JavaScript is disabled in your browser. Please enable JavaScript to view this website.
AB226401

Anti-TRAP1 antibody

Be the first to review this product! Submit a review

|

(1 Publication)

Rabbit Polyclonal TRAP1 antibody. Suitable for IHC-P, IP, WB and reacts with Human, Mouse samples. Cited in 1 publication. Immunogen corresponding to Synthetic Peptide within Human TRAP1 aa 600-650.

View Alternative Names

HSP75, HSPC5, TRAP1, HSP 75, Heat shock protein family C member 5, TNFR-associated protein 1, Tumor necrosis factor type 1 receptor-associated protein, TRAP-1

3 Images
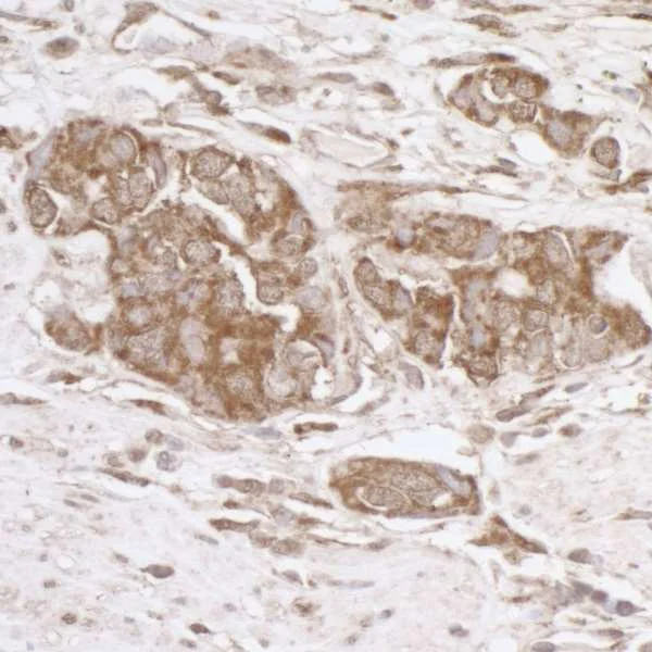
Immunohistochemistry (Formalin/PFA-fixed paraffin-embedded sections) - Anti-TRAP1 antibody (AB226401)
  • IHC-P

Supplier Data

Immunohistochemistry (Formalin/PFA-fixed paraffin-embedded sections) - Anti-TRAP1 antibody (AB226401)

Formalin-fixed, paraffin-embedded human colon carcinoma tissue stained for TRAP1 using ab226401 at 1/1000 dilution in immunohistochemical analysis.

Detection : DAB staining.

Western blot - Anti-TRAP1 antibody (AB226401)
  • WB

Supplier Data

Western blot - Anti-TRAP1 antibody (AB226401)

Lysates prepared using NETN lysis buffer.

All lanes:

Western blot - Anti-TRAP1 antibody (ab226401) at 0.04 µg/mL

Lane 1:

HeLa (human epithelial cell line from cervix adenocarcinoma) whole cell lysate at 50 µg

Lane 2:

HEK-293T (human epithelial cell line from embryonic kidney transformed with large T antigen) whole cell lysate at 50 µg

Lane 3:

Jurkat (human T cell leukemia cell line from peripheral blood) whole cell lysate at 50 µg

Lane 4:

TCMK-1 (mouse kidney epithelial cell line) whole cell lysate at 50 µg

Lane 5:

NIH/3T3 (mouse embryo fibroblast cell line) whole cell lysate at 50 µg

Predicted band size: 80 kDa

true

Exposure time: 10s

Immunoprecipitation - Anti-TRAP1 antibody (AB226401)
  • IP

Supplier Data

Immunoprecipitation - Anti-TRAP1 antibody (AB226401)

Hsp75 was immunoprecipitated from HEK-293T (human epithelial cell line from embryonic kidney transformed with large T antigen) whole cell lysate (prepared using NETN lysis buffer; 1 mg for IP, 20% of IP loaded) with ab226401 at 6 μg/mg lysate. Western blot was performed from the immunoprecipitate using ab226401 at 0.4 μg/ml.

Lane 1 : ab226401 IP in HEK-293T whole cell lysate.

Lane 2 : Control IgG IP in HEK-293T whole cell lysate.

Detection : Chemiluminescence with exposure time of 10 seconds.

All lanes:

Immunoprecipitation - Anti-TRAP1 antibody (ab226401)

Predicted band size: 80 kDa

false

Key facts

Host species

Rabbit

Clonality

Polyclonal

Isotype

IgG

Carrier free

No

Reacts with

Mouse, Human

Applications

IP, WB, IHC-P

applications

Immunogen

Synthetic Peptide within Human TRAP1 aa 600-650. The exact immunogen used to generate this antibody is proprietary information.

