JavaScript is disabled in your browser. Please enable JavaScript to view this website.
AB245546

Anti-TRAP220/MED1 antibody

Be the first to review this product! Submit a review

|

(0 Publication)

Rabbit Polyclonal TRAP220/MED1 antibody. Suitable for IHC-P, IP, WB and reacts with Human, Mouse samples. Immunogen corresponding to Synthetic Peptide within Human MED1 aa 1500 to C-terminus.

View Alternative Names

ARC205, CRSP1, CRSP200, DRIP205, DRIP230, PBP, PPARBP, PPARGBP, RB18A, TRAP220, TRIP2, MED1, Mediator of RNA polymerase II transcription subunit 1, Activator-recruited cofactor 205 kDa component, Mediator complex subunit 1, Peroxisome proliferator-activated receptor-binding protein, Thyroid hormone receptor-associated protein complex 220 kDa component, Thyroid receptor-interacting protein 2, Vitamin D receptor-interacting protein complex component DRIP205, p53 regulatory protein RB18A, PPAR-binding protein, Trap220, TR-interacting protein 2, TRIP-2

3 Images
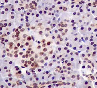
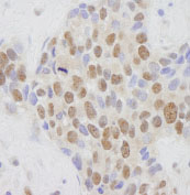
Immunohistochemistry (Formalin/PFA-fixed paraffin-embedded sections) - Anti-TRAP220/MED1 antibody (AB245546)
  • IHC-P

Supplier Data

Immunohistochemistry (Formalin/PFA-fixed paraffin-embedded sections) - Anti-TRAP220/MED1 antibody (AB245546)

Formalin-fixed, paraffin-embedded human lung carcinoma tissue stained for TRAP220/MED1 using ab245546 at 1/1000 dilution in immunohistochemical analysis.

Western blot - Anti-TRAP220/MED1 antibody (AB245546)
  • WB

Supplier Data

Western blot - Anti-TRAP220/MED1 antibody (AB245546)

All lanes:

Western blot - Anti-TRAP220/MED1 antibody (ab245546) at 0.1 µg/mL

Lane 1:

NIH/3T3 (Mouse embryonic fibroblast cell line) whole cell lysate at 50 µg

Lane 2:

CT26 (Mouse colon carcinoma fibroblast cell line) whole cell lysate at 50 µg

Lane 3:

CH27 (Mouse lymphoma cell line) whole cell lysate at 50 µg

Predicted band size: 168 kDa

false

Exposure time: 3s

Western blot - Anti-TRAP220/MED1 antibody (AB245546)
  • WB

Supplier Data

Western blot - Anti-TRAP220/MED1 antibody (AB245546)

All lanes:

Western blot - Anti-TRAP220/MED1 antibody (ab245546) at 0.04 µg/mL

Lane 1:

RKO (Human colon carinoma cell line) whole cell lysate at 10 µg

Lane 2:

HeLa (Human cervix adenocarcinoma epithelial cell) whole cell lysate at 10 µg

Lane 3:

HEK-293T (Human epithelial cell line from embryonic kidney transformed with large T antigen) whole cell lysate at 10 µg

Lane 4:

K-562 (Human chronic myelogenous leukemia lymphoblast cell line ) whole cell lysate at 10 µg

Lane 5:

Jurkat (Human T cell leukemia cell line from peripheral blood) whole cell lysate at 10 µg

Predicted band size: 168 kDa

false

Exposure time: 3s

Key facts

Host species

Rabbit

Clonality

Polyclonal

Isotype

IgG

Carrier free

No

Reacts with

Mouse, Human

Applications

WB, IHC-P, IP

applications

Immunogen

Synthetic Peptide within Human MED1 aa 1500 to C-terminus. The exact immunogen used to generate this antibody is proprietary information.

