JavaScript is disabled in your browser. Please enable JavaScript to view this website.
AB233179

Anti-Transketolase antibody

Be the first to review this product! Submit a review

|

(1 Publication)

Rabbit Polyclonal Transketolase antibody. Suitable for WB, IHC-P and reacts with Human samples. Cited in 1 publication. Immunogen corresponding to Recombinant Fragment Protein within Human Transketolase aa 1-300.

View Alternative Names

Transketolase, TK, TKT

9 Images
Immunohistochemistry (Formalin/PFA-fixed paraffin-embedded sections) - Anti-Transketolase antibody (AB233179)
  • IHC-P

Supplier Data

Immunohistochemistry (Formalin/PFA-fixed paraffin-embedded sections) - Anti-Transketolase antibody (AB233179)

Formalin-fixed, paraffin-embedded human liver cancer tissue stained for Transketolase using ab233179 at 10 μg/ml in immunohistochemical analysis.

Secondary used : HRP-Linked Goat Anti-Rabbit IgG Polyclonal at 2 μg/ml. DAB staining.

Immunohistochemistry (Formalin/PFA-fixed paraffin-embedded sections) - Anti-Transketolase antibody (AB233179)
  • IHC-P

Unknown

Immunohistochemistry (Formalin/PFA-fixed paraffin-embedded sections) - Anti-Transketolase antibody (AB233179)

Formalin-fixed, paraffin-embedded human glioma tissue stained for Transketolase using ab233179 at 10 μg/ml in immunohistochemical analysis.

Secondary used : HRP-Linked Goat Anti-Rabbit IgG Polyclonal at 2 μg/ml. DAB staining.

Immunohistochemistry (Formalin/PFA-fixed paraffin-embedded sections) - Anti-Transketolase antibody (AB233179)
  • IHC-P

Supplier Data

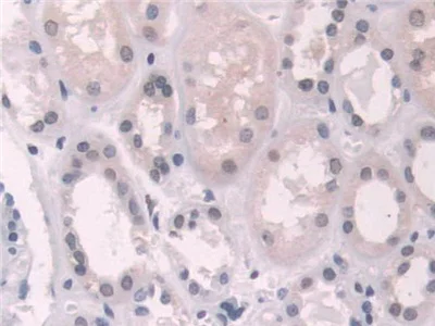
Immunohistochemistry (Formalin/PFA-fixed paraffin-embedded sections) - Anti-Transketolase antibody (AB233179)

Formalin-fixed, paraffin-embedded human kidney tissue stained for Transketolase using ab233179 at 10 μg/ml in immunohistochemical analysis.

Secondary used : HRP-Linked Goat Anti-Rabbit IgG Polyclonal at 2 μg/ml. DAB staining.

Immunohistochemistry (Formalin/PFA-fixed paraffin-embedded sections) - Anti-Transketolase antibody (AB233179)
  • IHC-P

Supplier Data

Immunohistochemistry (Formalin/PFA-fixed paraffin-embedded sections) - Anti-Transketolase antibody (AB233179)

Formalin-fixed, paraffin-embedded human thyroid tissue stained for Transketolase using ab233179 at 10 μg/ml in immunohistochemical analysis.

Secondary used : HRP-Linked Goat Anti-Rabbit IgG Polyclonal at 2 μg/ml. DAB staining.

Immunohistochemistry (Formalin/PFA-fixed paraffin-embedded sections) - Anti-Transketolase antibody (AB233179)
  • IHC-P

Unknown

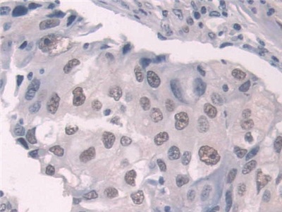
Immunohistochemistry (Formalin/PFA-fixed paraffin-embedded sections) - Anti-Transketolase antibody (AB233179)

Formalin-fixed, paraffin-embedded human breast cancer tissue stained for Transketolase using ab233179 at 10 μg/ml in immunohistochemical analysis.

Secondary used : HRP-Linked Goat Anti-Rabbit IgG Polyclonal at 2 μg/ml. DAB staining.