Q12931

Reactivity data

{ "title": "Reactivity Data", "filters": { "stats": ["", "Species", "Dilution Info", "Notes"], "tabs": { "all-applications": {"fullname" : "All Applications", "shortname": "All Applications"}, "IHCP" : {"fullname" : "Immunohistochemistry (Formalin/PFA-fixed paraffin-embedded sections)", "shortname":"IHC-P"}, "IP" : {"fullname" : "Immunoprecipitation", "shortname":"IP"}, "WB" : {"fullname" : "Western blot", "shortname":"WB"} }, "product-promise": { "all": "all", "testedAndGuaranteed": "tested", "guaranteed": "expected", "predicted": "predicted", "notRecommended": "not-recommended" } }, "values": { "Human": { "IHCP-species-checked": "testedAndGuaranteed", "IHCP-species-dilution-info": "1/500 - 1/2000", "IHCP-species-notes": "<p></p> Perform heat-mediated antigen retrieval with citrate buffer pH 6 before commencing with IHC staining protocol.", "IP-species-checked": "testedAndGuaranteed", "IP-species-dilution-info": "2-10 µg/mg of lysate", "IP-species-notes": "<p></p>", "WB-species-checked": "testedAndGuaranteed", "WB-species-dilution-info": "1/10000 - 1/25000", "WB-species-notes": "<p></p>" }, "Mouse": { "IHCP-species-checked": "guaranteed", "IHCP-species-dilution-info": "", "IHCP-species-notes": "", "IP-species-checked": "guaranteed", "IP-species-dilution-info": "", "IP-species-notes": "", "WB-species-checked": "testedAndGuaranteed", "WB-species-dilution-info": "1/10000 - 1/25000", "WB-species-notes": "<p></p>" }, "Rat": { "IHCP-species-checked": "predicted", "IHCP-species-dilution-info": "", "IHCP-species-notes": "", "IP-species-checked": "predicted", "IP-species-dilution-info": "", "IP-species-notes": "", "WB-species-checked": "predicted", "WB-species-dilution-info": "", "WB-species-notes": "" } } }

Properties and storage information

Form
Liquid
Purification technique
Affinity purification Immunogen
Purification notes
ab226401 was affinity purified using an epitope specific to TRAP1 immobilized on solid support.
Storage buffer
pH: 7 - 8 Preservative: 0.09% Sodium azide Constituents: Tris citrate/phosphate
Shipped at conditions
Blue Ice
Appropriate short-term storage duration
1-2 weeks
Appropriate short-term storage conditions
+4°C
Appropriate long-term storage conditions
-20°C
Aliquoting information
Upon delivery aliquot
Storage information
Avoid freeze / thaw cycle

Supplementary information

This supplementary information is collated from multiple sources and compiled automatically.

TRAP1 also known as Tumor Necrosis Factor Receptor-Associated Protein 1 or Heat Shock Protein 75 (Hsp75) is a mitochondrial chaperone protein with a molecular weight of approximately 75 kDa. It functions to protect cells from stress-induced damage by ensuring proper protein folding and preventing aggregation within the mitochondria. TRAP1 is expressed across various tissues with higher levels observed in metabolically active organs such as the heart and liver. Its role extends to regulation of mitochondrial respiration and reactive oxygen species indicating its broad involvement in cellular homeostasis.
Biological function summary

This mitochondrial chaperone plays an important role in maintaining protein homeostasis within the cellular environment. It forms part of a complex with heat shock proteins coordinating cellular defense mechanisms against stress. TRAP1 interacts with other chaperones to stabilize proteins and assist in mitochondrial quality control. Its activities aid in reducing oxidative stress managing apoptosis and regulating mitochondrial dynamics. Through these functions TRAP1 supports cellular survival and metabolic adaptation under conditions of stress.

Pathways

TRAP1 is involved in the regulation of the mitochondrial apoptosis pathway and the oxidative stress response pathway. It interacts with proteins like cytochrome c and inhibitors of apoptosis proteins (IAPs) influencing the release of pro-apoptotic factors and modulation of survival signals. By modulating these pathways TRAP1 affects cellular energy production and stress responses impacting both cellular health and disease states.

TRAP1 shows a direct link to cancer and neurodegenerative diseases. Overexpression of TRAP1 has been associated with various cancers where it promotes cell survival and resistance to apoptosis. In cancer cells TRAP1 interacts with proteins like p53 and Hsp90 contributing to the oncogenic process. In neurodegenerative disorders dysfunction of TRAP1 is linked to increased oxidative stress and mitochondrial dysfunction often relating to proteins such as PINK1 and Parkin which are important in the pathology of Parkinson’s disease.

Product protocols

For this product, it's our understanding that no specific protocols are required. You can visit:

Target data

Chaperone that expresses an ATPase activity. Involved in maintaining mitochondrial function and polarization, downstream of PINK1 and mitochondrial complex I. Is a negative regulator of mitochondrial respiration able to modulate the balance between oxidative phosphorylation and aerobic glycolysis. The impact of TRAP1 on mitochondrial respiration is probably mediated by modulation of mitochondrial SRC and inhibition of SDHA.
See full target information TRAP1

Publications (1)

Recent publications for all applications. Explore the full list and refine your search

Scientific reports 11:21520 PubMed34728688

2021

Genetic variants in histone modification regions are associated with the prognosis of lung adenocarcinoma.

Applications

Unspecified application

Species

Unspecified reactive species

Hyo-Gyoung Kang,Yong Hoon Lee,Shin Yup Lee,Jin Eun Choi,Sook Kyung Do,Mi Jeong Hong,Jang Hyuck Lee,Ji Yun Jeong,Young Woo Do,Eung Bae Lee,Kyung Min Shin,Won Kee Lee,Sun Ha Choi,Hye Won Seo,Seung Soo Yoo,Jaehee Lee,Seung Ick Cha,Chang Ho Kim,Sukki Cho,Sanghoon Jheon,Jae Yong Park
View all publications

Product promise

We are committed to supporting your work with high-quality reagents, and we're here for you every step of the way. In the unlikely event that one of our products does not perform as expected, you're protected by our Product Promise.
For full details, please see our Terms & Conditions

Please note: All products are 'FOR RESEARCH USE ONLY. NOT FOR USE IN DIAGNOSTIC OR THERAPEUTIC PROCEDURES'.

For licensing inquiries, please contact partnerships@abcam.com