800 (Bond™ Polymer Refine Detection). Positive staining on human colon (PMID : 34103685). The section was incubated with ab310333 for 30 mins at room temperature. The immunostaining was performed on a Leica Biosystems BOND® RX instrumentIncubate slides with 3% Hydrogen Peroxide for 10 mins at room temperature after secondary antibody incubation to reduce the backgroundIncubate slides with 3% Hydrogen Peroxide for 10 mins at room temperature after secondary antibody incubation to reduce the background. Counterstained with Hematoxylin. Secondary antibody only control : Secondary antibody is a ready to use LeicaDS9800 (Bond™ Polymer Refine Detection). Heat mediated antigen retrieval was performed with Tris-EDTA buffer (pH 9.0, Epitope Retrieval Solution2) for 20 mins.

Immunohistochemistry (Formalin/PFA-fixed paraffin-embedded sections) - Anti-Transglutaminase 2 antibody [EPR28142-86] - BSA and Azide free (AB310334)
  • IHC-P

Supplier Data

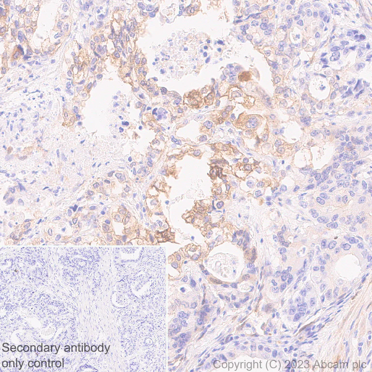
Immunohistochemistry (Formalin/PFA-fixed paraffin-embedded sections) - Anti-Transglutaminase 2 antibody [EPR28142-86] - BSA and Azide free (AB310334)

This data was developed using ab310333, the same antibody clone in a different buffer formulation. Immunohistochemical analysis of paraffin-embedded human gastric carcinoma tissue labelling Transglutaminase 2 with ab310333 at 1/200 (2.485 ug/ml) followed by a ready to use LeicaDS9800 (Bond™ Polymer Refine Detection). Positive staining on human gastric carcinoma (PMID : 32467608). The section was incubated with ab310333 for 30 mins at room temperature. The immunostaining was performed on a Leica Biosystems BOND® RX instrument incubate slides with 3% Hydrogen Peroxide for 10 mins at room temperature after secondary antibody incubation to reduce the background. Counterstained with Hematoxylin. Secondary antibody only control : Secondary antibody is a ready to use LeicaDS9800 (Bond™ Polymer Refine Detection). Heat mediated antigen retrieval was performed with Tris-EDTA buffer (pH 9.0, Epitope Retrieval Solution2) for 20 mins.

Immunohistochemistry (Formalin/PFA-fixed paraffin-embedded sections) - Anti-Transglutaminase 2 antibody [EPR28142-86] - BSA and Azide free (AB310334)
  • IHC-P

Supplier Data

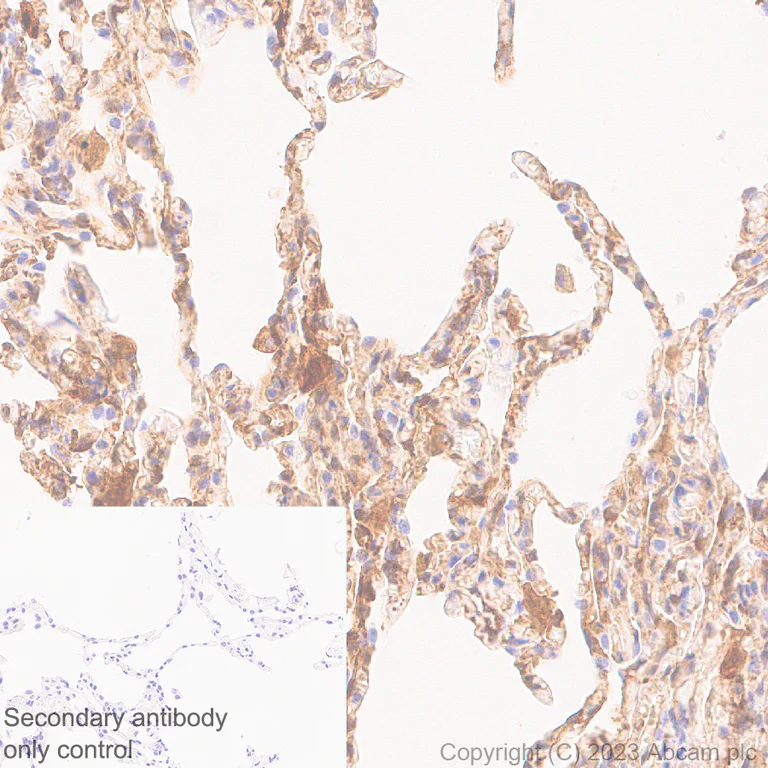
Immunohistochemistry (Formalin/PFA-fixed paraffin-embedded sections) - Anti-Transglutaminase 2 antibody [EPR28142-86] - BSA and Azide free (AB310334)

