JavaScript is disabled in your browser. Please enable JavaScript to view this website.
AB247835

Anti-TRAP1 antibody [EPR5381] - BSA and Azide free

Be the first to review this product! Submit a review

|

(1 Publication)

Rabbit Recombinant Monoclonal TRAP1 antibody. Carrier free. Suitable for IHC-P, WB and reacts with Human samples. Cited in 1 publication.

View Alternative Names

HSP75, HSPC5, TRAP1, HSP 75, Heat shock protein family C member 5, TNFR-associated protein 1, Tumor necrosis factor type 1 receptor-associated protein, TRAP-1

3 Images
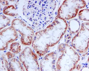
Immunohistochemistry (Formalin/PFA-fixed paraffin-embedded sections) - Anti-TRAP1 antibody [EPR5381] - BSA and Azide free (AB247835)
  • IHC-P

Unknown

Immunohistochemistry (Formalin/PFA-fixed paraffin-embedded sections) - Anti-TRAP1 antibody [EPR5381] - BSA and Azide free (AB247835)

This data was developed using ab109323, the same antibody clone in a different buffer formulation.

ab109323, at a 1/100 dilution, staining TRAP1 in paraffin embedded Human kidney tissue by Immunohistochemistry.

Perform heat mediated antigen retrieval before commencing with IHC staining protocol.

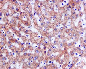
Immunohistochemistry (Formalin/PFA-fixed paraffin-embedded sections) - Anti-TRAP1 antibody [EPR5381] - BSA and Azide free (AB247835)
  • IHC-P

Unknown

Immunohistochemistry (Formalin/PFA-fixed paraffin-embedded sections) - Anti-TRAP1 antibody [EPR5381] - BSA and Azide free (AB247835)

This data was developed using ab109323, the same antibody clone in a different buffer formulation.

ab109323, at a 1/100 dilution, staining TRAP1 in paraffin embedded Human liver tissue by Immunohistochemistry.

Perform heat mediated antigen retrieval before commencing with IHC staining protocol.

Western blot - Anti-TRAP1 antibody [EPR5381] - BSA and Azide free (AB247835)
  • WB

Unknown

Western blot - Anti-TRAP1 antibody [EPR5381] - BSA and Azide free (AB247835)

This data was developed using ab109323, the same antibody clone in a different buffer formulation.

All lanes:

Western blot - Anti-TRAP1 antibody [EPR5381] (<a href='/en-us/products/primary-antibodies/trap1-antibody-epr5381-ab109323'>ab109323</a>) at 1/10000 dilution

Lane 1:

K562 cell lysate at 10 µg

Lane 2:

HL60 cell lysate at 10 µg

Lane 3:

293T (Human embryonic kidney epithelial cell) cell lysate at 10 µg

Lane 4:

HeLa cell lysate at 10 µg

Secondary

All lanes:

HRP labelled goat anti-rabbit at 1/2000 dilution

Predicted band size: 80 kDa

Observed band size: 75 kDa

false

Key facts

Host species

Rabbit

Clonality

Monoclonal

Clone number

EPR5381

Isotype

IgG

Carrier free

Yes

Reacts with

Human

Applications

IHC-P, WB

applications

Immunogen

The exact immunogen used to generate this antibody is proprietary information.

Reactivity data

{ "title": "Reactivity Data", "filters": { "stats": ["", "Species", "Dilution Info", "Notes"], "tabs": { "all-applications": {"fullname" : "All Applications", "shortname": "All Applications"}, "IHCP" : {"fullname" : "Immunohistochemistry (Formalin/PFA-fixed paraffin-embedded sections)", "shortname":"IHC-P"}, "IP" : {"fullname" : "Immunoprecipitation", "shortname":"IP"}, "FlowCyt" : {"fullname" : "Flow Cytometry", "shortname":"Flow Cyt"}, "WB" : {"fullname" : "Western blot", "shortname":"WB"} }, "product-promise": { "all": "all", "testedAndGuaranteed": "tested", "guaranteed": "expected", "predicted": "predicted", "notRecommended": "not-recommended" } }, "values": { "Human": { "IHCP-species-checked": "testedAndGuaranteed", "IHCP-species-dilution-info": "", "IHCP-species-notes": "<p></p>", "IP-species-checked": "notRecommended", "IP-species-dilution-info": "", "IP-species-notes": "<p></p>", "FlowCyt-species-checked": "notRecommended", "FlowCyt-species-dilution-info": "", "FlowCyt-species-notes": "<p></p>", "WB-species-checked": "testedAndGuaranteed", "WB-species-dilution-info": "", "WB-species-notes": "<p></p>" } } }

Product details

ab247835 is the carrier-free version of ab109323.

Species reactivity
Mouse, Rat: We have preliminary internal testing data to indicate this antibody may not react with these species.
Please contact us for more information.