Immunohistochemistry (Formalin/PFA-fixed paraffin-embedded sections) - Anti-Transketolase antibody (AB233179)
  • IHC-P

Supplier Data

Immunohistochemistry (Formalin/PFA-fixed paraffin-embedded sections) - Anti-Transketolase antibody (AB233179)

Formalin-fixed, paraffin-embedded human cerebrum tissue stained for Transketolase using ab233179 at 10 μg/ml in immunohistochemical analysis.

Secondary used : HRP-Linked Goat Anti-Rabbit IgG Polyclonal at 2 μg/ml. DAB staining.

Immunohistochemistry (Formalin/PFA-fixed paraffin-embedded sections) - Anti-Transketolase antibody (AB233179)
  • IHC-P

Supplier Data

Immunohistochemistry (Formalin/PFA-fixed paraffin-embedded sections) - Anti-Transketolase antibody (AB233179)

Formalin-fixed, paraffin-embedded human lung cancer tissue stained for Transketolase using ab233179 at 10 μg/ml in immunohistochemical analysis.

Secondary used : HRP-Linked Goat Anti-Rabbit IgG Polyclonal at 2 μg/ml. DAB staining.

Western blot - Anti-Transketolase antibody (AB233179)
  • WB

Supplier Data

Western blot - Anti-Transketolase antibody (AB233179)

All lanes:

Western blot - Anti-Transketolase antibody (ab233179) at 2 µg/mL

All lanes:

Recombinant human Transketolase protein

Predicted band size: 68 kDa

false

Western blot - Anti-Transketolase antibody (AB233179)
  • WB

Supplier Data

Western blot - Anti-Transketolase antibody (AB233179)

All lanes:

Western blot - Anti-Transketolase antibody (ab233179) at 1 µg/mL

All lanes:

A549 (human lung carcinoma cell line) cell lysate

Secondary

All lanes:

HRP-Linked Goat Anti-Rabbit IgG Polyclonal at 0.2 µg/mL

Predicted band size: 68 kDa

false

Key facts

Host species

Rabbit

Clonality

Polyclonal

Isotype

IgG

Carrier free

No

Reacts with

Human

Applications

WB, IHC-P

applications

Immunogen

Recombinant Fragment Protein within Human Transketolase aa 1-300. The exact immunogen used to generate this antibody is proprietary information.

P29401

Reactivity data

{ "title": "Reactivity Data", "filters": { "stats": ["", "Species", "Dilution Info", "Notes"], "tabs": { "all-applications": {"fullname" : "All Applications", "shortname": "All Applications"}, "WB" : {"fullname" : "Western blot", "shortname":"WB"}, "IHCP" : {"fullname" : "Immunohistochemistry (Formalin/PFA-fixed paraffin-embedded sections)", "shortname":"IHC-P"} }, "product-promise": { "all": "all", "testedAndGuaranteed": "tested", "guaranteed": "expected", "predicted": "predicted", "notRecommended": "not-recommended" } }, "values": { "Human": { "WB-species-checked": "testedAndGuaranteed", "WB-species-dilution-info": "0.2-2 µg/mL", "WB-species-notes": "<p></p>", "IHCP-species-checked": "testedAndGuaranteed", "IHCP-species-dilution-info": "5-20 µg/mL", "IHCP-species-notes": "<p></p>" }, "Mouse": { "WB-species-checked": "predicted", "WB-species-dilution-info": "", "WB-species-notes": "", "IHCP-species-checked": "predicted", "IHCP-species-dilution-info": "", "IHCP-species-notes": "" }, "Rat": { "WB-species-checked": "predicted", "WB-species-dilution-info": "", "WB-species-notes": "", "IHCP-species-checked": "predicted", "IHCP-species-dilution-info": "", "IHCP-species-notes": "" }, "Chimpanzee": { "WB-species-checked": "predicted", "WB-species-dilution-info": "", "WB-species-notes": "", "IHCP-species-checked": "predicted", "IHCP-species-dilution-info": "", "IHCP-species-notes": "" }, "Cow": { "WB-species-checked": "predicted", "WB-species-dilution-info": "", "WB-species-notes": "", "IHCP-species-checked": "predicted", "IHCP-species-dilution-info": "", "IHCP-species-notes": "" }, "Cynomolgus monkey": { "WB-species-checked": "predicted", "WB-species-dilution-info": "", "WB-species-notes": "", "IHCP-species-checked": "predicted", "IHCP-species-dilution-info": "", "IHCP-species-notes": "" }, "Orangutan": { "WB-species-checked": "predicted", "WB-species-dilution-info": "", "WB-species-notes": "", "IHCP-species-checked": "predicted", "IHCP-species-dilution-info": "", "IHCP-species-notes": "" } } }