This data was developed using ab310333, the same antibody clone in a different buffer formulation. Immunohistochemical analysis of paraffin-embedded Human lung tissue labeling Transglutaminase 2 with ab310333 at 1/200 (2.485 ug/ml) followed by a ready to use LeicaDS9800 (Bond™ Polymer Refine Detection). Positive staining on human lung. The section was incubated with ab310333 for 30 mins at room temperature. The immunostaining was performed on a Leica Biosystems BOND® RX instrument incubate slides with 3% Hydrogen Peroxide for 10 mins at room temperature after secondary antibody incubation to reduce the background. Counterstained with Hematoxylin. Secondary antibody only control : Secondary antibody is a ready to use LeicaDS9800 (Bond™ Polymer Refine Detection). Heat mediated antigen retrieval was performed with Tris-EDTA buffer (pH 9.0, Epitope Retrieval Solution2) for 20 mins.

Immunocytochemistry/ Immunofluorescence - Anti-Transglutaminase 2 antibody [EPR28142-86] - BSA and Azide free (AB310334)
  • ICC/IF

Supplier Data

Immunocytochemistry/ Immunofluorescence - Anti-Transglutaminase 2 antibody [EPR28142-86] - BSA and Azide free (AB310334)

This data was developed using ab310333, the same antibody clone in a different buffer formulation. Immunofluorescent analysis of 4% Paraformaldehyde-fixed, 0.1% TritonX-100 permeabilized TGM2 KO A549 (human lung carcinoma epithelial cell)(ab267109) cells labelling Transglutaminase 2 with ab310333 at 1/500 (0.994 ug/ml) dilution, followed by ab150081 Goat Anti-Rabbit IgG H&L (Alexa Fluor® 488) preadsorbed antibody at 1/1000 2ug/ml dilution (Green). Confocal image showing cytoplasmic staining in parental A549 cell line, and no staining in TGM2 KO A549 cell line. Image was taken with a confocal microscope(Leica-Microsystems, TCS SP8). ab195889 Anti-alpha Tubulin mouse monoclonal antibody - Microtubule Marker (Alexa Fluor® 594) was used to counterstain tubulin at 1/200 2.5ug/ml dilution (Red). The Nuclear counterstain was DAPI (Blue). Secondary antibody only control : Secondary antibody is ab150081 Goat Anti-Rabbit IgG H&L (Alexa Fluor® 488) preadsorbed at 1/1000 2ug/ml dilution.

Western blot - Anti-Transglutaminase 2 antibody [EPR28142-86] - BSA and Azide free (AB310334)
  • WB

Supplier Data

Western blot - Anti-Transglutaminase 2 antibody [EPR28142-86] - BSA and Azide free (AB310334)

This data was developed using ab310333, the same antibody clone in a different buffer formulation. Blocking and diluting buffer and concentration : 5% NFDM/TBST Performed under reducing conditions. In Western blot, ab310333 was shown to bind specifically to Transglutaminase 2. A band was observed at 77 kDa in wild-type A549 cell lysates whereas no signal observed at this size in TGM2 knockout cell line ab267109 (knockout cell lysate ab257086). In Western blot, anti-GAPDH antibody (ab181602) loading control staining at 1/200000 dilution. Exposure time : 26 seconds

All lanes:

Western blot - Anti-Transglutaminase 2 antibody [EPR28142-86] (<a href='/en-us/products/primary-antibodies/transglutaminase-2-antibody-epr28142-86-ab310333'>ab310333</a>) at 1/1000 dilution

Lane 1:

Wild-type A549 (human lung carcinoma epithelial cell) whole cell lysate at 20 µg

Lane 2:

TGM2 knockout cell line ab267109 (knockout cell lysate <a href='/en-us/products/unavailable/human-tgm2-transglutaminase-2-knockout-a549-cell-lysate-ab257086'>ab257086</a>) at 20 µg

