JavaScript is disabled in your browser. Please enable JavaScript to view this website.
AB323809

Anti-Transglutaminase 2 antibody [EPR29853-527] - BSA and Azide free

Be the first to review this product! Submit a review

|

(0 Publication)

Rabbit Recombinant Monoclonal Transglutaminase 2 antibody. Carrier free. Suitable for IP, ICC/IF, IHC-P, WB and reacts with Mouse samples.

View Alternative Names

Protein-glutamine gamma-glutamyltransferase 2, Isopeptidase TGM2, Protein-glutamine deamidase TGM2, Protein-glutamine dopaminyltransferase TGM2, Protein-glutamine histaminyltransferase TGM2, Protein-glutamine noradrenalinyltransferase TGM2, Protein-glutamine serotonyltransferase TGM2, Tissue transglutaminase, Transglutaminase II, Transglutaminase-2, tTG, TGase II, TG2, TGase-2, TGase2, Tgm2

9 Images
Immunohistochemistry (Formalin/PFA-fixed paraffin-embedded sections) - Anti-Transglutaminase 2 antibody [EPR29853-527] - BSA and Azide free (AB323809)
  • IHC-P

Supplier Data

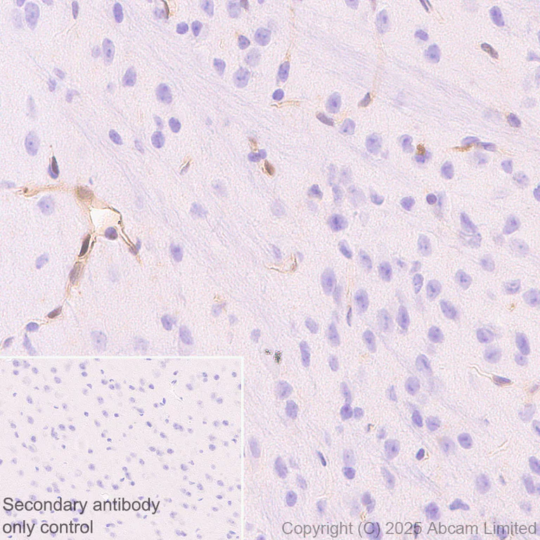
Immunohistochemistry (Formalin/PFA-fixed paraffin-embedded sections) - Anti-Transglutaminase 2 antibody [EPR29853-527] - BSA and Azide free (AB323809)

Immunohistochemical analysis of paraffin-embedded Mouse cerebrum tissue labeling Transglutaminase 2 with ab323793 at 1/500 (1.006 ug/ml) dilution, followed by a ready to use LeicaDS9800 (Bond™ Polymer Refine Detection).

Low expression : positive staining on blood vessels of mouse cerebrum. The section was incubated with ab323793 for 30 mins at room temperature.
The immunostaining was performed on a Leica Biosystems BOND® RX instrument

Counterstained with Hematoxylin.

Secondary antibody only control : Secondary antibody is a ready to use LeicaDS9800 (Bond™ Polymer Refine Detection).

Heat mediated antigen retrieval was performed with Tris-EDTA buffer (pH 9.0, Epitope Retrieval Solution2) for 20 mins

Immunohistochemistry (Formalin/PFA-fixed paraffin-embedded sections) - Anti-Transglutaminase 2 antibody [EPR29853-527] - BSA and Azide free (AB323809)
  • IHC-P

Supplier Data

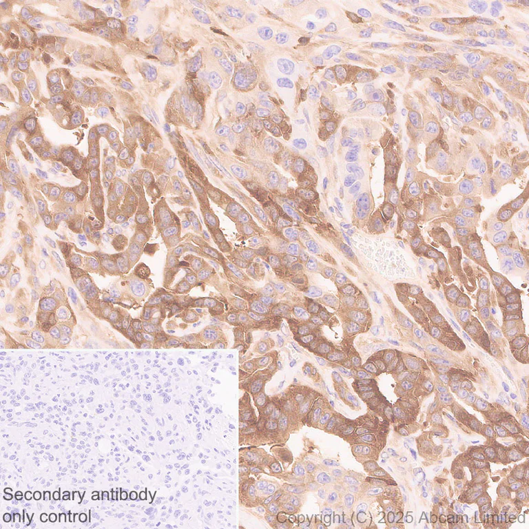
Immunohistochemistry (Formalin/PFA-fixed paraffin-embedded sections) - Anti-Transglutaminase 2 antibody [EPR29853-527] - BSA and Azide free (AB323809)

Immunohistochemical analysis of paraffin-embedded Mouse pancreas carcinoma tissue labeling Transglutaminase 2 with ab323793 at 1/500 (1.006 ug/ml) dilution, followed by a ready to use LeicaDS9800 (Bond™ Polymer Refine Detection).