Properties and storage information

Form
Liquid
Purification technique
Affinity purification Protein A
Purification notes
ab233179 was purified by antigen-specific affinity chromatography followed by Protein A affinity chromatography.
Storage buffer
pH: 7.4 Preservative: 0.011% Proclin 300 Constituents: PBS, 55.77% Glycerol (glycerin, glycerine)
Shipped at conditions
Blue Ice
Appropriate short-term storage duration
1-2 weeks
Appropriate short-term storage conditions
+4°C
Appropriate long-term storage conditions
-20°C
Aliquoting information
Upon delivery aliquot
Storage information
Avoid freeze / thaw cycle

Supplementary information

This supplementary information is collated from multiple sources and compiled automatically.

Transketolase (TKT) is an important enzyme that plays an important mechanical role in the pentose phosphate pathway by catalyzing the transfer of ketol groups from ketose donors to aldose acceptors. This process forms part of the non-oxidative segment of the pathway converting ribose 5-phosphate into other sugars equipped for nucleotide synthesis and energy metabolism. TKT is also recognized under the name erythrocyte transketolase as it is found in high abundance in erythrocytes. The enzyme has a molecular mass of around 73 kDa and expresses broadly in human tissues especially within liver and fat cells where it supports carbohydrate metabolism.
Biological function summary

Transketolase participates in critical cellular metabolic processes facilitating cellular growth and repair by supporting the synthesis of nucleotides and amino acids. It does not function alone but rather operates as part of a complex with other enzymes such as transaldolase within the pentose phosphate pathway. The direct activity of erythrocyte transketolase can be essential for maintaining redox balance and providing intermediates that impact cell proliferation and antioxidant defense mechanisms.

Pathways

With regard to pathways involved in carbohydrate metabolism TKT plays an important role in the pentose phosphate pathway and glycolysis. In the pentose phosphate pathway TKT collaborates with enzymes like glucose-6-phosphate dehydrogenase to provide ribose-5-phosphate for nucleic acid synthesis and NADPH for reductive biosynthesis and oxidative stress defense. Its relationship with transaldolase in this pathway showcases a tightly regulated enzymatic network that maintains cellular homeostasis.

TKT is associated with metabolic dysfunctions such as diabetes and certain neurodegenerative diseases including Wernicke's encephalopathy. In diabetes changes in transketolase activity can disturb glucose metabolism and contribute to oxidative stress linking it subconsciously with enzymes like phospholipase C which play roles in lipid signaling and cellular responses. Additionally reduced erythrocyte transketolase activity connects with thiamine deficiency in Wernicke's encephalopathy further affecting brain functions and metabolic pathways relying on proper transketolase function.

Product protocols

For this product, it's our understanding that no specific protocols are required. You can visit:

Target data

Catalyzes the transfer of a two-carbon ketol group from a ketose donor to an aldose acceptor, via a covalent intermediate with the cofactor thiamine pyrophosphate.
See full target information Transketolase

Publications (1)

Recent publications for all applications. Explore the full list and refine your search

Experimental and therapeutic medicine 22:875 PubMed34194553

2021

Curcumin inhibits the viability, migration and invasion of papillary thyroid cancer cells by regulating the miR-301a-3p/STAT3 axis.

Applications

Unspecified application

Species

Unspecified reactive species

Ying Liang,Deyu Kong,Yi Zhang,Siqi Li,Yan Li,Liying Dong,Ningxin Zhang,Junfeng Ma
View all publications

Product promise

We are committed to supporting your work with high-quality reagents, and we're here for you every step of the way. In the unlikely event that one of our products does not perform as expected, you're protected by our Product Promise.
For full details, please see our Terms & Conditions

Please note: All products are 'FOR RESEARCH USE ONLY. NOT FOR USE IN DIAGNOSTIC OR THERAPEUTIC PROCEDURES'.

For licensing inquiries, please contact partnerships@abcam.com