Lane 3:

HeLa (human cervical adenocarcinoma epithelial cell) whole cell lysate at 20 µg

Lane 4:

Human lung tisue lysate at 20 µg

Lane 5:

Human testis tisue lysate at 20 µg

Secondary

All lanes:

Goat Anti-Rabbit IgG (HRP) with minimal cross-reactivity with human IgG at 1/2000 dilution

Observed band size: 77 kDa

false

Exposure time: 26s

Western blot - Anti-Transglutaminase 2 antibody [EPR28142-86] - BSA and Azide free (AB310334)
  • WB

Lab

Western blot - Anti-Transglutaminase 2 antibody [EPR28142-86] - BSA and Azide free (AB310334)

This data was developed using ab310333, the same antibody clone in a different buffer formulation.

ab310333 was shown to react with TGM2 in wild-type A549 cells in Western blot with loss of signal observed in TGM2 knockout cell line ab261876. Wild-type A549 and TGM2 knockout cell lysates were subjected to SDS-PAGE. Membranes were blocked in 5% milk in TBST for 1 hr before incubation with ab310333 overnight at 4 °C at a 1/1000 dilution. Blots were incubated with secondary antibodies at 0.2 µg/mL before imaging.

These data were provided by YCharOS Inc., an open science company with the mission of characterizing commercially available antibody reagents for all human proteins. Abcam and YCharOS are working together to help address the reproducibility crisis by enabling the life science community to better evaluate commercially available antibodies.

All lanes:

Western blot - Anti-Transglutaminase 2 antibody [EPR28142-86] (<a href='/en-us/products/primary-antibodies/transglutaminase-2-antibody-epr28142-86-ab310333'>ab310333</a>) at 1/1000 dilution

Lane 1:

Wild-type A549 lysate at 40 µg

Lane 2:

TGM2 knock-out A549 lysate at 40 µg

false

  • Unconjugated

    Anti-Transglutaminase 2 antibody [EPR28142-86]

Key facts

Host species

Rabbit

Clonality

Monoclonal

Clone number

EPR28142-86

Isotype

IgG

Carrier free

Yes

Reacts with

Human

Applications

WB, IHC-P, ICC/IF

applications

Immunogen

The exact immunogen used to generate this antibody is proprietary information.

Reactivity data

{ "title": "Reactivity Data", "filters": { "stats": ["", "Species", "Dilution Info", "Notes"], "tabs": { "all-applications": {"fullname" : "All Applications", "shortname": "All Applications"}, "ICCIF" : {"fullname" : "Immunocytochemistry/ Immunofluorescence", "shortname":"ICC/IF"}, "WB" : {"fullname" : "Western blot", "shortname":"WB"}, "IHCP" : {"fullname" : "Immunohistochemistry (Formalin/PFA-fixed paraffin-embedded sections)", "shortname":"IHC-P"}, "IP" : {"fullname" : "Immunoprecipitation", "shortname":"IP"}, "FlowCytIntra" : {"fullname" : "Flow Cytometry (Intracellular)", "shortname":"Flow Cyt (Intra)"} }, "product-promise": { "all": "all", "testedAndGuaranteed": "tested", "guaranteed": "expected", "predicted": "predicted", "notRecommended": "not-recommended" } }, "values": { "Human": { "ICCIF-species-checked": "testedAndGuaranteed", "ICCIF-species-dilution-info": "", "ICCIF-species-notes": "<p></p>", "WB-species-checked": "testedAndGuaranteed", "WB-species-dilution-info": "", "WB-species-notes": "<p></p>", "IHCP-species-checked": "testedAndGuaranteed", "IHCP-species-dilution-info": "", "IHCP-species-notes": "<p></p>", "IP-species-checked": "notRecommended", "IP-species-dilution-info": "", "IP-species-notes": "<p></p>", "FlowCytIntra-species-checked": "notRecommended", "FlowCytIntra-species-dilution-info": "", "FlowCytIntra-species-notes": "<p></p>" }, "Mouse": { "ICCIF-species-checked": "notRecommended", "ICCIF-species-dilution-info": "", "ICCIF-species-notes": "<p></p>", "WB-species-checked": "notRecommended", "WB-species-dilution-info": "", "WB-species-notes": "<p></p>", "IHCP-species-checked": "notRecommended", "IHCP-species-dilution-info": "", "IHCP-species-notes": "<p></p>", "IP-species-checked": "notRecommended", "IP-species-dilution-info": "", "IP-species-notes": "<p></p>", "FlowCytIntra-species-checked": "notRecommended", "FlowCytIntra-species-dilution-info": "", "FlowCytIntra-species-notes": "" }, "Rat": { "ICCIF-species-checked": "notRecommended", "ICCIF-species-dilution-info": "", "ICCIF-species-notes": "", "WB-species-checked": "notRecommended", "WB-species-dilution-info": "", "WB-species-notes": "<p></p>", "IHCP-species-checked": "notRecommended", "IHCP-species-dilution-info": "", "IHCP-species-notes": "<p></p>", "IP-species-checked": "notRecommended", "IP-species-dilution-info": "", "IP-species-notes": "", "FlowCytIntra-species-checked": "notRecommended", "FlowCytIntra-species-dilution-info": "", "FlowCytIntra-species-notes": "" } } }