Positive staining on mouse pancreas carcinoma. The section was incubated with ab323793 for 30 mins at room temperature.
The immunostaining was performed on a Leica Biosystems BOND® RX instrument

Counterstained with Hematoxylin.

Secondary antibody only control : Secondary antibody is a ready to use LeicaDS9800 (Bond™ Polymer Refine Detection).

Heat mediated antigen retrieval was performed with Tris-EDTA buffer (pH 9.0, Epitope Retrieval Solution2) for 20 mins

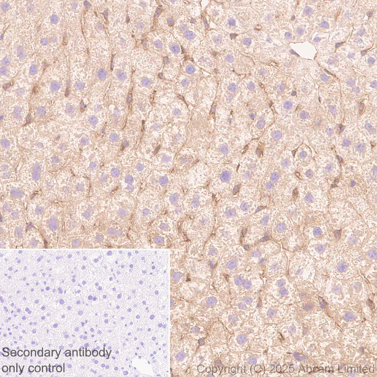
Immunohistochemistry (Formalin/PFA-fixed paraffin-embedded sections) - Anti-Transglutaminase 2 antibody [EPR29853-527] - BSA and Azide free (AB323809)
  • IHC-P

Supplier Data

Immunohistochemistry (Formalin/PFA-fixed paraffin-embedded sections) - Anti-Transglutaminase 2 antibody [EPR29853-527] - BSA and Azide free (AB323809)

Immunohistochemical analysis of paraffin-embedded Mouse liver tissue labeling Transglutaminase 2 with ab323793 at 1/500 (1.006 ug/ml) dilution, followed by a ready to use LeicaDS9800 (Bond™ Polymer Refine Detection).

Positive staining on mouse liver. The section was incubated with ab323793 for 30 mins at room temperature.
The immunostaining was performed on a Leica Biosystems BOND® RX instrument

Counterstained with Hematoxylin.

Secondary antibody only control : Secondary antibody is a ready to use LeicaDS9800 (Bond™ Polymer Refine Detection).

Heat mediated antigen retrieval was performed with Tris-EDTA buffer (pH 9.0, Epitope Retrieval Solution2) for 20 mins

Immunohistochemistry (Formalin/PFA-fixed paraffin-embedded sections) - Anti-Transglutaminase 2 antibody [EPR29853-527] - BSA and Azide free (AB323809)
  • IHC-P

Supplier Data

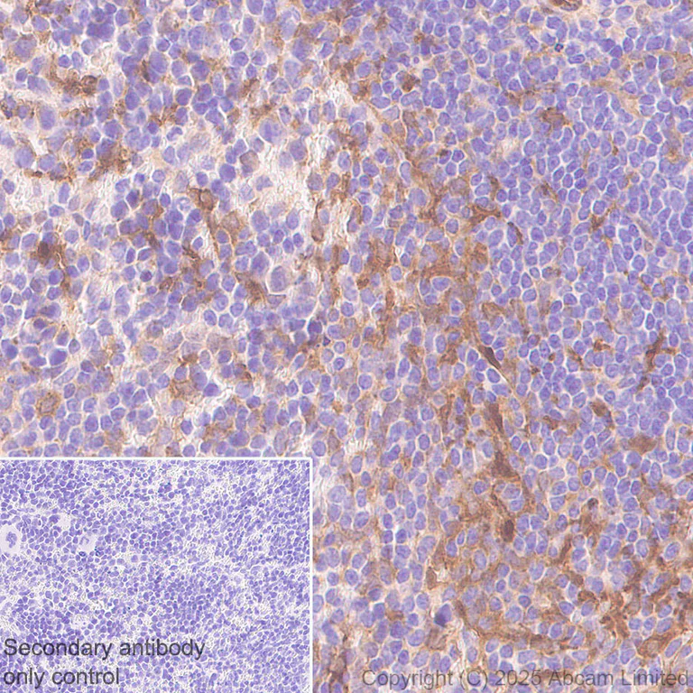
Immunohistochemistry (Formalin/PFA-fixed paraffin-embedded sections) - Anti-Transglutaminase 2 antibody [EPR29853-527] - BSA and Azide free (AB323809)

Immunohistochemical analysis of paraffin-embedded Mouse spleen tissue labeling Transglutaminase 2 with ab323793 at 1/500 (1.006 ug/ml) dilution, followed by a ready to use LeicaDS9800 (Bond™ Polymer Refine Detection).