Q15648

Reactivity data

{ "title": "Reactivity Data", "filters": { "stats": ["", "Species", "Dilution Info", "Notes"], "tabs": { "all-applications": {"fullname" : "All Applications", "shortname": "All Applications"}, "IHCP" : {"fullname" : "Immunohistochemistry (Formalin/PFA-fixed paraffin-embedded sections)", "shortname":"IHC-P"}, "IP" : {"fullname" : "Immunoprecipitation", "shortname":"IP"}, "WB" : {"fullname" : "Western blot", "shortname":"WB"} }, "product-promise": { "all": "all", "testedAndGuaranteed": "tested", "guaranteed": "expected", "predicted": "predicted", "notRecommended": "not-recommended" } }, "values": { "Human": { "IHCP-species-checked": "testedAndGuaranteed", "IHCP-species-dilution-info": "1/500 - 1/2000", "IHCP-species-notes": "<p></p> Perform heat-mediated antigen retrieval with citrate buffer pH 6 before commencing with IHC staining protocol.", "IP-species-checked": "testedAndGuaranteed", "IP-species-dilution-info": "2-10 µg/mg of lysate", "IP-species-notes": "<p></p>", "WB-species-checked": "testedAndGuaranteed", "WB-species-dilution-info": "1/2000 - 1/10000", "WB-species-notes": "<p></p>" }, "Mouse": { "IHCP-species-checked": "guaranteed", "IHCP-species-dilution-info": "", "IHCP-species-notes": "", "IP-species-checked": "guaranteed", "IP-species-dilution-info": "", "IP-species-notes": "", "WB-species-checked": "testedAndGuaranteed", "WB-species-dilution-info": "1/2000 - 1/10000", "WB-species-notes": "<p></p>" }, "Orangutan": { "IHCP-species-checked": "predicted", "IHCP-species-dilution-info": "", "IHCP-species-notes": "", "IP-species-checked": "predicted", "IP-species-dilution-info": "", "IP-species-notes": "", "WB-species-checked": "predicted", "WB-species-dilution-info": "", "WB-species-notes": "" } } }

Properties and storage information

Form
Liquid
Purification technique
Affinity purification Immunogen
Purification notes
ab245546 was affinity purified using an epitope specific to TRAP220/MED1 immobilized on solid support.
Storage buffer
pH: 7 - 8 Preservative: 0.09% Sodium azide Constituents: Tris citrate/phosphate
Shipped at conditions
Blue Ice
Appropriate short-term storage duration
1-2 weeks
Appropriate short-term storage conditions
+4°C
Appropriate long-term storage conditions
-20°C
Aliquoting information
Upon delivery aliquot
Storage information
Avoid freeze / thaw cycle

Supplementary information

This supplementary information is collated from multiple sources and compiled automatically.

TRAP220 also known as MED1 is a protein with a molecular mass of approximately 220 kDa. It plays an important role as a component of the mediator complex which is important for transcription regulation. The expression of TRAP220/MED1 is found in various tissues with higher levels observed in liver lung and heart tissues. This protein acts mechanistically as a bridge between gene-specific transcription factors and RNA polymerase II facilitating the assembly of the pre-initiation complex.
Biological function summary

TRAP220/MED1 functions within the larger mediator complex a multi-protein coactivator essential for gene transcription by RNA polymerase II. It plays an important role in nuclear receptor signaling facilitating the transcriptional activation by various nuclear hormone receptors. MED1 interacts directly with these receptors through its various domains allowing the transcription of target genes responsive to hormonal signals.

Pathways

TRAP220/MED1 contributes significantly to transcriptional activation pathways involving nuclear receptors such as the PPAR (Peroxisome Proliferator-Activated Receptor) and thyroid hormone receptor pathways. It closely interacts with other proteins in these pathways including MED12 and MED14 which form integral parts of the mediator complex's function. Its involvement in these pathways highlights its critical role in lipid metabolism and energy homeostasis.

TRAP220/MED1 is associated with metabolic and proliferative diseases. Its altered expression or mutations can lead to conditions such as obesity and cancer. For instance aberrant MED1 activity or expression levels have connections to breast cancer development through its role in estrogen receptor-mediated gene expression. This correlation emphasizes the protein's potential impact in various pathophysiological contexts driving ongoing research into MED1 as a therapeutic target.

Product protocols

For this product, it's our understanding that no specific protocols are required. You can visit:

Target data

Component of the Mediator complex, a coactivator involved in the regulated transcription of nearly all RNA polymerase II-dependent genes. Mediator functions as a bridge to convey information from gene-specific regulatory proteins to the basal RNA polymerase II transcription machinery. Mediator is recruited to promoters by direct interactions with regulatory proteins and serves as a scaffold for the assembly of a functional preinitiation complex with RNA polymerase II and the general transcription factors (PubMed : 10406464, PubMed : 11867769, PubMed : 12037571, PubMed : 12218053, PubMed : 12556447, PubMed : 14636573, PubMed : 15340084, PubMed : 15471764, PubMed : 15989967, PubMed : 16574658, PubMed : 9653119). Acts as a coactivator for GATA1-mediated transcriptional activation during erythroid differentiation of K562 erythroleukemia cells (PubMed : 24245781).
See full target information MED1

Product promise

We are committed to supporting your work with high-quality reagents, and we're here for you every step of the way. In the unlikely event that one of our products does not perform as expected, you're protected by our Product Promise.
For full details, please see our Terms & Conditions

Please note: All products are 'FOR RESEARCH USE ONLY. NOT FOR USE IN DIAGNOSTIC OR THERAPEUTIC PROCEDURES'.

For licensing inquiries, please contact partnerships@abcam.com