Product details

Patented technology
Our RabMAb® technology is a patented hybridoma-based technology for making rabbit monoclonal antibodies. For details on our patents, please refer to RabMAb® patents.

What are the advantages of a recombinant monoclonal antibody?
This product is a recombinant monoclonal antibody, which offers several advantages including:

  • - High batch-to-batch consistency and reproducibility
  • - Improved sensitivity and specificity
  • - Long-term security of supply
  • - Animal-free batch production

For more information, read more on recombinant antibodies.

Conjugation ready
Our carrier-free antibodies are typically supplied in a PBS-only formulation, purified and free of BSA, sodium azide and glycerol. This conjugation-ready format is designed for use with fluorochromes, metal isotopes, oligonucleotides, and enzymes, which makes them ideal for antibody labelling, functional and cell-based assays, flow-based assays (e.g. mass cytometry) and Multiplex Imaging applications.

Use our conjugation kits for antibody conjugates that are ready-to-use in as little as 20 minutes with 1 minute hands-on-time and 100% antibody recovery: available for fluorescent dyes, HRP, biotin and gold.

Compatibility
This product is compatible with the Maxpar® Antibody Labeling Kit from Fluidigm, without the need for antibody preparation. Maxpar® is a trademark of Fluidigm Canada Inc.

Properties and storage information

Form
Liquid
Purification technique
Affinity purification Protein A
Storage buffer
pH: 7.2 - 7.4 Constituents: PBS
Shipped at conditions
Blue Ice
Appropriate short-term storage conditions
+4°C
Appropriate long-term storage conditions
+4°C

Supplementary information

This supplementary information is collated from multiple sources and compiled automatically.

Transglutaminase 2 also known as TG2 or tissue transglutaminase is an enzyme with a mass of approximately 74 kDa. It catalyzes the formation of covalent bonds by crosslinking glutamine residues and lysine residues in proteins. This enzyme is widely expressed in various tissues including the liver heart and lungs. It can act as a GTPase a kinase and a protein disulfide isomerase highlighting its multifunctional nature. Additionally transglutaminase 2 associates with cell membranes cytoskeleton and extracellular matrix indicating its versatile involvement in cellular processes.
Biological function summary

Transglutaminase 2 plays roles in cell adhesion wound healing and the immune response. It mediates extracellular matrix stabilization through crosslinking structural proteins which is critical for tissue repair. The enzyme does not typically form a stable part of a large complex but interacts with fibronectin as a binding partner highlighting its role in cellular adhesion and migration. The enzymatic activity of transglutaminase 2 helps maintain tissue integrity by modifying extracellular and intracellular proteins.

Pathways

Transglutaminase 2 contributes significantly to the integrin-mediated signaling pathway and the apoptosis pathway. It assists in the modulation of cell-matrix interactions by crosslinking matrix proteins which is important for integrin signaling. During apoptosis transglutaminase 2 promotes cellular processes that lead to cell death via its involvement in nuclear condensation and DNA fragmentation. In these pathways proteins such as fibronectin and integrins interact with transglutaminase 2 facilitating its regulatory functions.

Transglutaminase 2 is associated with celiac disease and neurodegenerative disorders like Huntington's disease. Its autoantigenic properties make it a target in celiac disease where antibodies against transglutaminase 2 play a role in the pathology by affecting intestinal tissue. In Huntington's disease transglutaminase 2 contributes to the formation of protein aggregates which are toxic to neurons. This enzyme's interactions with proteins such as gliadin in celiac disease and huntingtin in Huntington's disease are central to its pathogenic mechanism.