Positive staining on mouse spleen. The section was incubated with ab323793 for 30 mins at room temperature.
The immunostaining was performed on a Leica Biosystems BOND® RX instrument

Counterstained with Hematoxylin.

Secondary antibody only control : Secondary antibody is a ready to use LeicaDS9800 (Bond™ Polymer Refine Detection).

Heat mediated antigen retrieval was performed with Tris-EDTA buffer (pH 9.0, Epitope Retrieval Solution2) for 20 mins

Immunocytochemistry/ Immunofluorescence - Anti-Transglutaminase 2 antibody [EPR29853-527] - BSA and Azide free (AB323809)
  • ICC/IF

Supplier Data

Immunocytochemistry/ Immunofluorescence - Anti-Transglutaminase 2 antibody [EPR29853-527] - BSA and Azide free (AB323809)

Immunofluorescent analysis of 4% Paraformaldehyde-fixed, 0.1% TritonX-100 permeabilized Hepa1-6 (mouse hepatoma epithelial cell) cells labelling Transglutaminase 2 with ab323793 at 1/50 (10.06 ug/ml) dilution, followed by ab150081 Goat Anti-Rabbit IgG H&L (Alexa Fluor® 488) preadsorbed antibody at 1/ab150081 1000 2ug/ml dilution (Green).

Confocal image showing cytoplasmic staining in Hepa1-6 and no staining in EL4 cell line (shown in green). The counterstain was observed in magenta. Nuclear DNA was labelled with DAPI (shown in blue).
Low expression : EL4.
Image was taken with a confocal microscope (Leica-Microsystems, TCS SP8).

ab195889 Anti-alpha Tubulin mouse monoclonal antibody - Microtubule Marker (Alexa Fluor® 594) was used to counterstain tubulin at 1/ab195889 200 2.5ug/ml dilution (Magenta). The Nuclear counterstain was DAPI (Blue).

Secondary antibody only control : Secondary antibody is ab150081 Goat Anti-Rabbit IgG H&L (Alexa Fluor® 488) preadsorbed at 1/ab150081 1000 2ug/ml dilution.

Immunoprecipitation - Anti-Transglutaminase 2 antibody [EPR29853-527] - BSA and Azide free (AB323809)
  • IP

Supplier Data

Immunoprecipitation - Anti-Transglutaminase 2 antibody [EPR29853-527] - BSA and Azide free (AB323809)

This data was developed using ab323793, the same antibody clone in a different buffer formulation.

Transglutaminase 2 was immunoprecipitated from 0.35 mg Hepa1-6 (mouse hepatoma epithelial cell) whole cell lysate with ab323793 at 1/30 dilution (2ug in 0.35mg lysates). Western blot was performed on the immunoprecipitate using ab323793 at 1/1000 dilution.

Blocking and dilution buffer and concentration : 5% NFDM/TBST

All lanes:

Immunoprecipitation - Anti-Transglutaminase 2 antibody [EPR29853-527] (<a href='/en-us/products/primary-antibodies/transglutaminase-2-antibody-epr29853-527-ab323793'>ab323793</a>) at 1/1000 dilution

Lane 1:

Hepa1-6 (mouse hepatoma epithelial cell) whole cell lysate at 10 µg

Lane 2:

<a href='/en-us/products/primary-antibodies/transglutaminase-2-antibody-epr29853-527-ab323793'>ab323793</a> at 1/30 IP in Hepa1-6 (mouse hepatoma epithelial cell) whole cell lysate at 10 µg

Lane 3:

Rabbit monoclonal IgG (<a href='/en-us/products/primary-antibodies/rabbit-igg-monoclonal-epr25a-isotype-control-ab172730'>ab172730</a>) instead of <a href='/en-us/products/primary-antibodies/transglutaminase-2-antibody-epr29853-527-ab323793'>ab323793</a> in Hepa1-6 whole cell lysate at 10 µg

Secondary

All lanes:

Immunoprecipitation - VeriBlot for IP Detection Reagent (HRP) (<a href='/en-us/products/reagents/veriblot-for-ip-detection-reagent-hrp-ab131366'>ab131366</a>)

Observed band size: 75 kDa

false

Exposure time: 67s

Western blot - Anti-Transglutaminase 2 antibody [EPR29853-527] - BSA and Azide free (AB323809)
  • WB

Supplier Data

Western blot - Anti-Transglutaminase 2 antibody [EPR29853-527] - BSA and Azide free (AB323809)

This data was developed using ab323793, the same antibody clone in a different buffer formulation.

Blocking and diluting buffer and concentration : 5% NFDM/TBST.

In Western blot, Anti-GAPDH antibody [EPR16891] - Loading Control (ab181602) staining at 1/200000 dilution.

All lanes:

Western blot - Anti-Transglutaminase 2 antibody [EPR29853-527] (<a href='/en-us/products/primary-antibodies/transglutaminase-2-antibody-epr29853-527-ab323793'>ab323793</a>) at 1/1000 dilution

Lane 1:

Mouse liver tissue lysate at 20 µg

Lane 2:

Mouse testis tissue lysate at 20 µg

Lane 3:

Mouse spleen tissue lysate at 20 µg

Secondary

All lanes:

Western blot - Goat Anti-Rabbit IgG H&L (HRP) (<a href='/en-us/products/secondary-antibodies/goat-rabbit-igg-h-l-hrp-ab97051'>ab97051</a>) at 1/100000 dilution

Observed band size: 75 kDa,36 kDa

false

Exposure time: 26s

Western blot - Anti-Transglutaminase 2 antibody [EPR29853-527] - BSA and Azide free (AB323809)
  • WB

Supplier Data

Western blot - Anti-Transglutaminase 2 antibody [EPR29853-527] - BSA and Azide free (AB323809)

This data was developed using ab323793, the same antibody clone in a different buffer formulation.

Blocking and diluting buffer and concentration : 5% NFDM/TBST.

Low expression : EL4, A20.

In Western blot, Anti-GAPDH antibody [EPR16891] - Loading Control (ab181602) staining at 1/200000 dilution.

All lanes:

Western blot - Anti-Transglutaminase 2 antibody [EPR29853-527] (<a href='/en-us/products/primary-antibodies/transglutaminase-2-antibody-epr29853-527-ab323793'>ab323793</a>) at 1/1000 dilution

Lane 1:

4T1 (mouse mammary gland carcinoma epithelial cell) whole cell lysate at 20 µg

Lane 2:

MEF (mouse embryo fibroblast) whole cell lysate at 20 µg

Lane 3:

NIH/3T3 (mouse embryonic fibroblast) whole cell lysate at 20 µg

Lane 4:

EL4 (mouse lymphoma T lymphocyte) whole cell lysate at 20 µg

Lane 5:

A20 (mouse reticulum sarcoma B lymphocyte) whole cell lysate at 20 µg

Secondary

All lanes:

Western blot - Goat Anti-Rabbit IgG H&L (HRP) (<a href='/en-us/products/secondary-antibodies/goat-rabbit-igg-h-l-hrp-ab97051'>ab97051</a>) at 1/100000 dilution

Observed band size: 75 kDa,36 kDa

false

Exposure time: 26s

Western blot - Anti-Transglutaminase 2 antibody [EPR29853-527] - BSA and Azide free (AB323809)
  • WB

Supplier Data

Western blot - Anti-Transglutaminase 2 antibody [EPR29853-527] - BSA and Azide free (AB323809)

This data was developed using ab323793, the same antibody clone in a different buffer formulation.

Blocking and diluting buffer and concentration : 5% NFDM/TBST.

In Western blot, Anti-GAPDH antibody [EPR16891] - Loading Control (ab181602) staining at 1/200000 dilution.

