JavaScript is disabled in your browser. Please enable JavaScript to view this website.
AB111015

Anti-Transmembrane 4 L6 family member 1 antibody

Be the first to review this product! Submit a review

|

(2 Publications)

Rabbit Polyclonal Transmembrane 4 L6 family member 1 antibody. Suitable for IHC-P and reacts with Human samples. Cited in 2 publications. Immunogen corresponding to Synthetic Peptide within Human TM4SF1.

View Alternative Names

M3S1, TAAL6, TM4SF1, Transmembrane 4 L6 family member 1, Membrane component chromosome 3 surface marker 1, Tumor-associated antigen L6

1 Images
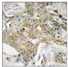
Immunohistochemistry (Formalin/PFA-fixed paraffin-embedded sections) - Anti-Transmembrane 4 L6 family member 1 antibody (AB111015)
  • IHC-P

Unknown

Immunohistochemistry (Formalin/PFA-fixed paraffin-embedded sections) - Anti-Transmembrane 4 L6 family member 1 antibody (AB111015)

Immunohistochemistry analysis of paraffin-embedded Human breast carcinoma tissue, using ab111015 at a dilution of 1/50.

Key facts

Host species

Rabbit

Clonality

Polyclonal

Isotype

IgG

Carrier free

No

Reacts with

Human

Applications

IHC-P

applications

Immunogen

Synthetic Peptide within Human TM4SF1. The exact immunogen used to generate this antibody is proprietary information.

P30408

Reactivity data

{ "title": "Reactivity Data", "filters": { "stats": ["", "Species", "Dilution Info", "Notes"], "tabs": { "all-applications": {"fullname" : "All Applications", "shortname": "All Applications"}, "IHCP" : {"fullname" : "Immunohistochemistry (Formalin/PFA-fixed paraffin-embedded sections)", "shortname":"IHC-P"} }, "product-promise": { "all": "all", "testedAndGuaranteed": "tested", "guaranteed": "expected", "predicted": "predicted", "notRecommended": "not-recommended" } }, "values": { "Human": { "IHCP-species-checked": "testedAndGuaranteed", "IHCP-species-dilution-info": "1/50 - 1/100", "IHCP-species-notes": "<p></p> Perform heat-mediated antigen retrieval with citrate buffer pH 6 before commencing with IHC staining protocol." }, "Mouse": { "IHCP-species-checked": "predicted", "IHCP-species-dilution-info": "", "IHCP-species-notes": "" } } }

Properties and storage information

Form
Liquid
Purification technique
Affinity purification Immunogen
Storage buffer
pH: 7.4 Preservative: 0.02% Sodium azide Constituents: PBS, 50% Glycerol (glycerin, glycerine), 0.88% Sodium chloride
Shipped at conditions
Blue Ice
Appropriate short-term storage conditions
+4°C
Appropriate long-term storage conditions
-20°C
Storage information
Stable for 12 months at -20°C

Supplementary information

This supplementary information is collated from multiple sources and compiled automatically.

Transmembrane 4 L6 family member 1 also called TM4SF1 is a protein with an approximate mass of 23 kDa. It is a member of the tetraspanin superfamily and consists of four transmembrane domains. TM4SF1 is mostly expressed in epithelial and endothelial cells with higher levels seen in many cancerous tissues. This protein integrates into cell membranes where it plays a role in cellular communication by interacting with other membrane proteins.
Biological function summary

TM4SF1 is involved in regulating diverse cellular processes such as proliferation migration and angiogenesis. It is not part of any larger complex but works through its interactions with integrins growth factor receptors and other tetraspanins. The presence of TM4SF1 impacts the organization of lipid rafts facilitating cell signaling pathways essential for cell growth and survival.

Pathways

TM4SF1 functions in both the PI3K/AKT and MAPK signaling cascades. These pathways are essential for controlling cell proliferation and survival. TM4SF1 influences the activity of proteins such as AKT and ERK which are important in mediating responses to growth factor signals and cellular stress. Its interactions with integrins also modulate signaling and structural dynamics of the cellular environment.

TM4SF1 is linked to several cancers including breast and lung cancer. Its elevated expression levels contribute to tumor growth and metastasis through enhancement of cell migration and angiogenesis. TM4SF1 is also associated with abnormal endothelial cell function influencing angiogenic diseases through its connections with proteins like VEGFR2 and integrin αVβ3. Understanding TM4SF1's role in these conditions can assist in developing therapeutic strategies.

Product protocols

For this product, it's our understanding that no specific protocols are required. You can visit:

Publications (2)

Recent publications for all applications. Explore the full list and refine your search

International journal of tryptophan research : IJTR 18:11786469251372797 PubMed41035962

2025

Neuroactive Kynurenine Metabolite Alterations Unveil Novel Association to Locomotor Deterioration in Diabetic Neuropathy.

Applications

Unspecified application

Species

Unspecified reactive species

Alejandra Perez-Alvarez,Victor Salazar,Gustavo Bruges,Eva Vonasek,Antonio Eblen-Zajjur

Clinical and molecular hepatology 31:489-508 PubMed39736265

2024

Targeting TM4SF1 promotes tumor senescence enhancing CD8+ T cell cytotoxic function in hepatocellular carcinoma.

Applications

Unspecified application

Species

Unspecified reactive species

Weifeng Zeng,Furong Liu,Yachong Liu,Ze Zhang,Haofan Hu,Shangwu Ning,Hongwei Zhang,Xiaoping Chen,Zhibin Liao,Zhanguo Zhang
View all publications

Product promise

We are committed to supporting your work with high-quality reagents, and we're here for you every step of the way. In the unlikely event that one of our products does not perform as expected, you're protected by our Product Promise.
For full details, please see our Terms & Conditions

Please note: All products are 'FOR RESEARCH USE ONLY. NOT FOR USE IN DIAGNOSTIC OR THERAPEUTIC PROCEDURES'.

For licensing inquiries, please contact partnerships@abcam.com