Product protocols

For this product, it's our understanding that no specific protocols are required. You can visit:

Target data

Calcium-dependent acyltransferase that catalyzes the formation of covalent bonds between peptide-bound glutamine and various primary amines, such as gamma-amino group of peptide-bound lysine, or mono- and polyamines, thereby producing cross-linked or aminated proteins, respectively (PubMed : 23941696, PubMed : 31991788, PubMed : 9252372). Involved in many biological processes, such as bone development, angiogenesis, wound healing, cellular differentiation, chromatin modification and apoptosis (PubMed : 1683874, PubMed : 27270573, PubMed : 28198360, PubMed : 7935379, PubMed : 9252372). Acts as a protein-glutamine gamma-glutamyltransferase by mediating the cross-linking of proteins, such as ACO2, HSPB6, FN1, HMGB1, RAP1GDS1, SLC25A4/ANT1, SPP1 and WDR54 (PubMed : 23941696, PubMed : 24349085, PubMed : 29618516, PubMed : 30458214). Under physiological conditions, the protein cross-linking activity is inhibited by GTP; inhibition is relieved by Ca(2+) in response to various stresses (PubMed : 18092889, PubMed : 7592956, PubMed : 7649299). When secreted, catalyzes cross-linking of proteins of the extracellular matrix, such as FN1 and SPP1 resulting in the formation of scaffolds (PubMed : 12506096). Plays a key role during apoptosis, both by (1) promoting the cross-linking of cytoskeletal proteins resulting in condensation of the cytoplasm, and by (2) mediating cross-linking proteins of the extracellular matrix, resulting in the irreversible formation of scaffolds that stabilize the integrity of the dying cells before their clearance by phagocytosis, thereby preventing the leakage of harmful intracellular components (PubMed : 7935379, PubMed : 9252372). In addition to protein cross-linking, can use different monoamine substrates to catalyze a vast array of protein post-translational modifications : mediates aminylation of serotonin, dopamine, noradrenaline or histamine into glutamine residues of target proteins to generate protein serotonylation, dopaminylation, noradrenalinylation or histaminylation, respectively (PubMed : 23797785, PubMed : 30867594). Mediates protein serotonylation of small GTPases during activation and aggregation of platelets, leading to constitutive activation of these GTPases (By similarity). Plays a key role in chromatin organization by mediating serotonylation and dopaminylation of histone H3 (PubMed : 30867594, PubMed : 32273471). Catalyzes serotonylation of 'Gln-5' of histone H3 (H3Q5ser) during serotonergic neuron differentiation, thereby facilitating transcription (PubMed : 30867594). Acts as a mediator of neurotransmission-independent role of nuclear dopamine in ventral tegmental area (VTA) neurons : catalyzes dopaminylation of 'Gln-5' of histone H3 (H3Q5dop), thereby regulating relapse-related transcriptional plasticity in the reward system (PubMed : 32273471). Regulates vein remodeling by mediating serotonylation and subsequent inactivation of ATP2A2/SERCA2 (By similarity). Also acts as a protein deamidase by mediating the side chain deamidation of specific glutamine residues of proteins to glutamate (PubMed : 20547769, PubMed : 9623982). Catalyzes specific deamidation of protein gliadin, a component of wheat gluten in the diet (PubMed : 9623982). May also act as an isopeptidase cleaving the previously formed cross-links (PubMed : 26250429, PubMed : 27131890). Also able to participate in signaling pathways independently of its acyltransferase activity : acts as a signal transducer in alpha-1 adrenergic receptor-mediated stimulation of phospholipase C-delta (PLCD) activity and is required for coupling alpha-1 adrenergic agonists to the stimulation of phosphoinositide lipid metabolism (PubMed : 8943303).. Isoform 2. Has cytotoxic activity : is able to induce apoptosis independently of its acyltransferase activity.
See full target information Protein-glutamine gamma-glutamyltransferase 2

Product promise

We are committed to supporting your work with high-quality reagents, and we're here for you every step of the way. In the unlikely event that one of our products does not perform as expected, you're protected by our Product Promise.
For full details, please see our Terms & Conditions

Please note: All products are 'FOR RESEARCH USE ONLY. NOT FOR USE IN DIAGNOSTIC OR THERAPEUTIC PROCEDURES'.

For licensing inquiries, please contact partnerships@abcam.com