All lanes:

Western blot - Anti-Transglutaminase 2 antibody [EPR29853-527] (<a href='/en-us/products/primary-antibodies/transglutaminase-2-antibody-epr29853-527-ab323793'>ab323793</a>) at 1/1000 dilution

Lane 1:

Hepa1-6 (mouse hepatoma epithelial cell) transfected with scrambled siRNA control whole cell lysate at 20 µg

Lane 2:

Hepa1-6 transfected with siRNA specifically targeting TGM2 whole cell lysate at 20 µg

Secondary

All lanes:

Western blot - Goat Anti-Rabbit IgG H&L (HRP) (<a href='/en-us/products/secondary-antibodies/goat-rabbit-igg-h-l-hrp-ab97051'>ab97051</a>) at 1/100000 dilution

Observed band size: 75 kDa,36 kDa

false

Exposure time: 15s

  • Unconjugated

    Anti-Transglutaminase 2 antibody [EPR29853-527]

Key facts

Host species

Rabbit

Clonality

Monoclonal

Clone number

EPR29853-527

Isotype

IgG

Carrier free

Yes

Reacts with

Mouse

Applications

WB, IP, IHC-P, ICC/IF

applications

Immunogen

The exact immunogen used to generate this antibody is proprietary information.

Reactivity data

{ "title": "Reactivity Data", "filters": { "stats": ["", "Species", "Dilution Info", "Notes"], "tabs": { "all-applications": {"fullname" : "All Applications", "shortname": "All Applications"}, "IP" : {"fullname" : "Immunoprecipitation", "shortname":"IP"}, "ICCIF" : {"fullname" : "Immunocytochemistry/ Immunofluorescence", "shortname":"ICC/IF"}, "IHCP" : {"fullname" : "Immunohistochemistry (Formalin/PFA-fixed paraffin-embedded sections)", "shortname":"IHC-P"}, "WB" : {"fullname" : "Western blot", "shortname":"WB"} }, "product-promise": { "all": "all", "testedAndGuaranteed": "tested", "guaranteed": "expected", "predicted": "predicted", "notRecommended": "not-recommended" } }, "values": { "Human": { "IP-species-checked": "notRecommended", "IP-species-dilution-info": "", "IP-species-notes": "<p></p>", "ICCIF-species-checked": "notRecommended", "ICCIF-species-dilution-info": "", "ICCIF-species-notes": "<p></p>", "IHCP-species-checked": "notRecommended", "IHCP-species-dilution-info": "", "IHCP-species-notes": "", "WB-species-checked": "notRecommended", "WB-species-dilution-info": "", "WB-species-notes": "<p></p>" }, "Mouse": { "IP-species-checked": "testedAndGuaranteed", "IP-species-dilution-info": "", "IP-species-notes": "<p></p>", "ICCIF-species-checked": "testedAndGuaranteed", "ICCIF-species-dilution-info": "", "ICCIF-species-notes": "<p></p>", "IHCP-species-checked": "testedAndGuaranteed", "IHCP-species-dilution-info": "", "IHCP-species-notes": "<p></p> Perform heat-mediated antigen retrieval with Tris/EDTA buffer pH 9.0 before commencing with IHC staining protocol.", "WB-species-checked": "testedAndGuaranteed", "WB-species-dilution-info": "", "WB-species-notes": "<p></p>" } } }

Product details

ab323809 is the carrier free version of ab323793.

Patented technology
Our RabMAb® technology is a patented hybridoma-based technology for making rabbit monoclonal antibodies. For details on our patents, please refer to RabMAb® patents.

What are the advantages of a recombinant monoclonal antibody?
This product is a recombinant monoclonal antibody, which offers several advantages including:

  • - High batch-to-batch consistency and reproducibility
  • - Improved sensitivity and specificity
  • - Long-term security of supply
  • - Animal-free batch production

For more information, read more on recombinant antibodies.

Conjugation ready
Our carrier-free antibodies are typically supplied in a PBS-only formulation, purified and free of BSA, sodium azide and glycerol. This conjugation-ready format is designed for use with fluorochromes, metal isotopes, oligonucleotides, and enzymes, which makes them ideal for antibody labelling, functional and cell-based assays, flow-based assays (e.g. mass cytometry) and Multiplex Imaging applications.

Use our conjugation kits for antibody conjugates that are ready-to-use in as little as 20 minutes with 1 minute hands-on-time and 100% antibody recovery: available for fluorescent dyes, HRP, biotin and gold.