Patented technology
Our RabMAb® technology is a patented hybridoma-based technology for making rabbit monoclonal antibodies. For details on our patents, please refer to RabMAb® patents.

What are the advantages of a recombinant monoclonal antibody?
This product is a recombinant monoclonal antibody, which offers several advantages including:

  • - High batch-to-batch consistency and reproducibility
  • - Improved sensitivity and specificity
  • - Long-term security of supply
  • - Animal-free batch production

For more information, read more on recombinant antibodies.

Conjugation ready
Our carrier-free antibodies are typically supplied in a PBS-only formulation, purified and free of BSA, sodium azide and glycerol. This conjugation-ready format is designed for use with fluorochromes, metal isotopes, oligonucleotides, and enzymes, which makes them ideal for antibody labelling, functional and cell-based assays, flow-based assays (e.g. mass cytometry) and Multiplex Imaging applications.

Use our conjugation kits for antibody conjugates that are ready-to-use in as little as 20 minutes with 1 minute hands-on-time and 100% antibody recovery: available for fluorescent dyes, HRP, biotin and gold.

Compatibility
This product is compatible with the Maxpar® Antibody Labeling Kit from Fluidigm, without the need for antibody preparation. Maxpar® is a trademark of Fluidigm Canada Inc.

Properties and storage information

Form
Liquid
Purification technique
Affinity purification Protein A
Storage buffer
pH: 7.2 - 7.4 Constituents: PBS
Shipped at conditions
Blue Ice
Appropriate short-term storage conditions
+4°C
Appropriate long-term storage conditions
+4°C
Storage information
Do Not Freeze

Supplementary information

This supplementary information is collated from multiple sources and compiled automatically.

TRAP1 also known as Tumor Necrosis Factor Receptor-Associated Protein 1 or Heat Shock Protein 75 (Hsp75) is a mitochondrial chaperone protein with a molecular weight of approximately 75 kDa. It functions to protect cells from stress-induced damage by ensuring proper protein folding and preventing aggregation within the mitochondria. TRAP1 is expressed across various tissues with higher levels observed in metabolically active organs such as the heart and liver. Its role extends to regulation of mitochondrial respiration and reactive oxygen species indicating its broad involvement in cellular homeostasis.
Biological function summary

This mitochondrial chaperone plays an important role in maintaining protein homeostasis within the cellular environment. It forms part of a complex with heat shock proteins coordinating cellular defense mechanisms against stress. TRAP1 interacts with other chaperones to stabilize proteins and assist in mitochondrial quality control. Its activities aid in reducing oxidative stress managing apoptosis and regulating mitochondrial dynamics. Through these functions TRAP1 supports cellular survival and metabolic adaptation under conditions of stress.

Pathways

TRAP1 is involved in the regulation of the mitochondrial apoptosis pathway and the oxidative stress response pathway. It interacts with proteins like cytochrome c and inhibitors of apoptosis proteins (IAPs) influencing the release of pro-apoptotic factors and modulation of survival signals. By modulating these pathways TRAP1 affects cellular energy production and stress responses impacting both cellular health and disease states.

TRAP1 shows a direct link to cancer and neurodegenerative diseases. Overexpression of TRAP1 has been associated with various cancers where it promotes cell survival and resistance to apoptosis. In cancer cells TRAP1 interacts with proteins like p53 and Hsp90 contributing to the oncogenic process. In neurodegenerative disorders dysfunction of TRAP1 is linked to increased oxidative stress and mitochondrial dysfunction often relating to proteins such as PINK1 and Parkin which are important in the pathology of Parkinson’s disease.

Product protocols

For this product, it's our understanding that no specific protocols are required. You can visit:

Target data

Chaperone that expresses an ATPase activity. Involved in maintaining mitochondrial function and polarization, downstream of PINK1 and mitochondrial complex I. Is a negative regulator of mitochondrial respiration able to modulate the balance between oxidative phosphorylation and aerobic glycolysis. The impact of TRAP1 on mitochondrial respiration is probably mediated by modulation of mitochondrial SRC and inhibition of SDHA.
See full target information TRAP1

Publications (1)

Recent publications for all applications. Explore the full list and refine your search

Oncology letters 26:409 PubMed37600337

2023

Renal epithelioid angiomyolipoma: A case report.

Applications

Unspecified application

Species

Unspecified reactive species

Hongyun Li,Xuebei Zhang,Qingli Zhao,Jin Wang,Xiaoqing Yang,Shengliang Huang
View all publications

Product promise

We are committed to supporting your work with high-quality reagents, and we're here for you every step of the way. In the unlikely event that one of our products does not perform as expected, you're protected by our Product Promise.
For full details, please see our Terms & Conditions

Please note: All products are 'FOR RESEARCH USE ONLY. NOT FOR USE IN DIAGNOSTIC OR THERAPEUTIC PROCEDURES'.

For licensing inquiries, please contact partnerships@abcam.com