Compatibility
This product is compatible with the Maxpar® Antibody Labeling Kit from Fluidigm, without the need for antibody preparation. Maxpar® is a trademark of Fluidigm Canada Inc.

Properties and storage information

Form
Liquid
Purification technique
Affinity purification Protein A
Storage buffer
pH: 7.2 - 7.4 Constituents: PBS
Shipped at conditions
Blue Ice
Appropriate short-term storage conditions
+4°C
Appropriate long-term storage conditions
+4°C

Product protocols

For this product, it's our understanding that no specific protocols are required. You can visit:

Target data

Calcium-dependent acyltransferase that catalyzes the formation of covalent bonds between peptide-bound glutamine and various primary amines, such as gamma-amino group of peptide-bound lysine, or mono- and polyamines, thereby producing cross-linked or aminated proteins, respectively (By similarity). Involved in many biological processes, such as bone development, angiogenesis, wound healing, cellular differentiation, chromatin modification and apoptosis (By similarity). Acts as a protein-glutamine gamma-glutamyltransferase by mediating the cross-linking of proteins, such as ACO2, HSPB6, FN1, HMGB1, RAP1GDS1, SLC25A4/ANT1, SPP1 and WDR54 (PubMed : 11113189, PubMed : 11274171, PubMed : 20489165). Under physiological conditions, the protein cross-linking activity is inhibited by GTP; inhibition is relieved by Ca(2+) in response to various stresses (By similarity). When secreted, catalyzes cross-linking of proteins of the extracellular matrix, such as FN1 and SPP1 resulting in the formation of scaffolds (By similarity). Plays a key role during apoptosis, both by (1) promoting the cross-linking of cytoskeletal proteins resulting in condensation of the cytoplasm, and by (2) mediating cross-linking proteins of the extracellular matrix, resulting in the irreversible formation of scaffolds that stabilize the integrity of the dying cells before their clearance by phagocytosis, thereby preventing the leakage of harmful intracellular components (PubMed : 12810961, PubMed : 15905580). In addition to protein cross-linking, can use different monoamine substrates to catalyze a vast array of protein post-translational modifications : mediates aminylation of serotonin, dopamine, noradrenaline or histamine into glutamine residues of target proteins to generate protein serotonylation, dopaminylation, noradrenalinylation or histaminylation, respectively (PubMed : 32116663). Mediates protein serotonylation of small GTPases during activation and aggregation of platelets, leading to constitutive activation of these GTPases (By similarity). Plays a key role in chromatin organization by mediating serotonylation and dopaminylation of histone H3 (By similarity). Catalyzes serotonylation of 'Gln-5' of histone H3 (H3Q5ser) during serotonergic neuron differentiation, thereby facilitating transcription (By similarity). Acts as a mediator of neurotransmission-independent role of nuclear dopamine in ventral tegmental area (VTA) neurons : catalyzes dopaminylation of 'Gln-5' of histone H3 (H3Q5dop), thereby regulating relapse-related transcriptional plasticity in the reward system (By similarity). Regulates vein remodeling by mediating serotonylation and subsequent inactivation of ATP2A2/SERCA2 (PubMed : 32116663). Also acts as a protein deamidase by mediating the side chain deamidation of specific glutamine residues of proteins to glutamate (By similarity). Catalyzes specific deamidation of protein gliadin, a component of wheat gluten in the diet (By similarity). May also act as an isopeptidase cleaving the previously formed cross-links (By similarity). Also able to participate in signaling pathways independently of its acyltransferase activity : acts as a signal transducer in alpha-1 adrenergic receptor-mediated stimulation of phospholipase C-delta (PLCD) activity and is required for coupling alpha-1 adrenergic agonists to the stimulation of phosphoinositide lipid metabolism (PubMed : 11274171).
See full target information Protein-glutamine gamma-glutamyltransferase 2

Product promise

We are committed to supporting your work with high-quality reagents, and we're here for you every step of the way. In the unlikely event that one of our products does not perform as expected, you're protected by our Product Promise.
For full details, please see our Terms & Conditions

Please note: All products are 'FOR RESEARCH USE ONLY. NOT FOR USE IN DIAGNOSTIC OR THERAPEUTIC PROCEDURES'.

For licensing inquiries, please contact partnerships@abcam.com